Cookie Consent byPrivacyPolicies.comComment simplifier et fiabiliser les greffes pour les nuls? - Eugenol

Comment simplifier et fiabiliser les greffes pour les nuls?

S2y2o1v7q53ws4r5wy6ou8czrpom - Eugenol
pxav

26/04/2011 à 09h54

Salut René
toujours du plaisir à avoir de tes nouvelles.
L'ostéotension modifie l'os non pas en volume, mais en qualité, et quand je dis :"jaurais pu faire de l'expansion" c'est un peu façon de ce que tu as vu à Sallanches, c.a.d. en prenant beaucoup de risques et en composant avec le peu d'os existant.
En aucun cas le volume n'a changé, simplement à la première ostéotension, le poinçon rentrait comme dans du beurre par endroit, et je n'aurais pas eu un vissage de mes plaques géniales, alors que là c'était du solide.
C'est vr'ai que contrairement à ce que l'on pense l'expansion demande beaucoup plus d'attention que les greffes (je ne parle pas du prélèvement), et c'est pour ça qu'avec Thomas nous ne ferons plus que des cours avec TP, et peut etre si la demande est là avec chirurgie en coaching à trois, nous en avons fais une la semaine dernière à Mulhouse (je vais essayer de vous passer les photos, c'était assez hot) et c'est très profitable pour le patient et son praticien.


--
xbk
"Si tous ceux qui croient avoir raison n'avaient pas tort, la vérité ne serait pas loin" Dac Pierre


bob membrane

27/04/2011 à 19h50

j'arrive un peu tardivement, en tout cas cas milles bravos PRAX, intelligente approche de la greffe d'apposition , un avenir certain pour la simplification de l'adaptation du greffon, belle chirurgie, pourquoi ne pas augmenter la dimension vestibulo pal.pour pallier à la théorique perte de 30% du volume du greffon? en tous cas merci pour cette initiative, et encore sincèrement félicitations pour ce que tu as fait. ( pour de vrai )


S2y2o1v7q53ws4r5wy6ou8czrpom - Eugenol
pxav

27/04/2011 à 20h16

c'est gentil tout plein merci.
Si effectivement la greffe "fond", je suis prêt à faire une expansion de greffe......

--
xbk
"Si tous ceux qui croient avoir raison n'avaient pas tort, la vérité ne serait pas loin" Dac Pierre


Blason dql7mj - Eugenol
growler

28/04/2011 à 23h08

Comme le titre de ce sujet s'y prête bien et en attendant que le concept d'usinage des greffons allogéniques soit validé, je vous expose ma méthode pour adapter au mieux un greffon (allogénique ou autogène)

règles de base:
-on retouche prioritairement le greffon ailleurs que dans les zones où il doit redonner le maximum de volume
-il faut observer la forme du défaut osseux selon 3 axes: frontal, vertical et latéral et on adapte la forme du greffon pour chacune de ces vues

1°) frontalement: on regarde les berges mésiales et distales du défaut, elles peuvent être parallèles entre elles, convergentes ou divergentes, (voir vues ci-dessous)
et on taille les bords latéraux du greffon en fonction de ces berges.

2°) latéralement: il faut observer la forme générale de la concavité du défaut et on taille alors l'intrados du greffon pour épouser cette concavité générale et on prend garde de tailler le moins possible à l'endroit ou on a besoin de garder de l'épaisseur (généralement dans la partie coronaire du greffon)

3°) verticalement: on observe la forme générale de la concavité du défaut, cette concavité peut varier entre la partie coronaire du défaut et sa partie apicale. On reproduit la forme convexe correspondante à l'intrados du greffon

après ces 3 étapes le greffon est généralement déjà bien adapté.Il faut parfois cependant ajuster l'intrados dans les cas (nombreux) où il existe un gradiant de courbure des concavités de haut en bas et latéralement.

Pour des formes plus tarabiscotées, certains prennent l'empreinte de la forme du défaut avec de la cire à os pour mieux visualiser en positif les subtilitées géographiques du défaut.

