Cookie Consent byPrivacyPolicies.comgreffe Biobank - Eugenol

greffe Biobank

3f3boxni50k58rq7e9ce9ddqrxgk - Eugenol
dentiste57

26/02/2011 à 00h03

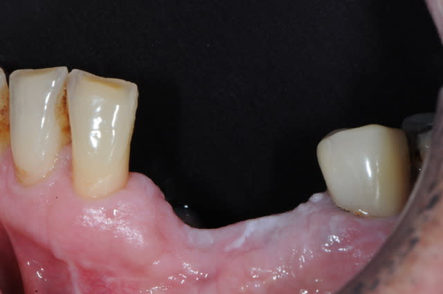
je viens de faire une greffe avec du biobank cet aprem.

sympa. finalement pas trop cher et facile à utiliser.

y a t'il d'autres utilisateurs ?

dans la foulé, j'ai testé pour la première fois (même si j'avais déjà vu faire) le PRF.

c'est certain c'est un atout.

patient fumeur ++++ à qui j'avais fait une magnifique ROG qu'il s'est empressé de foutre en l'air en recommençant à fumer comme un pompier....

s'en suit une merveilleuse perte osseuse et la dépose d'un implant avec suites post op infectieuses.

Dsc 9448 xtjbjh - Eugenol
Dsc 9600 ud4itc - Eugenol
Dsc 9604 a5kjwf - Eugenol
Dsc 9615 jg6k2m - Eugenol
Dsc 9762 w61qxn - Eugenol

3f3boxni50k58rq7e9ce9ddqrxgk - Eugenol
dentiste57

26/02/2011 à 00h23

donc aujourd'hui , ré-ouverture et constatation des fabuleux dégâts causés pas la cigarette. (...le tabac, c'est taboo, on en viendra tous à bout...)

perte aussi bien en verticalité qu'en épaisseur.

mise en place après adaptation (non sans mal) du greffon
et blocage avec une vis d'ostéosynthèse (anthogyr) après un malheureux raté avec une vis non auto-taraudante. je ne dirai pas la marque, ceux qui connaissent reconnaitront.

comme me disait ma collaboratrice" en plus ça saigne pas!"...putain d'os en béton armé....

bon, c'est bien de rajouter du volume, mais quand il y en a de trop, il faut gratter; donc un pt'it coup de piezo avec la curette à os pour égaliser.

fermeture après avoir utilisé le PRF. c'est top ce truc, comment j'ai pu m'en passer ?
bon sang, c'est dur de refermer une plaie a un site avec du tissu cicatriciel et des brides partout autour du mentonier!


Dsc 1410 bqb0fi - Eugenol
Dsc 1411 gambdf - Eugenol
Dsc 1415 ixhiff - Eugenol
Dsc 1416 nxa3df - Eugenol
Dsc 1417 js1ibx - Eugenol
Dsc 1418 uj6bge - Eugenol
Dsc 1419 shhptw - Eugenol
Dsc 1420 rpkgpo - Eugenol
Dsc 1427 ljxecq - Eugenol
Dsc 1434 hp4gam - Eugenol
Dsc 1435 lwytbu - Eugenol
Dsc 1437 iybsru - Eugenol
Dsc 1438 da8efx - Eugenol
Dsc 1440 pcj0y2 - Eugenol
Dsc 1442 actsip - Eugenol
Dsc 1444 pj4vbb - Eugenol
Dsc 1453 ztbcxp - Eugenol
Dsc 1483 djexb2 - Eugenol

Img 8465 fqhxid - Eugenol
noahaxeltiger-olivier

26/02/2011 à 09h35

Tes photos sont magnifiques!!( Est ce ta collaboratrice ou ton assistante qui photographie durant la chirurgie ?)


