Cookie Consent byPrivacyPolicies.comROG suite fracture - Eugenol
Dent masqu e petite f0pbaj - Eugenol
dudule

20/02/2011 à 00h36

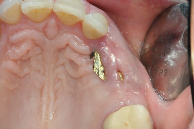
Puisque on ne croule pas sous les cas en ce moment, j'en mets un petit tout simple.
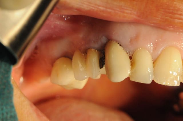
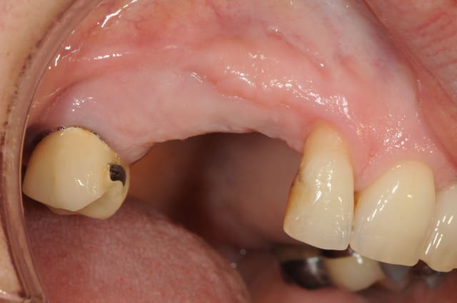
Patiente présente une perte alvéolaire de la table externe suite à fracture radiculaire.

J'ai réalisé un lambeau tracté coronairement mais je pense que certains auraient peut-être réalisé un lambeau conjonctif palatin.
Quels auraient été vos tracés d'incisions ?

Il manque juste une photo de la membrane biogide que je ne retrouve pas.

D but vue lat rale vynovo - Eugenol
D but vue sup u4f3ym - Eugenol
Incision1 r6yqb4 - Eugenol
Incision2 dd0trg - Eugenol
Lambeau lev  qrpmt7 - Eugenol
Alv ole nettoy e fnw3s8 - Eugenol
Alv ole combl e y1zrlg - Eugenol
Fin vue lat rale azep12 - Eugenol
Fin vue sup wzswyl - Eugenol

Casque beotien a3jo39 - Eugenol
beotien

20/02/2011 à 01h28

Pour ton anniv pluton je mets un cas identique.
j'ai 6 mois d'avance sur toi dudule
un cas dont j'avais discuté ailleurs avec amibien qui m'avait reproché de ne pas avoir fait la pose en même temps en juin dernier

la pose est de jeudi dernier mon apn est en panne, photo avec le portable, desolé pour le sang mais quand cela saigne il n'y a pas d'échec

Ne vous inquiétez pas je ne pense pas d'autres cas


flicflac

20/02/2011 à 02h40

dudule, je crois que tout est parfait, mais je suis un néophite.
Y-aurait-t-il un avantage à extraire, attendre 6 semaines puis greffé pour ne pas trop remonté la gencice attaché sur la crête?


Photo pluton1b h9n4ea - Eugenol
pluton

20/02/2011 à 10h44

très joli dudule...j'aurai fait pareil...et pas de conjonctif palatin non plus dans ce cas en prime intention...mieux vaut se le réserver pour la phase implantaire (à la pose ou au désenfouissement si technique 2 temps

bien aussi béo...des photos du cas fini?


Casque beotien a3jo39 - Eugenol
beotien

21/02/2011 à 10h42

svp
il se trouve que j'aimerais utiliser ces photos car c'est le nouveau systeme d'implants, et je n'ai encore pas d'autres cas de fracture en cours
enfin si mais pas aussi belle
j'ai donc agrandi la zone est ce qu'un pro de la photo peut faire mieux?

pour dudule, je ne fais pratiquement jamais de décharge en distal
pour pluton, je viens de poser les implants le cas n'est pas fini


Pépélaratiche

21/02/2011 à 15h24

Ou encore autrement sans délai du tout avec MCI et succès depuis 7 à 8 ans .....

Pp ;-)

Alexis serge 2 v0us5g - Eugenol
Alexis serge 3 zglzjq - Eugenol
Alexis serge 4 ijhvdn - Eugenol
Alexis serge 5 cbtv0h - Eugenol
Alexis serge 6 cqahyh - Eugenol
Alexis serge 7 yyicsw - Eugenol
Alexis serge 8 ql20eb - Eugenol
Alexis serge 9 fxuex3 - Eugenol
Alexis serge 10 ftsjod - Eugenol
Alexis serge 12 khroyh - Eugenol
Alexis serge 13 gm6oe7 - Eugenol
Alexis serge 14 c6v1u2 - Eugenol
Alexis serge 16 mhfsd6 - Eugenol
Alexis serge 17 l2g2wq - Eugenol
Alexis serge 18 gwmwgy - Eugenol
Alexis serge 11 ukrxce - Eugenol
Alexis serge 15 qxuj1e - Eugenol
Alexis serge 19 b3riea - Eugenol

Img 0812 mvp6i0 - Eugenol
jeamba

21/02/2011 à 15h51

Béo et PéPé, quels étaient vos mtériaux utilisés dans les ROG dans un cas comme dans l'autre? Merci.


