Cookie Consent byPrivacyPolicies.comcas clinique:articulé débordant d'un seul coté - Eugenol

cas clinique:articulé débordant d'un seul coté

takamatika

24/03/2011 à 21h29

Bjr.
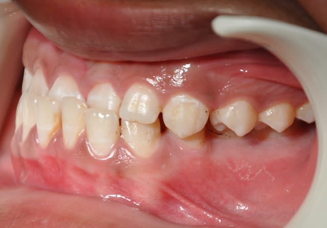
comment on peut traiter cet articulé gauche

Dsc 0001 p5zps3 - Eugenol
Dsc 0002 oanlok - Eugenol
Dsc 0003 zypsjd - Eugenol
Dsc 0004 joimr5 - Eugenol
Dsc 0005 hfrg43 - Eugenol

juco

24/03/2011 à 23h42

Bonjour,
Ce serai bien d'avoir une télé pour l'analyse céphalo, afin de vérifier s'il y a classe 3 squelettique ou simple proglissement mandibulaire. Les 2 traitements sont différents.


takamatika

25/03/2011 à 17h51

Effectivement, c’est un cas de classe III squelettique à responsabilité maxillaire et mandibulaire, hypodivergent.
Normalement c'est un cas ortho-chirurgical, mais le patient n'a pas les moyens. Donc on est partie dans un compromis orthodontique.

Mechhour mehdi dx 20090715 113218 1   copie skuxbx - Eugenol
Dsc 0001 mr1u9p - Eugenol
Mechhour mehdi dx 20090715 113218 2 frojj9 - Eugenol
Dsc 0001 cycf12 - Eugenol
Dsc 0002 a57kuk - Eugenol
Dsc 0006 iovb2b - Eugenol
Dsc 0007 t6h1jo - Eugenol
Dsc 0008 j9ovrs - Eugenol
Dsc 0009 qu69kk - Eugenol
Dsc 0010 e1u3ft - Eugenol
Dsc 0013 nhplmi - Eugenol

EloD

28/03/2011 à 13h06

A voir comme ça, aussi bien esthétiquement que fonctionnellement, je ne pense pas qu'il faille accepter un compromis. La chirurgie s'impose.


1 eugenol dmj5np - Eugenol
Dancha

28/03/2011 à 14h36

Concernant l’occlusion croisée à gauche, il y a deux problèmes : un problème vertical d’égression à partir des canines et un problème transversal.
Corrige d'abord le problème vertical, l’occlusion croisée sera ensuite relativement facile à traiter avec de simples élastiques.

Daniel.


takamatika

28/03/2011 à 15h25

les dernieres photos du cas

Dsc 0001 qagukq - Eugenol
Dsc 0005 bcbz3x - Eugenol
Dsc 0006 avec miroire d0c48l - Eugenol
Dsc 0004 ojiuug - Eugenol
Dsc 0007 avec miroire djlsub - Eugenol

1 eugenol dmj5np - Eugenol
Dancha

28/03/2011 à 17h48

Trois questions :
- Qu'attends-tu pour fermer les diastèmes en bas ? Il me semble que cela diminuerait la vestibuloversion des incisives supérieures.
- La 4ème photo n'est pas exacte, ton patient à latéroglissé à gauche. Tu l'as prise comme ça volontairement ?
- Tu cherches toujours une solution pour ton problème d'occlusion croisée ?

Daniel


Smile beach jgh0a1 - Eugenol
Céramik

28/03/2011 à 18h08

Question comme cela...
il n'y a pas un manque de vertical en postérieur ?


--
Céramik


takamatika

28/03/2011 à 20h41

Mr. Daniel

- Qu'attends-tu pour fermer les diastèmes en bas ? Il me semble que cela diminuerait la vestibuloversion des incisives supérieures.
** oui, j’attends l’alignement et la correction des rotations pour passer à l’acier et ainsi réaliser mon ancrage maximum et le recul des incisives(photos au prochain RDV)

- La 4ème photo n'est pas exacte, ton patient à latéroglissé à gauche. Tu l'as prise comme ça volontairement ?
**non, c’est une photo avec miroir qui montre bien les rapport molaires et canines et qui montre le début de la correction de l’articulé en jouant sur le sens transversal de l’arc niti

- Tu cherches toujours une solution pour ton problème d'occlusion croisée ?
**oui, je cherche à traiter le coté gauche sans modifier le coté droit
En faite j’ai peur que les élastiques criss-cross me créent une Latérodéviation de la mandibule
Pour moi la mandibule est correcte dans le sens transversal et le problème se situe au niveau du coté maxillaire gauche
Revenant au cas en général, j’ai profité de l’hypo divergence (FMA 20°) pour ouvrir le compas et ainsi diminuer la classe III et diminuer aussi les signes faciaux de la classe III comme si j’avais un édenté qui a perdu son calage postérieure
Je peux si tu veux te lancer la séquence des photos

B.M.A.


takamatika

28/03/2011 à 20h46

ceramik
Je n’ai pas compris ta question


1 eugenol dmj5np - Eugenol
Dancha

28/03/2011 à 21h20

takamatika écrivait:
--------------------
> ..
> En fait j’ai peur que les élastiques criss-cross me créent une Latérodéviation
> de la mandibule
> Pour moi la mandibule est correcte dans le sens transversal et le problème se
> situe au niveau du coté maxillaire gauche
>..

