Cookie Consent byPrivacyPolicies.comComment simplifier et fiabiliser les greffes pour les nuls? - Eugenol

Comment simplifier et fiabiliser les greffes pour les nuls?

S2y2o1v7q53ws4r5wy6ou8czrpom - Eugenol
pxav

14/10/2011 à 01h19

c'est en cours d’intégration, la zone n'est pas "creuse" mais en remaniement, c'est surtout l'os de la patiente, qui trop fin au départ a du mal à suivre.
j'ai hésité à faire de l'ostéotension, quelqu'un a t il de l'expenrience d'ostéotension sur greffe?
Bien sur film, mais peut être pas tout de suite pour nonol.
--
xbk
"Si tous ceux qui croient avoir raison n'avaient pas tort, la vérité ne serait pas loin" Dac Pierre


Smile beach jgh0a1 - Eugenol
Céramik

14/10/2011 à 01h50


http://www.zimmerdental.com/Regenerative/rg_zimmerCurV.aspx

Vue sur le net il y a 2 minutes...

Pour la vidéo, file moi ça en mp !!!!!

--
Céramik


Icon poker h4nm2d - Eugenol
jeff

15/10/2011 à 00h35

pxav écrivait:
--------------

> Dans un premier temps, les greffons sont préparés manuellement par votre
> serviteur, mais ensuite la machine outil prendra le relais, dés que seront
> résolus les petits problèmes d’environnement.
>
> Une fois les greffons préparés, ils sont traités par un procédé spécifique à
> Biobank (CO2 supercritique) puis stérilisation (rayons gamma).


C'était un extrait du premier post de pxav.

Effectivement," preparation du bloc, puis conditionnement, puis sterilisation". Mais bon, cela n'aurais pas changé grand chose avec " conditionnement, preparation du bloc, sterilisation ".

Alors, en attendant que "la machine outil prenne le relais", comment je fais ?


S2y2o1v7q53ws4r5wy6ou8czrpom - Eugenol
pxav

15/10/2011 à 00h57

Tu appelles chez Biobank...(M. Bardonnet, de ma part si tu veux mais ce n'est pas indispensable
--
xbk
"Si tous ceux qui croient avoir raison n'avaient pas tort, la vérité ne serait pas loin" Dac Pierre


S2y2o1v7q53ws4r5wy6ou8czrpom - Eugenol
pxav

05/12/2011 à 15h33

Yes, ça c'est fait!
merci à D57 qui m'a soutenu moralement.
je peux enfin confirmer que la greffe biobank, autorise l'expansion en deuxième intention.
même si je n'ai pas fait un super bombé vestibulaire je me suis permis de faire un mini expansion de crête en particulier sur 22

--
xbk
"Si tous ceux qui croient avoir raison n'avaient pas tort, la vérité ne serait pas loin" Dac Pierre

Dsc 3973 orzmit - Eugenol
Dsc 3976 ga9jmn - Eugenol
Dsc 3978 c1kq9c - Eugenol
Dsc 3964 nmglmg - Eugenol
Dsc 3967 e2ji4i - Eugenol
Dsc 3977 zwcvkp - Eugenol

Smile beach jgh0a1 - Eugenol
Céramik

05/12/2011 à 17h07

Très joli le résultat de la greffe

PS il te manque 1 ou 2 implants en position 11-21...
J'aime pas le long espace antérieur...ou c'est la photo qui donne cette idée...

Mais sinon, c'est bien.


--
Céramik


S2y2o1v7q53ws4r5wy6ou8czrpom - Eugenol
pxav

05/12/2011 à 18h24


11 21 pas favorable en même temps que 12/21
si il faut je mettrais ça après mais 6 implant pour 8 dents ça doit le faire, j'ai respecter la position par rapport à son partiel
--
xbk
"Si tous ceux qui croient avoir raison n'avaient pas tort, la vérité ne serait pas loin" Dac Pierre

Dsc 3960 fooeho - Eugenol

Smile beach jgh0a1 - Eugenol
Céramik

06/12/2011 à 00h32

pano ?