3f3boxni50k58rq7e9ce9ddqrxgk - Eugenol
dentiste57

22/02/2011 à 00h24

il est pas facile votre sujet!

j'ai bien des infections et rog, des fractures et mci, des rog et de fractures tout courts ... mais fracture et rog à la fois...

bon j'en ai trouvé quelque cas une quand même. (les meilleurs je les garde pour les conf.). en voici un.

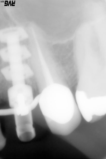
ici , fracture 13-14:
rog avec membrane titane
correction esthétique du niveau des collets de 12 et 11 (forte égression originel de 13-12-11 par rapport au secteur 2)

R1 ymnle7 - Eugenol
Dsc 2434 r2b4og - Eugenol
Dsc 2436 eze9gg - Eugenol
Dsc 2441 z00xty - Eugenol
Dsc 2445 x4qd0p - Eugenol
Dsc 2450 hxnum6 - Eugenol
Dsc 2452 u29una - Eugenol
Dsc 2456 i9bvjp - Eugenol
Dsc 2459 iqbyew - Eugenol
Dsc 2460 xnwwou - Eugenol
Dsc 2465 qbt6ac - Eugenol
Dsc 3369 cjhknj - Eugenol

3f3boxni50k58rq7e9ce9ddqrxgk - Eugenol
dentiste57

22/02/2011 à 00h34

suite

exposition membrane; ça arrive, mais c'est pas grave.
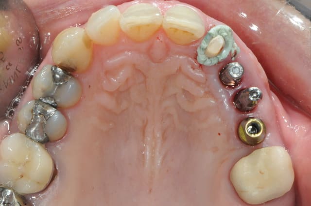
pose implants
cicatrisation gingivale
mise à jour et aménagement tissulaire type Palacci
modification des collets et des bords libres
prise empreinte
piliers
couronnes...

Dsc 3570 wci64f - Eugenol
Dsc 5214 bu3gwb - Eugenol
Dsc 5216 kzcs6n - Eugenol
Dsc 5217 niojv0 - Eugenol
Dsc 5218 kn6nwf - Eugenol
Dsc 6026 mnueuj - Eugenol
Dsc 6033 wqa5rz - Eugenol
Dsc 6041 cmfx0j - Eugenol
Dsc 6178 v1x1or - Eugenol
Dsc 6640 vbirez - Eugenol
Dsc 6643 ypxjya - Eugenol
Dsc 6646 grtbtf - Eugenol
Dsc 6772 lbiqpt - Eugenol
Dsc 7103 ieatvk - Eugenol
Dsc 7109 mooenh - Eugenol

Pépélaratiche

22/02/2011 à 00h47

jeamba écrivait:
----------------
> Béo et PéPé, quels étaient vos mtériaux utilisés dans les ROG dans un cas comme
> dans l'autre? Merci.


A l époque prososteon 200 ( interpore ) tout nu càd sans membrane

Maintenant j aurais mis Nanobone + PRFs

Pp


3f3boxni50k58rq7e9ce9ddqrxgk - Eugenol
dentiste57

22/02/2011 à 08h48

pp, c'est comme implant ?