Tu as raison, c'est bien le maxillaire qui semble en exo à gauche.
Tu as aussi certainement, associée, une mastication unilatérale à droite.

Les élastiques criss-cross ne devraient pas créer de problème si tu demande à ton patient d'inverser sa mastication en mastiquant exclusivement à gauche jusqu'à ce que l'occlusion croisée soit corrigée. Le but étant de lui permettre en fin de traitement une mastication bilatéral alternée indifférenciée.
Le cycle de mastication étant centripète, c'est lui qui "rentrera" le maxillaire du coté mastiquant.

Daniel


takamatika

28/03/2011 à 23h21

Ce sont des notions très développées pour moi.
Je te dis mon plan de traitement:
*recul des incisives inf. puis sup.
*arc lingual +arc acier de stabilisation inf.
*élastiques criss-cross du coté gauche et box élastique du coté latéral droit


Smile beach jgh0a1 - Eugenol
Céramik

29/03/2011 à 07h24

takamatika écrivait:
--------------------
> ceramik
> Je n’ai pas compris ta question


comme si j’avais un édenté qui a perdu son calage postérieure


------------------
Je trouve qu'il manque de vertical en postérieur, ou bien de calage postérieur...

--
Céramik


Picture1111 zburnd - Eugenol
saidkholoki

29/03/2011 à 10h03

Bonjour,
J'ai suivi cette discussion depuis le debut et il manque un element essentiel que personne n'a demande! A l'examen clinique y a-t-il vraiment cette laterdeviation vraie? Sur la radio panoramique (je n'ai pas reussi a faire copier-coller ici), avec la tige entre les incisives et le proglissement de la mandibule on ne trouve plus cette deviation!!! et cela veut propabelemet dire que la deviation est plutot fonctionnelle que reelle. Sur la cephalo on trouve aussi un decalage au niveau des condyles sans avoir le meme decalage au niveau des cavites glenoides ce qui confirme partiellement mon hypothese. L'element le plus tranchant ici c'est l'examen clinique et en cas de doute il faut peut etre monter le cas sur articulateur avec un arc facial et recherche de la RC afin de traiter le cas a partir des rapports dentaires en RC et non pas en PIM. Sans ces precisions et des reponses a mes questions je trouve il est completement abberant de poser un plan de traitement.

--
A suivre...
Said


Avatarfac v6b7jd - Eugenol
DCDV

29/03/2011 à 11h21

ca vaudrait le coup d avoir une télé pano .......... !

--
dcdv !


1 eugenol dmj5np - Eugenol
Dancha

29/03/2011 à 11h24

takamatika écrivait:
--------------------
> Ce sont des notions très développées pour moi.
> ..

Qu'est-ce à dire ?


saidkholoki écrivait:
---------------------
> ..! A l'examen clinique y a-t-il vraiment cette
> latérodeviation vraie?
> ..

Saïd, je pense que nous devons faire confiance à Takamatika. C'est lui (elle ?) qui a fait l'examen clinique et positionné les modèles en plâtre.

Daniel


EloD

29/03/2011 à 12h43

Dancha écrivait:
>
> Saïd, je pense que nous devons faire confiance à Takamatika. C'est lui (elle ?)
> qui a fait l'examen clinique et positionné les modèles en plâtre.

oui mais Takamatika a mis les modèle en PIM et Saïd voudrait les voir en RC. Quel est le chemin de fermeture?


takamatika

29/03/2011 à 15h12

Céramik
*c'est un cas hypodivergent
Daniel
*ce qui est nouveau pour moi c'est la notion de la rééducation de la mastication et sa relation avec le traitement de mon cas. Et vraiment j'ai pas bien comprit ça. Si tu peux m'expliquer plus mon ami.
Said
*si c'était un cas d'interférence occlusal, ça serai très facile à traiter.
*la panoramique ne confirme pas ce que tu dis car ce n’est pas fiable, il faut d'autres radios plus évolués

