Tous les forums
Extractions MCI en 1 chirurgie
07/05/2011 à 12h03
L'élimination de ces pathogènes parodontaux de la cavité buccale du patient avant d'administrer un traitement dentaire implant PEUT inhiber la colonisation par ces agents pathogènes et de réduire le risque de péri-implantite.
Le seul mot à retenir c’est la possibilité de suppression, ce qui n’est pas la suppression.
Avec tout le respect que mérite le travail de posit, il faut bien comprendre que l’indication de ce qui est montré devrait rester limité. L’implantologie ne doit pas être une excuse pour ceux qui ne veulent pas ou ne savent pas faire un traitement parodontal.
J’ai connu une époque où l’on posait des implants pour remplacer les dents manquantes depuis quelques années on extrait des dents pour poser des implants, c’est une évolution qui peut être dangereuse si elle devient systématique ce qui est de plus en plus souvent le cas.
07/05/2011 à 13h59
albert écrivait:
----------------
> J’ai connu une époque où l’on posait des implants pour remplacer les dents manquantes depuis quelques années on extrait des dents pour poser des implants, c’est une évolution qui peut être dangereuse si elle devient systématique ce qui est de plus en plus souvent le cas.
Je suis complétement d'accord avec toi
je te mets un cas ou le "gold standard" et les "études disent que..." voudraient ex° de la 21 et bridge implanto porté 12 21
Posit n'y est pour rien et il est aussi vrai que dans le cas pano que j'ai mis même pour une PAT "l'échec" serait de conserver des dents
Apres pourquoi se priver pour la pose de 8 ou 10 implants de son travail?
C'est AMHA l'avenir, tout comme le "vrai" cône morse
07/05/2011 à 15h09
+1 albert
et le fait de n'avoir plus que des implants en bouche pour les patients avec un tel terrain ne garantit pas la non apparition ultérieure d'une péri-implantite.
07/05/2011 à 15h33
En effet growler, l’élimination des poches parodontales autour des dents, ne suffit pas toujours à éradiquer cette flore qui va se redévelopper autour des pseudo poches créées autour des implants soit involontairement (par ignorance ou maladresse) soit volontairement (esthétique avec profil d’émergence très profond).
Sans parler des « pseudo péri-implantite » qui ne sont que la conséquence d’implants mal posés avec des murs osseux vestibulaire infra millimétriques.
07/05/2011 à 16h29
+1 merci pour ces conseils al..gro.. avec une PCA plus aucun de risque de périimplantite
09/05/2011 à 11h50
albert écrivait:
----------------
> En effet growler, l’élimination des poches parodontales autour des dents, ne
> suffit pas toujours à éradiquer cette flore qui va se redévelopper autour des
> pseudo poches créées autour des implants soit involontairement (par ignorance ou
> maladresse) soit volontairement (esthétique avec profil d’émergence très
> profond).
>
> Sans parler des « pseudo péri-implantite » qui ne sont que la conséquence
> d’implants mal posés avec des murs osseux vestibulaire infra millimétriques.
Souvent quand il y a 6 mm d'os en vestibulo linguale et pas de perte osseuse verticale, il y a une excellente raison
La dent est en place et elle va bien
je retire les photos car aucun des 2 cas ne semble intéressant!!
09/05/2011 à 19h48
beotien écrivait:
-----------------
> pour ton cas je le fais en 4 fois, je sais c'est pas bien!
>
Pourquoi ? C’est toi qui décide.
Quelques cas cliniques en mise en charge différée .
MCD_mise_en_charge_diff_r_e01_sj4kde.jpg
MCD_mise_en_charge_diff_r_e02_upgqwq.jpg
MCD_mise_en_charge_diff_r_e03_ogd9en.jpg
MCD_mise_en_charge_diff_r_e04_zuoide.jpg
MCD_mise_en_charge_diff_r_e05_mou1xj.jpg
MCD_mise_en_charge_diff_r_e06_xvnycm.jpg
MCD_mise_en_charge_diff_r_e07_vp9ksd.jpg
MCD_mise_en_charge_diff_r_e08_khso2l.jpg
MCD_mise_en_charge_diff_r_e09_c2rkhp.jpg
MCD_mise_en_charge_diff_r_e10_xe9dwy.jpg
MCD_mise_en_charge_diff_r_e11_rn0wke.jpg
10/05/2011 à 17h14
L'avantage de tout virer c'est qu'après il n'y a plus de poche...... donc plus de flore pathogène...
je vois le raisonnement.....
Et la gingivite....euh muccosite péri implantaire ne peut pas évoluer en parodontite...euh zut péri implantite..... Je me mélange un peu....
Sur les photos on voit une gencive violette tellement elle est inflammatoire, EII et MCI la dessus, chapeau bas
Sorry mais en lisant ce post on croit rêver !
--
;O)
11/05/2011 à 09h05
Chicot écrivait:
----------------
>
> L'avantage de tout virer c'est qu'après il n'y a plus de poche...... donc plus
> de flore pathogène...
