Cookie Consent byPrivacyPolicies.comQuestion pour les pros de la paro: - Eugenol

Question pour les pros de la paro:

S2y2o1v7q53ws4r5wy6ou8czrpom - Eugenol
pxav

10/02/2011 à 09h08

pxav écrivait:
--------------
> Chicot écrivait:
> ----------------
> > Rassure moi, c'est des provisoires ?
> >
> > --
> > ;O)
>
> Tu connais quelque chose de définitif, toi, à par la mort?
> Il y a du provisoire et de la prothèse d'usage, mais où?

> --
> xbk

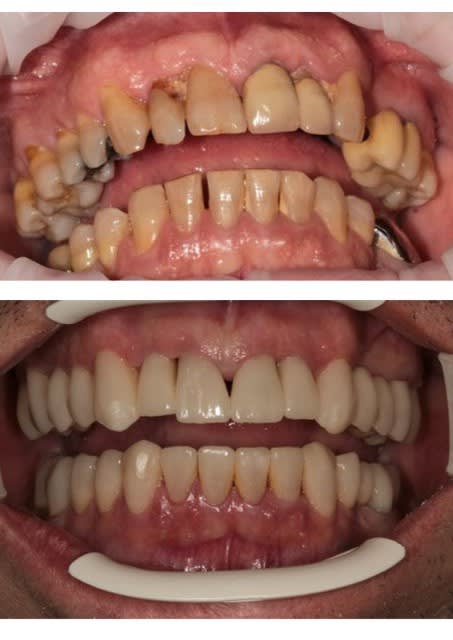
Personne ne trouve les provisoires?
c'est dommage, car il y a un petit truc sympa quand même dans cette bouche.
--
xbk

Img comp asxexa - Eugenol

Avatar ow44t3 - Eugenol
Chicot

10/02/2011 à 09h25

J'aurai dit toute mais bon....

--
;O)


Casque beotien a3jo39 - Eugenol
beotien

10/02/2011 à 09h40

12 22
bloc Inc en bas

En regardant le point de départ, tu t'en sors très bien
Bon courage s'il n'arrete pas de fumer
Maintenant tu attends qu'il touche la cmu avant de finir!

On ne fait qques fois pas mieux en y passant 3 ans


 mg 0207 xwjxcl - Eugenol
Tillc

10/02/2011 à 22h14

noahaxeltiger-olivier écrivait:
-------------------------------
> Chicot écrivait:
> ----------------
> > Phase 2 en fonction de la flore présente : AB par voie locale ou générale et
> > réévaluation à 1 mois
> > Phase 3 si hygiène ok et flore compatible: détartrage pour éliminer le tartre
> > sous et sus gingivale soit en 1 grosse séance soit en 4 séances
>
> Chicot (je sais que Bonner est ton mentor en paro) donnes moi 1 bonne raison (
> j'entends par la preuve scientifique) de donner des AB a un patient présentant
> une parodontite chronique. Il n'y a absolument aucune étude qui supporte ce
> genre de ttt!! Un traitement causal parodontal non chirurgical classique et SANS
> AB donnera d'aussi bons résultats !!
>
> Je rajouterais a cela que donner des AB avant même de retirer les dépôts
> tartriques supra et sub gingivaux donne encore moins de crédibilité a ton plan
> de traitement !!!

Sans vouloir faire mon pti peteux de 30 ans Olivier tu as :

Systemic anti-infective periodontal therapy. A systematic review.
Haffajee AD, Socransky SS, Gunsolley JC.

Tu as aussi la conférence de consensus de 2008 qui fait aussi "consensus" :
Antimicrobial therapy in periodontitis: the use of systemic antimicrobials against the subgingival biofilm.
Herrera D, Sanz M.
Conclusion : If systemic antimicrobials are indicated in periodontal therapy, they should be adjunctive to mechanical debridement. There is not enough evidence to support their use with periodontal surgery. Indirect evidence suggests that antibiotic intake should start on the day of debridement completion, debridement should be completed within a short time (preferably <1 week) and with an adequate quality, to optimize the results.

N'hesite surtout pas a me contredire si je dis n'importe quoi mais :
- L'utilisation d'antibiotiques systemiques apres la thérapeutique initiale amene une legere amelioration en terme de gain d'attache et reduction de poches.
- En terme de santé publique le faible gain ne justifie pas leurs emplois de maniere systematiques.
- La prescription d'ab doit etre jugé au cas par cas .
- A part quelques etudes de Listgarten on n'a pas encore de protocole precis pour la posologie.

