Cookie Consent byPrivacyPolicies.comUn peu de travail en vue ... - Eugenol

Un peu de travail en vue ...

Smile beach jgh0a1 - Eugenol
Céramik

05/10/2011 à 14h41

Pépélaratiche écrivait:
-----------------------
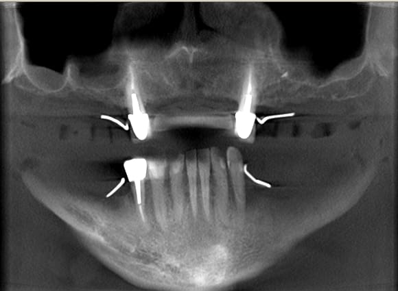
> Patient trop engagé ds la mentonnière donne ce genre de rétrécissement
> mésio-distal ds la zone antérieur
>
> Pp

merci

--
Céramik


Blason dql7mj - Eugenol
growler

05/10/2011 à 17h35

de quoi exciter Pp ?

Mandib bd xbayfe - Eugenol
Mandibule bg ddjn3g - Eugenol
Mandib ant y8znuk - Eugenol
Maxill hd s6utpj - Eugenol
Maxill hg lmd2vf - Eugenol
Mandibule ar3oke - Eugenol
Maxillaire z9kmbq - Eugenol
Maxill ant zvfveo - Eugenol
Maxill okptrq - Eugenol
Mandib uwwelp - Eugenol
Classe iii lnwe0p - Eugenol

S2y2o1v7q53ws4r5wy6ou8czrpom - Eugenol
pxav

05/10/2011 à 18h36

pp je ne sais pas mais moi oui!
hot.

--
xbk
"Si tous ceux qui croient avoir raison n'avaient pas tort, la vérité ne serait pas loin" Dac Pierre


Pépélaratiche

05/10/2011 à 21h01

growler écrivait:
-----------------
> de quoi exciter Pp ?

Affirmatif

Au maxillaire il faut faire une implanto totale et stt ne pas garder les canines

A la mandibule faut disker mais ça va

Pp

PS il faut d abord faire réaliser des modèles stéréolithographiques par Materialise pour se prononcer au final

Mais c est un joli cas ;-)))))))))


Pépélaratiche

08/10/2011 à 11h01

Je rentre cette apm et je tente de charger ton examen cone beam

Pp


Pépélaratiche

08/10/2011 à 11h04

growler écrivait:
-----------------
> de quoi exciter Pp ?

Je suppose que le patient a porté de magnifiques stellites...

Pp


Blason dql7mj - Eugenol
growler

08/10/2011 à 13h11

oui et longtemps


Pépélaratiche

23/10/2011 à 17h51

Cas promis... à dentiste 57 et à growler... le voici

Pour Pluton aussi ;-))))

Bon je cesse la liste sinon je vais créer un ordre de préséance entre vous , ordre malvenu sans doute ;-)))

Pp

Img 0978 oqjhoh - Eugenol
Img 0979 le9jpl - Eugenol
Img 0976 iaccqu - Eugenol
Img 0977 ghhiqd - Eugenol
Img 0980 vy65hs - Eugenol
Img 0981 dvu08z - Eugenol
Img 0982 puc0te - Eugenol
Img 0983 cukya5 - Eugenol
Img 0984 mzmqio - Eugenol
Img 0986 u4dkax - Eugenol
Img 0988 kakruz - Eugenol
Img 0989 rjpcyg - Eugenol
Img 6346 c05ddh - Eugenol
Img 6517 di6joq - Eugenol
Img 6518 q3ok6y - Eugenol
Img 6519 tpotc6 - Eugenol
Img 6530 so7i3r - Eugenol

Smile beach jgh0a1 - Eugenol
Céramik

23/10/2011 à 19h55

P'tite question, les vis qui tiennent la prothèse en place, sont des vis " plates", simple rainure.
C'est pas les vis les plus chiantes du monde à placer en bouche, ou c'est moi qui est trop malhabile ?

L'axe de certains implants semble un peu trop palatin, mais bon, il n'y a pas de nonos...