Voilà Pxav, j'ai bien pollué ton fil avec mes méthodes moyennageuses mais il fallait absolument que j'essaye ma nouvelle petite tablette graphique Bamboo :)


@+



Defaut ant axes uh00s0 - Eugenol
Defaut ant 3axes x8ql9a - Eugenol
Defaut ant suraun - Eugenol
Coupe xray transversale omynvk - Eugenol
Coupe xray transversale greffe m05aen - Eugenol
Coupe xray transversale greffe2 njaaal - Eugenol

S2y2o1v7q53ws4r5wy6ou8czrpom - Eugenol
pxav

28/04/2011 à 23h21

non, tu ne pollue pas ce post, au contraire, ,car pour un défaut limité en surface ta méthode est bonne.
Un cas comme ça, expansion?

--
xbk
"Si tous ceux qui croient avoir raison n'avaient pas tort, la vérité ne serait pas loin" Dac Pierre


Avatar ow44t3 - Eugenol
Chicot

29/04/2011 à 00h33

Bravo pour ces belles prouesses

--
;O)


Amibien

30/04/2011 à 22h03

les greffes en apposition d'un volume important de bio oss en granules fonctionnent très bien, au point que je me demande jusqu'où on pourrait aller ?

--
Petit Prince


S2y2o1v7q53ws4r5wy6ou8czrpom - Eugenol
pxav

01/05/2011 à 10h59

Amibien écrivait:
-----------------
> les greffes en apposition d'un volume important de bio oss en granules
> fonctionnent très bien, au point que je me demande jusqu'où on pourrait aller ?
>
> --
> Petit Prince

je ne vois pas en quoi le bio oss simplifierait et fiabiliserait les greffes pour les nuls?
--
xbk
"Si tous ceux qui croient avoir raison n'avaient pas tort, la vérité ne serait pas loin" Dac Pierre


3f3boxni50k58rq7e9ce9ddqrxgk - Eugenol
dentiste57

01/05/2011 à 11h46

.


3f3boxni50k58rq7e9ce9ddqrxgk - Eugenol
dentiste57

01/05/2011 à 11h48

dentiste57 écrivait:
--------------------
> et là ?
> greffe selon ta méthode ?

Cross section dhvkc8 - Eugenol
3d dt3qom - Eugenol
Overview uqcp6u - Eugenol

Amibien

01/05/2011 à 12h33

pxav écrivait:
--------------
> je ne vois pas en quoi le bio oss simplifierait et fiabiliserait les greffes
> pour les nuls?
> --



bin ça marche toujours, c'est là que c'est intéressant.

--
Petit Prince


S2y2o1v7q53ws4r5wy6ou8czrpom - Eugenol
pxav

01/05/2011 à 12h55

Amibien écrivait:
-----------------

> bin ça marche toujours, c'est là que c'est intéressant.
>
> --
> Petit Prince
oui mais avec toi, parce que moi les "trucs" qui marche toujours, je ne connais pas!

--
xbk
"Si tous ceux qui croient avoir raison n'avaient pas tort, la vérité ne serait pas loin" Dac Pierre


S2y2o1v7q53ws4r5wy6ou8czrpom - Eugenol
pxav

01/05/2011 à 12h55

dentiste57 écrivait:
--------------------
> dentiste57 écrivait:
> --------------------
> > et là ?
> > greffe selon ta méthode ?
expansion, c'est plus cool!

--
xbk
"Si tous ceux qui croient avoir raison n'avaient pas tort, la vérité ne serait pas loin" Dac Pierre


Utilisateur banni

04/05/2011 à 18h36

3D secteur 1

Comment simplifier et fiabiliser les greffes cas clinique dr pxav 1 to7kuq - Eugenol
Comment simplifier et fiabiliser les greffes cas clinique dr pxav 2 xckumk - Eugenol
Comment simplifier et fiabiliser les greffes cas clinique dr pxav 4 s9fhn2 - Eugenol
Comment simplifier et fiabiliser les greffes cas clinique dr pxav 5 sp6mxm - Eugenol
Comment simplifier et fiabiliser les greffes cas clinique dr pxav 6 mpweb8 - Eugenol
Comment simplifier et fiabiliser les greffes cas clinique dr pxav 7 o0oczb - Eugenol

S2y2o1v7q53ws4r5wy6ou8czrpom - Eugenol
pxav

04/05/2011 à 21h35

très sympa ton montage!
la patiente va bien.

