Tous les forums
ROG suite fracture
20/02/2011 à 00h36
Puisque on ne croule pas sous les cas en ce moment, j'en mets un petit tout simple.
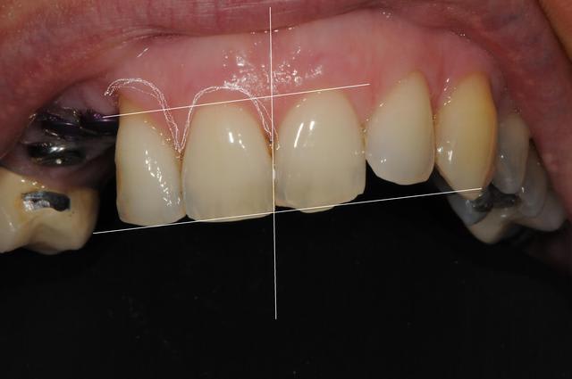
Patiente présente une perte alvéolaire de la table externe suite à fracture radiculaire.
J'ai réalisé un lambeau tracté coronairement mais je pense que certains auraient peut-être réalisé un lambeau conjonctif palatin.
Quels auraient été vos tracés d'incisions ?
Il manque juste une photo de la membrane biogide que je ne retrouve pas.
20/02/2011 à 01h28
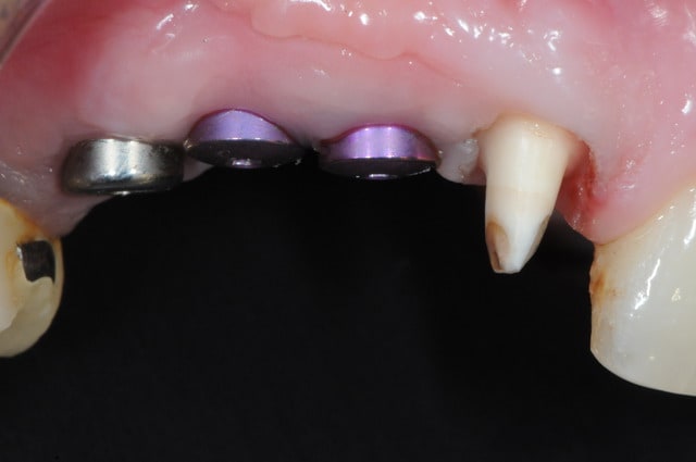
Pour ton anniv pluton je mets un cas identique.
j'ai 6 mois d'avance sur toi dudule
un cas dont j'avais discuté ailleurs avec amibien qui m'avait reproché de ne pas avoir fait la pose en même temps en juin dernier
la pose est de jeudi dernier mon apn est en panne, photo avec le portable, desolé pour le sang mais quand cela saigne il n'y a pas d'échec
Ne vous inquiétez pas je ne pense pas d'autres cas
20/02/2011 à 02h40
dudule, je crois que tout est parfait, mais je suis un néophite.
Y-aurait-t-il un avantage à extraire, attendre 6 semaines puis greffé pour ne pas trop remonté la gencice attaché sur la crête?
20/02/2011 à 10h44
très joli dudule...j'aurai fait pareil...et pas de conjonctif palatin non plus dans ce cas en prime intention...mieux vaut se le réserver pour la phase implantaire (à la pose ou au désenfouissement si technique 2 temps
bien aussi béo...des photos du cas fini?
21/02/2011 à 10h42
svp
il se trouve que j'aimerais utiliser ces photos car c'est le nouveau systeme d'implants, et je n'ai encore pas d'autres cas de fracture en cours
enfin si mais pas aussi belle
j'ai donc agrandi la zone est ce qu'un pro de la photo peut faire mieux?
pour dudule, je ne fais pratiquement jamais de décharge en distal
pour pluton, je viens de poser les implants le cas n'est pas fini
21/02/2011 à 15h24
Ou encore autrement sans délai du tout avec MCI et succès depuis 7 à 8 ans .....
