Cookie Consent byPrivacyPolicies.comRéglage appareil photo Reflex - Eugenol

Réglage appareil photo Reflex

Tortiphile

28/01/2011 à 14h59

Amis de la photos bonjour,
Nouveau membre du forum, j'ai pu profiter des précédents sujets pour choisir un app photo (merci à Ceramik, Champeux et les autres). Mon choix s'est porté sur un Nikon D90 et flash Metz 15 ms-1. En ce qui concerne l'objectif la sélection n'a pas été facile...

- Distance de travail suffisante :
un lien intéressant http://photomed.net/macro_lenses.htm#n85
Bien distinguer distance de mise au point mini et distance de travail! Et oui avec un 105mm on n'est pas forcément plus loin qu'avec un 85mm (si l'objectif s'allonge je suppose?)

- Nécessité de faire aussi des portraits, dur-dur de s'y retrouver... j'ai longuement hésité!

Finalement j'ai opté pour le Nikon 85mm Macro. Je suis très content de mon choix (bon compromis pour mon utilisation d'orto).

Maintenant l'heure des réglages...
Pouvez-vous me donner quelques conseils.
Merci.


Image 4 lrchtq - Eugenol
Alain

28/01/2011 à 16h15

sur mon D90, je ferme le diaphragme à fond pour avoir le max de profondeur de champ, tout le reste restant en automatique.

donc mode auto avec priorité au diaphragme pour bibi mais tu peux aussi le faire en mode manuel.


Pierre-E

28/01/2011 à 16h30

mode A et ouverture à 22, c'est ce qu'on m'a préconisé à l'ADF.

Le 85 est celui que j'ai également, aussi bon et bien moins cher que le 105 (430 contre 750 à peu près....)

APrès, de l'intérêt de faire une balance des blancs personnalisée.... ou de retaiter sur le Mac......


Grumpy cat ifik8s - Eugenol
radich_a_tord

28/01/2011 à 19h50

Sur le boitier :

Mode manuel
ISO 100
Ouverture F/22
Vitesse 1/160s
Balance des blancs : Flash

Sur le flash :
e-TTL Auto

Avec ça tu es sur d'avoir des photos nettes sur toute la profondeur de champ, pas de flou, les couleurs stables, etc.


Tortiphile

28/01/2011 à 23h07

Merci pour ces infos.
Quel réglage pour le flash du boitier?
Faites-vous une correction de flash?
Quid de la WB personnalisée?

En ce qui concerne les portraits quelques idées?
J'ai essayé en P sans le flash annulaire mais résultat moyen.
Avec le flash annulaire trop d'ombre portée.

Je reviens sur le nikon 85mm, en plus du coût plus raisonnable, il a le gros avantage d'être 2 fois moins lourd que le 105mm. Seul bémol l'ouverture à 3,5 au lieu de 2,8.


Grueavatar nptrc9 - Eugenol
Le Choixpeau magique

28/01/2011 à 23h14

Tortiphile écrivait:
--------------------
> Merci pour ces infos.
> Quel réglage pour le flash du boitier?

Il te faut un flash dédié à mon avis, en mode auto.

> Faites-vous une correction de flash?

Pas du flash directement mais de l'exposition selon les situations, oui.

> Quid de la WB personnalisée?

En raw pour moi, WB flash.

>
> En ce qui concerne les portraits quelques idées?
> J'ai essayé en P sans le flash annulaire mais résultat moyen.
> Avec le flash annulaire trop d'ombre portée.

Avec un D90 si ton cabinet est bien éclairé je te conseille de couper le flash, de monter les iso (640 ou 800), priorité ouverture et ouverture maximale, ça fait bien.

>
> Je reviens sur le nikon 85mm, en plus du coût plus raisonnable, il a le gros
> avantage d'être 2 fois moins lourd que le 105mm. Seul bémol l'ouverture à 3,5 au
> lieu de 2,8.

Non c'est pareil, en fait ces objectifs ont une conception de zoom, l'ouverture maximale varie avec la mise au point.
L'ouverture de 2,8 sur le 105 n'est valable qu'à trois mètres...

De toute façon en utilisation macro on s'en fiche.


Tortiphile

29/01/2011 à 00h03



Désolé Le Choixpeau j'avais ecorché ton nom!!!

Le Choixpeau magique écrivait:
> Avec un D90 si ton cabinet est bien éclairé je te conseille de couper le flash,
> de monter les iso (640 ou 800), priorité ouverture et ouverture maximale, ça
> fait bien.
>

Le Problème que j'ai c'est que la lumière du jour influe beaucoup sur les photos du visage. Faut-il placer un flash esclave. Je cherche une solution simple à coût raisonnable.

Autre problème, peut-on enregistrer 2 "programmes" sur le D90
(1 pour les intrabuccales, 1 pour visage) c'est fastidieux de modifier les réglages à chaque fois.


>En raw pour moi, WB flash.
raw c'est quoi?

Merci.


Image 4 lrchtq - Eugenol
Alain

29/01/2011 à 00h11

RAW est le format natif de l'image, compressé ou non mais sans perte de données, contrairement au JPEG.


Grueavatar nptrc9 - Eugenol
Le Choixpeau magique

29/01/2011 à 00h51

Tortiphile écrivait:
--------------------
> Le Problème que j'ai c'est que la lumière du jour influe beaucoup sur les photos
> du visage. Faut-il placer un flash esclave. Je cherche une solution simple à
> coût raisonnable.


Je fais ces photos avec les rideaux tirés et la lumière de mon plafonnier.

>
> Autre problème, peut-on enregistrer 2 "programmes" sur le D90
> (1 pour les intrabuccales, 1 pour visage) c'est fastidieux de modifier les
> réglages à chaque fois.