J'aimerais voir l'hygiène dans 1-2 ans...



--
Céramik


Pépélaratiche

23/10/2011 à 20h32

Céramik écrivait:
-----------------
> P'tite question, les vis qui tiennent la prothèse en place, sont des vis "
> plates", simple rainure.
> C'est pas les vis les plus chiantes du monde à placer en bouche, ou c'est moi
> qui est trop malhabile ?
>
> L'axe de certains implants semble un peu trop palatin, mais bon, il n'y a pas de
> nonos...
>
> J'aimerais voir l'hygiène dans 1-2 ans...
>
>
>
> --
> Céramik

1. C est toi qui es malhabile... Rien de plus simple : tu mets ttes tes vis ds la puits, tu les recouvres d homéoplasmine pour les empêcher de tomber hors des puits, tu poses en bouche et tu passes ton tournevis ds homéoplasmine pour visser Très simple et très efficace :-))))
2. Effectivemeznt les plaques zygomatiques ont des émergences palatines mais au définitif j ai ôté les piliers prlongateurs de 3.5 mm et du coup même si sortie palatine plus aucun "débordement" du puits de vissage en dehors de l arcade...
3.Ca fait 18 mois que les implants sont en charge donc tu as déjà une idée mais de manière générale ça fonctionne aussi bien qu pilotis à la mandibule... Un petit coup de waterpik léger et qques bains de bouches suffisent à entretenir tout ça correctement

De tte façon si tu fais pas ce que je viens de faire, tu es cuit pour deux sinus-lifts ( dont la patiente ne voulait pas !!!!! )et encore tu n auras aucun implant au delà des 4 voire des 3 donc un terrible porte-à-faux devant... Sinon tu dois ajouter un Lefort pour interposer un bloc au niveau incisif... Elle refuse encore plus le Lefort que les sinus-lifts

Pp

PS Cette résorption est le résultat du port d un amovible complet de 30 ans à 63 ans ...


Pépélaratiche

23/10/2011 à 20h41

Regarde le provisoire de la MCI : les émergences des plaques au niveau molaires font des bombés hors arcades suite à la pose de piliers monobloc de hauteur 3.5 mm

On pose ces piliers car il faut pouvoir retrouver facilement les têtes d implants 72 h plus tard pour poser la prothèse de transition

Pp

Img 6527 auxcqh - Eugenol
Img 6528 z5xjl9 - Eugenol
Img 6529 zgcmjw - Eugenol

Smile beach jgh0a1 - Eugenol
Céramik

23/10/2011 à 20h53

J'aime mieux les vis avec un hex, mais dans le fond, on s'en balance si ça marche...
C'est quoi le truc que tu places sur les vis ?

Je devrais passer te voir poser cela en direct, il n'y a aucune formaton de ce genre de ce côté-ci de l'Atlantique...

Est-ce que tu démontes 1X / an pour contrôle ?





--
Céramik


Pépélaratiche

23/10/2011 à 21h30

Céramik écrivait:
-----------------
> J'aime mieux les vis avec un hex, mais dans le fond, on s'en balance si ça
> marche...
> C'est quoi le truc que tu places sur les vis ?
>
> Je devrais passer te voir poser cela en direct, il n'y a aucune formaton de ce
> genre de ce côté-ci de l'Atlantique...
>
> Est-ce que tu démontes 1X / an pour contrôle ?
>
>
>
>
>
> --
> Céramik

1. l hexa te condamne à avoir un puits ds l axe exact du puits hexa... Les vis courtes et à fente te permettent de faire des puits légèrement courbe au niveau antérieur c e qui évite les vis trop gênantes vers vestibulaire qui te contraigent à faire des couronnes scellées sur armature primaire pour cacher les puits vestibulaires ...

