Cookie Consent byPrivacyPolicies.comendo du soir espoir - Eugenol

endo du soir espoir

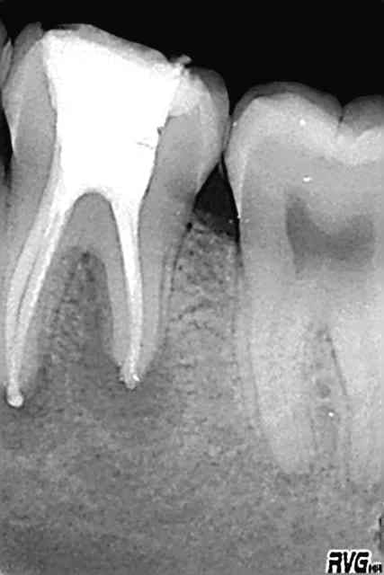
Img 3657 cwjvqm - Eugenol
alapex

16/04/2011 à 18h48

Tu as parfaitement raison , et franchement ce serait difficile d'en faire la remarque de façon plus élégante .
D'ailleurs les flyers incessants et nombreux venants des sociétés de paro multiples et variées de ma région , témoignent de la bonne santé de ces dernières mais aussi de l'imbécilité de ceux qui font du rangement vertical dans la poubelle 3 fois par semaine .
Merci Mark encore une fois .


Bon , je te prie de bien vouloir m'excuser je dois aller vider ma corbeille , faut bien rire un peu .


lachmar

16/04/2011 à 21h29



bravo cingulum

d'abord pour ton endo du soir ...
je pense qu'on aimerait tous avoir fait çà au moins une fois sur une 8 du haut )))

ensuite pour tes observations : il n'y a pas de protocoles stricts dis-tu , et je crois que c'est là le secret d'une bonne endo en omnipratique ... adapter sa technique sans dogmatisme aux situations cliniques, ce qui permet la plupart du temps de concilier d'une manière raisonable qualité et temps passé .

pour ce qui de la remarque de Marc sur "payer pour apprendre ce qu'on devrait savoir" , je n'ai jamais eu le sentiment d'avoir appris l'endo à la fac (diplomé en 77), et si Crussol ne m'avait pas ouvert les yeux en 78 lors d'une formation payante, j'en serais peut-être resté à l'endométhasone avec un cône calibré (même pas condensé) qu'on m'avait apprise à Montrouge, puis ca a été la SFE et Maestroni ... Laurichesse ... puis bien d'autres comme Pertot et Diaz aujourd'hui

merci à tous ces formateurs ... et à bien d'autres dans d'autres disciplines

encore bravo cingulum ... et merci pour cette belle image ...
et continue à prendre ton pied à faire ce métier ...

lm




Marque a3 orange fyvhyq - Eugenol
Marc Apap

16/04/2011 à 23h05

Bon, je voudrais un peu modérer : je n'ai pas franchement voulu dire qu'il ne fallait pas payer, mais entre payer très cher pour le minimum à savoir et payer raisonnablement il y a de la marge.
Si tu savais d'où je suis parti en sortant de la fac, tu saurais la montagne de choses que j'ai du apprendre ( par plaisir, pas par obligation) pour en arriver là où je suis (à pas grand chose, certes, mais c'est un peu mieux qu'au début).
Le prix n'est pas proportionnel à la qualité du résultat ni à la quantité de savoir prodigué. Ca me fait juste marrer, mais parfois ça m'énerve aussi quand il y en a qui disent "J'ai fait une formation en xx" de deux ou trois jours.
Les formations endo pour apprendre à utiliser un instrument, OK, mais ça n'a rien du tout à voir avec la quantité considérable de connaissances qu'on peut assimiler en faisant le CES par exemple, d'autant qu'il est sanctionné à la fin par un examen.


lachmar

17/04/2011 à 01h39



je crois qu'on ne parle pas la même langue marc

après plus de 30 ans de pratique et quelques canaux traites, je crois que l'important en endo c'est l'expérience pratique et donc la transmission de celle-ci par ceux qui en ont, et non pas l'accumulation de connaissances fondamentales la plupart du temps inutiles face à une double coudure sévère ou un canal introuvable .

