Cookie Consent byPrivacyPolicies.comVis de couverture decouverte - Eugenol

Vis de couverture decouverte

dentiste68

10/06/2011 à 00h09

Chicot écrivait:
----------------
> Chicote64 tu le fais comme tu le sens, et à 83 ans les risques que ça se casse
> la gueule au bout de 10 à 15 ans sont plus limités, et là je te suis pour sortir
> des clous mais pas pour rendre service mais pour une plus faible morbidité et
> une efficacité du traitement sur le moyen terme.
>
> Mais si c'était sur un patient de 45 ans, tu aurais sans doute raisonné
> autrement non ?
>
> --
> ;O)

+1


Photo pluton1b h9n4ea - Eugenol
pluton

10/06/2011 à 00h14

dentiste68 écrivait:
--------------------

>
> Le plan de traitement idéal est celui en lequel tu crois profondément.
> Je persiste: pas de compromis avec mes convictions

le problème, c'est que les convictions changent au rythme des publications et des avancées technologiques...sinon, les implants courts n'existeraient pas, ni les all on four, five, six, ni les EII et MCI, et on en serait resté aux implants lisses de 16mm et plus avec hex externe...;-)
regardes tes cas de tes débuts, puis ceux que tu traites maintenant, je pourrais parier que pour certains, aujourd'hui, tu ferais autrement...;-)


dentiste68

10/06/2011 à 00h18

pluton écrivait:
----------------

> +1...et pas de compromis, çà veut dire "plan de ttm idéal"...or la médecine,
> n'est pas une science exacte...alors qu'est-ce qu'un plant de ttm idéal?

La médecine n'est effectivement pas une science exacte ... mais en dentisterie on commence quand même a avoir quelques certitudes, non?
Si une vis de couverture operculise, peut-on vraiment espèrer que le niveau osseux sous-jacent soit toujours le même? Compromis avec l'espace biologique nous dirait béotien! Toujours est-il que si t'as déjà perdu 2 mm sur un implant de 8 mm avant la mise en charge, ça ne s'annonce pas super, non?


Photo pluton1b h9n4ea - Eugenol
pluton

10/06/2011 à 00h30

parce que pour toi operculisation=perte osseuse systématique?

désolé, mais j'ai "réouvert" mardi pour 2 implants (15 et 16), l'un operculisé et l'autre non...perte osseuse de celui operculisé (celui en 16) =0mm....(pour l'autre pareil)

ah oui, mais c'était un 5.7mm de diamètre...
j'ai fais mon aménagement muco gingival et posé mes vis de cicat...;-)


dentiste68

10/06/2011 à 00h35

pluton écrivait:
----------------
> dentiste68 écrivait:
> --------------------
>
> >
> > Le plan de traitement idéal est celui en lequel tu crois profondément.
> > Je persiste: pas de compromis avec mes convictions
>
> le problème, c'est que les convictions changent au rythme des publications et
> des avancées technologiques...sinon, les implants courts n'existeraient pas, ni
> les all on four, five, six, ni les EII et MCI, et on en serait resté aux
> implants lisses de 16mm et plus avec hex externe...;-)
> regardes tes cas de tes débuts, puis ceux que tu traites maintenant, je pourrais
> parier que pour certains, aujourd'hui, tu ferais autrement...;-)

+1
Entièrement d'accord ... même si c'est un peu caricatural. Tu aurais pu dire: "on en serait resté aux stellites...".
Nos convictions évoluent au gré de nos échecs, de nos rencontres, de nos formations ou de nos lectures. Chacun a les siennes, notre boulot le permet, il y a toujours plein de possibiltés. Les miennes ne sont pas forcément les bonnes mais ce sont les miennes... et en cas de problème je peux défendre mon plan de traitement face à un patient, face à un membre du CO, face à un chir dent conseil parce que je suis convaincu d'avoir fait un choix juste, réfléchi, sans aucun compromis pouvant affaiblir cette position.


Photo pluton1b h9n4ea - Eugenol
pluton

10/06/2011 à 00h50

c'est un peu caricatural, oui, c'est voulu pour te faire prendre conscience du non sens du terme de "aucuns compromis"

il serait mieux d'utiliser les termes de "conforme au données avérées de la science" à la date de réalisation implanto prothétique...;-)

quand aux plans de ttm, chaque praticien à ses "recettes", ses dadas, ses convictions comme tu le dis, et pour un même patient, le traitement peut différer...donc le plan de ttm idéal...il en prend un coup dans l'aile aussi...;-)


dentiste68

10/06/2011 à 00h53

pluton écrivait:
----------------
> parce que pour toi operculisation=perte osseuse systématique?
>
> désolé, mais j'ai "réouvert" mardi pour 2 implants (15 et 16), l'un operculisé
> et l'autre non...perte osseuse de celui operculisé (celui en 16) =0mm....(pour
> l'autre pareil)
>
> ah oui, mais c'était un 5.7mm de diamètre...
> j'ai fais mon aménagement muco gingival et posé mes vis de cicat...;-)

