Cookie Consent byPrivacyPolicies.comaide pour ce cas d'orthdontie - Eugenol

aide pour ce cas d'orthdontie

Aouad yasser 003 kjsqgm - Eugenol
curieux

27/03/2011 à 12h01

salut chers collegues
je viens de recevoir un cas d'orthodontie un peu copmliqué et je veux vos suggessions merci
patiente age 26 ans
profil hyperdivergent
la 24 est absente
vous trouvez ci joint les photos
j'ai commencé mon traitement avec
extractions des dents de sagesses les 4
arc niti thermo actif 12 sur bracket autoligaturnat
ressort ouvert entre 26 27 pour distaliser la 27

Bilan orthodontie hanguag sihm 007 mhcm6z - Eugenol
Bilan orthodontie hanguag sihm 006 jld6be - Eugenol
Bilan orthodontie hanguag sihm 009 vzhddc - Eugenol
Bilan orthodontie hanguag sihm 012 hai3oc - Eugenol
Hangag siham cr 20110103 154356 1 uppnsp - Eugenol
Hangag siham cr 20110103 154448 2 iprdcn - Eugenol
Orthodontie hanguag siham debut de traitement 001 fk1jzx - Eugenol
Orthodontie hanguag siham debut de traitement 002 xgxttr - Eugenol
Orthodontie hanguag siham debut de traitement 003 dmi3q4 - Eugenol
Hangag siham cr 20110103 154448 2 jpg 2 hxhsyi - Eugenol

juco

27/03/2011 à 13h57

Bonjour,
A l'étude des photos et céphalo, les extractions des 3 dernières prémo semblent nécessaires. De plus que ta patiente est hyperdivergente, donc besoin de fermeture de l'angle facial.
Pourquoi distaller 27 ?
A bientôt


juco

27/03/2011 à 14h00

Je vois: il y a 14 et 24 absentes ?
donc recul de 27 ? Mais le profil hyper divergent est accentué avec ce mouvement.


Aouad yasser 003 kjsqgm - Eugenol
curieux

27/03/2011 à 14h03

la 25 est absente j'ai pas voulu passer le canine a molaire
j'ai extrais la 28 puis je vais faire un recul molaire pour preserver la 24


F e01w igu3rl - Eugenol
roumette

27/03/2011 à 14h22

Au secours!!!!
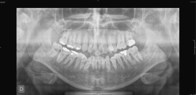
Les caries ont elle été traitées, sur le pano, ça ne semble pas brillant sur le secteur postérieur...


Aouad yasser 003 kjsqgm - Eugenol
curieux

27/03/2011 à 14h25

c'est evident qu'on a deja traité les caries avant de commencer c'est l ABC de la pratique odontologique


Smile beach jgh0a1 - Eugenol
Céramik

27/03/2011 à 18h30

1-Brosse à dent !
2-Expansion arcades H/B

--
Céramik


Aouad yasser 003 kjsqgm - Eugenol
curieux

27/03/2011 à 19h18

l’expansion ça ne va pas apporter grand chose comme espace !!!
dans tout les cas le nivellement va faire de l expansion


Gaudi parc guell lezard  ntokms - Eugenol
lezard

27/03/2011 à 20h38

curieux écrivait:
-----------------
> l’expansion ça ne va pas apporter grand chose comme espace !!!

Ben si, un petit peu + dérotation molaire pour gagner encore un peu plus, expansion avec QH mais sans doute mieux avec disjoncteur, et normalement tu devrais pouvoir ranger la 23.

et extraction pm md


Aouad yasser 003 kjsqgm - Eugenol
curieux

27/03/2011 à 21h10

la patiente est adulte je pense le disjoncteur est contre indiqué
je vais tenter de distaliser la 27 de 5mm puis la bloquer dans sa position ensuite distaliser la 26 avec le developpement de l'arcade par nivellement on arrivera a faire rentrer la canine
ma question le moyen le plus simple et le moins encombrant pour distaliser les molaires ?
pour l instant j'utilise un ressort niti ouvert 150 g j'ai gagné 1 mm en distal de la 26


flicflac

27/03/2011 à 21h44

Pose d'un implant orthodontique au distal???
Sinon 5 mm c'est beaucoup..... L'expansion des arcades peut te donné quelques mm supplémentaire pour gérer le chevauchement


Aouad yasser 003 kjsqgm - Eugenol
curieux

27/03/2011 à 21h47

oui un mini vis d'ancrage c'est excellent mais je ne sais pas le faire et je n'ai pas le materiel d'implantologie
si le ressort ne donne pas de resultat
je passerai soit a
la plaque de hawlé de distalisation c'est encombrant
soit au mini vis d'ancrage
merci


Images 1 qtgoxf - Eugenol
ciwil

27/03/2011 à 23h25

tu as une autre possibilité.
il faut constituer un ancrage antérieur pour distaler ta 27; pour ce faire, tu bagues 15-25 et tu soudes un arc de Nance qui assurera un appui muqueux.
il te reste à comprimer un ressort ouvert entre 5 et 7 que tu réactiveras jusqu'à obtenir la distalisation souhaitée.


Aouad yasser 003 kjsqgm - Eugenol
curieux

28/03/2011 à 00h44

oui tout à fait très bonne ideé
merci beaucoup


paradoxe

28/03/2011 à 13h24

Céramik écrivait:
-----------------
> 2-Expansion arcades H/B

Interresant.
Tu peux préciser.
Expansions chirurgicales je suppose?
Transversales et/ou longitudinales?

On a vu des cas de disjonction maxillaire fonctionner après 30 ans, mais aucun cas réussi d'expansion mandibulaire.


1 p3qrc4 - Eugenol
Bjc.

28/03/2011 à 13h55

si tu veux voir des cas d'expansion Md., vas voir Planas ou Damon

@+ Bjc.


Aouad yasser 003 kjsqgm - Eugenol
curieux

28/03/2011 à 14h00

expansion par développement de l'arcade après succession d'arc


Grueavatar nptrc9 - Eugenol
Le Choixpeau magique

28/03/2011 à 15h07

Bjc. écrivait:
--------------
> si tu veux voir des cas d'expansion Md., vas voir Planas ou Damon

Planas ça risque d'être compliqué d'aller le voir... par contre, pour Damon, tu aurais des références qui montrent qu'il est possible d'obtenir une expansion osseuse mandibulaire avec des arcs ?


paradoxe

28/03/2011 à 16h06

Le Choixpeau magique écrivait:
------------------------------
> pour Damon, tu
> aurais des références qui montrent qu'il est possible d'obtenir une expansion
> osseuse mandibulaire avec des arcs ?
+1

Bien entendu, nous parlons d'expansion importante en largeur, et non pas d'expansion au niveau du ramus.
De l'expansion là ou il n'y as pas d'attache musculaire.

Avec des arcs et en force faible, ou avec des Soulet-Besombes, on pourra obtenir un peu d'expansion, mais il me semble que ce sera un poil insuffisant dans ce cas.
Je ne demande qu'à être contredit.