S2y2o1v7q53ws4r5wy6ou8czrpom - Eugenol
pxav

26/02/2011 à 09h48

noahaxeltiger-olivier écrivait:
-------------------------------
> Tes photos sont magnifiques!!( Est ce ta collaboratrice ou ton assistante qui
> photographie durant la chirurgie ?)
il n'est pas là alors je vais répondre pour lui.
il place son appareil dans un sachet stérile et c'est lui qui fait les photos, il se débrouille très bien non?
Je regrette de ne pas être resté avec toi j'aurais bien aimé voir ça en live.beau travail Thomas.
--
xbk


Blason dql7mj - Eugenol
growler

26/02/2011 à 10h14

oui Thomas prend toujours de belles images, il a l'oeil!
Il aurait été très bon aussi en marqueterie d'art, la sculpture 3D du greffon est particulièrement réussie avec un contact intime de l'intrados sur le site receveur.

Tu auras constaté qu'une des parties délicates de ce type d'intervention réside dans la fermeture hermétique et sans tension du lambeau. Ceci est facilité par les tracés d'incision (je t'avoue ouvrir parfois plus largement en distal et mésial, réaliser si nécessaires des contre-incisions obliques et scarifier le périoste pour rendre le lambeau plus lâche). Je n'utilise pas (pas encore?) le PRF, mais si il permet d'aider à éviter une operculisation du lambeau alors c'est une technique à ne pas négliger.

les vis anthogyr sont autoforantes, c'est à dire qu'il n'y a pas de pré-forage à effectuer?

j'utilise les vis easy-implant avec un passage de foret calibré.
pour l'astuce du sachet stérile afin de prendre soi-même la photo, je confirme que c'est une excellente solution: http://www.eugenol.com/sujets/31868-bio-oss-ou-ceros-ou-mbrane-ti-armee?page=1#post_74994

tiens nous au courant des suites opératoires dans quelques jours.

@+ et félicitations


dati

26/02/2011 à 10h59

quelles sont les references des disques et des fraises utilisées pour "travailler" les blocs ?


Avatar ow44t3 - Eugenol
Chicot

26/02/2011 à 11h10

Très beau D57, tu utilises même un contrasteur si je vois bien !

Quelques questions:

le PRF c'est toi qui fait le prélèvement sanguin ?
Tu demande un supplément ?
Ça évite la pose d'une membrane dans quelle indication ?
Pourquoi biobank plutôt que ramus autologue ? Le site n'était pas très loin pourtant

Je partage les avis précédant quand à la belle adaptation du greffon

Pour faciliter l'adaptation je crée un lit de copeaux osseux et le greffon vient dessus en sur épaisseur et la vis ( ou les vis car j'aime en mettre 2 petite pour bien caler le greffon) vient comprimer le tout pour supprimer les espaces mort. Mais je sais pas si avec le biobank on peut faire la même chose.

Encore bravo

--
;O)


Grueavatar nptrc9 - Eugenol
Le Choixpeau magique

26/02/2011 à 14h20

Merci D57 :)


Smile beach jgh0a1 - Eugenol
Céramik

26/02/2011 à 16h01

J'espère qu'il ne fera pas la même chose avec la cigarette...

Quel système de PRF as-tu ?

--
Céramik


bob membrane

26/02/2011 à 16h52

Bonjour, bravo D57, belle OP, cela fait 3ou 4 ans que je pratique le PRF, j'ai passé un stage pour avoir le diplôme de préleveur, mais je n'ai jamais prélever moi-même, je fais venir une des infirmières de mon village, elles qui font cela plein de fois par jour, 4 fois sur 10 elles en bavent pour trouver la veine mon rythme ne me suffit pas à acquérir suffisament d'expérience pour être à l'aise devant chaque prélèvement. ( dès fois 10 min. pour trouver)
Un stress en plus , et si déjà c'est toi qui leur pose un problème au niveau du bras, c'est moins cool dans la bouche. Je leurs ai proposé 10 euros (black) , je fournis les tubes et le kit de prélèvement.


Smile beach jgh0a1 - Eugenol
Céramik

26/02/2011 à 18h33

bob membrane écrivait:
----------------------
> Bonjour, bravo D57, belle OP, cela fait 3ou 4 ans que je pratique le PRF, j'ai
> passé un stage pour avoir le diplôme de préleveur, mais je n'ai jamais prélever
> moi-même, je fais venir une des infirmières de mon village, elles qui font cela
> plein de fois par jour, 4 fois sur 10 elles en bavent pour trouver la veine mon
> rythme ne me suffit pas à acquérir suffisament d'expérience pour être à l'aise
> devant chaque prélèvement. ( dès fois 10 min. pour trouver)
> Un stress en plus , et si déjà c'est toi qui leur pose un problème au niveau du
> bras, c'est moins cool dans la bouche. Je leurs ai proposé 10 euros (black) , je
> fournis les tubes et le kit de prélèvement.

