Cookie Consent byPrivacyPolicies.comEndo de l'après-midi...pas de soucis - Eugenol

Endo de l'après-midi...pas de soucis

Ico v for vendetta08 jzhpep - Eugenol
Arnaud Go

20/01/2012 à 09h24

J'aimerais et peut-être beaucoup aimeraient avoir une telle reproductibilité.
L'inconvénient majeur des endos rapides est l'hypochlorite qui n'a pas le temps d'agir. Si il y a le moindre manque d'obturation le parenchyme restant non dissout est voué à créer des complications.
Hier sur carie occlusale de 7 sup, sans Sc 33, j'ai mis le turbo mais impossible d'atteindre des temps de porschiste sans filet, j'abdique.
Satisfaction professionnelle, qualité de travail versus frustration bancaire, that is the question.

Scientifiquement est-ce que la technique monocône a été étudiée avec de l'AH-Plus dont les propriétés physiques supérieures à l'eugénate peuvent compenser la rétractation et le manque d'adaptation du ciment en l'absence de condensation du cône.


Capture d  cran 2015 03 12 12.28 - Eugenol
chicot29

20/01/2012 à 10h26

Arnaud Go écrivait:
> L'inconvénient majeur des endos rapides est l'hypochlorite qui n'a pas le temps
> d'agir. Si il y a le moindre manque d'obturation le parenchyme restant non
> dissout est voué à créer des complications.
> Hier sur carie occlusale de 7 sup, sans Sc 33, j'ai mis le turbo mais impossible
> d'atteindre des temps de porschiste sans filet, j'abdique.

Le réciproc permet de gagner un temps fou pour la mise en forme canalaire. Pour le parage il y a le saf, mais le cout est prohibitif. Pour une endo molaire on arrive quasiment à la cotation ss en jetable. Alors pour une mono radiculée ....


Björn

20/01/2012 à 10h35

Chicot, pourquoi tu obtures en monocône?
Ca ne te gagnerait pas de temps d'obturer en thermocompaction et prendre l'empreinte IC+CCM dans la séance?

--
Faut savoir faire autre chose que de regarder toute sa vie dans la bouche des gens. (Ameli, 7/12/11)


Björn

20/01/2012 à 11h00

chicot29 écrivait:
------------------

> Le réciproc permet de gagner un temps fou pour la mise en forme canalaire.


Tu gagnes combien de temps en moyenne?
Faut compter combien pour s'équiper?

--
Faut savoir faire autre chose que de regarder toute sa vie dans la bouche des gens. (Ameli, 7/12/11)


P1060810  800x600  dlavv9 - Eugenol
Hebken

20/01/2012 à 11h11

Je viens de voir le représentant, il faut compter 1650€ pour la bête et 11€/ instrument, avec leur marché dentsply il y a 30% de remise: à vos calculettes.

Les alésoirs sont censé être à usage unique.

J'ai essayé sur dent naturelle (48 extraite) et double courbure c'est assez bluffant.

Y a t'il des utilisateurs?

Merci pour vos avis.

R6 bvcpub - Eugenol
R7 flikrz - Eugenol
R4 sriogr - Eugenol

Björn

20/01/2012 à 11h24

chicot29 écrivait:
------------------
> D'accord avec toi, mais qui dit digue dit reconstitution pré-endo.

Dans la plupart des cas, , il ne manque qu'une paroi en proximal et avec un flow ça va vite de reconstituer cette paroi; avec un crampon 12A/13A, ça passe souvent sans utiliser de bague de cuivre, et t'as la paix royale avec la digue (silence, langue...)!!!
Essaie.

--
Faut savoir faire autre chose que de regarder toute sa vie dans la bouche des gens. (Ameli, 7/12/11)


Img 0812 mvp6i0 - Eugenol
jeamba

20/01/2012 à 11h48

chicot29 écrivait:
------------------
> iso taper 6 stériblue, ou réciproc vdw (plus tendres)

Où commandes-tu les réciproc vdw ?
Merci.


Capture d  cran 2015 03 12 12.28 - Eugenol
chicot29

20/01/2012 à 11h50

Dentsply.


Capture d  cran 2015 03 12 12.28 - Eugenol
chicot29

20/01/2012 à 11h55

Hebken écrivait:
----------------
> Je viens de voir le représentant, il faut compter 1650€ pour la bête et 11€/
> instrument, avec leur marché dentsply il y a 30% de remise: à vos calculettes.
>
> Les alésoirs sont censé être à usage unique.
>
> J'ai essayé sur dent naturelle (48 extraite) et double courbure c'est assez
> bluffant.
>
> Y a t'il des utilisateurs?
>
> Merci pour vos avis.

Avis plus que favorable. Il y a eu la rotation continue, maintenant le réciproc.


P1060810  800x600  dlavv9 - Eugenol
Hebken

20/01/2012 à 12h02

chicot29 écrivait:
------------------
> Hebken écrivait:
> ----------------
> > Je viens de voir le représentant, il faut compter 1650€ pour la bête et 11€/
> > instrument, avec leur marché dentsply il y a 30% de remise: à vos calculettes.
> >
> > Les alésoirs sont censé être à usage unique.
> >
> > J'ai essayé sur dent naturelle (48 extraite) et double courbure c'est assez
> > bluffant.
> >
> > Y a t'il des utilisateurs?
> >
> > Merci pour vos avis.
>
> Avis plus que favorable. Il y a eu la rotation continue, maintenant le réciproc.

