Cookie Consent byPrivacyPolicies.comEndo de l'après-midi...pas de soucis - Eugenol

Endo de l'après-midi...pas de soucis

Ico v for vendetta08 jzhpep - Eugenol
Arnaud Go

16/01/2012 à 23h23

Pour le chloroforme j'ai fait une rapide recherche, pas d'interdiction apparemment.

Pas de danger malgré son caractère carcinogène reconnu par l'ADA depuis 1979, tant pour le patient (JOE 1998;24:213-216) que pour l'équipe soignante (JOE 1992;18:301-303).
Il est par ailleurs le seul solvant d'Epiphany et de AH-Plus avec l'halothane.

Ma remarque était liée à une ancienne discussion sur la technique monocône, de la plus pure tradition endodontique française, Monsieur, et de ses inconvénients essentiellement liés à un manque d'adaptation, inconvénient gommé si on moule le cône.

Pour la carie dans l'hypo, elle doit se tenir tranquille, mais c'est toi qui as raison, c'est de la fainéantise, je n'ai pas envie ensuite de recréer la paroi.

Bravo en tout cas pour l'utilisation à raison de ce moulage de gutta.


Kon nx3ojp - Eugenol
Kon

16/01/2012 à 23h39

pas de chloroforme au cabinet
juste un petit verre d'eau chaude.


Grueavatar nptrc9 - Eugenol
Le Choixpeau magique

16/01/2012 à 23h48

Arnaud Go écrivait:
-------------------
> Pour la carie dans l'hypo, elle doit se tenir tranquille, mais c'est toi qui as
> raison, c'est de la fainéantise, je n'ai pas envie ensuite de recréer la paroi.

Tu vires toutes les restaurations, tu fais un gros IRM bien dur, que tu cales au pouce. Le temps d'attraper une vieille fraise transmetal l'IRM a déjà pris et tu n'as plus qu'à reforer dedans (deux minutes).


Gutt-A

16/01/2012 à 23h59

La digue ne tient pas sur l'irm, ou plutot elle le demolit comme un enfant qui s'acharne sur un château de sable.


samsam28

17/01/2012 à 19h09

la dent du président écrivait:
------------------------------
> Content de moi.

magnifique, t'a fais la préparation avec quoi?, protaper?


Maké

19/01/2012 à 11h43

La double courbure en distal m'as donné du mal!

Endo2 a0utav - Eugenol

Capture d  cran 2015 03 12 12.28 - Eugenol
chicot29

19/01/2012 à 13h08

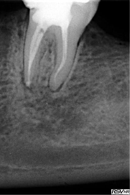
Pas de soucis particulier mais arthrite post op. Je crois que je vais me régler à 1 mm de l'apex radiologique désormais.

R18 ni695u - Eugenol

Marque a3 orange fyvhyq - Eugenol
Marc Apap

19/01/2012 à 13h50

Ben oui, parce là, tu défonces le foramen à chaque fois. Sers-toi du localisateur et respecte ses indications.

X05172 kwvpsz - Eugenol

Capture d  cran 2015 03 12 12.28 - Eugenol
chicot29

19/01/2012 à 13h58

Ca n'arrive pas à chaque fois. Comme ca c'est mieux ?

R27 wjzwfe - Eugenol

Marque a3 orange fyvhyq - Eugenol
Marc Apap

19/01/2012 à 15h33

Un peu. Tu as tendance à ne pas savoir te retenir. Un obturateur précoce, en quelque sorte.


la dent du président

19/01/2012 à 16h06

Pour Samasam28:

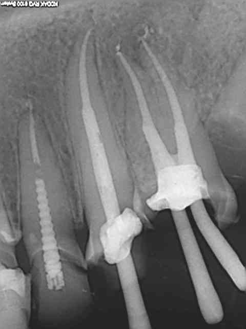
Préparation aux Protaper


Capture d  cran 2015 03 12 12.28 - Eugenol
chicot29

19/01/2012 à 17h37

bon j'arrete le r40, une étape en moins

R46 kgfurh - Eugenol

Capture d  cran 2015 03 12 12.28 - Eugenol
chicot29

19/01/2012 à 20h35

Et dans la foulée comme j'étais en forme.....

