Cookie Consent byPrivacyPolicies.comUn peu de travail en vue ... - Eugenol

Un peu de travail en vue ...

Pépélaratiche

23/10/2011 à 23h27

ne crois tu pas qu'il s'agisse plus tôt d'un phénomène diapneusique sous "l'overjet" de ta prothèse.
et que l'inflammation induite finira par avoir la peau des plaques?

--
La vie est une fête!



A 100% non ...pcq je l ai connu avec l interpore et à l époque je ne savais pas pourquoi jusqu au jour où on m dit d arrêter de mettre cette merde d interpore...

Avec l interpore tu aurais eu ça sans doute mais ici les implants sont sonores béton et totalement intégrés

Regarde l aspect de la muqueuse palatine en regard des plaques zygomatiques : rose ferme et dure...avec interpore ce serait rouge un peu mélasse... Le nanobone est la vraie clé qui a changé ma vie d implanto basal

Pp


Smile beach jgh0a1 - Eugenol
Céramik

23/10/2011 à 23h48

Pépélaratiche écrivait:
-----------------------
Le naonbone est la vraie clé qui a changé ma vie d implanto basal



et ce Nanobone, pas disponible hors CE j'imagine...





--
Céramik


Pépélaratiche

23/10/2011 à 23h58

Fabriqué en Allemagne par ARTOS

Vendu par

http://www.touslesbiomateriaux.com/qui-sommes-nous

Pp


Smile beach jgh0a1 - Eugenol
Céramik

24/10/2011 à 01h39

Pépélaratiche écrivait:
-----------------------
> Fabriqué en Allemagne par ARTOS
>
> Vendu par
>
> tel. +316 1424 8516
> [email protected]
> www.medicalbone.com
> kvk. 17224446
>
>
> Pp


Pas trouvé d'info pour la Canada, ni les USA...

--
Céramik


Pépélaratiche

24/10/2011 à 09h39

Envois leur un email pour savoir s ils peuvent t en fournir à partir d Europe...

Pp


Pépélaratiche

24/10/2011 à 18h19

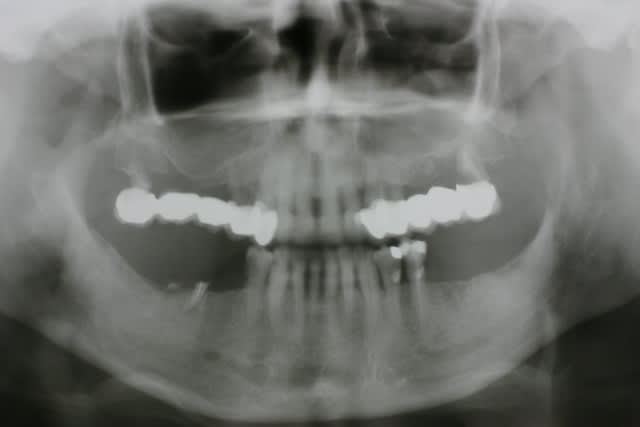
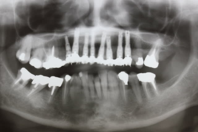
On ne dirait pas la même crête et pourtant il s agit bien de la patiente en préop et 18 mois plus tard...

Quel changement de volume et de qualité tissulaire...

Pp

Img 0983 gaxzgg - Eugenol
Img 6472 wiemen - Eugenol

Pépélaratiche

24/10/2011 à 19h56

Petite note pour dumaille :

qd tu vois la transformation tissulaire au niveau du volume et de la qualité des muqueuses avant-après, je doute très fort que ce soit une muqueuse diapneusique comme tu le laissais entendre...

Pp ;-)


zircone

07/11/2011 à 00h34

Slt pp ,

Comment geres-tu l`émergence prothetique de tes plaques ?
Sur la photo de Gauche , y a-t-il des PLM 3,5 ou non sur tes plaques ?
Personnellement , surtout lorsque le contexte necessite de poser les plaques en juxta-osseux dans les zones sous-sinusiennes , je me retrouve avec une emergence prothetique que je trouve trop haute . Dommage que les plaques n`existent pas en G0 ou G1 .
Qu`en penses-tu pp


Smile beach jgh0a1 - Eugenol
Céramik

07/11/2011 à 03h06

Pépélaratiche écrivait:
-----------------------
> On ne dirait pas la même crête et pourtant il s agit bien de la patiente en
> préop et 18 mois plus tard...
>
> Quel changement de volume et de qualité tissulaire...
>
> Pp

A quoi attribues-tu ce changement de volume de tissus ?
C'est uniquement le nanobone ?
Tu en as placer combien de kilo ?


--
Céramik


Pépélaratiche

06/12/2011 à 13h00

zircone écrivait:
-----------------
> Slt pp ,
>
> Comment geres-tu l`émergence prothetique de tes plaques ?
> Sur la photo de Gauche , y a-t-il des PLM 3,5 ou non sur tes plaques ?
> Personnellement , surtout lorsque le contexte necessite de poser les plaques en
> juxta-osseux dans les zones sous-sinusiennes , je me retrouve avec une emergence
> prothetique que je trouve trop haute . Dommage que les plaques n`existent pas en
> G0 ou G1 .
> Qu`en penses-tu pp

Hello Zircone,

Seuls les 2 PLM 3.5 des plaques zygomatiques ont été ôtées pour le définitif... Celles des plaques pariétales et du monodisk était pil à ras de gencive tant cela a bien proliféré

G1 n exite plus même pas pour les disk car trop peu d espace laissé à os à base du disk ... C est un peu comme un switching plateform de passer de 4.5 mm au pilier à 2.35 au fût

G 0 n a jamais existé pour la raison décrite pour G1...