Ca passe bien dans le contrat dentsply?


Capture d  cran 2015 03 12 12.28 - Eugenol
chicot29

20/01/2012 à 12h07

tout à fait.


P1060810  800x600  dlavv9 - Eugenol
Hebken

20/01/2012 à 12h09

30% ?


Capture d  cran 2015 03 12 12.28 - Eugenol
chicot29

20/01/2012 à 12h13

Oui.


P1060810  800x600  dlavv9 - Eugenol
Hebken

20/01/2012 à 12h47

Ok merci, comme je le vois cet après-m pour signer le contrat...


Capture d  cran 2015 03 12 12.28 - Eugenol
chicot29

20/01/2012 à 12h51

C'est Xavier le représentant ?


P1060810  800x600  dlavv9 - Eugenol
Hebken

20/01/2012 à 13h43

chicot29 écrivait:
------------------
> C'est Xavier le représentant ?

Gilard oui.


Capture d  cran 2015 03 12 12.28 - Eugenol
chicot29

20/01/2012 à 14h09

Dis lui que tu signes pour le wd silver à condition qu'il reprenne ton gold. Il comprendra.))))


P1060810  800x600  dlavv9 - Eugenol
Hebken

20/01/2012 à 14h21

chicot29 écrivait:
------------------
> Dis lui que tu signes pour le wd silver à condition qu'il reprenne ton gold. Il
> comprendra.))))

Oui mais là c moi qui ne comprend pas...lol

en mp?


Capture d  cran 2015 03 12 12.28 - Eugenol
chicot29

20/01/2012 à 14h36

En fait il m'a fourgué le wd gold avec localisateur. mais celui ci est une bouse comparé à l'endomaster. je me suis faché un moment avec lui à cause de ca. Il n'a jamais voulu me le reprendre. Et moi je ne m'en suis jamais servi. Soit disant couple et débrayage paramétré en fonction des données fabricant pour ne pas casser; Mais comme localisateur c'est nul.


Ico v for vendetta08 jzhpep - Eugenol
Arnaud Go

24/01/2012 à 16h24

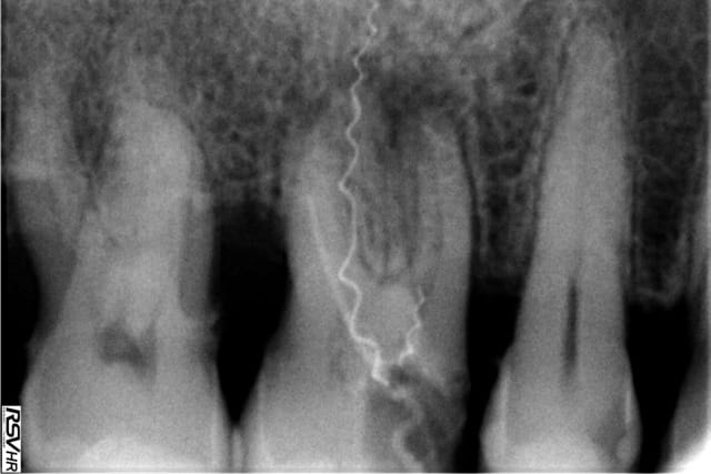
Une belle instrumentation en mésial, quelle tristesse.

Tout allait bien en progressant à patte de velours jusqu'à l'alésoir 30-4 trop fatigué apparemment (FKG Race), et j'ai donné un peu trop de force dans la progression verticale.
J'ai essayé de déloger la lime, j'ai cassé la deuxième puis la troisième.
Bon le canal est propre à défaut d'être étanche.

363 20120118 15 39 17 rpehld - Eugenol
363 20120124 14 32 49 ofrgi6 - Eugenol
363 20120118 15 32 07 whtfzh - Eugenol

Smile beach jgh0a1 - Eugenol
Céramik

25/01/2012 à 04h03

Dommage, mais au pire , résection apicale racine MV, pas si compliqué...

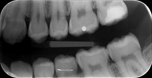
Mon endo de la semaine (je fais rarement plus d'une endo par semaine !)Joli canal lattéral.
Pour la 45, j'y touche pas si un jour besoin, pas mon truc les double courbes.

--
Céramik

X0049007 czmeki - Eugenol

king_zoulou

13/08/2012 à 13h19

Ah bah mince, j'ai pété un lentulo ;)

Tunisie lpnoj7 - Eugenol

paradoxe

13/08/2012 à 13h22

Céramik écrivait:
-----------------
> Pour la 45, j'y touche pas si un jour besoin, pas mon truc les double courbes.

Si l'hygiène est là, tu sera très étonné des très bons résultats à 6/12 mois !


paradoxe

13/08/2012 à 13h24

king_zoulou écrivait:
---------------------
> Ah bah mince, j'ai pété un lentulo ;)
Aahh joli. Il semble qu'il y a eu une erreur du sens de rotation, ce qui aurait vissé le lentulo dans le tisseu osseux, et surtout qui aurait étiré les spires jusqu'à fracture, le tout en 1 seconde de temps.


120 81 mdkvjo - Eugenol
Monaco

13/08/2012 à 14h56

king_zoulou écrivait:
---------------------
> Ah bah mince, j'ai pété un lentulo ;)
>



Tu vas tenter l'ostéointégration ?


1...67