Cookie Consent byPrivacyPolicies.comCouronnes esthétiques sur Inlay-Core - Eugenol

Couronnes esthétiques sur Inlay-Core

Grueavatar nptrc9 - Eugenol
Le Choixpeau magique

04/05/2011 à 14h35

Bonjour,
j'aurais aimé savoir ce que vous utilisez comme couronnes esthétiques sur des dents reconstituées par Inlay-Core métallique.
Les procera sur Zircone, dans les mains de mon prothésiste ça n'apporte pas grand chose par rapport à une CCM (donc résultat moche), les procera sur alumine il me dit que ça ne masquera pas assez le métal.
L'emax scellée, je n'ai pas confiance.

Donc quels choix me reste-t-il ?


Bagheera tudzjy - Eugenol
bagheerra

04/05/2011 à 14h39

Le Choixpeau magique écrivait:
------------------------------
> Bonjour,
> j'aurais aimé savoir ce que vous utilisez comme couronnes esthétiques sur des
> dents reconstituées par Inlay-Core métallique.
> Les procera sur Zircone, dans les mains de mon prothésiste ça n'apporte pas
> grand chose par rapport à une CCM (donc résultat moche), les procera sur alumine
> il me dit que ça ne masquera pas assez le métal.
> L'emax scellée, je n'ai pas confiance.
>
> Donc quels choix me reste-t-il ?

Inlay-core céramisé et emax (stratifié ou monocouche).


Bebe 038 nf8eum - Eugenol
danteyeah

04/05/2011 à 14h55

Le Choixpeau magique écrivait:
------------------------------
> Bonjour,
> j'aurais aimé savoir ce que vous utilisez comme couronnes esthétiques sur des
> dents reconstituées par Inlay-Core métallique.
> Les procera sur Zircone, dans les mains de mon prothésiste ça n'apporte pas
> grand chose par rapport à une CCM (donc résultat moche), les procera sur alumine
> il me dit que ça ne masquera pas assez le métal.
> L'emax scellée, je n'ai pas confiance.
>
> Donc quels choix me reste-t-il ?

Finalement est-ce que le problème ne vient pas du prothésiste, pas au point pour la zircone?
As tu essayé de la zircone teinté pour voir, c'est un peu plus chouette que la ceramométal.


Avatar 46 aoi1yc - Eugenol
HononLulu

04/05/2011 à 15h57

Cela m'est déjà arrivé de la faire.
J'ai laissé les F-M métal en place, bien réduits. On a monté dessus des Procera sur alumine, c'est très esthétique et je ne trouve pas qu'on voit le métal .....


Grumpy cat ifik8s - Eugenol
radich_a_tord

04/05/2011 à 16h02

J'ai fait du Lava sur inlay core et sur inlay core semi précieux (jaune) et le résultat était très bien.


Smile beach jgh0a1 - Eugenol
Céramik

04/05/2011 à 16h23

Tu peux tailler et masquer au compo ton IC
Le compo masquant pour métal de Cosmedent est top pour cela
(Pink opaque flow), ensuite un compo couleur dentine flow, et cela maque le métal.

Trouve un autre labo pour Zircone, bien fait, c'est mieux que céramo-métal
Selon la teinte, e-max peux parfois faire.

Un autre raison de ne pas faire de IC métal, surtout en antérieur...


--
Céramik


Grueavatar nptrc9 - Eugenol
Le Choixpeau magique

04/05/2011 à 16h41

bagheerra écrivait:
-------------------
> Inlay-core céramisé et emax (stratifié ou monocouche).

D'accord, mais après tu colles sur l'IC céramisé ?


denteyeah écrivait:
-------------------
>Finalement est-ce que le problème ne vient pas du >prothésiste, pas au point pour la zircone?
>As tu essayé de la zircone teinté pour voir, c'est un peu >plus chouette que la ceramométal.

Ca existe chez Nobel, la zircone teintée ?
Là dans ce cas j'ai pu voir la chape nue, blanche très phosphorescente, limite violette !

hononlulu écrivait:
-------------------
>J'ai laissé les F-M métal en place, bien réduits. On a monté >dessus des Procera sur alumine, c'est très esthétique et je >ne trouve pas qu'on voit le métal .....

Ok, ça dépend peut être de l'épaisseur ? Est-ce que c'est prédictible ?