A ma connaissance tu ne peux pas, c'est vrai que c'est emmerdant.

> >En raw pour moi, WB flash.
> raw c'est quoi?

Ce sont les données brutes du capteur, ça te permet entre autres de modifier la balance des blancs à postériori sans y perdre.


Casque beotien a3jo39 - Eugenol
beotien

29/01/2011 à 12h48

le flash de mon d5000 ne veut plus jouer
une idée??


Tortiphile

29/01/2011 à 12h57

Le Choixpeau magique écrivait:
------------------------------
Portrait:
>
> Je fais ces photos avec les rideaux tirés et la lumière de mon plafonnier.
>

Pas de problème d'ombre porté?

Quels réglages pour l'appareil photo? Flash annulaire allumé ou non?

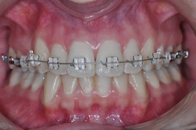
Intra-buccale:
Ci-joint une photo. Je trouve la profondeur de champ pas super, pourtant f=25?


8 gfippu - Eugenol

Img 3657 cwjvqm - Eugenol
alapex

29/01/2011 à 13h06

Ne mets pas au point sur les centrales mais sur les canines ou les 1ères PM , ça sera net devant et derrière .


Grueavatar nptrc9 - Eugenol
Le Choixpeau magique

29/01/2011 à 13h29

Tortiphile écrivait:
--------------------
> Pas de problème d'ombre porté?

Non, je déplace le patient jusqu'à ce que la lumière soit correcte, après ça dépend peut être du plafonnier.

>
> Quels réglages pour l'appareil photo? Flash annulaire allumé ou non?

Quel réglages pour quoi ?

>
> Intra-buccale:
> Ci-joint une photo. Je trouve la profondeur de champ pas super, pourtant f=25?

Tu as fait la MAP sur les brackets ! Tu es en MAP manuelle ?


Tortiphile

29/01/2011 à 13h36

Oui MAP manuelle


Tortiphile

29/01/2011 à 13h46

Je précise ma question :
- Pour les portraits faites-vous un réglage manuel ou auto
- Utilisation du flash annulaire ou non


Grueavatar nptrc9 - Eugenol
Le Choixpeau magique

29/01/2011 à 14h15

Tortiphile écrivait:
--------------------
> Je précise ma question :
> - Pour les portraits faites-vous un réglage manuel ou auto
> - Utilisation du flash annulaire ou non


Il me semble que les réglages je te les ai déjà donnés plus haut.
640 ou 800 iso, priorité à l'ouverture et ouverture maximale, pas de flash.


Avatar 46 aoi1yc - Eugenol
HononLulu

29/01/2011 à 14h30


Une piste que je vais utiliser:
J'ai un boitier+objectif+ flash canon, le tout réglé pour la prise en bouche et pour les portraits qui sont moins exigeants, j'utiliserai mon vieux coolpix Nikon ......ou même un APN à 100€ fait l'affaire ^^
Pour moi c'est la soluce la plus simple
--
FSDL , what else ?


Tortiphile

29/01/2011 à 15h14

J'ai compris mon erreur, je faisais la MAP sur les centrales.

Le Choixpeau magique écrivait:
------------------------------

> 640 ou 800 iso, priorité à l'ouverture et ouverture maximale, pas de flash.

Quelle mesure d'exposition (matricelle, pondérée ou spot)?

Ne penses-tu pas que le flash te permet d'imposer tes conditions d'éclairage et donc d'avoir quelque chose de reproductible?


Avatar 46 aoi1yc - Eugenol
HononLulu

29/01/2011 à 15h41

Voui, il vaut mieux choisir les canines pour la map.

--
FSDL , what else ?


Grueavatar nptrc9 - Eugenol
Le Choixpeau magique

29/01/2011 à 15h54

Tortiphile écrivait:
--------------------
> Quelle mesure d'exposition (matricelle, pondérée ou spot)?

Matricielle, mais tu dois toujours malheureusement modifier à la main en fonction de l'histogramme.

>
> Ne penses-tu pas que le flash te permet d'imposer tes conditions d'éclairage et
> donc d'avoir quelque chose de reproductible?

En macro oui, mais en portrait je n'aime pas le flash.
Ca fait des vilains cernes laids....

Ou alors tu fais la photo avant traitement avec le flash en pleine tronche, et la photo post traitement après coiffeur, maquillage et lumière naturelle ;)


Tortiphile

29/01/2011 à 16h02

Le Choixpeau magique écrivait:
------------------------------

> Ou alors tu fais la photo avant traitement avec le flash en pleine tronche, et
> la photo post traitement après coiffeur, maquillage et lumière naturelle ;)

Bonne idée!
J'avais déjà tendance à donner la photo avant sans sourire et après avec.


Tortiphile

29/01/2011 à 16h04

Le Choixpeau magique écrivait:
------------------------------

> Matricielle, mais tu dois toujours malheureusement modifier à la main en
> fonction de l'histogramme.
>

Quelques précisions SVP


Img 3657 cwjvqm - Eugenol
alapex

29/01/2011 à 19h52

Tortiphile écrivait:
--------------------
> J'ai compris mon erreur, je faisais la MAP sur les centrales.


Bin oui et t'avais la réponse à 12 h 06...


Tortiphile

29/01/2011 à 21h27

Merci Alapex!


Casque beotien a3jo39 - Eugenol
beotien

29/01/2011 à 21h45

alapex écrivait:
----------------
> Tortiphile écrivait:
> --------------------
> > J'ai compris mon erreur, je faisais la MAP sur les centrales.
>
>
> Bin oui et t'avais la réponse à 12 h 06...


et bien moi j'ai pas eu de reponse à ma question de 11H 48
mdr!


12