Pp ;-)
ALEXIS_Serge_2_v0us5g.jpg
ALEXIS_Serge_3_zglzjq.jpg
ALEXIS_Serge_4_ijhvdn.jpg
ALEXIS_Serge_5_cbtv0h.jpg
ALEXIS_Serge_6_cqahyh.jpg
ALEXIS_Serge_7_yyicsw.jpg
ALEXIS_Serge_8_ql20eb.jpg
ALEXIS_Serge_9_fxuex3.jpg
ALEXIS_Serge_10_ftsjod.jpg
ALEXIS_Serge_12_khroyh.jpg
ALEXIS_Serge_13_gm6oe7.jpg
ALEXIS_Serge_14_c6v1u2.jpg
ALEXIS_Serge_16_mhfsd6.jpg
ALEXIS_Serge_17_l2g2wq.jpg
ALEXIS_Serge_18_gwmwgy.jpg
ALEXIS_Serge_11_ukrxce.jpg
ALEXIS_Serge_15_qxuj1e.jpg
ALEXIS_Serge_19_b3riea.jpg
21/02/2011 à 15h51
Béo et PéPé, quels étaient vos mtériaux utilisés dans les ROG dans un cas comme dans l'autre? Merci.
22/02/2011 à 00h24
il est pas facile votre sujet!
j'ai bien des infections et rog, des fractures et mci, des rog et de fractures tout courts ... mais fracture et rog à la fois...
bon j'en ai trouvé quelque cas une quand même. (les meilleurs je les garde pour les conf.). en voici un.
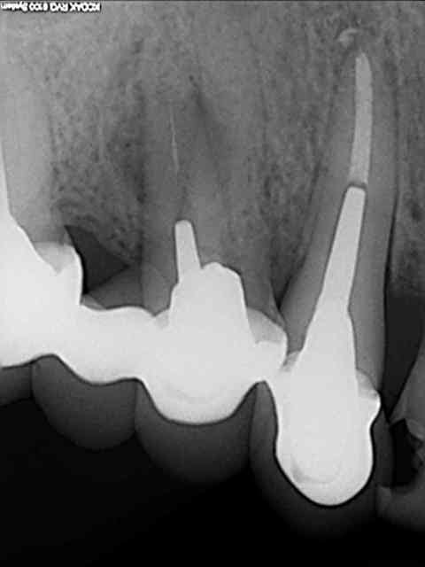
ici , fracture 13-14:
rog avec membrane titane
correction esthétique du niveau des collets de 12 et 11 (forte égression originel de 13-12-11 par rapport au secteur 2)
22/02/2011 à 00h34
suite
exposition membrane; ça arrive, mais c'est pas grave.
pose implants
cicatrisation gingivale
mise à jour et aménagement tissulaire type Palacci
modification des collets et des bords libres
prise empreinte
piliers
couronnes...
22/02/2011 à 00h47
jeamba écrivait:
----------------
> Béo et PéPé, quels étaient vos mtériaux utilisés dans les ROG dans un cas comme
> dans l'autre? Merci.
A l époque prososteon 200 ( interpore ) tout nu càd sans membrane
Maintenant j aurais mis Nanobone + PRFs
Pp
22/02/2011 à 08h55
bein pp il pose du victory....donc par déduction c'est un triple disk....;-)
22/02/2011 à 11h11
Thomas, as-tu pas une photo du site suturé le jour de l'intervention?
je me pose la question sur la possibilité ou non, dans un tel cas, d'éviter la récession en distal de 12
22/02/2011 à 14h32
joli PP mais tu triches un peu car la fracture vesti c'est toi qui l'a fait avec ton systeme
j'ai presque le meme cas avec rog à minima
jeamba écrivait:
----------------
> Béo et PéPé, quels étaient vos mtériaux utilisés dans les ROG dans un cas comme
> dans l'autre? Merci.
cas 1: osteobiol gen-os + biomend extend
cas 2: osteobiol gen-os + collagen AT
je pense que je vais essayer le nanobone
22/02/2011 à 15h30
growler écrivait:
-----------------
> Thomas, as-tu pas une photo du site suturé le jour de l'intervention?