--
Céramik


S2y2o1v7q53ws4r5wy6ou8czrpom - Eugenol
pxav

06/12/2011 à 00h34

pas avant la semaine prochaine, je n'ai fait que des rétros.


--
xbk
"Si tous ceux qui croient avoir raison n'avaient pas tort, la vérité ne serait pas loin" Dac Pierre


Smile beach jgh0a1 - Eugenol
Céramik

06/12/2011 à 00h45

Bon,

6 implants, 8 dents, ça va le faire !!

A+


--
Céramik


Images eb1m5g - Eugenol
tonio

06/12/2011 à 01h06

moi je dis chapeau bas les mecs!


Photo pluton1b h9n4ea - Eugenol
pluton

06/12/2011 à 01h22

oui, très sympa le résultat de cette greffe
semblerait qu'il n'y ai pas eu beaucoup de résorption du greffon...c'était un cortico-spongieux?


3f3boxni50k58rq7e9ce9ddqrxgk - Eugenol
dentiste57

06/12/2011 à 04h53

os magnifiquement vascularisé! excellente adhérence du greffon.

l'expansion, à bien faillit mal tourner à cause d'un expanseur qui a tourné à 40.000tr/min au lieu de 40tr/min. l'a eut chaud le pxav!





(ps: bien rentré mais j'ai passé les 50 derniers Km sous la neige)


Utilisateur banni

06/12/2011 à 07h30

pxav écrivait:
--------------
> je peux enfin confirmer que la greffe biobank, autorise l'expansion en deuxième
> intention.
> même si je n'ai pas fait un super bombé vestibulaire je me suis permis de faire
> un mini expansion de crête en particulier sur 22


Les cellules osseuses ne se développent pas plus sur une allogreffe Biobank ou d’une autre marque comme l’ostéintégration d’un implant n’est pas meilleure sur du titane grade 5 de chez Nobel ou ID. la qualité de traitement, d’asepsie et os cortical ou spongieux me semble plus prépondérant au fait que tu ais pus faire de l’expansion sur ta greffe. Avoir une reconstitution de l’arcade en seulement 2 blocs dont la corticale externe des greffons soit conservée dans leur intégralité me parait plus important.


S2y2o1v7q53ws4r5wy6ou8czrpom - Eugenol
pxav

06/12/2011 à 09h07

pas 40000, mais 2000 t/mn, ce qui n'est pas un bon plan pour les expanseurs meissinger, et à je crois bien provoqué un "m...e!" violent et la peur d'avoir tout explosé.
Mais non, mis à part une pénétration profonde (le spreader fait 15 mm pour une prévision d'implant de 10 mm)pas d'autres conséquence que des micros fractures crestale.
Concernant la résorption du greffon, même constatations que Growler: aucune, les seuls zones qui ont fait reculer la date d'intervention, de 2 mois sont des zones de jonction avec l'os du patient qui avait du mal à fusionner car trop fin au départ (moins d'un mm)je pense.
Pour Posit, l'expansion c'était ma cerise sur le gâteau, et ma façon de prouver que le greffon était parfaitement "vivant" ou au moins travaillable.
Tu sais car je te l'avais dis dés le début de cette aventure, avant même la préparation du greffon chez biobank, que j'aimerais bien faire un greffon préformé ET une fois en place essayer de faire une expansion avec.
l'expansion en 22 à la jonction greffon os propre, faite à l'ostéotome manuel, malgré la non approbation de Thomas, c'est parfaitement passée, et nous avons constatés la parfaite liaison du bloc.
Ensuite, le fait de savoir quel type d'os est obtenu n'est pas dans mes compétences, ni dans mon besoin, mon seul objectif pour cette patiente, c’était d'éviter le prélèvement d'os pariétal prévu par Tulasne.
J’espère que les 6 implants s’ostéointégreront, c'est tout.