--
xbk
"Si tous ceux qui croient avoir raison n'avaient pas tort, la vérité ne serait pas loin" Dac Pierre


people

06/05/2011 à 01h29

Je trouve votre technique très intéressante et très astucieuse. Mais si j'ai bien suivi, vous parler de "Flapless" et de tunnélisation. Or les photos que vous montrez indiquent que vous avez utilisé une technique Flap.Pourriez-vous m'expliquer.


S2y2o1v7q53ws4r5wy6ou8czrpom - Eugenol
pxav

06/05/2011 à 09h19

le premier coté est en flap, avec incision palatine, en biseau, et le deuxième coté (droit) est en flapless, avec décollement de la partie vestibulaire, de la partie crestale et d'une petite partie palatine (2-3 mm), créant une espèce de chaussette, très lâche, que je distant pour introduire le greffon, d'où l'impression de flap, mais une fois remis en place, seulement trois points de suture.

--
xbk
"Si tous ceux qui croient avoir raison n'avaient pas tort, la vérité ne serait pas loin" Dac Pierre


Utilisateur banni

23/07/2011 à 10h53

pxav, l'intervention a 3 mois peut-tu donner des nouvelles ?


S2y2o1v7q53ws4r5wy6ou8czrpom - Eugenol
pxav

23/07/2011 à 12h11

vu cette semaine aspect extérieur nickel!
Scanner demandé pour début septembre.

--
xbk
"Si tous ceux qui croient avoir raison n'avaient pas tort, la vérité ne serait pas loin" Dac Pierre


3f3boxni50k58rq7e9ce9ddqrxgk - Eugenol
dentiste57

23/07/2011 à 16h31

bon, ben poste nous ça le plus vite possible alors.


Smile beach jgh0a1 - Eugenol
Céramik

12/10/2011 à 01h36

pxav écrivait:
--------------
> vu cette semaine aspect extérieur nickel!
> Scanner demandé pour début septembre.
>


bon, on est début octobre...alors ce scan ?

;-))


--
Céramik


S2y2o1v7q53ws4r5wy6ou8czrpom - Eugenol
pxav

12/10/2011 à 01h45

j'ai reporté la pose des implants à décembre, scann fin novembre.
j'ai déposé les vis la semaine dernière et ras.

--
xbk
"Si tous ceux qui croient avoir raison n'avaient pas tort, la vérité ne serait pas loin" Dac Pierre


Logocolornotext kiwlk1 - Eugenol
Clio

13/10/2011 à 14h47

Salut xpav,
As tu retiré les vis car elles s'operculaient a travers la gencive suite a une fonte plus ou moins importante des greffons?
Ou as tu fais un lambeau pour les enlever et dans ce cas pourquoi ne pas avoir posé les implants en même temps?


