Cookie Consent byPrivacyPolicies.comParo ultra agressive chez une jeune femme de 30 ans. - Eugenol

Paro ultra agressive chez une jeune femme de 30 ans.

folofrine

15/02/2011 à 14h23

bonjour à tous,
je fais de la paro au depuis plus de huit ans et cela fait depuis six ans que j'applique la méthode Charon.

Dans toute cette période, je n'ai pour ainsi dire quasiment jamais eu de cas de parodontite agressive aussi importante que celle ci.
Je me pose des questions non pas sur le traitement mais sur vos avis quant à la prédictibilité du traitement.
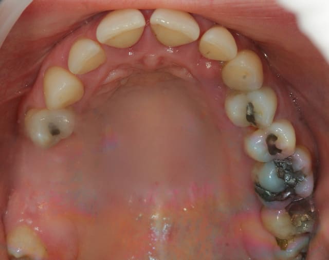
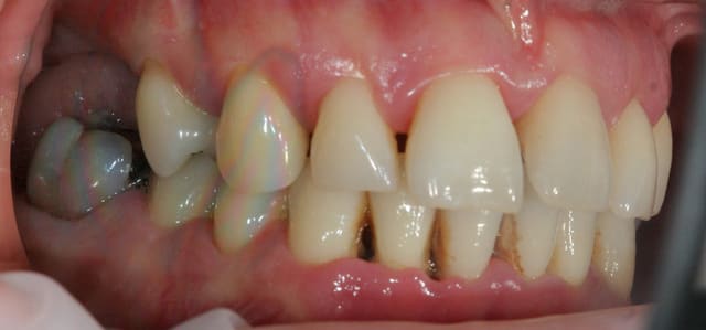
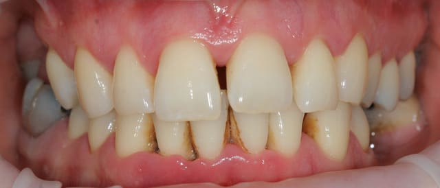
la patiente est très jolie, elle a 30 ans, a consulté deux ou trois dentiste en l'espace de 10 ans, le dernier détartrage date il y a trois ans et il n'a pas été terminée apparemment car la patiente avait trop de douleurs, et aujourd'hui elle est adressée par un hôpital parisien qui devait lui poser des implants et qui devant la panoramique a renoncé sans pour autant la diriger correctement.

Le traitement que je vais proposer est un traitement à base de désinfection eau oxygénée et Bicar plus pendant un mois, par la suite antibiothérapie Augmentin plus Flagyl sur huit jours, conjointement à la réalisation de lambeaux d'assainissement avec comblement soit à laide du novabone qui me donne de bons résultats, soit à l'aide du putty d'osteobiol de chez Pred.
Une contention sera réalisée en bas (mobilités très importantes) . En haut curieusement il n'y a que très peu de mobilités.
D'après vous, que faut-il avoir comme discours avec cette patiente (hormis évidemment l'arrêt du tabac, l'hygiène bucco-dentaire etc.)?
faut-il être très pessimiste ou lui donner un peu d'espoir quant à la conservation de ses dents dans le futur.

PS : ce qui me donne pas mal d'espoir dans ce cas-là, c'est tout de même les nombreuses lésions angulaires, qui vont bien accepter la pose de biomatériaux.

Img 8275 beqjpd - Eugenol
Blc fv3qmg - Eugenol
Img 8276 zeko8z - Eugenol
Img 8277 ea32i8 - Eugenol
Img 8278 xlhq9o - Eugenol
Img 8280 atsgeh - Eugenol
Img 8281 aywydr - Eugenol

 mg 0207 xwjxcl - Eugenol
Tillc

15/02/2011 à 14h50

folofrine écrivait:
-------------------
> bonjour à tous,
> je fais de la paro au depuis plus de huit ans et cela fait depuis six ans que
> j'applique la méthode Charon.

Bonjour, deja pour commencer il faudrait faire quelques choses qui marche et qui est cliniquement prouve...


> la patiente est très jolie

marocaine ? malienne ? L'origine geographique peut jouer sur la maladie ( clone jp2 pour les initiés)



> Le traitement que je vais proposer est un traitement à base de désinfection eau > oxygénée et Bicar

Pourquoi pas, ca va reduire le niveau d'inflammation initiale avant de debuter le traitement effectif .

par la suite antibiothérapie Augmentin
> plus Flagyl sur huit jours,

Surtout pas... Toujours commencer par les surfacages avant de prescrire les AB .






conjointement à la réalisation de lambeaux d'assainissement avec comblement soit à laide du novabone qui me donne de bons résultats, soit à l'aide du putty d'osteobiol de chez Pred.

emdogain ca marche aussi super !


