Cookie Consent byPrivacyPolicies.comendo du soir espoir - Eugenol

endo du soir espoir

200106 10150128247663588 709988587 6466236 5598391 n d7mksb - Eugenol
hallboy

21/04/2011 à 20h52

j'aime bien le Mc spadden dans la mesiale ;) ( j'en ai qquns aussi de ci dela;)


Rodrigue_Beaubois

22/04/2011 à 15h12

Vous n'avez jamais peur de propulser de la gutta au dela du peri apex qui pourrait provoquer une lésion du nerf alvéolaire sur une dent mandibulaire?

J'avoue que même si mon cône est bien calé je préfère obturer avec un système B et ensuite faire ma remontée au gutta condensor

Je suis curieux de savoir si ceux qui sont adeptes de cette technique ont occasionnellement ce genre d'accidents (de propulsion de gutta pas de lésion de nerf...).

Car au niveau gain de temps y a pas photo comparé à ma méthode...



200106 10150128247663588 709988587 6466236 5598391 n d7mksb - Eugenol
hallboy

22/04/2011 à 15h33

avec n numero 40 tu dois rester a 4 mm de la LT et avoir un thug back de ton cone. Tu peux egalemnet faire une mixte: placer ton cone, un spreader a froid puis Mc Spadden.

pour des dents a l'apex explosé, je fais une condensation laterale a froid avec 2 ou trois cones et Rx avant Thermo compaction.


Ico v for vendetta08 jzhpep - Eugenol
Ratinox

22/04/2011 à 21h48

J'ai voulu faire la remontée d'une verticale avec le thermocompacteur Niti que je viens de recevoir (Sybron Endo).
Diamètre 35, j'ai pété de suite 2 mm.

Faut de la gutta adaptée assez molle pour le thermocompactage.

Laquelle utilisez-vous ?


Grumpy cat ifik8s - Eugenol
radich_a_tord

22/04/2011 à 21h55

hallboy écrivait:
-----------------
> avec n numero 40 tu dois rester a 4 mm de la LT et avoir un thug back de ton
> cone.

Tout à fait hallboy mais moi je suis moins gangsta, je me contente d'un tug back :p

En gros il faut bien sentir l'extrémité de la gutta reposer sur la constriction de la fin de la préparation canalaire.
On doit pouvoir tapoter avec l'index sur le bout du cone sans qu'il dépasse, et inversement le retirer avec une légère résistance.

> Tu peux egalemnet faire une mixte: placer ton cone, un spreader a froid
> puis Mc Spadden.

Je fais comme ça

> pour des dents a l'apex explosé, je fais une condensation laterale a froid avec
> 2 ou trois cones et Rx avant Thermo compaction.

Pour le moment j'ai toujours réussi à avoir une constriction apicale, mais parfois à un diamètre de 70...

Jamais eu de dépassement de gutta, pourtant je descend souvent à LT - 2mm quand je sens bien l'apex fermé. Sinon c'est - 4mm.

Par contre ça pète TRES souvent, pourtant je reste bien dans l'axe avec du diamètre 40. Je m'en ressers tant qu'il y a encore assez de longueur travaillante.

Pour la gutta j'utilise la DE Healthcare avec bonheur.


200106 10150128247663588 709988587 6466236 5598391 n d7mksb - Eugenol
hallboy

22/04/2011 à 23h29

Tout fond a partir de 40 et 10 000 tours.

blue machin chose c'est bien aussi. le generique de mega un tout petit peu moins .

j'ai du 25 6%, du 30 6% je fini jamais a moins de 25.

j'ai sous le coude une boite de 25 a 4%; ça peut servir parfois .

Nous les mauvais garçons, on est comme ça.


Grumpy cat ifik8s - Eugenol
radich_a_tord

16/05/2011 à 22h44

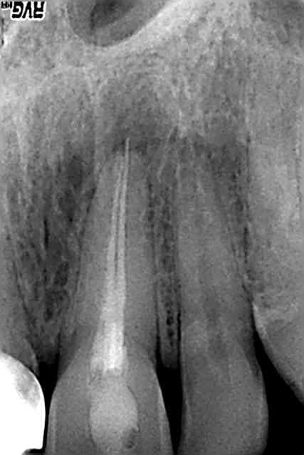
"Je comprends pas docteur ça a été fait ya 1 an à peine"

Bon c'est mieux mais apex très très très large...J'ai risqué mon gutta condensor à LT-5mm. Diamètre du cône à l'apex : 55/100ème. Je ne pense pas que ça soit très étanche (en direction distale en particulier) mais toujours mieux.

R8 zh3iwp - Eugenol
R1 bcsaep - Eugenol

levm

17/05/2011 à 20h48

AS tu utilisé un finger spreader ? Si oui , lequel pour ce type de canaux?
Tu rajoutes un autre cone de gutta aprés le passage de finger spreader ?