tu ne peux bien faire les canaux que si tu sais à quoi t'attendre et comment réagir en cas de difficulté ... et çà seuls peuvent te l'enseigner ceux qui ont traité une multitude de canaux ... et la plupart de ceux-ci ne sont pas à la fac

je pense qu'en CES on te bourre la tête d'un maximum de connaissances fondamentales qui améliorent surement ta culture générale et qui sont dispensées la plupart du temps par d'éminents confrères qui n'ont pas vu un canal depuis des années en dehors de l'ecran de leur MEB... mais qui si ils peuvent t'apprendre l'existence et la localisation statistique de canaux supplémentaires, ne t'enseignent en rien la manière d'améliorer une cavité d'accès qui te permettra de trouver et traiter le 2e mésio vestibulaire d'un 6 du haut ou le 3e canal d'une 4 du haut, ou le deuxième canal palatin d'un 2 du haut .....
tout çà on l'apprend en écoutant des exclusifs pas toujours enseignants

la principale avancée de l'endodontie moderne, c'est-à-dire l'utilisation du nickel-titane en rotation continue est due à mac spadden et ben johnson... et mac spadden n'a jamais été enseignant que je sache )))

je n'ai jamais oublié Maestroni qui, avec Laurichesse a crée la SFE , et nous a tellement appris et qui pourtant n'a jamais été non plus enseignant ...

lm


Marque a3 orange fyvhyq - Eugenol
Marc Apap

17/04/2011 à 02h12

Et bien moi, je pense que tu n'as pas raison : il faudrait un peu évacuer cette défiance systématique envers les universitaires qui ne connaitraient rien à la pratique et les praticiens qui n'ont besoin pour exercer que d'être d'excellents travailleurs manuels. Science sans conscience n'est que ruine de l'âme, mais conscience sans science ce n'est guère mieux.
Il faut évidemment les deux mon capitaine, car sinon, on n'est qu'une machine à faire des trous et les boucher, et pas un vrai professionnel de santé.
Un seul exemple : beaucoup de gens pensent que la préparation et l'irrigation canalaire se résument à quelques manip simples qu'il faut apprendre à maîtriser. Pareil pour le collage des composites.
Si tu coupes des dents en tranche et que tu les observe au microscope sous toutes les coutures, tu t'aperçois vites que tes certitudes volent en éclat.
Croire qu'on peut être un as dans ce métier simplement parce qu'on sait négocier une courbure canalaire, c'est comme si une assistante s'estimait capable de faire le travail du dentiste parce qu'elle le voit à l'oeuvre tous les jours.


lachmar

17/04/2011 à 15h28


marc tu as raison et tu as tort

tu as raison parcequ'on ne peut pas faire notre métier sans de solides connaissances fondamentales

on ne peut pas être des praticiens de santé responsables sans un recadrage global de nos gestes dans un contexte général c'est sur

on ne peut établir un diagnostic et un plan de traitement sans prendre en considération dans un grand nombre de cas une infinité de parametres et en les gérant au mieux

c'est à çà que servent effectivement les études ))))



et on arrive ensuite au stade de l'execution

et là, marc je pense que tu te fourvoies =

parceque arrivés au stade de l'execution on redevient effectivement (n'en deplaise aux intellectuels)
des simples foreurs/reboucheurs de trous ... et il convient de les forer et de les reboucher au mieux en tentant dès lors de concilier des objectifs techniques et economiques inconciliables

et on a besoin de l'aide et des conseils de ceux qui le font mieux que nous et qui nous permettent d'améloirer le geste


lm


Marque a3 orange fyvhyq - Eugenol
Marc Apap

17/04/2011 à 16h56

Qui a dit que nous n'étions pas d'accord sur ces points ?


lachmar

17/04/2011 à 18h27



toi tu as du être élève des jesuites :-)


lachmar

20/04/2011 à 12h28



moi aussi j'ai le droit de m'amuser non ?


003 penrd2 - Eugenol
Cingulum

20/04/2011 à 13h34

là c'est plus du " jeux" ! ;)

--
Dr Cingulum
-----Ancien interné----
----Attaché à l'apex----
www.clinic-all.fr formation par passion


joe1

20/04/2011 à 14h12

superbe!!! obturation thermafil ?


lachmar

20/04/2011 à 14h29



merci ... je ne me lasse pas de la regarder en comptant les 3 coudures et en me congratulant tout seul )))

non pas thermafill ... j'ai eu des soucis de douleurs post op très importantes 2 ou 3 fois , et c'est dans le tiroir maintenant ... je crois que je desendais trop vite et que je créais un mini emphyseme

j'ai fait çà à la tout con avec BeeFill comme je fais maintenant avec une compression raisonnée

la préparation = permeabilisation avec pathfile puis endo magic, puis un mélange de Mtwo et de protaper sans m'enerver et en balançant les limes presque après chaque passage et en rinçant enormément et en ne lésinant pas sur l'EDTA

et surtout j'avais prévenu le patient que çà se finirait surment en chir endo ... maintenant il court partout en disant que je suis le meilleur ))))


Smile beach jgh0a1 - Eugenol
Céramik

20/04/2011 à 14h50

lachmar écrivait:
-----------------
>
>
> et surtout j'avais prévenu le patient que çà se finirait surment en chir endo
> ... maintenant il court partout en disant que je suis le meilleur ))))


Joli, très joli, mais
attend la radio de controle dans 6 mois
ensuite tu seras le meilleur...
;-)

--
Céramik


RépondreCiter
200106 10150128247663588 709988587 6466236 5598391 n d7mksb - Eugenol
hallboy

20/04/2011 à 14h51

melange de Mtwo et protaper


lesquels? a quels moments? pourquoi? les protapers, en manuel?