10 euro ?
wow, c'est pas cher dans ton village !


--
Céramik


Fouilla h6plsy - Eugenol
fouilla

26/02/2011 à 21h30

thomas achète toi la prf box pas chère et top .
perso je fais les prélèvements et j'appelle le poto quand "ça fait pas" mais lui c'est gratos dichotomie oblige ...

--
.


Avatar ow44t3 - Eugenol
Chicot

27/02/2011 à 01h22

dati écrivait:
--------------
> quelles sont les references des disques et des fraises utilisées pour
> "travailler" les blocs ?

C'est ti pas les disques komet pour les embrasures des co provisoires ?

Perso je prend les disques diamantés du système frios

--
;O)


3f3boxni50k58rq7e9ce9ddqrxgk - Eugenol
dentiste57

27/02/2011 à 12h42

merci à tous pour vos compliments, ça fait plaisir de voir ça le matin au réveil.

noahaxeltiger-olivier écrivait:
-------------------------------
> Tes photos : Est ce ta collaboratrice ou ton assistante qui
> photographie durant la chirurgie ?

comme l'a dit pxav, je prends un grand sac stérile et j'y mets mon appareil dedans, mais j'essaie de plus en plus de laisser faire l'assistante. elle commence petit à petit à faire des clichés correctes. si ça ne me plait pas (2*/3), je reprends la main...

growler écrivait:
"
Tu auras constaté qu'une des parties délicates de ce type d'intervention réside dans la fermeture hermétique et sans tension du lambeau."

c'est bien là que réside le plus gros problème de cette intervention, le gain en volume était considérable, la gencive pleine de tissu cicatriciel fibreux donc dificile à manipuler et j'avoue que la proximité des afférences nerveuses dans les couches du lambeau me gènent un peu pour scarifier celui ci afin d'obtenir la traction nécessaire à un bon recouvrement.
c'est pour cette raison que j'ai mis en plus du PRF en recouvrement, car, je voulais le maximum de chances avec moi.

"les vis anthogyr sont autoforantes, c'est à dire qu'il n'y a pas de pré-forage à effectuer?"

oui


"j'utilise les vis easy-implant avec un passage de foret calibré.
pour l'astuce du sachet stérile afin de prendre soi-même la photo, je confirme que c'est une excellente solution: http://www.eugenol.com/sujets/31868-bio-oss-ou-ceros-ou-mbrane-ti-armee?page=1#post_74994"

je prends des gros sacs qui servent normalement à recouvrir le long cône de la radio.


"tiens nous au courant des suites opératoires dans quelques jours."

je n'y manquerai pas, dés que je revois le patient, je posterai dans la minute...
maintenant, je dois bien dire que je reste un peu sceptique car pour moi, la fermeture n'était pas suffisamment étanche.
wait and sea!


dati écrivait:
"quelles sont les references des disques et des fraises utilisées pour "travailler" les blocs ?"

celui que vous pouvez voir sur les photos est un gros disque de chez Komet je crois (je vérifierai), comme l'a dit chicot, c'est pour les embrasures des provisoires.


chicot écrivait:
"tu utilises même un contrasteur si je vois bien !"

oui! je sais pas utiliser photoshop donc...,
c'est un nichominox, mais il est pas génial, si vous connaissez mieux, je suis preneur.


"Quelques questions:
le PRF c'est toi qui fait le prélèvement sanguin ?"

non, un infirmier est venu le faire. je lui donne 20€, c'est 3* plus que ce que la sécu lui aurait donné...quel misère!

