Cookie Consent byPrivacyPolicies.comEndo de l'après-midi...pas de soucis - Eugenol

Endo de l'après-midi...pas de soucis

Fouilla h6plsy - Eugenol
fouilla

14/11/2011 à 20h46


pour déterrer ce post je vous mets un zoli sapin de noël en avance

@ guttaman pas pu rtrouver la thèse dont j'ai parlé désolé mais ça restera en l'état.
à CC : on se voit toujours bientôt ???

--
.

Endo du soir zhmxuo - Eugenol

la dent du président

15/11/2011 à 01h11

Content de moi.

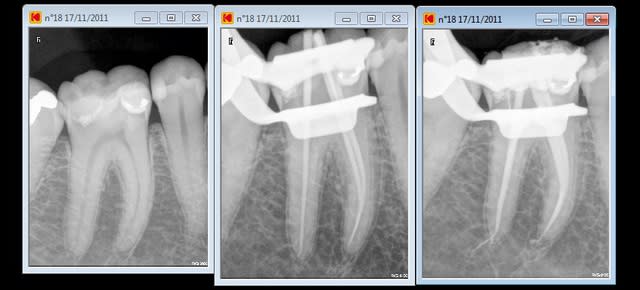
Unknown x 2011 10 17 10 48 22 3 h849a1 - Eugenol
Unknown x 2011 10 17 10 42 07 3 ab39qk - Eugenol

Gutt-A

15/11/2011 à 01h23

Tu m'etonnes...avec une racine pareille on se donne tous les moyens pour ne pas avoir a l'extraire un jour...:))
Jolie endo.


Smile beach jgh0a1 - Eugenol
Céramik

15/11/2011 à 01h36

sympa
en plus sous digue pour les 2, wow !

Pour le 2e cas, sympa aussi les excès d'amalgame partout

--
Céramik


ju

15/11/2011 à 02h16

Bonjour,

Attention, la présence d'un clamp à la radio ne signe pas nécessairement la présence d'une digue.
Les ailettes peuvent aussi maintenir des cotons salivaires...

Voilà, c'était tout...
Sinon, jolies endos.


Smile beach jgh0a1 - Eugenol
Céramik

15/11/2011 à 02h56

ju écrivait:
------------
> Bonjour,
>
> Attention, la présence d'un clamp à la radio ne signe pas nécessairement la
> présence d'une digue.
> Les ailettes peuvent aussi maintenir des cotons salivaires...
>
> Voilà, c'était tout...
> Sinon, jolies endos.

Cotons clampés, voilà une autre facette de la dentisterie !



--
Céramik


Img 3657 cwjvqm - Eugenol
alapex

15/11/2011 à 10h10

Ça sert aussi pour faire les bonsaï , le pincement des branches est merveilleux .
Je sors...)))


Ico v for vendetta08 jzhpep - Eugenol
Arnaud Go

15/11/2011 à 15h32

Pour écarter les langues envahissantes lors des prépas périphériques c'est bien aussi les crampons.

Ceci dit la digue n'empêche pas de faire des sous-obturations endo, ça m'arrive hélas...


Capture d  cran 2015 03 12 12.28 - Eugenol
chicot29

15/11/2011 à 20h12

Linguafix mon gars !


la dent du président

16/11/2011 à 22h35

En fait, c'est la même endo, le radios ont été interverties la finale a été prise sans clamp.... mais l'endo à été faite sous digue.


Smile beach jgh0a1 - Eugenol
Céramik

17/11/2011 à 02h58

la dent du président écrivait:
------------------------------
> En fait, c'est la même endo, le radios ont été interverties la finale a été
> prise sans clamp.... mais l'endo à été faite sous digue.


on sait, je parlais du cas de fouilla qui précédait le tient, aussi avec un crampon, car sans photo, on sait pas pour la digue (j'ai bien ?)

--
Céramik


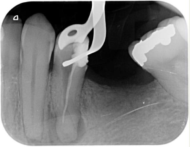
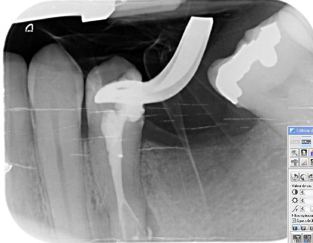
Fouilla h6plsy - Eugenol
fouilla

17/11/2011 à 11h06

Céramik écrivait:
-----------------
> la dent du président écrivait:
> ------------------------------
> > En fait, c'est la même endo, le radios ont été interverties la finale a été
> > prise sans clamp.... mais l'endo à été faite sous digue.
>
>
> on sait, je parlais du cas de fouilla qui précédait le tient, aussi avec un
> crampon, car sans photo, on sait pas pour la digue (j'ai bien ?)
>
> --
> Céramik

bon allez je baisse les bras, maintenant il faut même une photo d'un champ
salut les artistes...

--
.


Fouilla h6plsy - Eugenol
fouilla

17/11/2011 à 16h13


par provoc on s'est amusé à faire une photo
pour répondre à la question avec quoi j'obture : maitre cone et condensation verticale simplement

promis je ne polluerais plus les posts d'endo
cadeau (si je puis me permettre) de fin

mon objectif avait été de dire qu'on pouvait aussi faire simple mais la critique SYSTEMATIQUE me casse les c...

le pire venant de ceux qui n'osent jamais poster bien sur ce n'est pas toi giminy que je pointe

tchao



--
.

Digue champ j4tfkp - Eugenol
Digue champ 2 ndabsf - Eugenol
Champ et materiel mwtexu - Eugenol
Stef wwsgcy - Eugenol

Smile beach jgh0a1 - Eugenol
Céramik

18/11/2011 à 01h43

jolies endo
Ensuite, IC ou bien tenon fibré sur la molaire ?