2. Tu viens du Canada je crois... Non seulement vous n avez pas de formation mais aussi pas d autorisation de poser ces implants chez vous je crois...mais si tu veux qd je prépare un gros cas je te tiens au courant

3. Aucune nécessité de démonter un fois par an...plus personne ne fait ça car cela "déajuste" perpétuellement ton serrage Juste pano et examen clinique une fois par an

Pp


Photo pluton1b h9n4ea - Eugenol
pluton

23/10/2011 à 21h30

http://www.boiron.fr/Nos-produits/Medicaments-homeopathiques/Medication-familiale/Peau/Homeoplasmine

mais je pense que de la simple vaseline çà doit le faire aussi...;-)


Smile beach jgh0a1 - Eugenol
Céramik

23/10/2011 à 21h39

ben, je les poserais au noir...dans le sous-sol...

sinon, je continue avec les sinus lifts et tout ça...



--
Céramik


Pépélaratiche

23/10/2011 à 21h39

Oui mais l homéoplasmine a d abord un goût acceptable et est moins collante et moins grasse que la vasline...


Comment tu vas toi Pluton ???

Pp


Pépélaratiche

23/10/2011 à 21h41

Céramik écrivait:
-----------------
> ben, je les poserais au noir...dans le sous-sol...
>
> sinon, je continue avec les sinus lifts et tout ça...
>
>
>
> --
> Céramik

Au noir , c est rien...
Si tu as pas d agrément pour l implant tu es out sur le plan médico-légal

Ces implants ontle marquage CE mais pas FDA hélas...

Pp


Img 3657 cwjvqm - Eugenol
alapex

23/10/2011 à 21h46

Pépé a inventé le All on Seven...))))


Photo pluton1b h9n4ea - Eugenol
pluton

23/10/2011 à 21h52

Pépélaratiche écrivait:
-----------------------
> Oui mais l homéoplasmine a d abord un goût acceptable et est moins collante et
> moins grasse que la vasline...
>
>
> Comment tu vas toi Pluton ???
>
> Pp

pour le côté collant/gras oui...pour le goût, c'est plutôt neutre la vaseline...

moi, çà va...;-)
plein d'implants encore en vue...dont encore une jolie petite MCI sup sur 6/8 implants certainement début décembre...;-)

y a pas...traiter de "gros cas" en attire d'autres...c'est le plein boom, et je pense que la mayo a bien prise...;-)


Pépélaratiche

23/10/2011 à 22h44

alapex écrivait:
----------------
> Pépé a inventé le All on Seven...))))

Pcq ds ces cas là onne sait pas faire autrement

Mais je te signale qd même que

1. les palques ont une assisse énorme par rapport à 7 cylindres
2. la résorption centripède du maxillaire le rend trop petit pour en poser plus

De plus malgré le grand overjet , on a qd même un implant central qui soutient l arc incisif, même s il est 2 cm en arrière de la ligne des dents

Pp te salue

PS Bientôt l oiseau de fer :-)))))))))))))) pdt 6 à 8 h


Pépélaratiche

23/10/2011 à 22h46

pluton écrivait:
----------------
> Pépélaratiche écrivait:
> -----------------------
> > Oui mais l homéoplasmine a d abord un goût acceptable et est moins collante et
> > moins grasse que la vasline...
> >
> >
> > Comment tu vas toi Pluton ???
> >
> > Pp
>
> pour le côté collant/gras oui...pour le goût, c'est plutôt neutre la vaseline...
>
> moi, çà va...;-)
> plein d'implants encore en vue...dont encore une jolie petite MCI sup sur 6/8
> implants certainement début décembre...;-)
>
> y a pas...traiter de "gros cas" en attire d'autres...c'est le plein boom, et je
> pense que la mayo a bien prise...;-)


100% vrai
Planning tellement overfull que j ai posé deux implants ce diamanche matin d où le fgait que je suis svt absent de nonol...

Elle est pas belle la vie

Pp


Img 3657 cwjvqm - Eugenol
alapex

23/10/2011 à 22h51

Pépélaratiche écrivait:
-----------------------
> alapex écrivait:
> ----------------
> > Pépé a inventé le All on Seven...))))
>
> Pcq ds ces cas là onne sait pas faire autrement
>
> Mais je te signale qd même que
>
> 1. les palques ont une assisse énorme par rapport à 7 cylindres
> 2. la résorption centripède du maxillaire le rend trop petit pour en poser plus
>
> De plus malgré le grand overjet , on a qd même un implant central qui soutient l
> arc incisif, même s il est 2 cm en arrière de la ligne des dents
>
> Pp te salue

Je te croyais plus fort...pas de triple ou quadrupledisk , c'est décevant...))))



