Cookie Consent byPrivacyPolicies.comdent cassée, limite sous gingivale - Eugenol

dent cassée, limite sous gingivale

Smile beach jgh0a1 - Eugenol
Céramik

25/11/2010 à 03h09

dentiste57 écrivait:
--------------------
> oups , il manque les photos..
>
>

Bravo, belle séance photo en plus
A+


--
Céramik


chicote64

25/11/2010 à 16h48

Il me semble qu'une élongation coronaire pourrait ,à + ou- long terme compromettre ou au moins compliquer la pose d'un implant en 25.On a déjà souvent un manque d'os dans ce secteur.Maintenant j'ai des patients qui ont eu le meme problème,qui ont eu des élongations coronaires et qui ont conservé leur dent de nombreuses années,alors....


marcus

25/11/2010 à 23h22

Céramik écrivait:
-----------------
Marcus, .
>
> Tu fais quoi sur cette dent ? De prévisible
> Trauma, alvusion partielle (la dent était buccalée, a été replacée, mobilité,
> fracture au 1/3 apicale découverte lors de la visite d'endo d'urgence, 24h après
> l'accident.
> Les 2 autres endo datent de 2 ans, aussi trauma sportif.
>
>
>
> --
> Céramik

Alors
D'abord , chapeau bas pour la qualité de la radio , et la précision de la mise en place de la lime

Le même prof cité plus haut (professeur MICHELET Bordeaux)nous montrait en 1973 (oui je sais je suis un dinosaure qui attend sa météorite !)Nous expliquait que dans des cas comme celui que tu nous montres il tentait de transfixer et sceller un tenon et cela avait l'air de marcher
dis donc chez nous ce soir il tombe de la neige fondue a Lyon t'en es où toi ? 1m 2m ?


Smile beach jgh0a1 - Eugenol
Céramik

26/11/2010 à 03h06

marcus écrivait:
----------------

>
> Alors
> D'abord , chapeau bas pour la qualité de la radio , et la précision de la mise en place de la lime


C'est du 2e niveau ?



>
> Le même prof cité plus haut (professeur MICHELET Bordeaux)nous montrait en 1973
> (oui je sais je suis un dinosaure qui attend sa météorite !)Nous expliquait que
> dans des cas comme celui que tu nous montres il tentait de transfixer et sceller
> un tenon et cela avait l'air de marcher
> dis donc chez nous ce soir il tombe de la neige fondue a Lyon t'en es où toi ?
> 1m 2m ?


Zéro neige chez moi...mais ça va changer bientôt...


Pour le cas de l'endo...alors, pronostic ?

PS la digue est maintenue par des wedget, pour ne pas lèser la dent qui bougeait ! J'avais même coller au compo flow la 21 avec la 11 et la 22, por éviter le mouvement.







--
Céramik


eugenol1987

26/11/2010 à 23h10

Bonjour,

tout d'abord merci pour vos réponses, vos avis, vos exemples!

Ce patient a été vu dans un cabinet, pas à la fac, donc pas de prof pour m'aider! C'est donc pour ça que je me suis tourné dans un premier temps vers vous. Je dois discuter de son cas avec un autre prat demain.

J'essayerais de mettre la radio en ligne mercredi pour vous permettre de mieux juger.

A bien y réfléchir, je voulais "sauver" cette dent car le patient est exigeant... il m'a mis l'a pression MAIS finalement je me dis que premièrement on est pas magicien, on fais ce qu'on peu selon ce qu'on a, deuxièmement il m'en voudras surement moins de dire directement on ne garde pas plutôt que bidouiller et d'extraire par la suite.

Faut vraiment que j'apprenne à garder la tête froide, et a voir à long terme. Je suis souvent trop conservatrice avec ce qui ne l'est pas...

Mon choix de traitement dans ce cas là serrait donc: implant + couronne (à voir demain avec l'autre prat, à discuter avec le patient)


aldo74

26/11/2010 à 23h29

céramik écrivait:
Tu fais quoi sur cette dent ? De prévisible
> Trauma, alvusion partielle (la dent était buccalée, a été replacée, mobilité,
> fracture au 1/3 apicale découverte lors de la visite d'endo d'urgence, 24h après
> l'accident.


dépend de l'age et des moyens financiers du patient.:::...

endo+ transfixation tenon +contention et stand by

ou implant ou bridge....(hélas)


marcus

26/11/2010 à 23h44

aldo74 écrivait:
----------------
> céramik écrivait:
> Tu fais quoi sur cette dent ? >
>> endo+ transfixation tenon +contention et stand by
>
> ou implant ou bridge....(hélas)


+1

C'est tout ce que je voulais dire ,y a pas a dire plus


Smile beach jgh0a1 - Eugenol
Céramik

27/11/2010 à 00h46


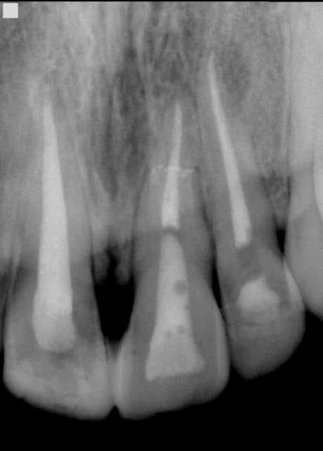
Patiente 17 ans
Finances, pas de soucis, parents très ouverts.

J'ai fait l'endo, et aviser qu'un jour, l'implant pourra être nécessaire...ou bridge tout céram


--
Céramik

 21  final endo  1  s89kcd - Eugenol

king_zoulou

27/11/2010 à 00h47

Ceramik, pour la dent cassée, dur dur.
Par contre, une fois fini, colles-lui un Sametzky pour qu'elle arrête de casser une dent tous les six mois ;)


Smile beach jgh0a1 - Eugenol
Céramik

27/11/2010 à 00h54

Elle en porte un depuis l'endo de la 21...

PS l'histoire ne se termine pas là...
Trauma en 2007, endo en 2007
Deviner ce qui est arrivé en 2009...



--
Céramik


Smile beach jgh0a1 - Eugenol
Céramik

27/11/2010 à 18h51

Personne ?

--
Céramik


colza2

27/11/2010 à 19h14

pareil sur la 11 ?


aldo74

28/11/2010 à 15h40

fêlure puis bridge tout céram???


Smile beach jgh0a1 - Eugenol
Céramik

28/11/2010 à 17h23

non...

--
Céramik


aldo74

28/11/2010 à 18h43

elle a perdue la couronne sur un nouveau choc? extraction et implantation immédiate...?????


12