Si t'as posé un 5.7 pour une 16, tu devais avoir une belle largeur de crête (certainement pas 6 ou 7 mm mais plutôt 9), non? Ton implant a suffisament d'os en vestibulaire et en palatin pour que cet os soit vascularisé et donc stable dans le temps. Donc pas de perte.
Quand tu pose un 3.8 en 16, tu cherches un compromis entre un implant assez large pour soutenir ta molaire et un implant pas trop large pour qu'il soit quand même entouré d'os. Résultat pas assez d'os (généralement en vestibulaire pour que ton implant soit quand même à peu près en bonne occlusion), donc pas de vascularisation, donc perte osseuse.

Je ne pense pas que cela soit comparable.


Casque beotien a3jo39 - Eugenol
beotien

10/06/2011 à 00h54

ah les convictions!
il y encore 5 ans je ne posais qu'enfoui
maintenant avec les Léone je fais dans 90% des cas les poses et même les rog en 1 temps chir

est ce que ce serait défendable?




Casque beotien a3jo39 - Eugenol
beotien

10/06/2011 à 00h59

Chicot écrivait:
----------------
> Il manque aussi la 16 et bientôt la 17 si elle n'est pas traitée....
>
> Casse gueule sans calage. +1
>
> --
> ;O)


"Ma conviction" 25dents suffisent pour un calage

soyons un peu plus pondéré et l'on avancera tous



dentiste68

10/06/2011 à 01h06

beotien écrivait:
-----------------
> ah les convictions!
> il y encore 5 ans je ne posais qu'enfoui
> maintenant avec les Léone je fais dans 90% des cas les rog en 1 temps chir
>
> est ce que ce serait défendable?
>
>
>
Parfait!
En quoi serait-ce indéfendable? Ca l'aurait été si tu avais fait un bridge ou un stellite.
Ca le sera aussi si tu ne refais pas le compo (inlay?) sur la 5! LOL


Photo pluton1b h9n4ea - Eugenol
pluton

10/06/2011 à 01h27

dentiste68 écrivait:
--------------------

> Si t'as posé un 5.7 pour une 16, tu devais avoir une belle largeur de crête
> (certainement pas 6 ou 7 mm mais plutôt 9), non?

oui pour la 16...

Ton implant a suffisament d'os
> en vestibulaire et en palatin pour que cet os soit vascularisé et donc stable
> dans le temps. Donc pas de perte.
> Quand tu pose un 3.8 en 16, tu cherches un compromis entre un implant assez
> large pour soutenir ta molaire et un implant pas trop large pour qu'il soit
> quand même entouré d'os. Résultat pas assez d'os (généralement en vestibulaire
> pour que ton implant soit quand même à peu près en bonne occlusion), donc pas de
> vascularisation, donc perte osseuse.

si j'ai pas assez d'os...j'expanse...;-)
c'est ce que j'ai fait pour la 15 pour pouvoir y loger un 3.7mm...d'autres auraient greffé...


dentiste68

10/06/2011 à 01h46

Une de nos consoeurs (autre post actuellement ouvert) va devoir se présenter devant le CO parce qu'un de ses patients n'est pas content.
Si ma mémoire est bonne, elle a extrait les dernières dents mandibulaires de ce patient et rebasé son stellite pour en faire un complet... et ce pour rendre service, diminuer les coûts, ou je ne sais quelle raison.
Mais, c'est bien connu, même avec le meilleur des rebasages, un stellite ne deviendra jamais un complet. Compromis.
Le patient, qui a ou non donné son "consentement éclairé", honnête ou pas, peu importe, n'est pas content. C'est normal, il a payé, cher dans son esprit, même si cela ne l'était pas (100€), pour quelque chose qui ne le satisfait pas.
Comment se défendre? La seule question: "Croyiez-vous vraiment que cela allait fonctionner?" la condamne... pour avoir cedé aux exigences d'un patient, pour avoir fait des compromis. Si elle avait fait un devis (complet bas sur deux implants, traitement minimal de l'édentement mandibulaire), et même si le patient n'en était pas satisfait, elle aurait pu répondre beaucoup plus sereinement à la même question. Conviction.


dentiste68

10/06/2011 à 01h58

pluton écrivait:
----------------

> si j'ai pas assez d'os...j'expanse...;-)
> c'est ce que j'ai fait pour la 15 pour pouvoir y loger un 3.7mm...d'autres
> auraient greffé...

Je ne suis pas sûr que la patiente de Chicote64, qui a tout refusé, ait accepté l'expansion... ou la greffe.


