Cookie Consent byPrivacyPolicies.comCas d'implantologie avec ou sans comblement ou comment - Eugenol

Cas d'implantologie avec ou sans comblement ou comment garder l'os

Dental crown 1  z2yues - Eugenol
Drnewaza

03/02/2011 à 01h20

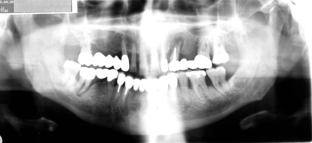
Patient 56 ans venu en urgence pour fracture de la 23 sous bridge (ne veut pas d'adjointe)
Quel traitement vs proposez de facon chronologique :
-traitement sectoriel pour palier à l'urgence ou traitement globale vue le reste de la bouche, sachant que le patient veut conserver ces bridges le plus longtemps possible (pas de douleurs,ni de gênes sur les autres bridges)??

-Extractions 23 26 (avec comblement pour garder de l'os... ou sans comblement vue le terrain infectieux...) ??

-Provisoire sans fausse gencive?? mais pas de compression de la zone si chir pré-implantaire..
-Garde la 27 pour tenir le crochet du provosoire et la DV ou extraire pour assainir??

J'ai pleins d'idées mais chacunes ont des avantages et des inconvénients.

P.S: désolé pour la mauvaise qualité des pano

Opt1lag12 eweogs - Eugenol
Opt lag12 p2a1hr - Eugenol

folofrine

03/02/2011 à 01h24

D'après moi, un bilan long cône est indispensable.
Un scanner aussi, pour prévoir le comblement.
Et ce serait pas mal d'avoir des photos.
Comment est la gencive? Le patient a t il une parodontite?


Dental crown 1  z2yues - Eugenol
Drnewaza

03/02/2011 à 01h37

Voici la photo de la gencive une fois le bridge déposé..

(je ne suis pas un pro de la photo, on fait comme on peut quand on débute..)

Il va bientôt faire son cone beam... mais supposons qu'il y a la largeur nécessaire..

Lag4 kgam0c - Eugenol

folofrine

03/02/2011 à 01h48

Bilan long cône indispensable car c'est sûr, vu le peu que je vois sur cette photo, il y a une paro.
D'abord traitement de la paro, assainissement, et revoir tout l'enseignement de l'HBD car sur un patient pareil, rien ne tiendra longtemps.
Tu fais les extractions en même temps que l'assainissement paro.


folofrine

03/02/2011 à 01h49

Visiblement tu devras faire un comblement mais il y a tellement de plaque et l'infection est telle que je te conseille de ne pas faire le comblement le jour des extractions. Il faudra passer par une phase de PA provisoire.


folofrine

03/02/2011 à 01h49

Visiblement tu devras faire un comblement mais il y a tellement de plaque et l'infection est telle que je te conseille de ne pas faire le comblement le jour des extractions. Il faudra passer par une phase de PA provisoire.


Smile beach jgh0a1 - Eugenol
Céramik

03/02/2011 à 03h18

folofrine écrivait:
-------------------
> D'après moi, un bilan long cône est indispensable.
> Un scanner aussi, pour prévoir le comblement.
> Et ce serait pas mal d'avoir des photos.
> Comment est la gencive? Le patient a t il une parodontite?


Paro ?
Oui et oui, c'est un terrain paro ++ cette bouche.
Bilan radio, bilan paro, exo des dents moches (comblement à voir)
Pl de Tx implants après scanner
Adjointes provisoires : option valable


Il manque bcp de pièces au puzzle...

--
Céramik


flicflac

04/02/2011 à 05h31

patient fumeur? dent 47 en péril... dent 23-26 conserver quel os... la paro et l'infection suite à la fracture l'on fait disparaître... perte de la plaque buccale sûre pour dent 23.... exo et très bon curetage et ....


Dental crown 1  z2yues - Eugenol
Drnewaza

04/02/2011 à 13h06

.... et .. la suite
Patient non fumeur
Il y a un problème d'occluso et de paro
J'ai débuté la motiv à l'hygiéne brossage, brosette.. etc
J'ai fait un meulage sélectif pour éliminer les interférences travaillantes et non travaillantes
Mais la situation me parait bien avancé!
Patient volontaire, fait son travail d'hygiène (pas correctement au début, ms se donne du mal). Mais veut faire par secteur, a peur d'un traitement global avec extr multiples alors qu'il n'a pas de "gêne" de l'autre côté.. C'est tout le problème de ce genre de patient.
De plus, il est vrai qu'il doit avoir un os du pré-max béton car les inc sup ne bougent pas!!

Ma question est: (Alors q je sais qu'il ne faut pas de paro ds une bouche pour prévoir un ttt implantaire) Peut on assainir un quadrant (extr, partiel prov, comblement) et poser des implants alors qu'il y a des problèmes de l'autre côté de la bouche 47, 17...?


Smile beach jgh0a1 - Eugenol
Céramik

05/02/2011 à 03h50

Drnewaza écrivait:
------------------
> Peut on assainir un quadrant (extr, partiel prov,
> comblement) et poser des implants alors qu'il y a des problèmes de l'autre côté
> de la bouche 47, 17...?


non...pas pour moi...mais si tu aimes le risque...vas-y


--
Céramik


Avatar ow44t3 - Eugenol
Chicot

05/02/2011 à 11h01

Tu crois que ton quadrant "assaini" va rester sain longtemps ? Les amibes, spiro, bacilles,...

Vont rester bien sagement à distance de ton quadrant assaini ? Tu rêves !

La paro c'est gobal ou rien du tout, s'il reste des réservoirs bactériens c'est l'échec assuré

Une periimplantite c'est assez galère comme ça à traiter alors ne la favorise pas

--
;O)