Cookie Consent byPrivacyPolicies.comlambeau pédiculé palatin - Eugenol

lambeau pédiculé palatin

Squash u44zd8 - Eugenol
steph

28/04/2011 à 23h07

Juste parce que c'était le 1er, et que le résultat est plutôt flatteur...malgré le 3/0.
J'ai pas de photos de la chir elle-même, et ça tient plus du conjonctif enfoui que du pédiculé.

 mg 2568   copie ckqzcc - Eugenol
 mg 2569   copie qdz6vt - Eugenol
 mg 8338   copie g5yhrk - Eugenol
 mg 8340   copie opj2gl - Eugenol

Blason dql7mj - Eugenol
growler

28/04/2011 à 23h17

et tu vas implanter?

le défaut osseux sous-jacent est comment? en distal de 22 ça doit pas être fameux?


Photo pluton1b h9n4ea - Eugenol
pluton

28/04/2011 à 23h37

growler écrivait:
-----------------
> et tu vas implanter?
>
> le défaut osseux sous-jacent est comment? en distal de 22 ça doit pas être
> fameux?

sais pas pourquoi...mais je pense que le clou y est déjà...(la teinte légèrement grisâtre de la gencive...)


Img 1744 z0evts - Eugenol
dumaille

28/04/2011 à 23h44

growler écrivait:
-----------------
> et tu vas implanter?
>
> le défaut osseux sous-jacent est comment? en distal de 22 ça doit pas être
> fameux?

sans parler de l'espace mesio-distal.
--
La vie est une fête!


Squash u44zd8 - Eugenol
steph

29/04/2011 à 00h24

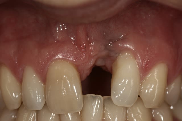
Exact, l'implant y est déjà ; avec une belle inclinaison mésio-distale.
Je ne gère "que" la partie prothétique, et c'est plutôt le côté mésial de 22 qui me pose problème.
Si vous avez des idées pour éviter les bourrages alimentaires?
Je peux faire qqchose lors de la pose de la vis de cicatrisation?
Les 2 centrales avaient été expulsées suite à un choc, réimplantées et seule la 21 n'a pas tenu.


Blason dql7mj - Eugenol
growler

29/04/2011 à 00h28

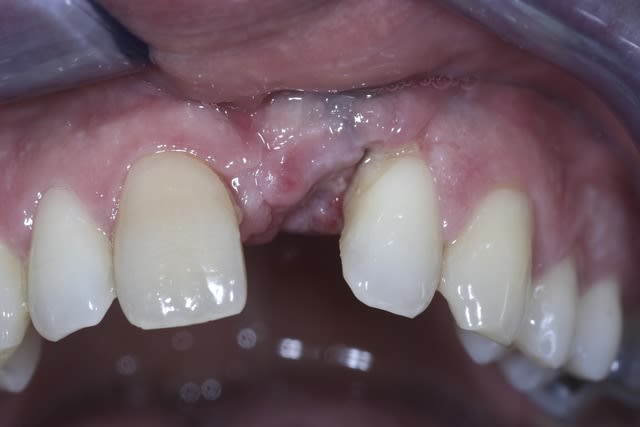
l'implant à l'air très vestibulé aussi, on le distingue par transparence. as-tu une rétro stp?


Photo pluton1b h9n4ea - Eugenol
pluton

29/04/2011 à 00h45

le problème, est multiple ici...réduction de l'espace MD, position de l'implant, défaut osseux, gencive pas si géniale (malgré ton intervention)...çà va pas être très simple à gérer...
tu vas être obligé de faire des compromis, voir même une petite fausse gencive céramisée pour tricher...
dommage, le patient à l'air jeune...

il aurait peut être été judicieux de maintenir l'espace, voir de le réouvrir avec de l'ODF, de faire une rog avant de faire une chir muco...