En conséquence je prescrit des antibiotiques que chez les patients avec qui je risque de ne pas obtenir les résultats voulu apres une TI. Notament les fumeurs qui n'arrivent pas a arreter, les diabetiques (meme equilibré) .

Concernant le post de Chicot c'est vrai que c'est de la grosse connerie de donner des AB avant un DSR, il est prouvé par tous les revues de litteratures, les meta analyses et etudes longitudinales que ca ne sert strictement a rien !


Img 8465 fqhxid - Eugenol
noahaxeltiger-olivier

10/02/2011 à 23h19

Je ne pense pas Tillc que tu as lu les articles auxquels la review de Socransky se refere!!
Je ne pense pas non plus que tu as pris note des hypothèses auxquelles l'article de Herrera et Sanz a pour but de répondre : il ne s'agit en aucun cas de la justification de l'utilisation des AB lors du ttt des paros chroniques !

Il faut apprendre a lire plus que les abstracts!


Avatar ow44t3 - Eugenol
Chicot

11/02/2011 à 00h20

Quand je parle d'AB je pense metronidazole pour lutter contre les amibes, mais là je vais encore plus choquer ! Mais il ne s'agit en aucun cas de systématiser les AB. La première étape incontournable reste le contrôle de plaque puis le débridement non agressif pour ne pas diminuer le potentiel de cica de l'organisme. Ensuite l'élimination des réservoirs et si nécessaire un coup de pouce médicamenteux mais pas en première intention sur une parodontite chronique. Les photos de pxav ne permettent pas de faire un diagnostic du type de parodontite même si elles évoquent une bonne vieille paro chronique avec des foyers très actifs sur les latérales.

N'empêche que les poches se referment après débridement s'il n' y a plus d'amibes. Mais faut-il encore admettre qu'il puisse y avoir des amibes et de leur rôle dans les parodontites. Une brosse à dent permet de nettoyer sur , allez, 2 mm sous gingival, élimine la plaque supra, évite l'apparition d'anaerobies surtout avec l'H2O2, mais quand la poche est là, remplie d'amibes que faire alors ?

Le microscope c'est un peu comme le thermomètre du toubib, c'est un plus, mais ça ne fait pas tout, loin de là.

Je ne suis qu'un p'tit CD qui fait de son mieux dans son coin, mais comme je fais pas mal de formations, je vois l'évolution des mentalités ces dernières années. Le mois dernier, au cours d'une session du DU d'esthétique du sourire, un conférencier (JC Paris) nous a dit que ses patients passaient par la paromed avant toute réhabilitation globale et qu'il était bleuffé par la qualité du parodonte après traitement type charron ou bonner.
Mais p'être que lui aussi se plante aussi.

Qui est revenu de la paromed vers la paro chir ici ? Qu'il apporte son témoignage
Qui a quitté la paro chir vers la paromed ? Qu'il parle aussi

Je suis 100% partant tous les conj enfuis, greffes muccogingivales,.... Mais contre les lambeaux d'assainissement en première intention voila tout.

Si un simple contrôle de plaque et un bon coup d'US suffit je ne vais pas plus loin.

--
;O)


Smile beach jgh0a1 - Eugenol
Céramik

11/02/2011 à 01h43

pxav écrivait:
--------------
>> J'en profite pour te remercier Céramik, c'est toi qui m'a donné le goût de ce
> genre de cas.
> Les photos de départ
> --

Salut

Au moins tes photo ont fait de net progrès !

3 semaines du début (photo pleine de tartre)
au photo "finales" ?
Très bien, mais très risqué...

J'aurais fait paro, ensuite maintenance 3 mois minimum, puis provisoires quelques semaines, puis céram.
Dons en moins de 6 mois, je vois pas comment avoir des résultats stable.

J'aime pas trop le niveau osseux, surtout la 23.

Tu as jumellé les dents ?

Tu as une pano après ?

Ciao




--
Céramik


Img 8465 fqhxid - Eugenol
noahaxeltiger-olivier

11/02/2011 à 02h14

Chicot écrivait:
----------------
> Je suis 100% partant tous les conj enfuis, greffes muccogingivales,.... Mais
> contre les lambeaux d'assainissement en première intention voila tout.

Tu m'as entendu prôner la thérapeutique parodontale chirurgicale en première intention ?!?!
Je n'ai jamais dit ca et des cas traités avec simple traitement parodontal causal non chirurgical j'en ai plusieurs centaines.