"Tu demande un supplément ?"

non


"Ça évite la pose d'une membrane dans quelle indication ?"

je ne suis pas du tout convaincu que le PRF puisse être considéré comme une membrane utilisable pour de ROG par exemple. le PRF est éliminé en quelques jours à peine, donc pour moi, ça ne peut pas être utilisé comme on le ferait avec une BIOGIDE.
par contre il semble, que le PRF permette une cicatrisation plus rapide et avec moins de suites post op. c'est tout ce que je recherchais ici.


"Pourquoi biobank plutôt que ramus autologue ? Le site n'était pas très loin pourtant"

c'est la deuxième intervention, je veux limiter au maximum les complications.


"Pour faciliter l'adaptation je crée un lit de copeaux osseux et le greffon vient dessus en sur épaisseur et la vis ( ou les vis car j'aime en mettre 2 petite pour bien caler le greffon) vient comprimer le tout pour supprimer les espaces mort. Mais je sais pas si avec le biobank on peut faire la même chose."

j'ai trouvé que le biobank était très très dur.
Growler en a utilisé plus que moi, qu'en pense t'il ?


céramik écrivait:
"Quel système de PRF as-tu ?"

j'ai emprunté la centrifugeuse d'un copain ( qui fait de la basale près de chez moi) la voici en photo.
c'est la même que celle que commercialise Choukroun.
prf 1 ou 2? je crois que celle de Choukroune a un capot opaque, non ?
au fait c'est quoi la différence avec la première centrifugeuse commercialisée? vitesse, design, ???

Dsc 1395 qjxgg4 - Eugenol
Dsc 1399 xwlxkw - Eugenol
Dsc 1472 ozlh0t - Eugenol
Dsc 1484 ccjdpy - Eugenol
Dsc 1398 txo1vm - Eugenol
Dsc 1469 czuqqa - Eugenol
Dsc 1470 zcoh8j - Eugenol
Dsc 1485 qwhimv - Eugenol

3f3boxni50k58rq7e9ce9ddqrxgk - Eugenol
dentiste57

27/02/2011 à 12h49

bob membrane écrivait:
----------------------

> Un stress en plus , et si déjà c'est toi qui leur pose un problème au niveau du
> bras, c'est moins cool dans la bouche.

c'est plein de sagesse!

fouilla écrivait:
thomas achète toi la prf box pas chère et top .


justement, je commence à regarder à acheter une centrifugeuse et peut être la PRF box.. ceux qui voudraient faire un tire groupé sont les bienvenues.
combien ça coûte ??


S2y2o1v7q53ws4r5wy6ou8czrpom - Eugenol
pxav

27/02/2011 à 12h52

le prélèvement sanguin sans les gants ça fait "classe" ce sera la seule fausse note de ta présentation
--
xbk


3f3boxni50k58rq7e9ce9ddqrxgk - Eugenol
dentiste57

27/02/2011 à 13h18

oui, j'ai trouvé ça un peu moyen aussi de la part de l'infirmier...


Casque beotien a3jo39 - Eugenol
beotien

27/02/2011 à 15h28

bof les gants, si c'est ceux de la boite ouverte aux 4 vents depuis un mois!! C'est de la frime
pour moi pour une prise de sang ou anesthésie ce qui suit suffit après moi c'est gant stérile ou rien
allez pour rire qui en utilise, tous bien sûr!

pour le prf ok pour l'achat d'une prf box

" LE LAVAGE CHIRURGICAL :

a) Premier lavage : 1 minute

Le chirurgien se mouille les mains et applique la préparation détergeante et bactéricide.

Il fait mousser pendant une minute par friction régulière et méthodique.

Il rince ses mains.

Il brosse ses ongles avec une brosse bétadinée, en y mettant un soin particulier.

Le brossage des avant-bras est à proscrire.

b) Deuxième lavage : 2 minutes

Certains chirurgiens prennent un autre produit.

Utiliser une serviette stérile différente pour la main droite et la main gauche."


Avatar ow44t3 - Eugenol
Chicot

27/02/2011 à 16h25

+1 pour un achat groupé centrifugeuse et box

Le lavage des mains: il existe un nouveau protocole:

Lavage savon puis passage au gel hydroalcoolique

J'en suis tj au premier: brosse betadine avec premier lavage main ongle avant bras
Rinçage et deuxième lavage main et poignet
Séchage avec essuie main stérile 1 par main
Eau filtrée avec filtre microparticule stérilisable.
Mais j'en fait surement trop.
Mais comme j'ai encore pratiquement jamais eu de complications infectieuses post op, je continue......