Squash u44zd8 - Eugenol
steph

29/04/2011 à 00h47

Pour la rétro, je peux la poster plus tard.
Pour le reste, j'essaie de faire au mieux mais l'ODF sur des dents réimplantées...
La teinte est due à un tatouage de la gencive, j'ai bien atténué lors de la chir mais toujours visible.


Photo pluton1b h9n4ea - Eugenol
pluton

29/04/2011 à 01h02

y a de fortes chances que la dent réimplantée qui reste soit ankylosée...
et puis tu sais, y a les minivis si tu veux pas t'appuyer sur la 11...faudrait pas grand chose, probablement un petit mm

tatouage...possible...mais j'ai quand même plus l'impression de voir aussi par transparence l'implant...

te billes pas, c'est les cas les plus durs...on essaye juste de t'aider...mais ces édentations unilatérales antérieures sont les plus délicates...difficile en effet de respecter la symétrie avec les dents voisines...


Squash u44zd8 - Eugenol
steph

29/04/2011 à 01h32

Oui, qq spires sont apparentes au travers de l'os.
Je me bile pas, le patient est prévenu ; il a un partiel 1 dent depuis plus de 3 ans, je pense que la couronne lui changera radicalement les choses mais j'aimerais éviter la céram rose en mésial de 22.
Mais reconstruire des papilles je sais pas faire.
Si t'as un truc ou une idée, je suis preneur.


Photo pluton1b h9n4ea - Eugenol
pluton

29/04/2011 à 01h47

j'attends de voir la radio...je vais faire "murir" çà dans un coin de ma tête pour essayer de trouver une soluce...
ce dont j'ai peur...la proximité entre l'implant en 21 et la 22...si c'est trop proche, y a aucune chance qu'on retrouve une papille...
mais je reste persuadé qu'une rog (pour les spires exposées et le volume osseux) serait utile...et qu'une fois le défaut osseux corrigé çà améliorera la situation clinique...
surtout, ne pas passer à la phase vis de cicat et/ou provisoire...faut pas dés-enfouir pour le moment...

si noah traîne dans les parages...il pourrait te donner de précieux conseils...il est beaucoup plus pointu que moi sur ce sujet...


flicflac

29/04/2011 à 07h18

faire des papilles quand l'os n'est pas au rendez-vous... impossible. en mésial 22 l'os est à au mois 5 mm de la jonction énamo-cémentaire... donc papille prévisible selon Tarnow si le contact avec la dent adjaCENTE EST À CE NIVEAU...UN PEU TROP GINGIVALE COMME POINT DE CONTACT.


Photo pluton1b h9n4ea - Eugenol
pluton

29/04/2011 à 13h52

alors cette radio?


Squash u44zd8 - Eugenol
steph

29/04/2011 à 17h25

Voilà...

Astra v6bdhb - Eugenol

Photo pluton1b h9n4ea - Eugenol
pluton

29/04/2011 à 19h11

bon bein....amha, rog puis plus tard conjonctif...si çà fait déjà 3 ans qu'il est avec son provisoire, il en est plus à quelques mois...mais c'est pas gagné pour retrouver le nonos vers la 22 (et de ce fait la papille)


Blason dql7mj - Eugenol
growler

29/04/2011 à 19h34

le problème c'est qu'il a déjà l'implant. Dans ces conditions impossible de gagner de façon pérenne plus d'os en hauteur.


Photo pluton1b h9n4ea - Eugenol
pluton

29/04/2011 à 19h39

oui growler, mais si déjà on peut améliorer l'épaisseur, le volume pour plus voir l'implant par transparence...çà serait déjà mieux, non?
de toutes façons, çà va se terminer avec des compromis...mais on peut quand même "sauver les meubles"...


Img 1744 z0evts - Eugenol
dumaille

29/04/2011 à 20h35

ouais bien les compromis ça fou toujours dans la merde.
pour moi le seul moyen de s'en sortir c'est de deposer, de reconstruire d'autant plus qu'il y a en core de l'os au niveau des dents et de poser dans une situation plus correcte.
la ou la question peut se poser c'est sur la gestion de la 22.

