Cookie Consent byPrivacyPolicies.comavis des greffeurs... - Eugenol

avis des greffeurs...

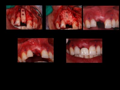
Photo pluton1b h9n4ea - Eugenol
pluton

18/02/2011 à 23h48

encore un ptit cas...sympa si on veut...car là j'ai besoin de l'expérience de ceux qui font çà souvent...
patient 17 ans...bientôt 18...
trauma dans l'enfance sur 11 et 21
pour la 21, çà va...mais la 11 est à bout de souffle...avec l'apex qui traverse la gencive vestibulaire...
veut un implant...forcément...mais là, faut une greffe...plutôt importante...
je pencherais plutôt pour un bloc fixé avec des vis d'ostéosynthèses...par contre, je suis pas chaud (et lui non plus) pour aller prélever au menton ou sur la branche montante...
alors...qu'utiliseriez vous?

merci d'avance pour vos avis...

1axial t5gveb - Eugenol
1s quence 3 xiqeex - Eugenol
1s quence 4 oryp38 - Eugenol
1s quence 5 vtedwj - Eugenol
13d w92pjv - Eugenol
1panoramique vujuk2 - Eugenol
1s quence 1 bhm94q - Eugenol
1s quence 2 tr6bnm - Eugenol

flicflac

18/02/2011 à 23h58

Pour greffe autogène,d'après moi le plus prévisible, à la symphyse avec une tréphine environ 6mm interne et préparé le site receveur avec tréphine 6mm en externe. (dimension aproximative pour une centrale),
autre solution forcé la ROG avec mesh ou membrane PTF renforcé de titane ou membrane tenté avec visse...


Photo pluton1b h9n4ea - Eugenol
pluton

19/02/2011 à 00h08

j'y avais aussi pensé à la rog avec membrane titane...mais y a quand même pas mal de volume
et puis jeune comme çà, j'ai pas trop envie d'aller le charcuter ailleurs pour prélever du nonos...et à 18 ans, il lui reste certainement un peu de croissance dans les tuyaux...


Pépélaratiche

19/02/2011 à 00h09

Hello Pluton,

tjs très simple : tu mets ton nanobone en grains et des prfs et tu attends que ton petit sac de billes prenne gentiment

Mais si tu veux viser à tout prix, nanobone fabrique aussi des plaques ds la même matière mais je crois que c est se faire chier bcp pour avoir le même résultat qu avec le petit sac de billes

Le mieux est svt l ennemi du bien

Amitiés de Pp


PS Je peux t envoyer un scanner en région 35 36 où j ai perdu 2 implants , ai mis le sac de billes , y suis revenu 6 mois plus , scanner à l appui sans dire au radiologue ce qui avait été fait et il nous dit matériau bien ossifié et intégré

Cliniquement plus une particule de nano visible lors de la chir et os bien sagneux... Les deux nouveuax implants nickel

ça date d avant l ostéotension... os trop sec qui aurait dû être réactivé




Avatar ow44t3 - Eugenol
Chicot

19/02/2011 à 02h39

Pourquoi tu veux pas faire classique: greffe onlay ramique ?

C'est quand même ce qui est le plus prédictible

Peux tu motiver ton refus ?



--
;O)


Humator t9r5wy - Eugenol
humator

19/02/2011 à 07h07

d'acc avec chicot:
en + il a encore ses sagesses, donc tu profites de l'extraction pour acceder au site! (ça peut etre un pretexte pour accepter le prélev' ramique.)

--
N.Hum


Photo pluton1b h9n4ea - Eugenol
pluton

19/02/2011 à 08h25

joueur de rugby....j'ai pas trop envie de lui fragiliser sa mandibule...


Logo vuaztn - Eugenol
mac

19/02/2011 à 09h11

et pourquoi pas un bridge collé?

17 ans, le patient a encore un potentiel de croissance, est tu sûr de toi à ce point pour lui promettre un bon résultat esthétique pour les 30 prochaines années.

Samama présente des super cas de bridges collées à plus de 10 ans et quand il aura 30 ans tu pourras éventuellement envisager autre chose.


Photo 158 mluhia - Eugenol
robin

19/02/2011 à 09h14

et les allogreffes, type Puros? il me semble que certains sur le forum ont fait l'expérience.


Utilisateur banni

19/02/2011 à 09h30

mac écrivait:
-------------
> et pourquoi pas un bridge collé?


L’os n’a de raison d’être que si il à une fonction. A long thermes la question sera identique voir + accentuée.


Photo pluton1b h9n4ea - Eugenol
pluton

19/02/2011 à 09h38

mac écrivait:
-------------
> et pourquoi pas un bridge collé?
>
> 17 ans, le patient a encore un potentiel de croissance, est tu sûr de toi à ce
> point pour lui promettre un bon résultat esthétique pour les 30 prochaines
> années.
>
> Samama présente des super cas de bridges collées à plus de 10 ans et quand il
> aura 30 ans tu pourras éventuellement envisager autre chose.

oui mac...mais une fois la 11 partie, je suis pas sûr que l'esthétique soit top...reste pas grand chose de la crête...une fois le travail de sape de la résorption osseuse faite....et il y aura de toutes façons une belle concavité vestibulaire...
et si c'est pour rendre le cas encore plus difficile à gérer dans quelques années...