>
> je me pose la question sur la possibilité ou non, dans un tel cas, d'éviter la
> récession en distal de 12
bien vu growly pour la récession distale de 12!
mais elle était hautement prévisible car perte osseuse importante et utilisation de membrane titane qui ne permet pas la RTG.
par chance, cette récession était fortement souhaitée pour corriger l'aspect esthétique du sourire.
donc le lambeau d'accès, bien que pas terrible n'avait pas énormément d'importance.
revoici les deux photos avant et après.
22/02/2011 à 15h33
ps: j'aurai aimé modifier un tout petit peu la position du collet de 11 mais la patiente en avait mare.
23/02/2011 à 02h26
fouilla écrivait:
-----------------
> l'a l'oeil growly....
>
> --
> .
je changerais les 24 et 25...trop grise...
--
Céramik
23/02/2011 à 21h25
Dommage l'inversion de la courbe de Spee en 14-15
Tu pouvais pas retoucher les antagonistes ? ( corono, overlay, ccc)
--
;O)
23/02/2011 à 22h18
si il y a eu déjà un gros boulot de fait à ce niveau mais peut être pas suffisant. enfin, d'un point de vu théorique, parce que ça ne cause pas de problème majeur d'occlusion, l'ensemble des contacts est assez bien réglé.'en place depuis deux ans seulement, difficile donc d'avoir du recule.
wahouu, vous êtes dure en ce moment!
(c'est bien continuez, j'aime ça)
24/02/2011 à 01h03
dentiste57 écrivait:
--------------------
> si il y a eu déjà un gros boulot de fait à ce niveau mais peut être pas
> suffisant. enfin, d'un point de vu théorique, parce que ça ne cause pas de
> problème majeur d'occlusion, l'ensemble des contacts est assez bien réglé.'en
> place depuis deux ans seulement, difficile donc d'avoir du recule.
>
> wahouu, vous êtes dure en ce moment!
> (c'est bien continuez, j'aime ça)
mon p'tit D57, tu sais bien qu'on t'aime bien, mais tu peux faire mieux...
LOL
;-)))
joli cas, ceux qui n'aiment pas, ne font pas d'implant !
--
Céramik
06/03/2011 à 00h26
je ne sais pas si je ferai mieux , mais ça colle avec le sujet.
je vous en fais donc profiter (parce que vous le valez bien...)
--------
-fracture 25
-infection
-extraction (oups la ccm sur implant s'est descellée...)
-pas de pose d'implant car destruction de la paroi vestibulaire sur près de 5 mm
-pas de lambeau mais décollement vestibulaire muco-périosté à travers l'alvéole d'extraction et interposition d'une membrane de Collagen AT entre l'os et le périoste
-comblement BioOs et recouvrement avec même type de membrane
-conjonctif pédiculé tracté (comme j'ai pu) pour fermeture du site d'"extraction.
06/03/2011 à 00h53
Petites suggestions...
1-Bio-os...bof bof...
2-Morceau de gencive placé par dessus pour fermer plus étanche...
La bétadine, c'est moche comme couleur !
--
Céramik
06/03/2011 à 01h27
dentiste57 écrivait:
--------------------
> si il y a eu déjà un gros boulot de fait à ce niveau mais peut être pas
> suffisant. enfin, d'un point de vu théorique,
Non du point de vue esthétique
> parce que ça ne cause pas de
> problème majeur d'occlusion, l'ensemble des contacts est assez bien réglé.'en
> place depuis deux ans seulement, difficile donc d'avoir du recule.
>
> wahouu, vous êtes dure en ce moment!
> (c'est bien continuez, j'aime ça)
hum frappe moi........
T un peu maso ?
LOL
--
;O)
06/03/2011 à 03h58
Céramik écrivait:
-----------------
> Petites suggestions...
>
> 1-Bio-os...bof bof...
ben..., t'y aurai mis quoi ? de la poutine ??
> 2-Morceau de gencive placé par dessus pour fermer plus étanche...
suis aussi de ton avis.
> La bétadine, c'est moche comme couleur !
promis, je pense à mettre du Jet27 la prochaine fois.
:)