--
;O)


Smile beach jgh0a1 - Eugenol
Céramik

27/02/2011 à 17h29

Chicot écrivait:
----------------
> +1 pour un achat groupé centrifugeuse et box
>
> Le lavage des mains: il existe un nouveau protocole:
>
> Lavage savon puis passage au gel hydroalcoolique
>
> J'en suis tj au premier: brosse betadine avec premier lavage main ongle avant
> bras
> Rinçage et deuxième lavage main et poignet
> Séchage avec essuie main stérile 1 par main
> Eau filtrée avec filtre microparticule stérilisable.
> Mais j'en fait surement trop.
> Mais comme j'ai encore pratiquement jamais eu de complications infectieuses post
> op, je continue......
>
> --
> ;O)

pffft
et ton patient va fumer en sortant du cabinet...
oublier sa médication, oublier de se laver les dents, bain de bouche, ah, non, j'ai pas fait...



--
Céramik


Avatar ow44t3 - Eugenol
Chicot

27/02/2011 à 18h29

Céramik écrivait:
-----------------

>
> pffft
> et ton patient va fumer en sortant du cabinet...
> oublier sa médication, oublier de se laver les dents, bain de bouche, ah, non,
> j'ai pas fait...
>
>
>
> --
> Céramik

sauf que normalement les plaies sont à peu près fermées, et que je leur remets un doc écrit avec toute les consignes + coup de fil le lendemain de l'AD pour prendre des nouvelles et leur ré enfoncer le clou au sujet du tabac, ttt, soins locaux.

après, si pb il y a, c'est tant pis !!!

--
;O)


Smile beach jgh0a1 - Eugenol
Céramik

27/02/2011 à 18h37

Chicot écrivait:
----------------
>
> sauf que normalement les plaies sont à peu près fermées, et que je leur remets
> un doc écrit avec toute les consignes + coup de fil le lendemain de l'AD pour
> prendre des nouvelles et leur ré enfoncer le clou au sujet du tabac, ttt, soins
> locaux.
>
> après, si pb il y a, c'est tant pis !!!
>
> --
> ;O)


c'était du 2e niveau...
;-)



--
Céramik


3f3boxni50k58rq7e9ce9ddqrxgk - Eugenol
dentiste57

27/02/2011 à 20h02

Chicot écrivait:
----------------
> +1 pour un achat groupé centrifugeuse et box
>

bon ben au moins, on est deux!

j'attends des bons tuyaux pour la centrifugeuse.
la boite est moins nécessaire.


Avatar ow44t3 - Eugenol
Chicot

27/02/2011 à 20h09

Céramik écrivait:
-----------------
> Chicot écrivait:
> ----------------
> >
> > sauf que normalement les plaies sont à peu près fermées, et que je leur remets
> > un doc écrit avec toute les consignes + coup de fil le lendemain de l'AD pour
> > prendre des nouvelles et leur ré enfoncer le clou au sujet du tabac, ttt,
> soins
> > locaux.
> >
> > après, si pb il y a, c'est tant pis !!!
> >
> > --
> > ;O)
>
>
> c'était du 2e niveau...
> ;-)
>
>
>
> --
> Céramik

moi du deuxième degré !!!!

lol


--
;O)


Homer simpson wallpaper brain 1024 f4t8dv - Eugenol
Jpeg

28/02/2011 à 09h37

dentiste57 écrivait:
--------------------
> Chicot écrivait:
> ----------------
> > +1 pour un achat groupé centrifugeuse et box
> >
>
> bon ben au moins, on est deux!
>
> j'attends des bons tuyaux pour la centrifugeuse.
> la boite est moins nécessaire.

+1 centrifugeuse !

Pour le moment j'ai ça:

http://www.praxisdienst.fr/fr/Article+de+labo/Appareils/Centrifugeuses/Centrifugeuse+de+table+EBA+20.html?gclid=CNPW1tWrqqcCFUYifAodyzauBA