Cookie Consent byPrivacyPolicies.comcas clinique:articulé débordant d'un seul coté - Eugenol

cas clinique:articulé débordant d'un seul coté

takamatika

30/03/2011 à 13h35

Mr Said
-Les milieux ne sont pas déplacés
-Si tu remarque bien sur la pano, l’asymétrie vers la gauche est bien visible
-La correction de l'articulé inversé est due au:
*la vestibuloversion des incisives
*l'augmentation de la DVO, donc camouflage de la classe III par augmentation de l'angle FMA
*je ne pense pas que j’aurai un problème articulaire
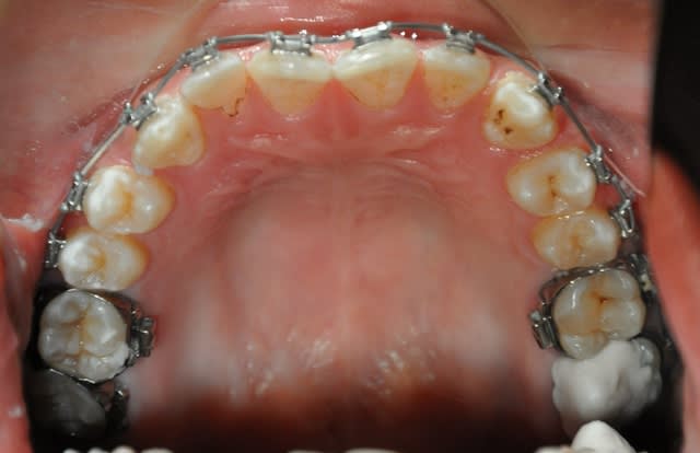
voici la première étape

Dsc 0002 crlur4 - Eugenol
Dsc 0006 h1ilt3 - Eugenol
Dsc 0001 qxvuke - Eugenol
Dsc 0005 pcikt2 - Eugenol

takamatika

30/03/2011 à 13h36

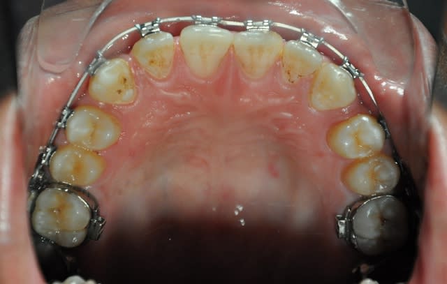
2ème étape

Dsc 0004 lwlouj - Eugenol
Dsc 0003 kobtob - Eugenol
Dsc 0005 pfdneo - Eugenol
Dsc 0006 pndvvp - Eugenol
Dsc 0001 hztqqg - Eugenol
Dsc 0002 b3d098 - Eugenol

takamatika

30/03/2011 à 13h46

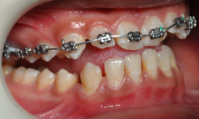
3ème étape,déjà postée


1 eugenol dmj5np - Eugenol
Dancha

01/04/2011 à 21h02

Pourquoi as-tu attendu la troisième étape pour appareiller le bas ?
Personnellement, j'aurais attaqué tout de suite.

Daniel


takamatika

01/04/2011 à 22h53

Dancha écrivait:
----------------
> Pourquoi as-tu attendu la troisième étape pour appareiller le bas ?
> Personnellement, j'aurais attaqué tout de suite.
>
> Daniel
Oui, je ne voulais pas que mes incisives partent en avant, et je voulais laisser les diastèmes inférieures comme sécurité jusqu’au saut de l'articulé
A propos tes cas de minis vis, je viens juste de fouiller dans eugénol, vraiment c'est très bien et ce que j'ai bien apprécié la biomécanique et les cantilever
Je voulais que tu me dises ton avis sur cette mécanique

Dsc 0003 ccadd6 - Eugenol
Dsc 0007 rqtmo9 - Eugenol
Dsc 0004 b9m7js - Eugenol
Dsc 0005 s7pxry - Eugenol
Dsc 0006 piv60m - Eugenol

1 eugenol dmj5np - Eugenol
Dancha

05/04/2011 à 20h48

takamatika écrivait:
--------------------
>.. je ne voulais pas que mes incisives partent en avant, et je voulais laisser
> les diastèmes inférieures comme sécurité jusqu’au saut de l'articulé

Je ne comprends pas très bien, il me semble que la fermeture des diastèmes inférieurs t'aurait au contraire permis de moins vestibuler les supérieures.