--
xbk
"Si tous ceux qui croient avoir raison n'avaient pas tort, la vérité ne serait pas loin" Dac Pierre


Utilisateur banni

06/12/2011 à 09h22

pxav écrivait:
--------------
> Ensuite, le fait de savoir quel type d'os est obtenu n'est pas dans mes
> compétences, ni dans mon besoin,

tu dis cela parce que aujourd'hui tu as pu placer 6 implants


S2y2o1v7q53ws4r5wy6ou8czrpom - Eugenol
pxav

06/12/2011 à 10h18

Le but de tout ça est de répondre à la demande de la patiente: avoir des dents fixe.
Mon but éviter un prélèvement pariétal, car j'estime que pour 6 dents ce n'était pas indispensable
le fait de placer des implants dans un ose de greffe n'a rien d'exceptionnel, par contre une expansion dans un cas comme ça, pas sur que d'autres si soit risqués.
ensuite, n'ayant pas fait de carottes pour analyse, je ne suis pas obsédé par la nature de l'os, ce qui m'importe c'est que ça soit efficace et solide.
Si c'était dans ma culture, j'aurais très bien pu te demander un guide et faire une MCI, mais ça, je ne le fais pas trop, même si je peux le regretter d'ailleurs.
Mon truc c'est l'expansion, sous toutes ses formes,car je pense vraiment qu'il y a encore des progrès à faire.

--
xbk
"Si tous ceux qui croient avoir raison n'avaient pas tort, la vérité ne serait pas loin" Dac Pierre


Utilisateur banni

06/12/2011 à 11h19

Nous ne sommes pas sur la même longueur d’onde. Lorsque tu m’as demandé de travailler sur le projet, Biobank n’était pas en mesure de répondre à ta demande. J’ai réalisé une procédure confidentielle pour usiner un greffon de façon manuelle dans des conditions de livraison respectant les données acquise de la science. Comme pour le développement du guide chirurgical j’ai pris le maximum d’information pour connaitre les critères à respecter, un des critères (et cela peut répondre à l’interrogation de pluton) la partie corticale semble être plus longue à se résorber et permettre une meilleure formation osseuse, ce que l’on voie souvent dans ce type de reconstruction ce sont plusieurs greffons en domino ostéosynthésés et souvent en spongieux plus facile à conformer après ouverture du lambeau. Ce que j’ai constaté dans ce genre de procédure se sont des manques de formation osseuse à la jonction des bouts de greffons comme sur l’extrémité des 2 greffons.

Faisons un peu de prospective, je joins la photo 3D réalisé y a plusieur mois montrant ce qui est espéré et la photo que tu à mis en ligne sur eugenol, chacun sera en mesure de jugé de la qualité du résultat obtenu.
Aussi lorsque tu écris « je peux enfin confirmer que la greffe biobank, autorise l'expansion en deuxième intention. » je te réponds peu importe que se soit un greffon biobank ou tarte en pion, le plus important c’est la procédure pour y parvenir.

Maintenant si tu veux bien m’envoyer les images de la chirurgie je t’en remercie.

Image1 nfm3ug - Eugenol

S2y2o1v7q53ws4r5wy6ou8czrpom - Eugenol
pxav

06/12/2011 à 11h51

posit écrivait:
---------------
> Faisons un peu de prospective, je joins la photo 3D réalisé y a plusieurs mois
> montrant ce qui est espéré et la photo que tu à mis en ligne sur eugénol, chacun
> sera en mesure de jugé de la qualité du résultat obtenu.
> Aussi lorsque tu écris « je peux enfin confirmer que la greffe biobank,
> autorise l'expansion en deuxième intention. » je te réponds peu importe que se
> soit un greffon biobank ou tarte en pion, le plus important c’est la procédure
> pour y parvenir.
>
> Maintenant si tu veux bien m’envoyer les images de la chirurgie je t’en
> remercie.

ne mélangeons pas tout stp!
Ton travail fut parfait, ce n'est pas le but de la discussion, ce qui m'intéressait depuis le début c'était d'obtenir une pièce susceptible d'être tellement bien intégré, que l'on puisse exercer une forte pression dessus.
Ce que j'aime chez biobank, c'est leur procédé de "nettoyage" des greffons et la qualité de leurs produits, je crois qu'il sont pour une grosse partie dans la réussite de ce cas.
C'est le cas, et c'est très bien!