Céramik écrivait:
-----------------
Trouve un autre labo pour Zircone, bien fait, c'est mieux que céramo-métal

Bah le problème, c'est que quand je demande une suggestion de labo, personne ne me répond. Soit ça n'existe pas, soit ceux qui en connaissent veulent se les garder pour eux !


All star lmwyq8 - Eugenol
saint Desmotome

04/05/2011 à 18h36

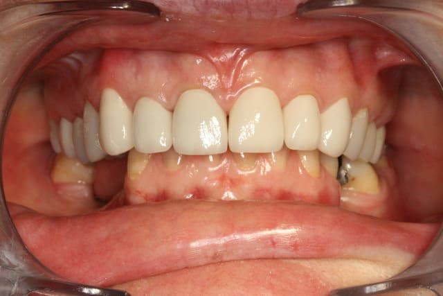
Sur inlay-core métallique, les Procera zircone sont un bon choix à mon avis.

Img 4021 y1mwre - Eugenol
Img 4044 os9zou - Eugenol

Avatar 46 aoi1yc - Eugenol
HononLulu

04/05/2011 à 18h58

Le Choixpeau magique écrivait:
------------------------------

> Bah le problème, c'est que quand je demande une suggestion de labo, personne ne
> me répond. Soit ça n'existe pas, soit ceux qui en connaissent veulent se les
> garder pour eux !

J'ai toujours été satisfaite de leur boulot, assez rapides en plus.
http://www.beaunelaboratoire.fr/


3 76 hchzpi - Eugenol
kingkong

04/05/2011 à 19h10

HononLulu écrivait:
-------------------

> J'ai toujours été satisfaite de leur boulot, assez rapides en plus.
> http://www.beaunelaboratoire.fr/

mon dieu, cette usine à dent ....., y doit pas y faire bon travailler


Avatar 46 aoi1yc - Eugenol
HononLulu

04/05/2011 à 19h23

Tu les connais ??
Ils respectent leurs délais, sont compréhensifs au téléphone, on peut leur envoyer les photos pour une réalisation optimum.
Et vraiment leurs châpes sont très belles que ce soit en zircone ou alumine (c'est mon prothésiste qui monte la céram après)

@ Choipeaux: tu me demandais si le résultat est prédictible et reproductible, c'est difficile de te répondre car cela ne correspond pas à ma pratique habituelle de laisser un F-M metallique sous une CCC.


chicote64

04/05/2011 à 19h53

Je ne vois pas pas l'interet d'une CCC sur inlay-core métallique.Je trouve que le choix d'une belle CCM avec joint ceramique -dent est plus judicieux sur une dent dépulpée avec inlay_core .Je réserve les CCC pour les dents vivantes ou les allergiques


Bagheera tudzjy - Eugenol
bagheerra

04/05/2011 à 21h13

Le Choixpeau magique écrivait:
------------------------------
> bagheerra écrivait:
> -------------------
> > Inlay-core céramisé et emax (stratifié ou monocouche).
>
> D'accord, mais après tu colles sur l'IC céramisé ?
>

Oui.


87 ujotte - Eugenol
Spatouille

04/05/2011 à 21h14

tu peux réaliser une surpressé ceram de la teinte de ton moignon (1 mm d'épaisseur) sur la partie coronaire de ton inlay core métal (précieux ?) puis zircone translucide , pas forcément procéra ou E.max non stratifiée si molaire . Juste passer un opaque ceramique avant zircon normale , ne donne pas assez de profondeur pour moi ... attention c'est cher, mieux vaut la solution compo mais c'est aussi du deux temps fauteuil pour toi.

sinon je plussoie, une ccm en précieux avec un bon joint margin périphérique devrai être satisfaisante . la teinte est compliquée ?


Bebe 038 nf8eum - Eugenol
danteyeah

04/05/2011 à 22h01

Le Choixpeau magique écrivait:

> Ca existe chez Nobel, la zircone teintée ?
> Là dans ce cas j'ai pu voir la chape nue, blanche très phosphorescente, limite
> violette !

Et pourquoi pas ils ne sont pas plus nul que les autres! Mon prothésiste les produit lui même par contre, c'est moins cher pour moi et j'ai des teintes de chapes zircone de A1 à A4.

> Bah le problème, c'est que quand je demande une suggestion de labo, personne ne
> me répond. Soit ça n'existe pas, soit ceux qui en connaissent veulent se les
> garder pour eux !