Néanmoins je n emploie plus les plaques G3 mais uniquement les G2 , ce qui est un grand progrès...

Mais j ai aussi eu des émergences pfs trop haute par rapport à l épaisseur muqueuse mais ça c était avant d employer du nanobone

Pp


Pépélaratiche

06/12/2011 à 13h15

Céramik écrivait:
-----------------
> Pépélaratiche écrivait:
> -----------------------
> > On ne dirait pas la même crête et pourtant il s agit bien de la patiente en
> > préop et 18 mois plus tard...
> >
> > Quel changement de volume et de qualité tissulaire...
> >
> > Pp
>
> A quoi attribues-tu ce changement de volume de tissus ?
> C'est uniquement le nanobone ?
> Tu en as placer combien de kilo ?
>
>
> --
> Céramik

J ai placé 2 x 1.2ml et un dernier flacon de 0.6ml

3ml en tout

C est pas un kilo qd même :-)))))))))

Pp

Img 0989 hkkspj - Eugenol
Img 0998 l06iuo - Eugenol
Img 1001 zymptr - Eugenol
Img 0990 p4tbgu - Eugenol

Pépélaratiche

12/12/2011 à 13h41

Ce n est pas pcq Pp ne dit rien qu il ne fait rien

Pp ;-)

Img 1011 wmraxp - Eugenol
Img 4180 ylnsuw - Eugenol

Pépélaratiche

12/12/2011 à 13h45

Ou encore...un peu de travail comme Ceramik l aime ;-)))

Pp

PS pour le cas 10 implants en haut et 3 en bas, les questions sont les bienvenues :-))))))) pcq j ai pas vraiment agi ds l ordre logique habituel

Img 1008 sffu8g - Eugenol
Img 1012 w4nabn - Eugenol

Img 3657 cwjvqm - Eugenol
alapex

12/12/2011 à 13h47

T'as perdu tes cours de paro (rd de gauche) ...)))


Pépélaratiche

12/12/2011 à 14h20

Absolument pas perdu les cours de paro

Suivra implanto totale haut et bas

Pour le haut, les incisives bougaient tellement que j ai dû commencer par régler le secteur antérieur de 5 à 5

Ensuite je vais virer les molaires avec PRFs puis ostéotension et poser des implants distaux que je relierai aux implants antérieurs qd ils seront intégrés

Pp


Smile beach jgh0a1 - Eugenol
Céramik

13/12/2011 à 02h24

Pépélaratiche écrivait:
-----------------------
> Ce n est pas pcq Pp ne dit rien qu il ne fait rien
>
> Pp ;-)

Mince, pas de disque, tu deviens mou ?

;-)


--
Céramik


Smile beach jgh0a1 - Eugenol
Céramik

13/12/2011 à 02h55

alapex écrivait:
----------------
> T'as perdu tes cours de paro (rd de gauche) ...)))



Pffft, paro et en plus, il ne sait pas faire une pano...


--
Céramik


Img 3657 cwjvqm - Eugenol
alapex

13/12/2011 à 13h33

Pp va pouvoir changer sa pano et posséder la voiture de ses rêves...une Dacia ;)

Cas facile pour Pp .

Img 0512 avjlia - Eugenol

Pépélaratiche

13/12/2011 à 13h53

Céramik écrivait:
-----------------
> Pépélaratiche écrivait:
> -----------------------
> > Ce n est pas pcq Pp ne dit rien qu il ne fait rien
> >
> > Pp ;-)
>
> Mince, pas de disque, tu deviens mou ?
>
> ;-)
>
>
> --
> Céramik

Ne t illusionne pas : les 6 et les 7 du haut seront des disks ou des plaques

Pp :-)))))))))

PS D ailleurs si on programme ça assez loin et que le voyage en Europe te dit...


Pépélaratiche

13/12/2011 à 13h54

alapex écrivait:
----------------
> Pp va pouvoir changer sa pano et posséder la voiture de ses rêves...une Dacia ;)
>
> Cas facile pour Pp .

Enfin bientôt la voiture de mes rêves
Je ne tiens plus en place

Pp


Pépélaratiche

13/12/2011 à 13h55

Céramik écrivait:
-----------------
> alapex écrivait:
> ----------------
> > T'as perdu tes cours de paro (rd de gauche) ...)))
>
>
>
> Pffft, paro et en plus, il ne sait pas faire une pano...
>
>
> --
> Céramik

Photo d une pano argentique sur le négato donc je cadre plus serré pour pas te montrer les condyles inutilement

Pp :-)))))))))))))


Pépélaratiche

20/01/2012 à 20h39

Un peu de travail réalisé - j ai assisté et c est lui qui posait bien sûr - avec un Confrère pour vous dire que je ne suis pas seul à pouvoir poser des disks

Implanto en 2 tps

tps 1 pose du ptérygo et de l implant en 15 et extraction de la 16 avec PRFs + nanobone . Intégration 6 mois pour que le max de nano ossifie

tps 2 extraction 13 11 et pose d implants en 13 12 11 et 16... 16 un monodisk 11G2DM9 et mise en charge immédiate sur 16 11 12 13 et différée sur 18 15

D où plus grande sécurité puisque 4 implants non intégrés sont reliés par la prothèse immédiate avec 2 implants déjà intégrés

CQFD

Pp ;-))))))))))))

Pano mangers robert 2011 21 juin post op pj1f13 - Eugenol
Pano mangers robert 2012 janvier post op b76vnk - Eugenol

billabong

22/01/2012 à 01h28

c'est quoi l'ostéotension au juste?

c'est décrit ou?


Pépélaratiche

22/01/2012 à 10h17

http://www.eugenol.com/sujets/394586-osteotension?page=1#post_584344


Tu débarques là Billabong ???

Pp ;-))))))))))