> Une contention sera réalisée en bas (mobilités très importantes) . En haut curieusement il n'y a que très peu de mobilités.

d'accord avec toi


> D'après vous, que faut-il avoir comme discours avec cette patiente (hormis
> évidemment l'arrêt du tabac, l'hygiène bucco-dentaire etc.)?
> faut-il être très pessimiste ou lui donner un peu d'espoir quant à la > conservation de ses dents dans le futur.

Non dans un cas similaire j'ai été franco, ni trop, ni trop peu : vous etes en train de perdre vos dents a cause d'une maladie blablabla certaine dents semblent compromise ( sans les nommer) blablabla On va faire du mieux possible mais sachez que c'est vous qui tenez la clef du succes dans vos mains blablabla vous pourrez perdre des dents mais on possede toujours une solution pour la remplacer blablabla.

> PS : ce qui me donne pas mal d'espoir dans ce cas-là, c'est tout de même les nombreuses lésions angulaires, qui vont bien accepter la pose de biomatériaux.

Moi ce qui me donne l'espoir c'est que les patients sont tellement paniqué par l'annonce du probleme que j'ai rarement eu des problemes pour l'application des consignes d'hygienes.

Bon courage !


folofrine

15/02/2011 à 14h59

Merci Tiilc de ta réponse.
La patiente est Blonde aux yeux (très) bleus et française je pense..
Pour le traitement Bicar ^plus et eau ox cela permet de diminuer l'inflammation mais également le taux de bactéries en bouche. Pareil pour l'antibiothérapie qui va faire un ménage très large. Je pense qu'il est indispensable de le faire avant les traitement chirurgicaux car il y a rique de dissémination et de délocalisations des bactéries ultra pathogènes telles les AA et PG.
Franchement le bouquin de Jacques Charon (la 2ème édition) est vraiment bien fait et je t'assure qu'il ne parle que de science! Ce n'est pas du vent.
Par contre les vrais puristes Charon te diront de d'abord faire un traitement non chir et après de faire un traitement chir, idée à laquelle je n'adhère pas.


Grueavatar nptrc9 - Eugenol
Le Choixpeau magique

15/02/2011 à 16h24

Augmentin + Flagyl !?!?


folofrine

15/02/2011 à 16h37

Oui, oui, je confirme c'est bien cette tri-thérapie... C'est documenté.


Grueavatar nptrc9 - Eugenol
Le Choixpeau magique

15/02/2011 à 17h24

Ca m'intigue, tu aurais les références stp ?


folofrine

15/02/2011 à 20h42

Je vais tout faire pour les retrouver. Déjà je sais que la société Pierre Fabre qui commercialise le perio-analyse, donne dans son flyer sur ce test les différentes antibiothérapies adaptées.
Mais ce n'est pas un scoop. On connait déjà l'association Clamoxyl+ Flagyl. C'est un truc que j'ai appris à la fac déjà il y a 10 ans.


folofrine

15/02/2011 à 20h46

Pour revenir à mon cas clinique ce que j'attends de mes amis d'Eugenol c'est d'avoir vos expériences sur un cas comme celui ci que je trouve personnellement rare eu égard de l'âge de la patiente.
Avez vous déjà essayer de traiter un pareil cas? Avez vous eu des gains osseux (sur les lésions angulaires) Avez vous plutot eu des echecs...
Ce qui me permettrai de dire à ma patiente si c'est une situation pessimiste ou si ça peux marcher.
Le sujet de la forme du traitement (Charon, chirurgical, etc...) a déjà été débattu sur ces colonnes mintes et maintes fois et chacun avec son expérience, on ne peux pas être tous d'accord.


Img 8465 fqhxid - Eugenol
noahaxeltiger-olivier

15/02/2011 à 21h35

Quelles sont dans le cas que tu nous présentes les lésions angulaires que tu juges avoir un bon potentiel régénératif ? Pourquoi ?


folofrine

15/02/2011 à 21h45

Principalement les lésions en forme de cuvettes que l'on retrouve en secteur 2 et 4. Cette forme de lésions permet une meilleure tenue du biomatériau et permet un afflux sanguin perpendiculairement à la paroi. C'est le même principe que la cicatrisation d'une alvéole intacte sans paroi manquante.
Théoriquement après cica, on peux esperer une réossification au mieux jusqu'à la limite haute de la cuvette.
Olivier, ta question m'etonne...