Endo magic??? c'est quoi ceux là??


lachmar

20/04/2011 à 14h58


Mtwo parcequ'ils petent moins facilement que les protaper

ils sont souples comme des angilles

et qu'ils préparent bien le terrain pour les protaper de finition

endomagic c'est un système très sur qui ne pete jamais et que tu peux trouver chez CDENTAIRE


200106 10150128247663588 709988587 6466236 5598391 n d7mksb - Eugenol
hallboy

20/04/2011 à 15h28

endo express ;)) pas endo magic


POurquoi ne pas avoir tout fait avec l'endo express?


Marque a3 orange fyvhyq - Eugenol
Marc Apap

20/04/2011 à 15h51

Hall, remonte à la surface et ouvre tes esgourdes : Endomagic, c'est un système d'obturation à la gutta chaude. On utilise une sorte de Mc spadden qu'on enrobe avec de la gutta réchauffée dans une seringue.
Endo express, tu connais, je ne t'apprends rien


lachmar

20/04/2011 à 15h59



effectivement .... endo express pas endo magic )

parce que , passé les petits diametres je trouve que c'est trop rigide par rapport au niti et que ca redresse trop


200106 10150128247663588 709988587 6466236 5598391 n d7mksb - Eugenol
hallboy

20/04/2011 à 16h03

Marc Apap écrivait:
-------------------
> Hall, remonte à la surface et ouvre tes esgourdes : Endomagic, c'est un système
> d'obturation à la gutta chaude. On utilise une sorte de Mc spadden qu'on enrobe
> avec de la gutta réchauffée dans une seringue.
> Endo express, tu connais, je ne t'apprends rien


pfffffffffffff!!! le monsieur il a deja dit qu'il a obturé au beefil!!!


;))


lachmar

21/04/2011 à 15h49



que répondre à çà stephane ????
:-)


Stéphane

21/04/2011 à 16h40

rien !

POur l'ergonomie, la seule personne que j'ai trouvée intéressante, c'est en allant à la rencontre de Gary Carr. Il m'a tout appris le peu que je sais sur la façon de travailler à 4 mains.

Quand on a compris ce monsieur, on a compris qu'il est impossible de travailler de façon ergonomique sans assistante.

Tout est sur youtube

un petit teasing :


200106 10150128247663588 709988587 6466236 5598391 n d7mksb - Eugenol
hallboy

21/04/2011 à 16h56

Etonnant!

ça tient du ballet;)


Grumpy cat ifik8s - Eugenol
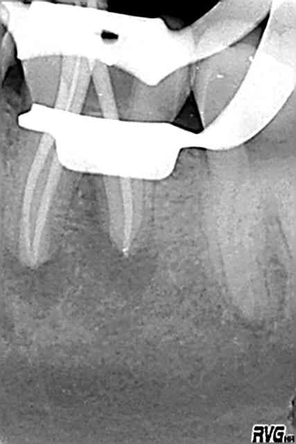
radich_a_tord

21/04/2011 à 19h55

à moi, 26mm de bonheur (j'ai mis la digue mais pas de radio perop)

R2 qk1svf - Eugenol

200106 10150128247663588 709988587 6466236 5598391 n d7mksb - Eugenol
hallboy

21/04/2011 à 20h04

l'obturation, c'est a quoi?


Grumpy cat ifik8s - Eugenol
radich_a_tord

21/04/2011 à 20h06

Mc "MacSpadden" Hammer (Can't touch this)

Je suis étonné de la densité par contre, ça a bien poussé vers le haut pour un résultat pas si dense.

Allez j'en mets une autre, satisfaisante en densité

edit : tant que ya pas un mac spadden pété on est pas sur que c'est bien tassé :p

Non je rigole mais c'est l'instrument que je casse le plus, avec les limes K pour le cathétérisme. Jamais de protaper.
ça me pose pas de problème de le laisser noyé dans la gutta.

Mcspadden3 bkutva - Eugenol
Mcspadden1 hsrtpy - Eugenol
Mcspadden2 bj8onp - Eugenol