Cookie Consent byPrivacyPolicies.comQuel est le meilleur service à rendre? - Eugenol

Quel est le meilleur service à rendre?

flicflac

02/04/2011 à 06h35

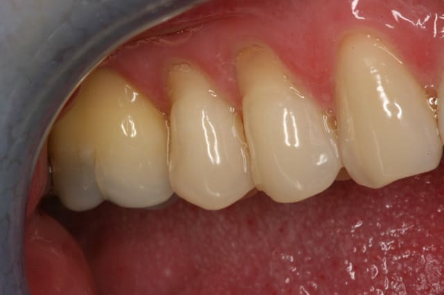
voici le post-op de la greffe d'il y a 2 semaines.
Je crois que je vais réduire l'épaisseur du greffon conjonctif... idéal 1,2mm?? est-ce exacte?la troisième étant la pré-op

Post op 14j 001 akcbqu - Eugenol
Post op 14j 002 kvttke - Eugenol
Pr  op greffe 001 kwz4ge - Eugenol

Img 8465 fqhxid - Eugenol
noahaxeltiger-olivier

02/04/2011 à 11h20

flicflac écrivait:
------------------
> voici le post-op de la greffe d'il y a 2 semaines.
> Je crois que je vais réduire l'épaisseur du greffon conjonctif...

Laisse maturer les tissus et tu verras que le volume du greffon conjonctif diminuera de quelques %.
Le resultat est dans tous les cas prometteur!!

A la vue de ta photo on peut comprendre que tu as choisi de faire une tunnelisation. En ayant fait plusieurs dizaines et pu les comparer avec les lambeaux déplacés coronairement traditionnels ou modifiés, je ne suis pas sûr que le résultat esthétique soit meilleur : je n'aime pas la partie exposée du greffon conjonctif qui a esthetiquement souvent du mal a s'intégrer harmonieusement dans le contexte gingival du site receveur.
Amicalement
Olivier


flicflac

02/04/2011 à 15h01

Pour ce qui est de l'épaisseur du greffon conjonctif idéal=quoi?
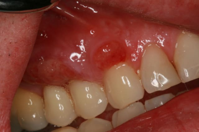
En post op, le lambeau tunnel revouvrait entièrement le greffon, Je crois que l'épaisseur du greffon a favorisé une nécrose de surface du lambeau, de plus quelques points ont cédées avant le contrôle de 2 semaines


Smile beach jgh0a1 - Eugenol
Céramik

02/04/2011 à 21h26

flicflac écrivait:
------------------
> Pour ce qui est de l'épaisseur du greffon conjonctif idéal=quoi?
> En post op, le lambeau tunnel revouvrait entièrement le greffon, Je crois que
> l'épaisseur du greffon a favorisé une nécrose de surface du lambeau, de plus
> quelques points ont cédées avant le contrôle de 2 semaines


Combien l'épaisseur de ton greffon ?
Nécrose de surface ? il était si mince ton lambeau, c'est étrange, jamais vu cela après des dizaines de tunnels.

Mes greffons font en moyenne environ 1.27 à 1.61 mm

;-)


--
Céramik


flicflac

03/04/2011 à 03h36

c'est une supposition que je fait, la gencive est étrange au buccal de la dent #13.
Tu as vraiment des instruments de précision pour la mesure de l'épaisseur des tes greffons.
lol