Cookie Consent byPrivacyPolicies.comQuel est le meilleur service à rendre? - Eugenol

Quel est le meilleur service à rendre?

G-P

15/03/2011 à 00h20

Et tu as obtenu un retour a la normale de la lésion ?

Un conférencier au "postgrad" new-york/montpellier nous disait avoir eu des cas comme ça de récession purement occluso, mais sans photo.


Smile beach jgh0a1 - Eugenol
Céramik

15/03/2011 à 01h16

G-P écrivait:
-------------
> Et tu as obtenu un retour a la normale de la lésion ?
>
> Un conférencier au "postgrad" new-york/montpellier nous disait avoir eu des cas
> comme ça de récession purement occluso, mais sans photo.

;-)

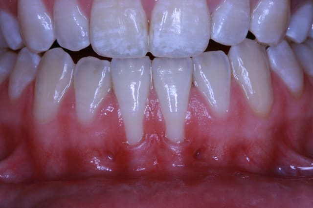
J'ai ajusté l'occlusion, ensuite anesthésie locale et une p'tite greffe conjontif enfoui et lambeau tracté...


--
Céramik


G-P

15/03/2011 à 02h02

Erf !
:(


Smile beach jgh0a1 - Eugenol
Céramik

15/03/2011 à 04h42

G-P écrivait:
-------------
> Erf !
> :(


???

--
Céramik


G-P

15/03/2011 à 10h33

Je pensais que ça avait guéri sans chir :P


Smile beach jgh0a1 - Eugenol
Céramik

15/03/2011 à 12h57

G-P écrivait:
-------------
> Je pensais que ça avait guéri sans chir :P


Tu crois au miracles ?
L'ajustement d'occlusion seul aurait ralentit (?) les dommages, mais l'indication de faire une greffe était présente.

--
Céramik


flicflac

17/03/2011 à 22h42

.


flicflac

17/03/2011 à 22h42

autre cas similaire au premier sensibilité au froid léger,présent surtout au brossage... présence de lacune cunéifome (NOTCH)de 1mm au moins.
Est-ce que je greffe avec recouvrement?
Toujours le risque que si le recouvrement est partiel, d'augmenter la sensibilité au froid de facon permanente???
Si on greffe escalier à la jonction émail-dentive de 1mm...que faire?

Pr  op greffe 15 16 003 avwnxt - Eugenol

aldo74

17/03/2011 à 23h16

compo fluide Kerr automordançant........


Smile beach jgh0a1 - Eugenol
Céramik

17/03/2011 à 23h54

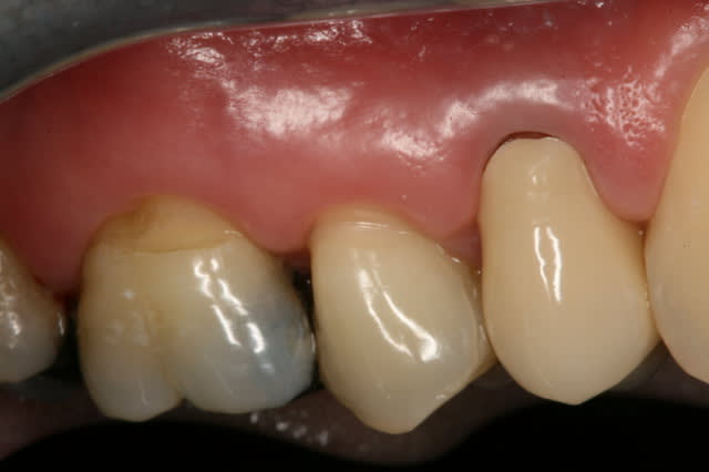
Sur la 16, onlay-couronne
Sur la 15, compo
Sur la 14, il y a quoi ?

C'est pas dû au brossage...
;-)


Pourquoi la greffe augmente la sensibilité ? ?



--
Céramik


flicflac

18/03/2011 à 03h57

si non recouvrement de la racine, sensibilité causée par le surfacage... dent 14 couronne Lava


Smile beach jgh0a1 - Eugenol
Céramik

23/03/2011 à 14h41

flicflac écrivait:
------------------
> si non recouvrement de la racine, sensibilité causée par le surfacage... dent 14
> couronne Lava

Il semble y avoir abfraction sur la 14 ?

Surfaçage ne cause pas tjs un augmentation de sensibilité, parfois transitoire, je n'ai que très rarement eu de soucis avec des centaines de greffes.



Suite du cas que j'avais placeé sur ton fil...
à J+21, c'est encore inflammé, mais bien pour 3 semaines




--
Céramik

Greffe 14   montage  ui6l09 - Eugenol

aldo74

23/03/2011 à 22h08

bonjour , superbe résultat pour la greffe ,je n'en fait pas autant,mais n'est ce pas dommage de se retrouver avec 2 PM courtes ce qui d'un point de vue esthétique m'étonne de ta part??


aldo74

23/03/2011 à 22h09

bonjour , superbe résultat pour la greffe ,je n'en fait pas autant,mais n'est ce pas dommage de se retrouver avec 2 PM courtes ce qui d'un point de vue esthétique m'étonne de ta part??