R49 ucxpkp - Eugenol

Marque a3 orange fyvhyq - Eugenol
Marc Apap

19/01/2012 à 20h46

Tu fais comment ton obturation ? Lentulo pâte et monocone ?
Je n'aime pas beaucoup les radios dans ces conditions, c'est difficile d'isoler de la salive.


Capture d  cran 2015 03 12 12.28 - Eugenol
chicot29

19/01/2012 à 20h54

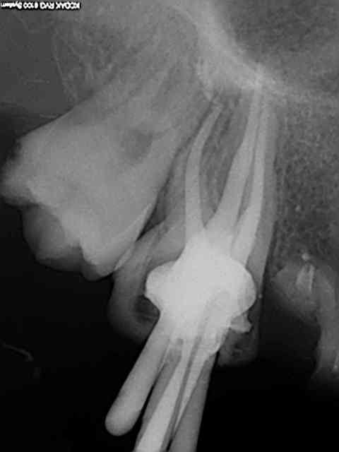
Et extrac 25 26 27 35 36 37; La patiente étant motivée faut en profiter car la situation initiale laisse quelque peut à désirer.

F2 brsgwl - Eugenol

biodentiste

19/01/2012 à 20h56

des fois ca passe

Img 0370 xbjfne - Eugenol
Img 0371 o6zaaw - Eugenol

Capture d  cran 2015 03 12 12.28 - Eugenol
chicot29

19/01/2012 à 21h05

Marc Apap écrivait:
-------------------
> Tu fais comment ton obturation ? Lentulo pâte et monocone ?
> Je n'aime pas beaucoup les radios dans ces conditions, c'est difficile d'isoler
> de la salive.

Pas de lentulo. Scellement monocone ah+. Effectivement c'est le seul moment ou sur une dent mandibulaire la salive peut faire chier car j'enlève le lingua-fix pour la radio (optragate toujours en place).
D'un autre coté comme le résultat est reproductible il est rare de retirer les cones et de réinstrumenter.


Capture d  cran 2015 03 12 12.28 - Eugenol
chicot29

19/01/2012 à 21h13

biodentiste écrivait:
---------------------
> des fois ca passe

Et ca repasse )

R32 o1vo3m - Eugenol

Img 0812 mvp6i0 - Eugenol
jeamba

19/01/2012 à 22h32

Bonsoir Chicot, quelle marque de cône utilises-tu ?
Merci.


Capture d  cran 2015 03 12 12.28 - Eugenol
chicot29

19/01/2012 à 22h38

iso taper 6 stériblue, ou réciproc vdw (plus tendres)


Img 1392 s73srk - Eugenol
Guttaman

19/01/2012 à 23h16

chicot29 écrivait:
------------------
> bon j'arrete le r40, une étape en moins

Rajoutes en une : pose la digue. C'est considéré comme une faute professionnelle de ne pas la mettre selon l'HAS.
L'optragate, c'est pour les nuls!... ;-)) (je rigole hein....)


Capture d  cran 2015 03 12 12.28 - Eugenol
chicot29

20/01/2012 à 00h07

D'accord avec toi, mais qui dit digue dit reconstitution pré-endo. Qu'ils arrêtent de nous prendre pour des cons avec leurs tarifs opposables minables et on en rediscute. En attendant avec l'optragate et le linguafix j'ai pas un pet de salive à passer. Et pour l'instant personne n'a avalé d'instrument avec le contre-angle d'endo. )


Smile beach jgh0a1 - Eugenol
Céramik

20/01/2012 à 00h24

chicot29 écrivait:
------------------
> Et extrac 25 26 27 35 36 37; La patiente étant motivée faut en profiter car la
> situation initiale laisse quelque peut à désirer.



pffft, tu as fait une endo pour t'amuser...elle va pas tenir très longtemps...



--
Céramik


Capture d  cran 2015 03 12 12.28 - Eugenol
chicot29

20/01/2012 à 00h38

Tss, tss patiente CMU certes mais je lui ai déjà reconstitué 11 12 13 en ceram teinte a2, histoire de la motiver. Je terminerais le chantier par 21 22 qui sont en composite version "thriller".


Blue eye thumb medium dx1i0w - Eugenol
bill

20/01/2012 à 01h01

Marc Apap écrivait:
-------------------
> Un peu. Tu as tendance à ne pas savoir te retenir. Un obturateur précoce, en
> quelque sorte.

MDR !!!

Désolé chicot, elles sont pas mal tes endo, va... ;-)


1...567