Si tu es dans la région de Strasbourg j'en ai au moins 3 à te proposer en Mp (pas de pub!)


Avatar 46 aoi1yc - Eugenol
HononLulu

04/05/2011 à 23h19

chicote64 écrivait:
-------------------
> Je ne vois pas pas l'interet d'une CCC sur inlay-core métallique.Je trouve que
> le choix d'une belle CCM avec joint ceramique -dent est plus judicieux sur une
> dent dépulpée avec inlay_core .Je réserve les CCC pour les dents vivantes ou les
> allergiques

Peut-être que si tu essaies une fois tu seras ravie du résultat, et que sur le long terme ta gencive préfèrera ne pas se trouver à proximité d'une chape métal ...... et donc que ta reconstitution vieillira mieux dans le temps.


Grueavatar nptrc9 - Eugenol
Le Choixpeau magique

04/05/2011 à 23h45

chicote64 écrivait:
-------------------
> Je ne vois pas pas l'interet d'une CCC sur inlay-core métallique.Je trouve que
> le choix d'une belle CCM avec joint ceramique -dent est plus judicieux sur une
> dent dépulpée avec inlay_core .Je réserve les CCC pour les dents vivantes ou les
> allergiques

Pour moi belle et CCM c'est antinomique, après je n'ai peut être pas les bons prothésistes ou c'est peut être moi qui bosse mal, mais en général chez moi une CCM c'est moche. J'ai souvent honte de ce que je pose, tellement ça jure dans la bouche du patient.Pendant longtemps j'ai cru que j'étais juste nul en prise de teinte, mais avec les emax j'arrive à des trucs sympas.


Grumpy cat ifik8s - Eugenol
radich_a_tord

05/05/2011 à 00h09

Idem.
C'est extrêmement difficile d'avoir une jolie zone cervicale sur une CCM.

Il faut assez préparer la limite, que le prothésiste fasse une chape très fine, et qu'il ait la place de mettre assez de couches dans sa céram.

Autant dire que c'est rare.


Avatar 46 aoi1yc - Eugenol
HononLulu

05/05/2011 à 00h23

Le Choixpeau magique écrivait:
------------------------------

>
> Pour moi belle et CCM c'est antinomique, mais avec les emax j'arrive à des trucs sympas.

Je crois que tu as tout dit , là.


marcus

05/05/2011 à 00h47

HononLulu écrivait:
-------------------
> Le Choixpeau magique écrivait:
> ------------------------------
>
> >
> > Pour moi belle et CCM c'est antinomique, mais avec les emax j'arrive à des
> trucs sympas.
>
> Je crois que tu as tout dit , là.


+1


Mais sur une antérieure avec FM céramisé sous e-max zircone ,empress etc , si tu passes une lampe à photopolymériser au travers de ta prépa , ton FM se voit comme le nez au milieu de la figure

Sur des prémolaires çà passe mieux mais ,qui dit collage dit pas forcément FM métallique en dessous il vaut mieux faire des endo couronnes çà tient vraiment plus.


87 ujotte - Eugenol
Spatouille

05/05/2011 à 01h13

d'accord choipeaux, pour avoir pris moi meme les teintes très longtemps c'est très dur de trouver la bonne couleur, opacité et luminosité ... tout importe en ccm (à commencer par l'épaisseur oui mais ici IC) . et en ccc le materiau travail dejà pour toi , mais ...

en tout cas c'est dommage qu'un rigoureux comme toi ne trouve pas chaussure à son pied .


Smile beach jgh0a1 - Eugenol
Céramik

05/05/2011 à 03h09

saint Desmotome écrivait:
-------------------------
> Sur inlay-core métallique, les Procera zircone sont un bon choix à mon avis.


Très jolie
Bon boulot
--
Céramik


All star lmwyq8 - Eugenol
saint Desmotome

05/05/2011 à 09h27

Céramik écrivait:
-----------------

>
> Très jolie
> Bon boulot
> --
> Céramik


merci


chicote64

05/05/2011 à 21h23

11 :ccm sur inlay_core posée il y a 10 ans,malgrè une fracture de la table osseuse vestibulaire,je trouve que la gencive n'est pas trop mal 10 ans après!

Bea 012 lqooqr - Eugenol

flicflac

06/05/2011 à 06h21

Couronnes Lava en antérieur, vous trouverez la ou lequelles ont un pivot coulé (ICM)

Lamothe france 001 iv5s2y - Eugenol