Cookie Consent byPrivacyPolicies.comDébutant s’abstenir - Eugenol
1 p3qrc4 - Eugenol
Bjc.

25/05/2011 à 01h16

c‘est un cas que j’ai vu ce matin

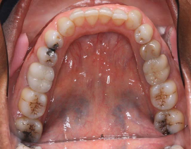
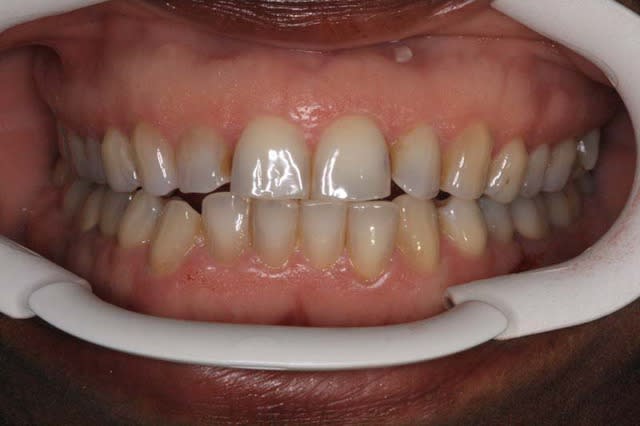
La patiente (66 ans) se plaint de douleurs au niveau de l’A.T.M.

Gouttières ou ?

@+ Bjc.

Img 1 nngjow - Eugenol
Img 2 qqjila - Eugenol
Img 3 zjkbvk - Eugenol

Gutt-A

25/05/2011 à 01h44

Tu veux vraiment savoir OU?


1 p3qrc4 - Eugenol
Bjc.

25/05/2011 à 01h50

J’ai ma petite idée, mais j’aimerai la votre

que feriez vous si vous receviez cette patiente en consultation?

trop risqué, ne rien faire ?

@+ Bjc.


Jack nicholson bia2w2 - Eugenol
malcolm86

25/05/2011 à 02h46

L'âge n'est pas une contre indication à l'odf...donc ce serait traitement ortho pour bibi...mais je suis débutant ;)


Bebe 038 nf8eum - Eugenol
danteyeah

25/05/2011 à 02h51

Bjc. écrivait:
--------------
> J’ai ma petite idée, mais j’aimerai la votre
>
> que feriez vous si vous receviez cette patiente en consultation?
>
> trop risqué, ne rien faire ?
>
> @+ Bjc.
> Déjà je l'ausculterais: palpation articulaire,musculaire, mise en évidence des trajets d'ouverture/fermeture, de latéralité, et cycle masticatoire etc... Anamnèse, profil psychologique et professionnel (66 ans: retraite ou actif?) etc...en tout cas c'est pas sur trois photos et un âge que je me prononcerais sur un pronostic thérapeutique.
Donc un minimum svp!


Cuisinier2 vnbbxx - Eugenol
jeff2

25/05/2011 à 09h40

Résection des condyles?


aterman

25/05/2011 à 10h29

Injection d une petite quantité du propre sang du patient dans la cavité articulaire de chaque ATM.
C est la mode aux States en ce moment....
http://prolohawaii.com/old/tmjinjections.pdf


baroud69

25/05/2011 à 10h31

Bah sans tâter de l'ATM et sans savoir son anamnèse (chute, dépression, bruxisme.. etc) difficile de répondre.

Tu risques rien à faire une butée antérieure dans un premier temps, surtout si elle spasme au niveau des muscles masticateurs et cervicaux.

Un avis ostéo pet être interressat aussi.


01 ukhwbq - Eugenol
Bobby

25/05/2011 à 10h46

aterman écrivait:
-----------------
> Injection d une petite quantité du propre sang du patient dans la cavité
> articulaire de chaque ATM.
> C est la mode aux States en ce moment....

Les grandes découvertes sont souvent dues au hasard, ils auraient découvert ça en "soignant" Lance Armstrong...


aterman

25/05/2011 à 11h41

Bobby écrivait:
---------------
> aterman écrivait:
> -----------------
> > Injection d une petite quantité du propre sang du patient dans la cavité
> > articulaire de chaque ATM.
> > C est la mode aux States en ce moment....
>
> Les grandes découvertes sont souvent dues au hasard, ils auraient découvert ça
> en "soignant" Lance Armstrong...
Un sang "chargé en corticoides" a sans doute encore plus d effets :0)


Gaudi parc guell lezard  ntokms - Eugenol
lezard

25/05/2011 à 12h13

Pourtant y'a tous les critères de Planas, Md carrée, facettes d'usure, pas de protection canine ( semble-t'il)donc elle devrait pas souffrir, c'est une simulatrice!




Cuisinier2 vnbbxx - Eugenol
jeff2

25/05/2011 à 13h45

D’accord avec toi lézard, sauf que ce n'est peut être pas une simulatrice, elle a sans doute mal
Par contre contre indication formelle de toucher les dents, ça serait une faute professionnelle, surtout qu'elle a 66 ans et que cela fait longtemps qu'elle est comme ça.


belette

25/05/2011 à 14h19

Bjc. écrivait:La patiente (66 ans) se plaint de douleurs au niveau de l’A.T.M.