>
> je vois le raisonnement.....
>
> Et la gingivite....euh muccosite péri implantaire ne peut pas évoluer en
> parodontite...euh zut péri implantite..... Je me mélange un peu....
>
> Sur les photos on voit une gencive violette tellement elle est inflammatoire,
> EII et MCI la dessus, chapeau bas
>
>
> Sorry mais en lisant ce post on croit rêver !
>
.
11/05/2011 à 18h20
superbe ALain, encore un magicien?
il n'y a pas à dire, c'est beaucoup mieux après qu'avant.
11/05/2011 à 19h22
A chaque cas auquel tu participes pour la planification, le guide chirurgical, le provisoire à armature métallique, tu prouves la précision de ton analyse. Encore merci pour ta collaboration, si tu n'existais pas on devrait t'inventer.
13/05/2011 à 00h11
beotien écrivait:
-----------------
>
> je retire les photos car aucun des 2 cas ne semble intéressant!!
béotien je te montre la suite dommage d'avoir retirer ta pano
bob merci
extraction et curetage minutieux des alvéoles
13/05/2011 à 00h24
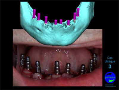
projet prothétique réhabilitation complète implanto porté en MCI, la S.I.A.O permet d'objectivé la faisabilité
-prothèse métallique présent lors du scanner
-mobilité trop importante pour prendre une empreinte du maxillaire
13/05/2011 à 00h34
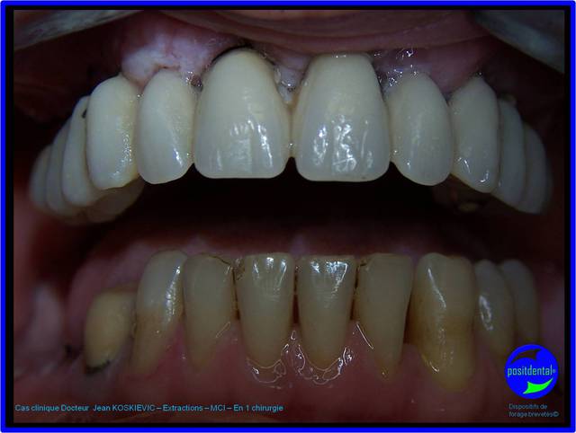
Résultat clinique de la MCI en 1 temps chirurgical
La photo est prise à 24h de l'intervention la pano à 2 mois
13/05/2011 à 00h43
Le patient est actif, il ne découvre pas naturellement. Reprise du travail le lendemain le résultat esthétique le satisfait.
13/05/2011 à 01h28
merci pour ces reponses à mon MP
j'en parle au patient, si ok je lui fait un scan
13/05/2011 à 01h43
Les photos en mp ne passent pas, pour faire le scan une procédure est à étudier au tel + rapide
13/05/2011 à 12h26
Ok pas de soucis
les cas que tu présentes sont réalisés sous locale ou AG?
Je te MP la date pour le cas que je t'ai envoyé ce sera en septembre
16/05/2011 à 01h12
beotien écrivait:
-----------------
> Ok pas de soucis
> les cas que tu présentes sont réalisés sous locale ou AG?
> Je te MP la date pour le cas que je t'ai envoyé ce sera en septembre
la MCI se fait en locale
16/05/2011 à 22h50
beotien écrivait:
-----------------
> C'est AMHA l'avenir, tout comme le "vrai" cône morse>
Les implants cône morse Léone que tu utilise me semblent pratiques et Odontec qui les distribue très réactif, quelques vidéos pour comprendre le principe http://www.leone.it:16080/implantologia/qr-code/ l'étanchéité un gros point fort du système.
17/05/2011 à 15h53
posit écrivait:
---------------
> Les implants cône morse Léone que tu utilise me semblent pratiques et Odontec qui les distribue très réactif, quelques vidéos pour comprendre le principe
> http://www.leone.it:16080/implantologia/qr-code/ l'étanchéité un gros point fort du système.
Chut faut pas le dire c'est pas un des 5 grands systèmes
et oui c'est étanche "impactage" de 15 microns
pose des faux moignons simplissime
C'est bien si tu les trouves "pratiques" car le deuxième cas celui dont j'avais mis la pano est ok devis accepté et en aout ce serait bien (6 ou 8 implants)
17/05/2011 à 16h49
beotien écrivait:
-----------------
>
> Chut faut pas le dire c'est pas un des 5 grands systèmes
Des grands systèmes sont constitué de rachat de brevet ou modèle et ou de sociétés plus modestes.
19/05/2011 à 23h30
principe de borage pour beotin
19/05/2011 à 23h52
posit, tu passes direct d'un foret de 2.8mm environ à près de 5mm?
çà manque à mon goût de progressivité...
pour un ID de 4,7mm par exemple, ma séquence est la suivante
foret pilote 2mm, puis 2.3mm, 2.8mm, 3.4mm, 3.8mm, 4.4mm...
le fait d'avoir une séquence progressive limite le risque d'échauffement...