Dans mon examen clinique j'ai bien vérifié
Les choses suivantes:
-l'asymétrie dento-alvéolaire supérieure par rapport au visage
-la symétrie de l'axe inter incisif par rapport au frein lingual
-la persistance du même décalage des axes inter incisif lors de la grande ouverture
-pas d'interférence occlusale lors du chemin de fermeture
Normalement je dois demander 2 télé de face, une en occlusion l'autre en grande ouverture pour bien visualiser cette asymétrie, mais faute de moyen du patient et en plus j'en suis sur de mon diagnostic


1 eugenol dmj5np - Eugenol
Dancha

29/03/2011 à 17h30

takamatika écrivait:
--------------------
> Daniel
> *ce qui est nouveau pour moi c'est la notion de la rééducation de la mastication
> et sa relation avec le traitement de mon cas. Et vraiment j'ai pas bien comprit
> ça. Si tu peux m'expliquer plus mon ami.

Je manque de temps pour pour développer ce sujet maintenant, tu trouveras quelques éléments de réponse dans ces deux anciennes discussions où j'en ai amplement parlé.
http://www.eugenol.com/sujets/179594-question-aux-planassiens?page=1#post_180647
http://www.eugenol.com/sujets/150919-une-colle-pour-dancha?page=1

Il y en a certainement d'autres, mais je ne saurais plus les trouver.

Daniel


takamatika

29/03/2011 à 20h39

les photos extra buccales

Dsc 0015   copie  2  zuuaml - Eugenol
Dsc 0011   copie z9p4cf - Eugenol
Dsc 0012   copie tneuwp - Eugenol

Smile beach jgh0a1 - Eugenol
Céramik

30/03/2011 à 05h32

takamatika écrivait:
--------------------
> Céramik
> *c'est un cas hypodivergent


OK
Je viens de re-lire le fil
J'avais pas vu les données initail, mea culpa.
Effectivement, c'est un cas ortho-chirurgie

Bonne chance dans le compromis, car les ATM peuvent ne pas aimer la position que tu es en train de créer

--
Céramik


Picture1111 zburnd - Eugenol
saidkholoki

30/03/2011 à 10h02

Bonjour,
Il ne s'agit pas de faire confiance ou pas a l'examen clinique de notre ami(e)takamatika. Il s'agit d'une erreure tres ferequente que chacun de nous pourrait la faire surtout si la musculature a bien enregistrer cette deviation associee peut etre a une relle laterognathie. Je maintiens quand-meme mon point de vue car entre les deux series de photos (on ne sait pas combien de temps entre les deux), mais l'articule inversee au niveau de la canine inferieure/laterale sup cote droit a bien disparu, l'inverse d'articule anterieur n'est plus la et les lignes medianes dentaires se sont alignees!
Dans ce cas il y a une choses des deux: Soit la situation de depart etait en RC et le recentrage dentaire va creer un decentrage articulaire et comme disait ceramik les ATM n'aiment pas cette situation, ou bien (et c'est ce que je pense) la situation initiale etait en occlusion de convenance due a un contact premature au niveau de la canine/laterale et le simple fait de supprimer ce contact par le nivellement denatire a permis a la mandibule de se recentrer. Si des nouvelles radios de profil et de face sont a faire maintenant on ne doit pas voir le meme decalage condylien de depart et on peut quantifier le probleme d'origine squelettique.
Personnellement dans un cas de lateromandibulie combinee (d'origine fonctionnelle, positionnelle et/ou squelettique) un montage sur articulateur devient indisponsable avec une radio de face afin d'estimer la dissymetrie mandibulaire.



--
A suivre...
Said


Picture1111 zburnd - Eugenol
saidkholoki

30/03/2011 à 11h30

Voici un essai pour mieux voir en sachant que la radio panoramique n'est pas le meilleur document pour une telle evaluation. A vous de juger.

--
A suivre...
Said

Pano injrvy - Eugenol
Superposition w7c4xy - Eugenol
Face dentaire h4jiic - Eugenol

1 eugenol dmj5np - Eugenol
Dancha

30/03/2011 à 12h24

saidkholoki écrivait:
---------------------
>
> entre les deux), mais l'articule inversee au niveau de la canine
> inferieure/laterale sup cote droit a bien disparu, l'inverse d'articule
> anterieur n'est plus la et les lignes medianes dentaires se sont alignees!

Je suis désolé, mais ne suis pas d'accord avec toi, Saïd.

Tu as fait ta mesure de symétrie maxillaire/mandibule sur la panoramique qui est une radio prise en bout à bout incisives, cela enlève toute sa valeur.,

Pour moi, ce ne sont bien que les dents qui ont été déplacées. Les milieux incisifs ne se sont beaucoup améliorés et il est fortement vraisemblable que la 43 se soit lingualée.

Daniel


1 eugenol dmj5np - Eugenol
Dancha

30/03/2011 à 12h36

Message annulé.. j'avais remis le même en doublon par erreur..
Daniel


12