--
xbk
"Si tous ceux qui croient avoir raison n'avaient pas tort, la vérité ne serait pas loin" Dac Pierre


Pépélaratiche

06/12/2011 à 12h51

pxav écrivait:
--------------
> Yes, ça c'est fait!
> merci à D57 qui m'a soutenu moralement.
> je peux enfin confirmer que la greffe biobank, autorise l'expansion en deuxième
> intention.
> même si je n'ai pas fait un super bombé vestibulaire je me suis permis de faire
> un mini expansion de crête en particulier sur 22
>
> --
> xbk
> "Si tous ceux qui croient avoir raison n'avaient pas tort, la vérité ne
> serait pas loin" Dac Pierre

Salut Pxav,

très très beau mais puisque tu trouves ton bombé vestibulaire insuffisant et donc que tu estimes manquer d épaisseur corticale vesibulaire, épaisseur qui est la meilleure garantie pour un bon soutien sur le long terme et une bon apport vascualire, pourquoi ne pas avoir profiter de ta chir de pose en full flap pour poser du nanobone des rpfs et une membrane jason en vestibulaire de 5 à 5 ???

Pcq qd tu expanse, certes tu "gagnes" une corticale vestibulaire mais bien mince cette corticale...

Bien à toi

Pp


S2y2o1v7q53ws4r5wy6ou8czrpom - Eugenol
pxav

06/12/2011 à 13h33

Pépélaratiche écrivait:
-----------------------

> Salut Pxav,
>
> très très beau mais puisque tu trouves ton bombé vestibulaire insuffisant et
> donc que tu estimes manquer d épaisseur corticale vesibulaire, épaisseur qui est
> la meilleure garantie pour un bon soutien sur le long terme et une bon apport
> vascualire, pourquoi ne pas avoir profiter de ta chir de pose en full flap pour
> poser du nanobone des rpfs et une membrane jason en vestibulaire de 5 à 5 ???
>
> Pcq qd tu expanse, certes tu "gagnes" une corticale vestibulaire mais bien mince
> cette corticale...
>
> Bien à toi
>
> Pp

Salut pp
l'expansion, c'était (sur 22) pour gagner un peu en crestal, et pour voir si c'était faisable avec ce type d'os.
le bombé vestibulaire n'était pas la priorité dans ce cas.
Bien sur il y a d'autres solutions, mais mon truc c'est l'expansion alors j'expanse....
Contrairement aux idées reçu, en expansion j'arrive dans certains cas à gagner beaucoup en vestibulaire, d'autres fois moins mais solide.
D'ailleurs ce cas là, si ça n'avait pas été une patiente adressée, j'aurais sans doute tenté une expansion pour poser 4 implants, je me suis fait violence pour commencer par des greffes.
--
xbk
"Si tous ceux qui croient avoir raison n'avaient pas tort, la vérité ne serait pas loin" Dac Pierre


Pépélaratiche

06/12/2011 à 13h52

pxav écrivait:
--------------
> Pépélaratiche écrivait:
> -----------------------
>
> > Salut Pxav,
> >
> > très très beau mais puisque tu trouves ton bombé vestibulaire insuffisant et
> > donc que tu estimes manquer d épaisseur corticale vesibulaire, épaisseur qui
> est
> > la meilleure garantie pour un bon soutien sur le long terme et une bon apport
> > vascualire, pourquoi ne pas avoir profiter de ta chir de pose en full flap
> pour
> > poser du nanobone des rpfs et une membrane jason en vestibulaire de 5 à 5 ???
> >
> > Pcq qd tu expanse, certes tu "gagnes" une corticale vestibulaire mais bien
> mince
> > cette corticale...
> >
> > Bien à toi
> >
> > Pp
>
> Salut pp
> l'expansion, c'était (sur 22) pour gagner un peu en crestal, et pour voir si
> c'était faisable avec ce type d'os.
> le bombé vestibulaire n'était pas la priorité dans ce cas.
> Bien sur il y a d'autres solutions, mais mon truc c'est l'expansion alors
> j'expanse....
> Contrairement aux idées reçu, en expansion j'arrive dans certains cas à gagner
> beaucoup en vestibulaire, d'autres fois moins mais solide.
> D'ailleurs ce cas là, si ça n'avait pas été une patiente adressée, j'aurais sans
> doute tenté une expansion pour poser 4 implants, je me suis fait violence pour
> commencer par des greffes.
> --
> xbk
> "Si tous ceux qui croient avoir raison n'avaient pas tort, la vérité ne
> serait pas loin" Dac Pierre