Photo pluton1b h9n4ea - Eugenol
pluton

10/06/2011 à 02h11

ne mélanges pas tout...
son erreur est surtout de ne pas avoir fait plusieurs devis avec les différentes options de ttm (rep, complet "standard", complet stabilisé par implants, etc...) et d'avoir expliqué précisément à son patient les avantages/inconvénients de chaque solution

elle arrive à cette situation simplement à cause d'un défaut de communication avec son patient...
savoir écouter ses patients, prendre en compte leur doléances, leurs attentes, c'est très important...et çà nous fait finalement réfléchir à notre arbre décisionnel qui conduit à notre plan de traitement pour répondre au mieux aux attentes de nos patients...donc faire, choisir, les meilleurs compromis...;-)

quand un patient est bien informé et qu'il s'implique dans sont ttm d'une manière "éclairée" (cf consentement éclairé) il n'y a pas vraiment de raison qu'il y ait de conflits...;-)


Photo pluton1b h9n4ea - Eugenol
pluton

10/06/2011 à 02h18

dentiste68 écrivait:
--------------------

> Je ne suis pas sûr que la patiente de Chicote64, qui a tout refusé, ait accepté
> l'expansion... ou la greffe.

redite, mais pourquoi a t'elle tout refusé? là aussi sûrement défaut de com...
et puis pour les irréductibles, là je suis d'accord avec toi, il faut parfois aussi savoir dire "non", mais avec de bonnes explications, on peut souvent arriver à trouver une solution...


Casque beotien a3jo39 - Eugenol
beotien

10/06/2011 à 18h21

dentiste68 écrivait:
--------------------
> pluton écrivait:
> ----------------
>
> > +1...et pas de compromis, çà veut dire "plan de ttm idéal"...or la médecine,
> > n'est pas une science exacte...alors qu'est-ce qu'un plant de ttm idéal?
>
> La médecine n'est effectivement pas une science exacte ... mais en dentisterie
> on commence quand même a avoir quelques certitudes, non?
> Si une vis de couverture operculise, peut-on vraiment espèrer que le niveau
> osseux sous-jacent soit toujours le même? Compromis avec l'espace biologique
> nous dirait béotien! Toujours est-il que si t'as déjà perdu 2 mm sur un implant
> de 8 mm avant la mise en charge, ça ne s'annonce pas super, non?


dis moi la tu le trouves comment mon compromis avec l'espace biologique
eii
d'après toi faites il y a combien de temps?




dentiste68

10/06/2011 à 18h41

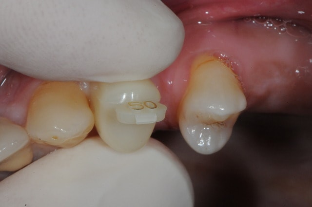
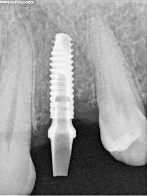
Superbe ratrapage suite à une operculisation d'une vis de couverture. Félicitations. Je te savais costaud béotien mais là tu m'impressionnes vraiment.
Je dirais fait il y a 11 ans 1/2? Alors.


Casque beotien a3jo39 - Eugenol
beotien

10/06/2011 à 19h08

dentiste68 écrivait:
--------------------
> Superbe ratrapage suite à une operculisation d'une vis de couverture.
> Félicitations. Je te savais costaud béotien mais là tu m'impressionnes vraiment.
> Je dirais fait il y a 11 ans 1/2? Alors.

MDR!
c'est bon l'humour en fin de semaine
- pas de vis de couverture , pas d'operculisation!!

Même pas de lambeau pédiculé palatin!

je peux aussi ne plus mettre du tout de photos


Img 8465 fqhxid - Eugenol
noahaxeltiger-olivier

10/06/2011 à 21h16

beotien écrivait:
-----------------
> dentiste68 écrivait:
> --------------------
> > Superbe ratrapage suite à une operculisation d'une vis de couverture.
> > Félicitations. Je te savais costaud béotien mais là tu m'impressionnes
> vraiment.
> > Je dirais fait il y a 11 ans 1/2? Alors.
>
> MDR!
> c'est bon l'humour en fin de semaine
> - pas de vis de couverture , pas d'operculisation!!
>
> Même pas de lambeau pédiculé palatin!
>
> je peux aussi ne plus mettre du tout de photos