--
La vie est une fête!


Photo pluton1b h9n4ea - Eugenol
pluton

29/04/2011 à 20h53

je suis d'accord avec toi dumaille...mais reste encore le problème de l'espace MD qui est trop petit...

tu fais quoi? tu déposes, tu fais l'odf, tu reconstruis l'os, tu reposes un implant et tu fais la prothèse?
ce patient est patient...mais là, çà patience va être soumise à rudes épreuves avec ton plan de ttmt...

y a certainement moyen de faire plus simple sans tout chambouler...non?


Blason dql7mj - Eugenol
growler

29/04/2011 à 20h57

c'eut été certainement un cas qu'on aurait pu au départ résoudre en ROG avec le FT wing du Dr. Akiyoshi Funato.


Squash u44zd8 - Eugenol
steph

29/04/2011 à 22h53

Bon, en somme j'aurais pas mieux...
Super.
Merci de vos réponses.


Img 1744 z0evts - Eugenol
dumaille

30/04/2011 à 00h37

pluton écrivait:
----------------
> je suis d'accord avec toi dumaille...mais reste encore le problème de l'espace
> MD qui est trop petit...
>
> tu fais quoi? tu déposes, tu fais l'odf, tu reconstruis l'os, tu reposes un
> implant et tu fais la prothèse?
> ce patient est patient...mais là, çà patience va être soumise à rudes épreuves
> avec ton plan de ttmt...
>
> y a certainement moyen de faire plus simple sans tout chambouler...non?

tu choisirais quoi pour toi, prendre le temps de refaire à fin d'avoir un resultat plus convenable, et durable ou finir vite avec plein de compromis.
et je pense que toute la difficulté du probleme c'est la 22 qui a deja pris cher en mesiale d'un point de vu osseux et qui bloque l'espace MD.

--
La vie est une fête!


Img 1744 z0evts - Eugenol
dumaille

30/04/2011 à 00h40

growler écrivait:
-----------------
> c'eut été certainement un cas qu'on aurait pu au départ résoudre en ROG avec le
> FT wing du Dr. Akiyoshi Funato.
>
>

t'as deja essayé?
--
La vie est une fête!


Photo pluton1b h9n4ea - Eugenol
pluton

30/04/2011 à 02h11

difficile à dire dumaille...on manque d'éléments pour pouvoir répondre de manière affirmative...
y a le pour et le contre des 2 côtés...
terminer comme çà, c'est faire des compromis...mais l'implant est là et ostéointégré...il est peut être possible d'améliorer un peu la situation pour avoir quelque chose d'acceptable...
de l'autre, tout refaire, repartir de zéro...sans forcément de certitudes d'arriver à mieux (pas très sûr de récupérer le nonos sur la 22)...

si c'était pour moi....je serais sincèrement bien emmerdé et j'aurais du mal à prendre la décision...pas toi?

growler, ton truc, çà pourrait pas marcher en seconde intention?


Blason dql7mj - Eugenol
growler

30/04/2011 à 10h02

dumaille écrivait:
------------------
> growler écrivait:
> -----------------
> > c'eut été certainement un cas qu'on aurait pu au départ résoudre en ROG avec
> le
> > FT wing du Dr. Akiyoshi Funato.
> >
> >
>
> t'as deja essayé?
> --
> La vie est une fête!

non pas encore mais j'ai vu deux cas cliniques de Akiyoshi Funato et les résultats sont parfaits. Sur ces cas cliniques il manque aussi un peu d'os en hauteur à l'endroit où l'implant doit être posé. L'implant est posé dans sa position 3D idéale et le Ft wing est fixé par la vis de couverture sur l'implant. l'espace créé permet ainsi à l'os de se reformer en vestibulaire, palatin si besoin et ce jusqu'au col et un peu aussi en proximal.
Pour le cas de jeff, ce n'est pas utilisable.


12