Img 8465 fqhxid - Eugenol
noahaxeltiger-olivier

15/02/2011 à 21h59

Ma question ne devrait pourtant pas t'étonner.
Est ce une régénération parodontale que tu recherches ou un comblement d'un défaut osseux ?


sisterofmercy

15/02/2011 à 22h04

Tillc écrivait:
---------------
>
>
>
>
>
> par la suite antibiothérapie Augmentin
> > plus Flagyl sur huit jours,
>
> Surtout pas... Toujours commencer par les surfacages avant de prescrire les AB .
>

>
Je plussoie, d'abord diminuer la masse bactérienne avant de traiter par ATB au moins 3 semaines à doses efficaces. La chirurgie ne dissémine rien du tout. Aa et Pg ont un pouvoir d'invasion tissulaire.


 mg 0207 xwjxcl - Eugenol
Tillc

15/02/2011 à 22h29

serieux folofrine n opere pas avant de faore les surfacages tu vas la pourrire sinon


19066 1223810679128 1344811835 30546764 2261510 n medium ozxaxj - Eugenol
vitalic

15/02/2011 à 22h44

Malgré l'atteinte paro terminale, elle a encore surement un joli sourire.
ça va être un sacré défi pour obtenir un si joli résultat ...
avec une réhabilitation complète sur implants.

Le plus important est d'informer la patiente sur l'issue évidente d'une telle atteinte paro.
Et de lui dire qu'on va l'aider à garder ses dents le plus possible le temps qu'elle se prépare psychologiquement.

Je proposerais une thérapeutique initiale classique d'assainissement. Mais pas de chir avec comblement.

Il reste encore un peu d'os.
Dans quelques années, y aura plus rien.
(pour les implants je veux dire)


Img 3657 cwjvqm - Eugenol
alapex

15/02/2011 à 23h56

Il y avait les prêtres ouvriers , voici venu le temps des paro prédicateurs pour pratiquer la paro Lourdes sans doute...sans parler des jupes en gore tex (Avery)pour les nostalgiques.
Malgré le talent de chacun , les méthodes pratiquées avec doigté , et surtout les 30 ans de la jolie madame , il faudra bien lui mettre les points sur les i , lui faire comprendre rapidement que l'implanto totale bimax se profile incessamment sous peu , voire avant hier , et que c'est le terrain parfait pour la basale .


aldo74

15/02/2011 à 23h59

ANAES: http://www.has-sante.fr/portail/upload/docs/application/pdf/Parodontopathies_recos.pdf

page 17..... après on discute..ça laisse songeur non??


 mg 0207 xwjxcl - Eugenol
Tillc

16/02/2011 à 00h26

Comment voulez vous serieusement gere l esthetique sur une prothese impanto portee avec une perte osseuse si importante. Ilfaut raison garde et se dire qu on peut gagner plus au grattage qu au tirage!


Fresh watermelon 640x562 udulqz - Eugenol
gulguch

16/02/2011 à 00h47

Sans rentrer dans la mélée habituelle entre les diverses écoles de paro + ou moins chir, AB avant aprés, sonder pas sonder Lille, le Canada ou la Suède, etc...

..et ne doutant pas que vous pouvez amèliorer le cas avec votre propre technique, quelle qu'elle soit si la patiente est motivée,

...il y a autre chose: trés peu de dents postérieures soutiennent l'occlusion, et on est en début d'effondrement, avec les antérieures qui commencent à partir en éventail.

Paradoxalement c'est une bonne nouvelle: aprés l'assainissement général, la pose d'implants servant de butées peut améliorer considérablement la suite dans ce genre de cas.
Et des miracles en paro, on en voit quant mème de temps en temps.
Quand je lis qu'il faut l'édenter direct pour implant totale axiale, basale ou autchose, je crois réver.


justdentist

16/02/2011 à 02h11

on est clairement devant une parodontite agressive généralisée avec comme facteur de risque le Tabac et un facteur aggravant l'occlusion ...

Le traitement que je proposerais :
-instrtuction aux techniques d'hygiène ( Bicarbonate si ca peut faire plaisir ) discussion serieuse sur le tabac pcke ca va comprommetre les therapeutiques complexes à venir

-charting avant le surfacage

- Full mouth en 2 séances espacées de 24 à 48h selon le protocole de Qyrnen, antibiothérapie AMX / metro pdt 10j à commencer apres avoir desorganiser le biofilm c'est à dire à la fin de la full mouth

controle à 1 mois du controle de plaque et du tabac

Réévaluation à 2 mois ; nouveau charting
Lambeau d'assainissement des poches Sup à 6mm avec BOP
Rééval a 2 mois ,

analyse bacterio : si abs de bacteries rouge et orange ( socransky) Traitement ortho pr les migrations et enfin poses d'implants ou prothèse selon les moyens du patient
Contention du secteur ant (type bridge attelle) ...
Maintenance strict chaque 2 ou 3 mois les premières années car on sait que les patients ayant une paro agressive + Tabac le risque de recidive est très élevé...