Smile beach jgh0a1 - Eugenol
Céramik

24/03/2011 à 00h38

aldo74 écrivait:
----------------
,mais n'est
> ce pas dommage de se retrouver avec 2 PM courtes ce qui d'un point de vue
> esthétique m'étonne de ta part??

mdr !

Avec la maturation des tissus, tout va redenir normal d'ici 4-6 semaines.
La récession sera couverte, et les PM seront normales.

Je tenterais de placer des photo à 3-6 mois si je pense à les faire...

--
Céramik


flicflac

24/03/2011 à 04h15

est très beau Ceram, ma photo à deux semaines pour le premier cas à venir... Lava sur 14, pas de lacune, racine très foncée post-endo. A quel fréquence revois-tu tes greffes conjonctive en post-op? idem pour alloderme??
bonne fin ...de....semaine,,,
salut les cousins


Smile beach jgh0a1 - Eugenol
Céramik

24/03/2011 à 13h22

flicflac écrivait:
------------------
> est très beau Ceram, ma photo à deux semaines pour le premier cas à venir...
> Lava sur 14, pas de lacune, racine très foncée post-endo. A quel fréquence
> revois-tu tes greffes conjonctive en post-op? idem pour alloderme??
> bonne fin ...de....semaine,,,
> salut les cousins


C'était une greffe bien simple, une seul dent, conjonctif enfoui, traction lambeau, c'est pas difficile, une fois lambeau bien mobilisé.

Conjonctif : dépose des sutures (Poly 6-0) à 3 semaines
comme le cas montré (dépose des sutures 1 min avant la photo et pas nettoyé les dents...photo moche, mais fait entre 2 chirurgies...moins de 5 min...)

Alloderme : dépose des sutures à 4-5 semaines en général, mais les recommandations sont 6-8-12 semaines celon mes info...Je fait un contrôle à 2 semaines avec alloderme (10 min en salle hyg).


Je crois que la patiente revient dans 2-3 mois pour suivi, je prendrais une autre photo.






--
Céramik


aldo74

24/03/2011 à 21h28

OK bien noté à plus tard alors..


flicflac

25/03/2011 à 03h59

aujourd'hui reprise de greffe épithélio-conjonctive qui n'a pas recouvert, la 3em photo est la pré-op initiale...la première un peu de tissus kératinisé restant, 3em aujourd'hui lambeau tracté et conjonctif enfouie

Pr  op 24 03 2011 et per op 001 bv3hga - Eugenol
Pr  op 24 03 2011 et per op 003 i4urtc - Eugenol
Pr  op 31 41 ottcn2 - Eugenol

Smile beach jgh0a1 - Eugenol
Céramik

25/03/2011 à 05h04

flicflac écrivait:
------------------
> aujourd'hui reprise de greffe épithélio-conjonctive qui n'a pas recouvert, la
> 3em photo est la pré-op initiale...la première un peu de tissus kératinisé
> restant, 3em aujourd'hui lambeau tracté et conjonctif enfouie


C'est quoi comme fils ? du 5-0 ou 6-0 ?



--
Céramik


flicflac

25/03/2011 à 05h12

000000= 6-0
tu fais encore des exo complexe, mois elle me semble toute simple ;.)
J'ai mis un peu d'eau bénite, j'espère que ca va fonctionné,
reprise sans frais


Smile beach jgh0a1 - Eugenol
Céramik

25/03/2011 à 05h24

flicflac écrivait:
------------------
> 000000= 6-0
> tu fais encore des exo complexe, mois elle me semble toute simple ;.)
> J'ai mis un peu d'eau bénite, j'espère que ca va fonctionné,
> reprise sans frais

Complexe, oui parce que la plupart des CD ne les font pas, et pour le tarif ! Comme un 38 bien incluse, avec surprise une 3e racine buccale...
;-)


--
Céramik


flicflac

25/03/2011 à 05h28

Tu as le panorex....lol


3f3boxni50k58rq7e9ce9ddqrxgk - Eugenol
dentiste57

25/03/2011 à 17h02

le gain est minime , mais il est bien là!

tu en restes là ? perso, je ne trouve pas ça si mal.


flicflac

25/03/2011 à 22h10

dentiste57, tu parles de mon cas, les photos sont mal placée chronologiquement, la dernière est la pré op il y a 6 semaines, la première est 6 semaines post-op ( greffe épithélio conjonctive) et la deuxième ( greffe conjonctif enfoui et lambeau tracté) 1h15 après la première, hier on verra la guérison. Fait une seconde greffe patiente hypersensibilité extrême malgré mise en place d'agent de désenbilisation, dentifrice pour dents sensibles...
salut les cousins