> Je voulais que tu me dises ton avis sur cette mécanique

C'est une construction très élaborée et réfléchie. As-tu la suite ?

Daniel


ziyous

06/04/2011 à 00h51

bj
j'ai calculé le I to P.Frankfurt, il dépasse 130, la moyenne est 107, la corticale des inc sup est fine, je ne sais pas à combien elle est cette mesure après vestibuloversion des inc sup, mais je crois que tu es dans le rouge. heureusement que le parodonte est de type épais. Au pire il fallait faire comme dancha la recommander, le bas puis le haut pour minimiser les dégats.
une question est ce qu'il y a une notion d'hérédité dans la famille?


1 eugenol dmj5np - Eugenol
Dancha

06/04/2011 à 21h13

ziyous écrivait:
----------------
> bj
> j'ai calculé le I to P.Frankfurt, il dépasse 130, la moyenne est 107, ..

Est-ce que faire référence ici à la valeur de 107° sur le plan de Francfort (et 110° sur SN) est bien approprié ?
D'après mes souvenirs ce chiffre se rapporte à statistiques faites sur des Caucasiens et il ne me semble pas que ce patient en soit un pur souche..

Daniel


takamatika

07/04/2011 à 12h18

J’attends les prochains RDV pour communiquer la suite


ziyous

07/04/2011 à 15h59

Dancha écrivait:
----------------

> Est-ce que faire référence ici à la valeur de 107° sur le plan de Francfort (et > 110° sur SN) est bien approprié ?

DECOSSE a déterminé les limites des compensations dento-alvéolaires des inc ds ttt cl III
* IMPA ne doit être < à 82°
* Inc Max/PF ne doit pas dépasser 110°
mais devant tout type de cl III, le 1er examen à faire est d'éliminer un proglissement (RC)


takamatika

08/04/2011 à 18h38

----------------
> takamatika écrivait:
> --------------------
> >.. je ne voulais pas que mes incisives partent en avant, et je voulais laisser
> > les diastèmes inférieures comme sécurité jusqu’au saut de l'articulé
> Dancha écrivait:

> Je ne comprends pas très bien, il me semble que la fermeture des diastèmes
> inférieurs t'aurait au contraire permis de moins vestibuler les supérieures.
>
> takamatika
Car si je nivèle toute l'arcade à la fois, les incisives inférieures vont se vestibuler avec un bascule horaire du plan d'occlusion, c'est pourquoi j'ai attendue le saut d'articulé pour avoir un cal antérieure pour mes incisives et en plus la lus part des cas je segmente l'arcade sauf si j'ai déjà une linguovertion des incisives inférieures


1 eugenol dmj5np - Eugenol
Dancha

08/04/2011 à 20h56

takamatika écrivait:
--------------------
> ..
> Car si je nivèle toute l'arcade à la fois, les incisives inférieures vont se
> vestibuler avec un bascule horaire du plan d'occlusion,
> ..

Ton approche du nivellement ne me semble pas bonne et ta mécanique pas adaptée :
Imagine que tu solidarises molaires et prémolaires inférieures de chaque coté et que tu accroches ensuite un élastique de 34 à 44 passant devant les incisive, elle ne se vestibuleraient pas !

Daniel


takamatika

08/04/2011 à 21h05

non,je fait un bay-pass antérieure et je nivèle que les secteurs latéraux au dédut


12