> PS Bientôt l oiseau de fer :-)))))))))))))) pdt 6 à 8 h


Le duty free c'est avant l'embarquement j'espère... Ils ont le nécessaire pour sédater ? ...)))

Mit mot mon Pp.


Img 1744 z0evts - Eugenol
dumaille

23/10/2011 à 22h54

Pépélaratiche écrivait:
-----------------------
> Cas promis... à dentiste 57 et à growler... le voici
>
> Pour Pluton aussi ;-))))
>
> Bon je cesse la liste sinon je vais créer un ordre de préséance entre vous ,
> ordre malvenu sans doute ;-)))
>
> Pp

Pp peux tu nous en dire plus sur l'aspect de la gencive qui entoure le disk le plus antérieur?
--
La vie est une fête!


Pépélaratiche

23/10/2011 à 23h07

Pas le disk antérieur mais le disk et les 2 plaques antérieures pour être plus exact

La rougeur au fond du vestibule est due au frottement de la fausse gencive contre la partie libre muqueuse...

Au début elle ne frottait pas car j avais laissé un espace
Vouspourriez dire que je suis ds la merde car la difficulté d accès à l hygiène ds cette zone a provoqué cette inflammation qui serait préjudiciable aux implants...

Et bien je répondrais oui et non

OUI j ai eu les boules en voyant cette muqueuse gonfler au fil des mois car j ai cru que l inflammation alllait avoir raison de mes plaques...

NON pcq la prolifération de la muqueuse n est finalement pas due au manque d hygiène possible à cet endroit mais bien au fait d avoir utilisé un matériau de comblement effciace qui donne du vrai os et sur ce vrai os on retrouve de la gencive attachée, rose, ferme, soutenue et vascularisée...gencive qui prolifère au point de comprimer la fauuse gencive et la pas la fausse gencive qui comprime la muqueuse...

Mais si j avais fait la même chose avec de l INTERPORE , matériau corralien non résorbable, non seulement je n auaris pas obtenu de l os mais alors l inflammation aurait été réelle et aurait mis en péril mon implanto...

Pp


Img 1744 z0evts - Eugenol
dumaille

23/10/2011 à 23h20

Pépélaratiche écrivait:
-----------------------
> Pas le disk antérieur mais le disk et les 2 plaques antérieures pour être plus
> exact
>
> La rougeur au fond du vestibule est due au frottement de la fausse gencive
> contre la partie libre muqueuse...
>
> Au début elle ne frottait pas car j avais laissé un espace
> Vouspourriez dire que je suis ds la merde car la difficulté d accès à l hygiène
> ds cette zone a provoqué cette inflammation qui serait préjudiciable aux
> implants...
>
> Et bien je répondrais oui et non
>
> OUI j ai eu les boules en voyant cette muqueuse gonfler au fil des mois car j ai
> cru que l inflammation alllait avoir raison de mes plaques...
>
> NON pcq la prolifération de la muqueuse n est finalement pas due au manque d
> hygiène possible à cet endroit mais bien au fait d avoir utilisé un matériau de
> comblement effciace qui donne du vrai os et sur ce vrai os on retrouve de la
> gencive attachée, rose, ferme, soutenue et vascularisée...gencive qui prolifère
> au point de comprimer la fauuse gencive et la pas la fausse gencive qui comprime
> la muqueuse...
>
> Mais si j avais fait la même chose avec de l INTERPÖRE , matériau corralien non
> résorbable, non seulement je n auaris pas obtenu de l os mais alors l
> inflammation aurait été réelle et aurait mis en péril mon implanto...
>
> Pp
ne crois tu pas qu'il s'agisse plus tôt d'un phénomène diapneusique sous "l'overjet" de ta prothèse.
et que l'inflammation induite finira par avoir la peau des plaques?

--
La vie est une fête!