Photo pluton1b h9n4ea - Eugenol
pluton

22/02/2011 à 08h55

bein pp il pose du victory....donc par déduction c'est un triple disk....;-)


Blason dql7mj - Eugenol
growler

22/02/2011 à 11h11

Thomas, as-tu pas une photo du site suturé le jour de l'intervention?

je me pose la question sur la possibilité ou non, dans un tel cas, d'éviter la récession en distal de 12


Casque beotien a3jo39 - Eugenol
beotien

22/02/2011 à 14h32

joli PP mais tu triches un peu car la fracture vesti c'est toi qui l'a fait avec ton systeme
j'ai presque le meme cas avec rog à minima

jeamba écrivait:
----------------
> Béo et PéPé, quels étaient vos mtériaux utilisés dans les ROG dans un cas comme
> dans l'autre? Merci.

cas 1: osteobiol gen-os + biomend extend
cas 2: osteobiol gen-os + collagen AT

je pense que je vais essayer le nanobone


3f3boxni50k58rq7e9ce9ddqrxgk - Eugenol
dentiste57

22/02/2011 à 15h30

growler écrivait:
-----------------
> Thomas, as-tu pas une photo du site suturé le jour de l'intervention?
>
> je me pose la question sur la possibilité ou non, dans un tel cas, d'éviter la
> récession en distal de 12

bien vu growly pour la récession distale de 12!
mais elle était hautement prévisible car perte osseuse importante et utilisation de membrane titane qui ne permet pas la RTG.
par chance, cette récession était fortement souhaitée pour corriger l'aspect esthétique du sourire.
donc le lambeau d'accès, bien que pas terrible n'avait pas énormément d'importance.
revoici les deux photos avant et après.

Dsc 6178 avec plan tlqmwo - Eugenol
Dsc 7104apr s itmrkw - Eugenol

3f3boxni50k58rq7e9ce9ddqrxgk - Eugenol
dentiste57

22/02/2011 à 15h33

ps: j'aurai aimé modifier un tout petit peu la position du collet de 11 mais la patiente en avait mare.


Fouilla h6plsy - Eugenol
fouilla

22/02/2011 à 17h45

l'a l'oeil growly....

--
.


Smile beach jgh0a1 - Eugenol
Céramik

23/02/2011 à 02h26

fouilla écrivait:
-----------------
> l'a l'oeil growly....
>
> --
> .

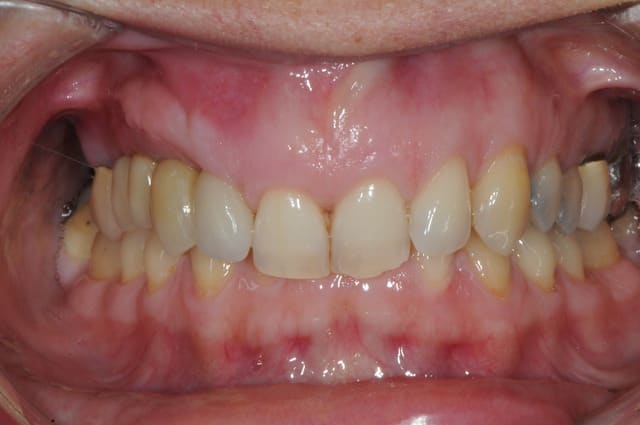
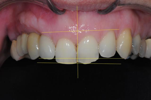
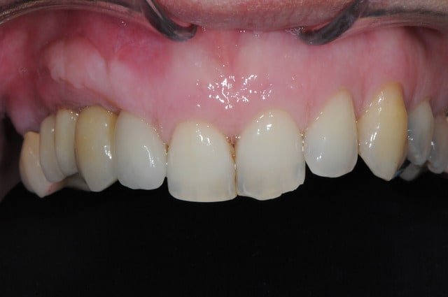
je changerais les 24 et 25...trop grise...

--
Céramik


Avatar ow44t3 - Eugenol
Chicot

23/02/2011 à 21h25

Dommage l'inversion de la courbe de Spee en 14-15

Tu pouvais pas retoucher les antagonistes ? ( corono, overlay, ccc)

--
;O)


3f3boxni50k58rq7e9ce9ddqrxgk - Eugenol
dentiste57

23/02/2011 à 22h18

si il y a eu déjà un gros boulot de fait à ce niveau mais peut être pas suffisant. enfin, d'un point de vu théorique, parce que ça ne cause pas de problème majeur d'occlusion, l'ensemble des contacts est assez bien réglé.'en place depuis deux ans seulement, difficile donc d'avoir du recule.

wahouu, vous êtes dure en ce moment!
(c'est bien continuez, j'aime ça)


Smile beach jgh0a1 - Eugenol
Céramik

24/02/2011 à 01h03

dentiste57 écrivait:
--------------------
> si il y a eu déjà un gros boulot de fait à ce niveau mais peut être pas
> suffisant. enfin, d'un point de vu théorique, parce que ça ne cause pas de
> problème majeur d'occlusion, l'ensemble des contacts est assez bien réglé.'en
> place depuis deux ans seulement, difficile donc d'avoir du recule.
>
> wahouu, vous êtes dure en ce moment!
> (c'est bien continuez, j'aime ça)

mon p'tit D57, tu sais bien qu'on t'aime bien, mais tu peux faire mieux...