Oui je sais tout ça mais ça ne mangeait pas de pain une fois en full flap d épaissir au nano

C est simple et très sûr

En passant j ai actualisé mon post un epu de travail en vue
Tu y verras un cas extrême, aussi extrême que le tien, traité par 3 séances d sotéotension, puis une seule chir avec plaques et comblement important au nano

Ca marche bien aussi mais une seule chir avec MCI en prime

Pp


S2y2o1v7q53ws4r5wy6ou8czrpom - Eugenol
pxav

06/12/2011 à 14h06

dentiste57 écrivait:
--------------------
> os magnifiquement vascularisé! excellente adhérence du greffon.

> (ps: bien rentré mais j'ai passé les 50 derniers Km sous la neige)

salut Thomas
j'ai eu la patiente....même pas mal!
un bel œdème (c'était prévu avec elle) mais pas de douleur.
--
xbk
"Si tous ceux qui croient avoir raison n'avaient pas tort, la vérité ne serait pas loin" Dac Pierre


S2y2o1v7q53ws4r5wy6ou8czrpom - Eugenol
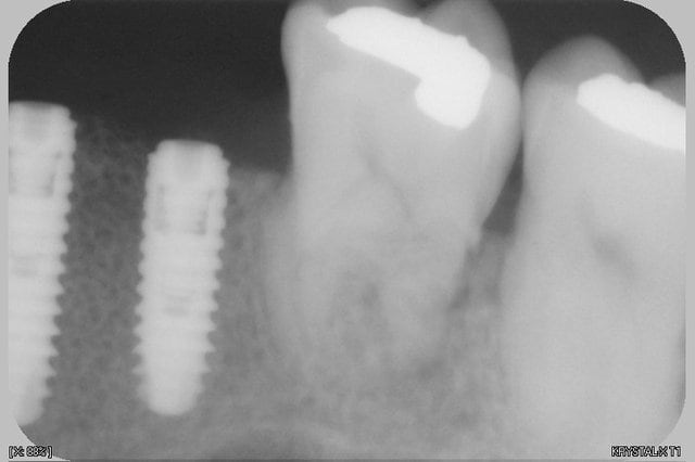
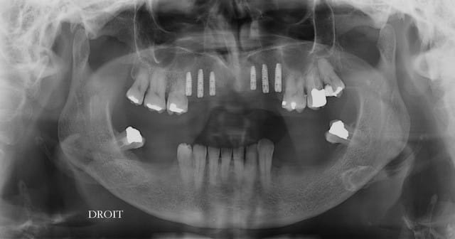
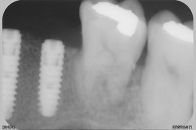
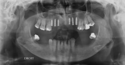
pxav

12/12/2011 à 14h20

à 8 jours et pano et rétro pour compenser la déformation du pano


--
xbk
"Si tous ceux qui croient avoir raison n'avaient pas tort, la vérité ne serait pas loin" Dac Pierre

Darcl12.12 - Eugenol
018 e8h3kw - Eugenol
Img 0438 lqo6hu - Eugenol

Pépélaratiche

12/12/2011 à 14h26

Je suppose que la patiente a un affreux stellite en bas ???

Dépêche toi de lui poser des implants car les stellites se tassent tjs et son bloc antérieur mandibulaire peut tout déchiquetter ton beau travail d implanto, d autant plus fort que tu n as pas épaissi secondairement ton mur vestibulaire que tu disais toi même manquer de bombé...

Pp