Cookie Consent byPrivacyPolicies.comdépassement - Eugenol

dépassement

eugenol1987

08/12/2010 à 12h31

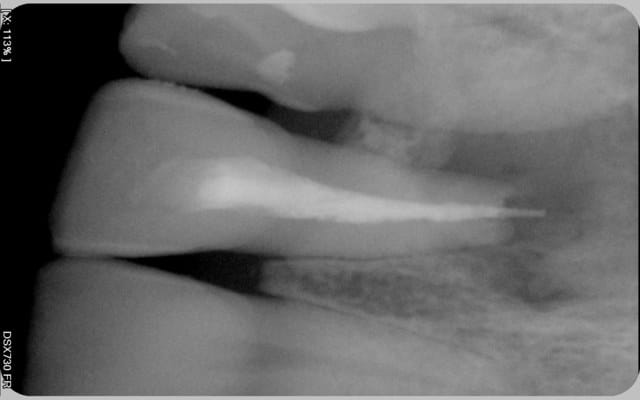
Suite à un choc, un patient présente un kyste important et une résorption externe de la 11. L'apex est complétement ouvert. La table osseuse vestibulaire a disparu.
Ce matin, tout se passe bien, radio cône en place ok, mais pour la radio de contrôle finale je note un dépassement de 2mm.
Que dois-je faire, attendre 6 mois et voir l'évolution ou reprendre immédiatement le traitement?
Merci de vos réponses, ça m'engoisse un peu...
J'essayerais de vous mettre la radio cet après-midi (comment dois-je faire depuis Julie?)


Cuisinier2 vnbbxx - Eugenol
jeff2

08/12/2010 à 13h08

Depuis julie pour récupérer la radio de ton patient
poste de trvail, C: , julie, rx tu cherches le numero de dossier de ton patient que tu ouvres, tu récupéres la radio avec photoshop tu transformes du gif en jpeg et tu envoies


Perso si plus de table externe, implanto


eugenol1987

08/12/2010 à 13h14

Merci pour l'explication!
Pour le choix de traitement, je suis en stage actif ce n'est pas mon patient à la base, j'aurais également retenu la solution implantaire car le kyste est très important mais mon maître de stage préférais "lui laisser un chance". La solution a bien été expliquée au patient, je lui ai dit clairement qu'on essayais mais qu'il fallait s'attendre à une solution implantaire.


bilal

08/12/2010 à 14h28

bonjour.

Dans l'ordre du gradient thérapeutique :


-résection apicale associé ou non à une ROG dans l'immédiat +++ ou différée.
-controle post op a 1 Mois, 3 mois et 6 mois, réevaluation , extraction/ implantation ou suivi si tout est ok.

a mon avis...


nb : kyste important ?
-diag de kyste ou granulome ne se fait qu'à l'anapath.
- > 5 mm ?
- degré de resoption ?
- comment as-tu évalué la perte de la table osseuse vestib ? lambeau d'exploration ? sondage en U ?

CC


33.2 - Eugenol
scuba06

08/12/2010 à 15h06

eugenol1987 écrivait:
---------------------
> Merci pour l'explication!
> Pour le choix de traitement, je suis en stage actif ce n'est pas mon patient


Si tu es en stage actif, profite pour demander au service endo de ta fac.

Implanter? ok mais dans quoi ?

La conduite à tenir, la plus conservatrice est de traiter la lésion apicale (traitement de lésions de gros volume),de façon à attendre la reconstruction osseuse ( ok, ça peut demander des mois...mais pas plus qu'une greffe osseuse..). Après reconsiderer le cas:
1° garer la dent
2° ext et implant (mais là, il y aura de l'os ! peut être même implant immédiat).