A mon sens ya 2 facteurs qui peuvent tout changer dans un coté comme dans l'autre : la motivation et le Tabac

Noah corrige moi si g loupé un truc ;)

Ps : les thérapeutiques régénératrices sont des thérapeutiques complexes voués à l'echec sur des patients fumeurs , sur cette patiente je me contenterais de faire des lambeaux d'assainissmeent simple, et encore ...

Bon courage pr ce "beau cas " !


Smile beach jgh0a1 - Eugenol
Céramik

16/02/2011 à 03h57

folofrine écrivait:
-------------------
> Principalement les lésions en forme de cuvettes que l'on retrouve en secteur 2
> et 4. Cette forme de lésions permet une meilleure tenue du biomatériau et permet
> un afflux sanguin perpendiculairement à la paroi. C'est le même principe que la
> cicatrisation d'une alvéole intacte sans paroi manquante.
> Théoriquement après cica, on peux esperer une réossification au mieux jusqu'à la
> limite haute de la cuvette.

Tu fais tes chirurgies paro de "comblement" ?
Tu as des cas à nous montrer ?
J'aimerais bien voir. (Olivier aussi je pense)


--
Céramik


Img 3657 cwjvqm - Eugenol
alapex

16/02/2011 à 08h46

gulguch écrivait:
-----------------
> etc...
>
> ..et ne doutant pas que vous pouvez amèliorer le cas avec votre propre
> technique, quelle qu'elle soit si la patiente est motivée,



Lourdes....


>
> ...il y a autre chose: trés peu de dents postérieures soutiennent l'occlusion,



Ah quand même...


> et on est en début d'effondrement, avec les antérieures qui commencent à partir
> en éventail.
>


Quand même aussi . Mais on va parler d'ortho , ce qui est l'NDICATION" , ....))))



> Paradoxalement c'est une bonne nouvelle: aprés l'assainissement général, la


Ca fait un paquet de temps qu'elle suit la paro , non ?



> pose d'implants servant de butées peut améliorer considérablement la suite dans
> ce genre de cas.



Il faut relier TOUS les implants les postérieurs et les antérieurs . Poser en posts et garder les dents antérieures qui sont fichues ...Tu risques de flinguer les implants en gardant le blocs incisifs .


> Et des miracles en paro, on en voit quant mème de temps en temps.

Oui , qu'on me chiffre le compte à rebours du décollage des dents...


> Quand je lis qu'il faut l'édenter direct pour implant totale axiale, basale ou
> autchose, je crois réver.



Là , on aperçoit tout le paradoxe ...ce cas EST désespéré donc je ne crois pas qu'il soit d'actualité de dire ce que tu dis .


Img 3657 cwjvqm - Eugenol
alapex

16/02/2011 à 08h48

Justdentist , je ne pense pas que cette patiente débarque d'hier en "classe" paro , et tout ce que tu annonces a dû être vécu depuis un moment , cad 10 ans .


Fresh watermelon 640x562 udulqz - Eugenol
gulguch

16/02/2011 à 11h39

Tu comprends rien alapex, tu écris:
"Ca fait un paquet de temps qu'elle suit la paro , non ?"
...naaan naaan, si seulement tu LISAIS ce qu'il y a écrit, "le dernier détartrage date de 3 ans"
Ce qui prouve qu'il y a -(peut-être)- beaucoup plus d'os que visible sur les radios. Donc édenter tout de suite, et bien non.
Quand tu dis que les implants vont valser, c'est illogique, cette patiente vu son état ne mange plus que du gervita. Mais QUI va tuer tes implants??
Et excuse moi si c'est te faire injure de croire que tous les autres sont des incompétents. Au contraire, en paro tout marche, ou presque, avec une patiente motivée.
Ce qui permet à chacun de croire détenir la vérité exclusive, mais c'est un autre débat.


mat2t

16/02/2011 à 11h46

De toute façon Implant ou non , l'esthétique va être extrêmement difficile à gérer , une fois l'inflammation réduite , la patiente va être ravie de pouvoir admirer ses nouveaux plusieurs millimetres de racines apparents.


Fresh watermelon 640x562 udulqz - Eugenol
gulguch

16/02/2011 à 12h05

mat2t écrivait:
---------------
> De toute façon Implant ou non , l'esthétique va être extrêmement difficile à
> gérer , une fois l'inflammation réduite , la patiente va être ravie de pouvoir
> admirer ses nouveaux plusieurs millimetres de racines apparents.
>

..ils vont te répondre qu'avec des implants elle aura une belle gencive en plastoc. A 30 ans.