LOL
;-)))

joli cas, ceux qui n'aiment pas, ne font pas d'implant !

--
Céramik


3f3boxni50k58rq7e9ce9ddqrxgk - Eugenol
dentiste57

06/03/2011 à 00h26

je ne sais pas si je ferai mieux , mais ça colle avec le sujet.
je vous en fais donc profiter (parce que vous le valez bien...)


--------

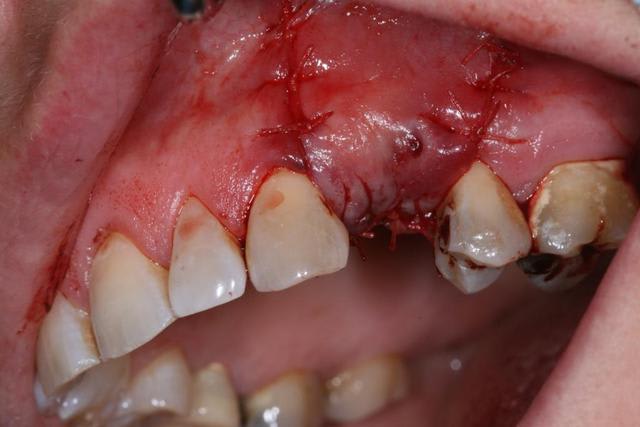
-fracture 25
-infection
-extraction (oups la ccm sur implant s'est descellée...)
-pas de pose d'implant car destruction de la paroi vestibulaire sur près de 5 mm
-pas de lambeau mais décollement vestibulaire muco-périosté à travers l'alvéole d'extraction et interposition d'une membrane de Collagen AT entre l'os et le périoste
-comblement BioOs et recouvrement avec même type de membrane
-conjonctif pédiculé tracté (comme j'ai pu) pour fermeture du site d'"extraction.

Dsc 1543 csw5ba - Eugenol
Dsc 1545 rluvlh - Eugenol
Dsc 1546 mm30ck - Eugenol
Dsc 155corrig 1 g8ps7i - Eugenol
Dsc 1553 sm0uub - Eugenol
Dsc 1554 p3wkxn - Eugenol
Dsc 1555 pqy7pq - Eugenol
Dsc 1544 fcnp1q - Eugenol
Dsc 1548 lhclbj - Eugenol

Smile beach jgh0a1 - Eugenol
Céramik

06/03/2011 à 00h53

Petites suggestions...

1-Bio-os...bof bof...
2-Morceau de gencive placé par dessus pour fermer plus étanche...

La bétadine, c'est moche comme couleur !


--
Céramik


Avatar ow44t3 - Eugenol
Chicot

06/03/2011 à 01h27

dentiste57 écrivait:
--------------------
> si il y a eu déjà un gros boulot de fait à ce niveau mais peut être pas
> suffisant. enfin, d'un point de vu théorique,


Non du point de vue esthétique

> parce que ça ne cause pas de
> problème majeur d'occlusion, l'ensemble des contacts est assez bien réglé.'en
> place depuis deux ans seulement, difficile donc d'avoir du recule.
>
> wahouu, vous êtes dure en ce moment!
> (c'est bien continuez, j'aime ça)

hum frappe moi........

T un peu maso ?


LOL

--
;O)


3f3boxni50k58rq7e9ce9ddqrxgk - Eugenol
dentiste57

06/03/2011 à 03h58

Céramik écrivait:
-----------------
> Petites suggestions...
>
> 1-Bio-os...bof bof...

ben..., t'y aurai mis quoi ? de la poutine ??

> 2-Morceau de gencive placé par dessus pour fermer plus étanche...

suis aussi de ton avis.

> La bétadine, c'est moche comme couleur !

promis, je pense à mettre du Jet27 la prochaine fois.

:)


12