eugenol1987

08/12/2010 à 15h51

Voici les photos.
Comme vous pouvez le voir la lésion est très importante. Pensez-vous que cette dent ai une chance? Mon maître de stage lui laissait 40% de chance, je n'ai pas de recul mais ça me semble beaucoup. J'ai preferé dire au patient que ça serrait délicat car il n'imaginait même pas la possibilité d'enlever la dent.
Pour la résection apicale, j'y avais penser mais la racine me semble déjà bien courte.
J'ai prévenu le patient de la perte osseuse et donc des difficultés posées pour une pose d'implant.
En cas de non évolution je pensais aller dans ce sens: extraction, un bon curetage, appareil amovible provisoire une dent (pas génial je sais), radio 3D pour voir le niveau osseux qu'il reste et RDV chez un implanto pour voir les possibilités (greffe osseuse... implant immédiat ou non...)

Avant xzcl7i - Eugenol
C ne en place ug4pvg - Eugenol
Obturation ocz3kw - Eugenol

eugenol1987

08/12/2010 à 15h54

excusez moi pour l'orientation des radiographies

je précise qu'en vestibulaire, il y a une voussure, c'est dépressible ce qui me premet de penser à la perte de la table osseuse externe


Hinanui

08/12/2010 à 16h27

Si je puis me permettre, pour le problème du dépassement, il faut que tu revois l'étape "ajustage du maître cône" pour faire tes endos.
Car je dirais, sur la radio d'essayage du cône, qu'il est ok en longueur, mais certainement pas en diamètre. Du coup, je pense qu'il frottait assez haut dans le canal et pas au niveau apical. Lorsque tu as condensé (j'imagine avec un spreader.), le cône a glissé à travers l'orifice apical.
Le secret est dans le "tug back".


eugenol1987

08/12/2010 à 16h40

Mon cône est de calibre 30, c'est le plus gros que j'avais.
j'aurais du me douter qu'il allait s'enfoncer lors du condensage est le retiré un peu.
Pensez-vous que je devrais refaire l'endo ou attendre un peu?


zamzam

08/12/2010 à 17h29

La digue?


Blondie

08/12/2010 à 17h44

Bonjour,

Il me semble qu'il serait criminel d'extraire la dent en prmière intention. Ce genre de lésion bien traitée cicatrise souvent, et la gestion esthétique d'un implant en place de centrale n'est pas aussi simple qu'on le pense.

D'accord avec Hinanui en ce qui concerne le maître cône et la nécessité d'une restistance au retrait, surtout quand l'apex paraît élargi comme c'est le cas sur ta radio.

"Mon cône est de calibre 30, c'est le plus gros que j'avais."

Une étape importante du choix du maître cône est son ajustage. Tu aurais dû jauger le diamètre de ton apex et couper l'extrémité de ton cône de Gutta en fonction. Les praticiens ne disposent pas de tous les diamètres de cône possibles, ils les adaptent à la situation.

Dans ton cas, je reprendrais le traitement (sous DIGUE). Ton obturation n'est pas satisfaisante et ne permet pas de réaliser dans un second temps une chirugie à retro dans de bonnes conditions.


Blondie

08/12/2010 à 17h47

Autre chose, quel âge a ton patient ? (désolé si c'est marqué quelque part, j'ai relu mais je n'ai pas trouvé l'info).


Cuisinier2 vnbbxx - Eugenol
jeff2

08/12/2010 à 17h50

Blondie écrivait:
-----------------
> Autre chose, quel âge a ton patient ? (désolé si c'est marqué quelque part, j'ai
> relu mais je n'ai pas trouvé l'info).

effectivement, c'est la question que j'allais posée.
dépassé 18 ans , c'est extrcation, je ne comprend pas l'acharnbement thérapeutique sur une dent qui presente une telle rhyzalise et un problême infectieux. Plus on attends plus on perd de l'os.
Bien sur il y a les greffes on onlay osseuses, et il est préférable de les faire jeune, avant un bilan général dégénératif.


eugenol1987

08/12/2010 à 17h58

Le patient a 44 ans. Effectivement j'aurais du couper le bout de mon cône


Bagheera tudzjy - Eugenol
bagheerra

08/12/2010 à 19h01

Je garderai la dent,
mais il est dommage que la radio post-op n'ait pas été exploitée immédiatement, ce qui t'aurai permis de recommencer l'obturation "à chaud", avant la prise du ciment.
J'ai déjà vu des lésions plus grosses que ça, fistulisées, bien cicatriser après l'endo.


eugenol1987

08/12/2010 à 19h21

Merci pour vos réponses.
J'ai téléphoner au patient pour reprendre le traitement.
J'ai un peu peur de ne pas réussir à traiter le dépassement, de ne pas éliminer la pointe du cône. J'ai jamais eu ce genre de cas.


