Cookie Consent byPrivacyPolicies.comappareil photo - Eugenol
cocobret

20/03/2011 à 20h18

Merci à tous.
Grâce à vous, si j'ai bien compris, au moins je ne ferais pas de grosse erreur.
Le choix se fera cette semaine au dernier moment devant mon ordi (achat sur internet) en fonction des dispos et des différences de prix.
Pour l'instant je ne suis pas attiré par la photo à titre perso mais j'ai 2 filles en bas age et je sais que je peux éventuellement me prendre au jeu de la photo.
Je vous tiendrai au courant.
Merci d'avoir essayé d'éclairer ma lanterne


cocobret

31/03/2011 à 11h18

Je me suis décidé pour prendre un canon 550D et pour des raisons de budget, je vais prendre du sigma au du flash annulaire.
Pour l'objectif, sigma propose un 105 ou un 70(qui peut être un bon compromis peut-être) ou alors le 60 de chez Canon qui n'a que de bonnes critiques mais qu'en est-il de la compatibilité d'un flash sigma et d'un objectif canon (n'est-il pas mieux d'avoir tout de la même marque...)

PS: sur les commentaire du 70 sigma, certaines critiques parlent d'un allongement interne... est-ce que ça peut être problématique pour nous?



Désolé de revenir avec des questions à nouveau


Gonzo k0qhwz - Eugenol
matten

31/03/2011 à 13h56

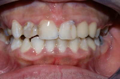
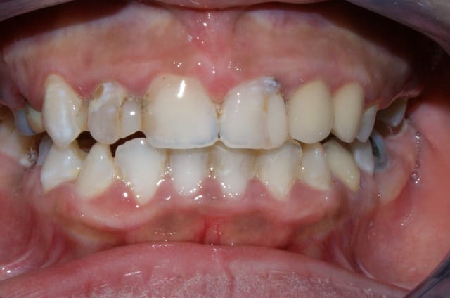
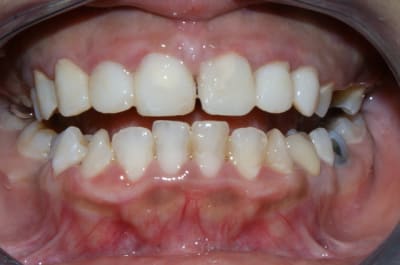
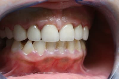
Voila ce que je prenais comme photo avec un sony a350 (jme le suis fait pique y'a 1 an) avec l'objo de base 18-55.

Pas de flash special/

Ouverture reglée sur f32 je crois.


Je pense que ca suffit pour 99% des indications.


La je viens de m'acheter un sony a580 c'est tres tres bon.(pas encore de photo)

Mais franchement un kit reflex + objo de base a 380€ comme le sony alpha 290 qu'on trouve a la fnac fait aussi bien!

Dsc03388 fsmi4p - Eugenol
Dsc03390 kuwt0d - Eugenol
Dsc03339 shbfui - Eugenol
Dsc03357 xnqxdz - Eugenol
Dsc03391 azkxbk - Eugenol

Gonzo k0qhwz - Eugenol
matten

31/03/2011 à 14h45


> qu'en est-il de la compatibilité d'un flash sigma et d'un objectif canon
> (n'est-il pas mieux d'avoir tout de la même marque...)


Le materiel sigma a les references compatible pour chaque marque donc no pb!


Grueavatar nptrc9 - Eugenol
Le Choixpeau magique

31/03/2011 à 15h32

cocobret écrivait:
------------------
> qu'en est-il de la compatibilité d'un flash sigma et d'un objectif canon
> (n'est-il pas mieux d'avoir tout de la même marque...)

La marque ce n'est pas un problème, par contre il faut penser à acheter chez sigma la bague adaptatrice du bon diamètre pour mettre sur l'objectif.

>
> PS: sur les commentaire du 70 sigma, certaines critiques parlent d'un
> allongement interne... est-ce que ça peut être problématique pour nous?
>

Les objectifs macro à bas coût ont justement tous le problème de l'allongement (en général on dit plutôt externe justement): quand l'objectif fait la mise au point, il s'allonge (ou se raccourcit). Si tu es très proche de ta cible, ça peut éventuellement être embêtant.
Les objectifs haut de gamme ont généralement un allongement "interne", la longueur de l'objectif ne varie pas quand on fait la mise au point.


cocobret

31/03/2011 à 15h55

Ok, merci de cette réponse


12