--
Céramik


Ico v for vendetta08 jzhpep - Eugenol
Arnaud Go

26/12/2011 à 22h01

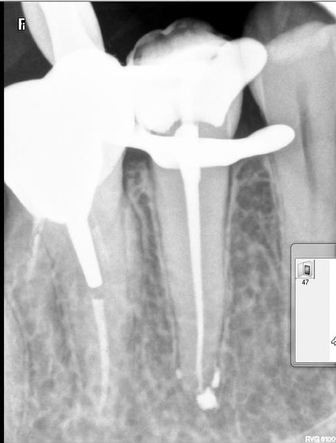
Tout est évidemment nécrosé, et donc aucune constriction sauf étrangement en D. J'y suis donc allé au sonar électronique.
Aucun symptôme, pas de suintement, faible saignement au bout des cônes de papier dont je suis venu à bout avec 3 ou 4 sachets de 5 cônes.

Maître cône ajusté sur donnée du magnifique localisateur Joypex 5, c'est-à-dire coupé la gutta au bout pour que ça colle à la longueur électronique.
Et thermocompacteur en restant à 5 mm de la LT

Il y a l'air d'y avoir un cône en M (j'aimerais croire que ce n'est que de la pâte), peut-être aurais-je dû donner un coup de finger spreader avant pour bien écraser et mouler le cône.

Et une compression au fouloir à amalgame de gutta sur le plancher pour compresser de la pâte sur des canaux accessoires du plancher, ici apparemment absents.
Temporisation à l'IRM.

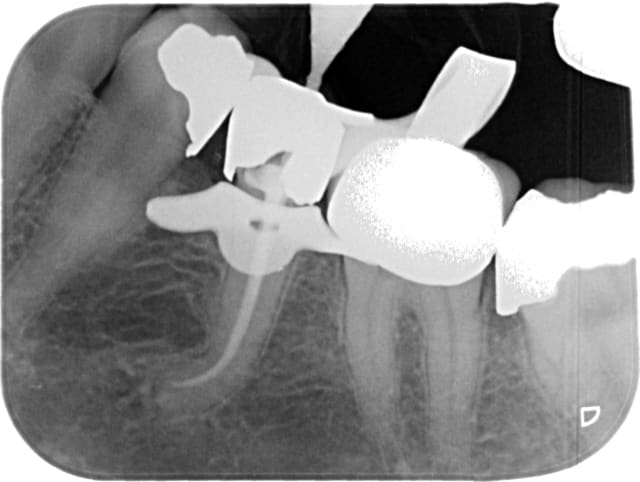
Hafid 316 20111219 19 03 07 oyyjcg - Eugenol
Hafid 316 20111226 20 04 57 rdi3pp - Eugenol

Grumpy cat ifik8s - Eugenol
radich_a_tord

27/12/2011 à 01h47

Bravo !
Étrange la forme en distal de la racine distale..


Img 1392 s73srk - Eugenol
Guttaman

27/12/2011 à 10h22

radich_a_tord écrivait:
-----------------------
> Bravo !
> Étrange la forme en distal de la racine distale..

Il n'y a rien d'étrange, c'est juste une résorption externe provoquée par la lipoe.


Grumpy cat ifik8s - Eugenol
radich_a_tord

27/12/2011 à 14h48

Guttaman écrivait:
------------------
> radich_a_tord écrivait:
> -----------------------
> > Bravo !
> > Étrange la forme en distal de la racine distale..
>
> Il n'y a rien d'étrange, c'est juste une résorption externe provoquée par la
> lipoe.

Ok. Jamais vu ça.


Blocperso talon jer3sl - Eugenol
mrquentin

16/01/2012 à 11h07

il fallait bien que je me vante auprès de quelqu'un!!! je me suis pris pour le roi du monde pdt 5 minutes ;)
au début je me suis dis: "c'est une fracture ce trait?" sur la radio préop?
cond lat à froid+thermocompactage.

Radio7 s54xuz - Eugenol
Radio4 y3o6p1 - Eugenol
Radio5 pbewes - Eugenol
Radio6 qh1ynm - Eugenol

Ico v for vendetta08 jzhpep - Eugenol
Arnaud Go

16/01/2012 à 11h52

Bien joué !
Sur les constrictions élargies des dents nécrosées on obtient les plus jolis résultats radio.


Kon nx3ojp - Eugenol
Kon

16/01/2012 à 12h04

du bricolage :)

Cones2 qnmcov - Eugenol
Cones3 eeqwyb - Eugenol
Cones xpaqhp - Eugenol

gille

16/01/2012 à 18h04

moi, une dent comme çà...


Kon nx3ojp - Eugenol
Kon

16/01/2012 à 18h20

:)


Ico v for vendetta08 jzhpep - Eugenol
Arnaud Go

16/01/2012 à 21h23

Je ne sais si beaucoup ont appris la technique du cône moulé dans le chloroforme.

Un monocône moulé n'a pas besoin de compaction puisqu'il a déjà la forme du canal.


Img 1392 s73srk - Eugenol
Guttaman

16/01/2012 à 22h03

Arnaud Go écrivait:
-------------------
> Je ne sais si beaucoup ont appris la technique du cône moulé dans le
> chloroforme.
>
> Un monocône moulé n'a pas besoin de compaction puisqu'il a déjà la forme du
> canal.


Bon, le chloroforme, on a plus trop le droit de l'utiliser et pour la deuxième phrase, je te laisse chercher...

Ceci dit, le cas que tu as posté le 26/12 est parfait... j'aurai juste enlevé la carie avant de faire le traitement mais bon, je chipote... :-)
PS @ fouilla et Marc Apap : la classe hein, je progresse vite...même pas de condescendance ;-))


1...4567