Ico v for vendetta08 jzhpep - Eugenol
Ratinox

17/05/2011 à 23h28

C'est de la belle ouvrage.
Même question t'as bloqué au finger spreader ou juste bien ajusté le cône ?


Grumpy cat ifik8s - Eugenol
radich_a_tord

20/05/2011 à 01h37

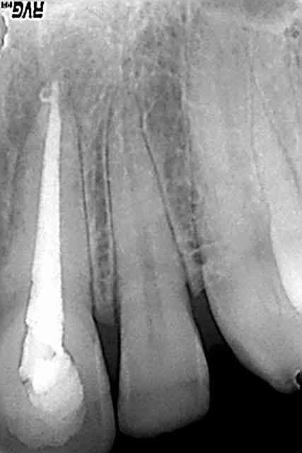
Juste ajusté le cône, en vérifiant qu'en tapotant dessus il ne filait pas en apical.

Par contre j'ai eu la sensation que la constriction était bien au dessus de l'apex, et je n'ai pas tassé au finger spreader. Bien m'en a pris quand je vois la radio. J'ai l'impression que l'apex est très largement ouvert en distal, zone non obturée.

Il y a au moins 2 cônes (3 il me semble ?). Le tout est de bien remplir le canal. Quand ça déborde dans la cavité d'accès j'arrête.

Bon on verra la cicatrisation...Au pire ça fera un bon cas de chirurgie endo :)


Blocperso talon jer3sl - Eugenol
mrquentin

28/10/2013 à 19h19

patient de ce soir.... j'hésite sur le système à utiliser pour le traitement de 14: protaper? reciproc? 100% manuel (probable).
En tout cas, je sens le petit défit!
oui oui le patient est au courant pour la chir à rétro ou l'implant

Mais ya quoi sur la 14 ajbsxf - Eugenol
14 nhl2ld - Eugenol

youn

29/10/2013 à 00h19

C'est super qu'il soit au courant mais fais lui un devis déjà et fais le lui signer avec une avance sur la couronne si tu veux mon avis...

Par contre envoie la post-op quand tu l'auras (quel que soit le résultat!).


Blocperso talon jer3sl - Eugenol
mrquentin

02/04/2015 à 16h07

bon, le patient du dessus n'était pas venu à son rdv...
endo de ce matin... j'étais pas peu fier de moi! pas de radio avec tous les cones en place car le canal n'était pas assez large, meme pas assez large pour faire radio de 2 limes 10 en place! ca fait plaisir :)

Dent 15 eg0uvz - Eugenol

Vw campersurfvan bmnk1q - Eugenol
enlaye

02/04/2015 à 17h21

mrquentin écrivait:
-------------------
ca fait plaisir :)


tant mieux et quand on aime ,on ne compte pas .........le nombre de radios :-)))))))))))


ny162

02/04/2015 à 18h13

mrquentin écrivait:
-------------------
> bon, le patient du dessus n'était pas venu à son rdv...
> endo de ce matin... j'étais pas peu fier de moi! pas de radio avec tous les
> cones en place car le canal n'était pas assez large, meme pas assez large pour
> faire radio de 2 limes 10 en place! ca fait plaisir :)

Comment as-tu obturé? dans quel ordre?


Blocperso talon jer3sl - Eugenol
mrquentin

02/04/2015 à 22h24

les 2 premières radios sont les pré op, puis 1 radio lime en place (je pensais avoir les 2 limes dans les 2 racines vestibulaires, mais en fait cette radio m'a permis de me rendre compte que je n'avais pas désobturé la distale), puis les 2 cones en place (on ne pouvait pas mettre les 2 cones en meme temps à cause de la constriction), puis obturation de la mésiale: j'ai coupé le cone pour qu'il ne sorte pas de la bifurcation, et j'ai poussé le bout, enduit de ciment, avec une sonde/le reste du cone de gutta, puis pris une radio pour voir dans quel canal le morceau était allé; mis les cones de gutta en conséquence, pris une radio, puis thermocompacté... puis radio post op...


ny162

03/04/2015 à 11h02

mrquentin écrivait:
-------------------
> les 2 premières radios sont les pré op, puis 1 radio lime en place (je pensais
> avoir les 2 limes dans les 2 racines vestibulaires, mais en fait cette radio m'a
> permis de me rendre compte que je n'avais pas désobturé la distale), puis les 2
> cones en place (on ne pouvait pas mettre les 2 cones en meme temps à cause de la
> constriction), puis obturation de la mésiale: j'ai coupé le cone pour qu'il ne
> sorte pas de la bifurcation, et j'ai poussé le bout, enduit de ciment, avec une
> sonde/le reste du cone de gutta, puis pris une radio pour voir dans quel canal
> le morceau était allé; mis les cones de gutta en conséquence, pris une radio,
> puis thermocompacté... puis radio post op...

Joli!


SAMIRA

13/04/2015 à 02h45

Dr saintgulum,que Dieu te prothese!