> Si un simple contrôle de plaque et un bon coup d'US suffit je ne vais pas plus
> loin.

On est tout à fait d'accord.

Amicalement
Olivier


Avatar ow44t3 - Eugenol
Chicot

11/02/2011 à 08h50


>
> On est tout à fait d'accord.
>
> Amicalement
> Olivier

Ouf !


--
;O)


S2y2o1v7q53ws4r5wy6ou8czrpom - Eugenol
pxav

11/02/2011 à 17h30

Céramik écrivait:
-----------------
> pxav écrivait:
> --------------
> >> J'en profite pour te remercier Céramik, c'est toi qui m'a donné le goût de ce
> > genre de cas.
> > Les photos de départ
> > --
>
> Salut
>
> Au moins tes photo ont fait de net progrès !
>
> 3 semaines du début (photo pleine de tartre)
> au photo "finales" ?
> Très bien, mais très riqué...
>
> J'aurais fait paro, ensuite maintenance 3 mois minimum, puis provisoires
> quelques semaines, puis céram.
> Dons en moins de 6 mois, je vois pas comment avoir des résultats stable.
>
> J'aime pas trop le niveau osseux, surtout la 23.
>
> Tu as jumelé les dents ?
>
> Tu as une pano après ?
>
> Ciao

> --
> Céramik

Salut Alain
pas de pano après, pour le moment
d'accord avec toi pour le niveau osseux sur 23, mais le planning a été fait avec implant en 24 et 25,avec expansion (petit film?)le bridge (pressée) 23/26 est donc provisoire, (petite expérience de ma part)
d'accord avec toi sur le planning mais ce n'étais pas possible.

--
xbk


Smile beach jgh0a1 - Eugenol
Céramik

12/02/2011 à 00h51

pxav écrivait:
--------------
> d'accord avec toi sur le planning mais ce n'étais pas possible.
>
> --
> xbk
>

alors qui prend le risque si cela se casse la gueule ?
le patient ? ou toi ?

Tu as fais un devis lourd j'espère, dans le style pour vous , avec VOTRE risque, c'est 200% du devis normal, et encore je suis gentil...

Les cie d'assureurs évaluent les risques et font payer les contrats d'assurances selon les risques, alors pourquoi pas nous ?

Tu revois le patient quand ?


--
Céramik


 mg 0207 xwjxcl - Eugenol
Tillc

12/02/2011 à 09h43

noahaxeltiger-olivier écrivait:
-------------------------------
> Je ne pense pas Tillc que tu as lu les articles auxquels la review de Socransky
> se refere!!
> Je ne pense pas non plus que tu as pris note des hypothèses auxquelles l'article
> de Herrera et Sanz a pour but de répondre : il ne s'agit en aucun cas de la
> justification de l'utilisation des AB lors du ttt des paros chroniques !
>
> Il faut apprendre a lire plus que les abstracts!

Roh le vilain qui se fou de ma gueule, attend jvais t'en trouver des articles moi !


S2y2o1v7q53ws4r5wy6ou8czrpom - Eugenol
pxav

12/02/2011 à 10h21

Céramik écrivait:
-----------------
> alors qui prend le risque si cela se casse la gueule ?
> le patient ? ou toi ?

> Tu revois le patient quand ?
> --
> Céramik

La liberté du choix, bien que rapide dans la décision, appartenait au patient,c'est lui qui est venu demander une solution .
Néanmoins, il est évident que le risque doit être partagé, donc j'assumerais si besoin, mais pour le moment l'équilibre semble bon.
je surveille régulièrement, et bientôt expansion et implant.
--
xbk


 mg 0207 xwjxcl - Eugenol
Tillc

12/02/2011 à 10h46

Bon bein j'ai trouvé une revue systematique...

A Systematic Review of Clinical Efficacy of Adjunctive
Antibiotics in the Treatment of Smokers With Periodontitis

Conclusions: The present systematic review concludes that
the evidence for an additional benefit of adjunctive antibiotic therapy in smokers with chronic periodontitis is insufficient and inconclusive. Additional well-designed RCTs are required to assess the effect of antibiotics in conjunctionwith periodontal treatments in smokers. J Periodontol 2010;81:1518-1528

Comme souvent j'ai eu la langue plus rapide que le cerveau . Jvais arreter de donner des Ab aux fumeurs au moins le forum sert a ca :)


12