Blondie

09/12/2010 à 00h01

Quelle était ta technique d'obturation ? Je pense que tu devrais pouvoir retirer le cône d'un seul tenant.

A bientôt pour la suite :-)


nïgel

09/12/2010 à 09h29

Tu touches à rien pour le moment.Ca va cicatriser tou doucement tu verras...Tu revois dans 6 mois , tu vérifies la vitalité de la latérale également..Au pire une resection apicale..Wait and see for me ..


zezette

11/12/2010 à 22h47

Ton traitement est perfectible en longueur et en densité.
Envoie au service endo de ta fac pour désobturer et refaire le traitement avec pose d'un bouchon de MTA, si tu n'as pas la possibilité de le faire toi-même. La cicatrisation de cette lésion est tout à fait possible. Surtout ne pas extraire en première intention. Pour évaluer l'épaisseur de la corticale externe tu peux demander un cone beam.


zezette

11/12/2010 à 22h48

... et surtout NE PAS OUBLIER LA DIGUE!!!!!!!


house

12/12/2010 à 08h05

salut à tous,

une question : canal sec?
une astuce utile : le cône moulé !
un reproche : la digue !

perso je serai pour le retraitement, bon courage pour ton cas !


Willy Pertot

12/12/2010 à 13h57

Sans aucun doute.
Extraire une incisive centrale et mettre un implant parce qu'il y a une lésion ? Qui accepterait qu'on lui fasse ça si c'était sa propre dent ?
D'abord sondage soigneux du sulcus et vérification de l'attache.
Retraitement - en fonction du diamètre apical cone moulé ou bouchon de MTA.
Surveillance
Si non cicatrisation : chir endo avec obturation a retro.


bilal

12/12/2010 à 14h10

bonjour willy.

merci de nous conforter ..
question résiduelle : une ROG associé à l'éventuelle chir apicale serait- elle nécessaire, efficace, utile ?

CC


Willy Pertot

13/12/2010 à 11h45

Il y peu d'étude sur l'utilité de la ROG en chirurgie endo.
S'agissant de lésion fermée, les lésions cicatrisent très bien.
La ROG est réservée aux cas de lésions "through and through", où les 2 corticales sont détruites, pour éviter la formation d'une cicatrice fibreuse, ou dans le cas de "grosses" lésions (à partir de combien de diamètre et de profondeur ?) pour éviter une invagination du conjonctif du lambeau.
Les partisans de la ROG systématique estiment que c'est le seul moyen de recréer une corticale ad integrum sans une légère dépression.
Mais cela n'a jamais été démontré par une étude comparative.
Donc cela m'est arrivé d'en utiliser dans les indications que je viens de citer.
Ce que je n'aime pas avec les comblement c'est qu'il est difficile de suivre l'évolution de la cicatrisation et il m'est arrivé de voir des cas d'échec avéré, avec douleur et / ou fistule alors que l'image radio donnait l'impression d'absence de problème du fait de la présence du comblement.


eugenol1987

13/12/2010 à 19h13

Merci pour vos réponses. Je précise que je ne voulais pas extraire pour extraire mais je ne pensais pas qu'une telle lésion pouvait cicatriser.
J'aurais appris beaucoup de choses sur ce cas.
Au final, mon maître de stage préfère laisser 3 mois pour voir l'évolution au besoin réintervenir.

Une question: qu'appelez-vous maître cône moulé?


12