Utilisateur banni

19/02/2011 à 09h48

Tu n’a pas un couloir suffisent entre les corticales pour placer un implant avec des vis à compression ?


johnnybegood

19/02/2011 à 10h02

et bloc biobank?.... growler a montré plusieurs cas qui ont très bien fonctionné
pour ma part,jreviens sur une greffe biobank dans 15 jours...je pourrais te dire ce que j en pense


Blason dql7mj - Eugenol
growler

19/02/2011 à 10h24

Bon anniversaire pluton!

Planche1 nb4u3t - Eugenol
Planche2 awlu7r - Eugenol

johnnybegood

19/02/2011 à 10h37

salut growler

c est un bloc biobank?


Logo vuaztn - Eugenol
mac

19/02/2011 à 12h01

pluton écrivait:
----------------
> mac écrivait:
> -------------
> > et pourquoi pas un bridge collé?
> >
> > 17 ans, le patient a encore un potentiel de croissance, est tu sûr de toi à ce
> > point pour lui promettre un bon résultat esthétique pour les 30 prochaines
> > années.
> >
> > Samama présente des super cas de bridges collées à plus de 10 ans et quand il
> > aura 30 ans tu pourras éventuellement envisager autre chose.
>
> oui mac...mais une fois la 11 partie, je suis pas sûr que l'esthétique soit
> top...reste pas grand chose de la crête...une fois le travail de sape de la
> résorption osseuse faite....et il y aura de toutes façons une belle concavité
> vestibulaire...
> et si c'est pour rendre le cas encore plus difficile à gérer dans quelques
> années...


c'est pas la question je dis juste que le gamin n'a pas fini sa croissance et qu'un implant à 17 ans est contre-indiqué, maintenant tu fais comme tu veux.


Avatar ow44t3 - Eugenol
Chicot

19/02/2011 à 12h31

pluton écrivait:
----------------
> joueur de rugby....j'ai pas trop envie de lui fragiliser sa mandibule...


Tu lui vire la 8 et tu prélèves pdt l'inter-saison comme ça il cicatrise tranquille.

Mais si tu vas plus loin, est- ce indiqué un implant antérieur sur un rugbymen.....

En attendant tu prévois une pap au cas ou la dent tomberait spontanément et tu temporises

Greffe et 5 mois plus tard implant.

Le temps de programmer tout ça il sera plus proche de 19 ans que de 18.

De l'os d'un autre à 18 ans alors qu'il en a plein à lui autour de ses 8, je vois pas trop l'intérêt

Qui a une étude sur la fragilisation d'une md suite à un prélèvement ramique VS exo 8 incluse ?

--
;O)


Casque beotien a3jo39 - Eugenol
beotien

19/02/2011 à 13h01

qui a une étude sur les vrais m.... suite à un prélevement ramique?

style perte du greffon et nécrose sur le site de prélèvement
avec bénéfice risque/ os de banque


Blason dql7mj - Eugenol
growler

19/02/2011 à 13h24

johnnybegood écrivait:
----------------------
> salut growler
>
> c est un bloc biobank?

oui.




Utilisateur banni

19/02/2011 à 13h39

growler écrivait:
-----------------
> johnnybegood écrivait:
> ----------------------
> > salut growler
> >
> > c est un bloc biobank?
>
> oui.


Les comblements tu les fais avec l’os provenant de la taille du greffon ?
Quel est l’épaisseur de la corticale du greffon ?
Consistance de la partie spongieuse du greffon ?


Blason dql7mj - Eugenol
growler

19/02/2011 à 13h56

ici, les particules sont de la poudre d'os spongieux de 0.5 mm biobank

la corticale du greffon fait à peu près un mm d'épaisseur et la partie spongieuse garde une consistance solide.




Photo pluton1b h9n4ea - Eugenol
pluton

19/02/2011 à 23h26

bon, autre truc plutôt défavorable au greffon ramique...je viens de vérifier: contact des apex de 38 et 48 avec le NDI...et comme les dds ont suffisamment de place...on laisse tranquillement évoluer...
sincèrement...j'ai pas trop envie de me casser la tête...
un greffon type puros ou biobank en bloc me semble être un bon compromis....
juste des particules d'os de synthèse...quid de la stabilité réelle du volume par rapport au bloc?

je sais que 17 ans c'est jeune...mais entre la greffe (bien 6 mois de cicat) la pose de l'implant (avec 3 ou 4 mois d'ostéointégration) on va vite être à 18 voir 19 ans...et là, je pense qu'on peut concevoir un ttm implantaire...non?


sinclair

20/02/2011 à 00h30

Salut pluton
Pour ne plus te prendre la tête avec la croissance il suffit de prescrire une radio du poignet sil n'y a plus de cartilage de croissance c'est que la croissance est terminée


sinclair

20/02/2011 à 00h44

Sinon concernant ton cas j'ai l'impression qu'il y a de l'os en mesial et distal de ta dent du coup si c'est bien le cas je ferais de la rog avec une membrane pinsee


flicflac

20/02/2011 à 02h57

une membrane pinsee?? kosé ke cé?
Growler, ton cas avec greffe en bloc allogreffe as-tu une radio post-op? la hauteur cervicale du greffon avec la perte osseuse au mésial de la 12 m'inquiète?
salut les cousins


12...