S2y2o1v7q53ws4r5wy6ou8czrpom - Eugenol
pxav

13/10/2011 à 16h56


Salut Clio, j'ai retiré les vis pour plusieurs raisons:
-les vis sont en inox donc non ostéointégrable(ce qui permet de les retirer) et en conséquence la présence de la vis gène la prise totale du greffon (dans mon esprit du moins).
-j'ai été un peu "optimiste" pour les longueurs.
-les greffons sont parfaitement intégrés, mais l'os receveur était tellement fins par endroit que certaines zones sont encore en remaniement et il me semblait préférable de n'avoir que de l'os.
-Il est possible que je place les implants, sans lambeau (en Décembre) avec peut être une légère condensation/expansion pour certains (je l'avais programmé avant la pose des greffons) et il me semble indispensable de n'avoir pas de corps étranger (vis)
J'ai fait le choix des le début de ne pas mettre des blocs osseux très gros, pour avoir un bel arrondi vestibulaire.
Pour retirer les vis, pas de lambeau, de simples "boutonnières" (5)
je crois que j'aurais pu implanter de suite mais je veux assurer sur ce cas là (patiente envoyée par un confrère implanto exclusif, pas correct si je me loupe..et la patiente pas contente non plus).
--
xbk
"Si tous ceux qui croient avoir raison n'avaient pas tort, la vérité ne serait pas loin" Dac Pierre

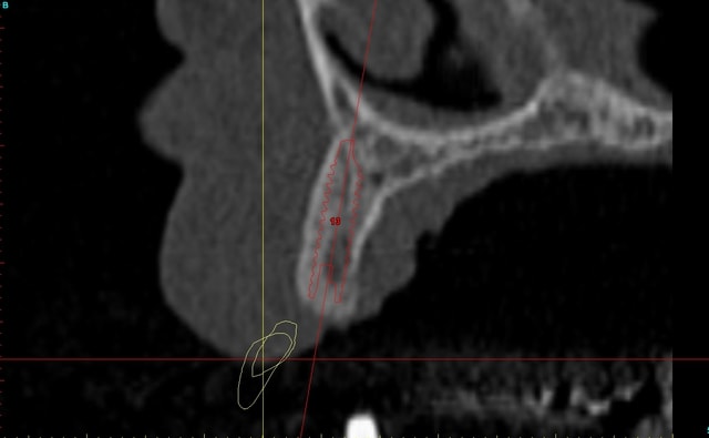
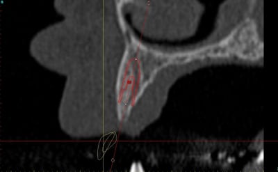
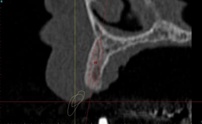
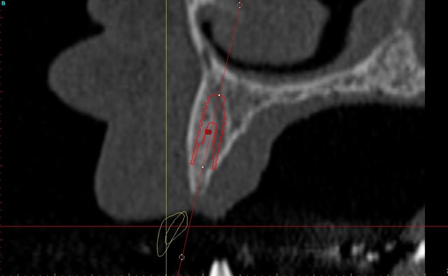
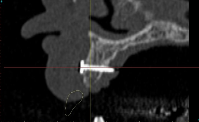
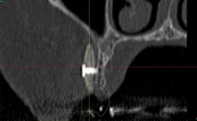
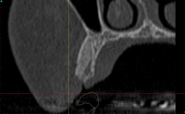
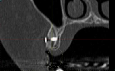
Dar axial lebnbu - Eugenol
Dar axiali qui1is - Eugenol
Dar11 cyo3el - Eugenol
Dar13 alznrp - Eugenol
Dar13i aujibg - Eugenol
Dar14 actm24 - Eugenol
Dar15 zvi82y - Eugenol
Dar23i g6nxds - Eugenol
Dar24 vzfroa - Eugenol
Dar25 lcptyk - Eugenol
Dar 3d xkb3uv - Eugenol
Dar  3di ngfcc4 - Eugenol
Dar  3dl fwmdk6 - Eugenol

Smile beach jgh0a1 - Eugenol
Céramik

14/10/2011 à 01h09

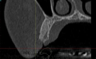
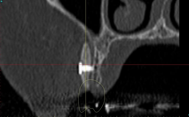
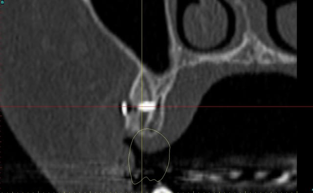
image 8, il semble y avoir une zone entre le greffon et l'os ?
C'est intégré ?

Sinon, le cas semble bien, fait nous une vidéo !

A+


--
Céramik