Plutôt sommaire comme présentation ... :-(
C'est elle qui dit avoir mal à l'A.T.M. ?
Depuis quand a-t-elle mal? comment a-t-elle mal ? Y-a-il un vrai professionnel qui l'a vu ? qui a fait un vrai examen ? posé un diagnostic ? Pourquoi arrive-t-elle chez toi ? Qui l'a envoyée ?...

^ ... ^
Ô"""Ô
= o =..."Gouttières ou " est une très bonne question...


Images nv3xcf - Eugenol
au fond du canal

25/05/2011 à 14h39

Abstention thérapeutique car la conposante psychologique (quelque soit sa proportion évaluée lors de l'anamnèse) sur la douleur est ingérable et si la moindre thérapeutique est Envisagée, elle sera vouée à l'échec sur ce type de cas instable.
COURAGE FUYONS...


Cuisinier2 vnbbxx - Eugenol
jeff2

25/05/2011 à 14h51

au fond du canal écrivait:
--------------------------
> Abstention thérapeutique car la conposante psychologique (quelque soit sa
> proportion évaluée lors de l'anamnèse) sur la douleur est ingérable et si la
> moindre thérapeutique est Envisagée, elle sera vouée à l'échec sur ce type de
> cas instable.
> COURAGE FUYONS...

Oui d'accord, mais ce qui est intéressant c'est que BJC présente toujours des cas qu'il a terminé, alors voyons ce qu'il va proposer quand il sera réveillé (décalage horaire oblige)
Quant à la composante psy
1) on est pas psy donc, pas possible de poser une diagonstic
2) la composante psy est souvent le fourre tout du "je ne sais pas"


1 p3qrc4 - Eugenol
Bjc.

25/05/2011 à 15h14

c‘est un cas que j’ai vu hier matin

la patiente a consulté son médecin qui lui a prescrit 15 séance de Kiné

le kiné n’ayant pas obtenu d’amélioration, me l’a adressé

@+ Bjc.

P.S.: ce qui est remarquable est qu'il y beaucoup de critères de Planas


Cuisinier2 vnbbxx - Eugenol
jeff2

25/05/2011 à 15h24

Pourquoi te l'a t il adressée ? je croyais que tu étais ortho?


isaïe

25/05/2011 à 15h25

Pourquoi suspecter d'entrée de jeu un lien entre ses arcades dentaires et la plainte atm ?


1 p3qrc4 - Eugenol
Bjc.

25/05/2011 à 15h28

je traite un certain nombre de S.A.D.A.M.
traitement mixte intégrant l'ortho


@+ Bjc.


Gaudi parc guell lezard  ntokms - Eugenol
lezard

25/05/2011 à 15h29

Effectivement je pense qu'elle a réellement mal, butée ant ou post pour déterminer l'origine possible, musculaire ou articulaire ?? ou stress mais dans ce cas ça sera plus long à traiter



belette

25/05/2011 à 15h58

elle a mal depuis quand et suite à quoi ?

^ ... ^
Ô"""Ô
= o =... pas de lien avec la couronne ? ce serait trop facile!!


baroud69

25/05/2011 à 16h39

Allez je me lance :

Occlusion imparfaite : presque ne bord à bord au niveau incisal
12 : usure ++
perte des protections canines
pas de mylolyse
peu d'usure indiquant un bruxisme horizontal
pas de 8 max sur les photos mais présence de 8 mandibulaires
> interférence des 48/38 avec les 17/27 ?

Au niveau dentodentaire la situation si elle n'est pas idéale n'est pas catastrophique.

Par contre, le fait que ce soit un kiné qui l'envoie me fait penser qu'elle souffre probablement de pb de rachis, voire de bassin ou de podologie > je ferai un bilan ostéo + discuter avec la patiente si il n'y a pas eu un trauma physique et/ou psychologique quelques temps avant.

hé les gars, faut arrêter de se cacher derrière le psy !

Dans un premier temps, je ferai une butée antérieure pour 15 jours pour voir s’il y a une amélioration. Après et bien.. c'est selon comment ça se passe


Cuisinier2 vnbbxx - Eugenol
jeff2

25/05/2011 à 16h42

elle a 66 ans!!!! donc elle est comme ça depuis 60 ans!!!
et vous pensez que c'est un problème dentaire?!!! que ses 38 se sont égressées d'un seul coup a 66 ans??


isaïe

25/05/2011 à 17h11

Re : "Pourquoi suspecter d'entrée de jeu un lien entre ses arcades dentaires et la plainte atm ?"




belette

25/05/2011 à 19h59

baroud69 écrivait: pas de 8 max sur les photos mais présence de 8 mandibulaires

Pas si sûr! on aperçoit les dds sup à la limite du miroir...
^ ... ^
Ô"""Ô
= o =


12...

Ce sujet est verrouillé

Les réponses à ce sujet sont désactivées