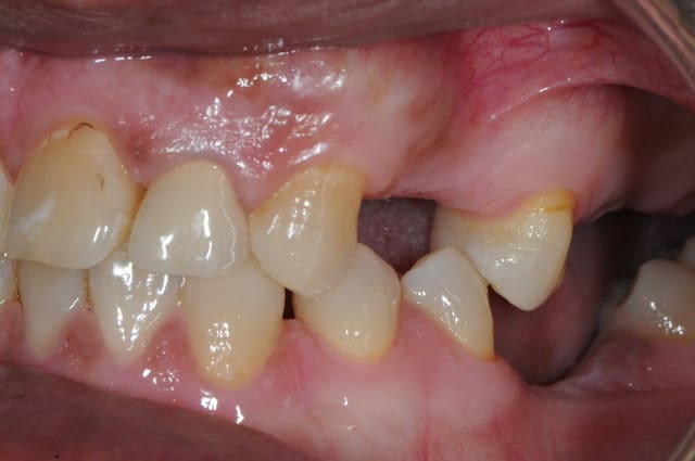
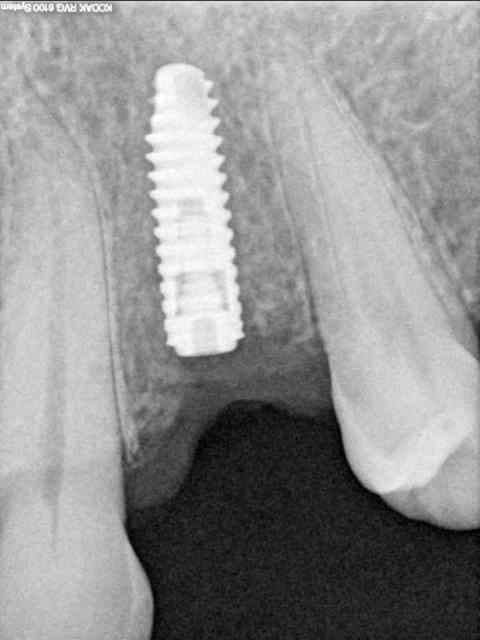
Wouaww les photos beotien !! Quel progrès ! Super !


dentiste68

10/06/2011 à 22h31

beotien écrivait:
-----------------
> dentiste68 écrivait:
> --------------------
> > Superbe ratrapage suite à une operculisation d'une vis de couverture.
> > Félicitations. Je te savais costaud béotien mais là tu m'impressionnes
> vraiment.
> > Je dirais fait il y a 11 ans 1/2? Alors.
>
> MDR!
> c'est bon l'humour en fin de semaine
> - pas de vis de couverture , pas d'operculisation!!
>
> Même pas de lambeau pédiculé palatin!
>
> je peux aussi ne plus mettre du tout de photos
>

Oui c'est bon l'humour en fin de semaine. Content que tu le comprennes.
Félicitations sincères, beau résultat.
Surtout n'arrête pas de mettre des photos!


Photo pluton1b h9n4ea - Eugenol
pluton

10/06/2011 à 22h34

+1, t'as les bons réglages béo...;-)
on en prend plein les mirettes...;-)
vas y mitrailles...;-))


3f3boxni50k58rq7e9ce9ddqrxgk - Eugenol
dentiste57

11/06/2011 à 01h01

je me permet d'apporter un maigre contribution à ce poste.
mais avant, tout un petit historique du cas...

il y a 15 jours donc.
1 : 24 abscente et 25 distalé
2: mise en évidence de l'espace trop important

Plan de traitement: pose implant 24 puis utilisation de cet implant comme ancrage absolu pour mésialer 25.

3 : vu de dessus/dessous
4 : incision crestale - lambeau de pleine épaisseur
5 : incision de la corticale osseuse avec disque diamanté Komet
6 : bone spliting (pas top, je l'avoue) avec ciseaux à os (aesculap je crois)

(je donne la marque , mais je touche rien!!! c'est juste pour info)
7 : système D pour ceux qui pas équipé de Tatum, un simple décolleur de Molt
8 : pose implant
9 + 10: vital os et sutures.

Dsc 1958 ya4nvm - Eugenol
Dsc 2267 qpjuwp - Eugenol
Dsc 2287 yi0fa6 - Eugenol
Dsc 2289 zeywij - Eugenol
Dsc 2290 pzw7po - Eugenol
Dsc 2291 l56dng - Eugenol
Dsc 2293 oj2ezq - Eugenol
Dsc 2295 l1c4fa - Eugenol
Dsc 2296 ks6cjr - Eugenol
Dsc 2298 owqwbm - Eugenol

3f3boxni50k58rq7e9ce9ddqrxgk - Eugenol
dentiste57

11/06/2011 à 01h14

suite..

come ce con de patient fume et picole peut être aussi, il revient à 10 jours avec plusieurs fils de suture de perdu depuis au moins trois jours.
j'explique pourtant longuement aux patients que "si il y a un doute, c'est qu'il n'y a pas de doute"
comprenez, par là que si on pense avoir perdu un fil, j'incite les patients à venir IMMEDIATEMENT et sans RDV.
bref, cet imbé%$µ?"# se pointe et me dit que ça gène un peu.

tu parles! nécrose osseuse, exposition de l'implant et de la crête osseuse photo 1 et 2

donc pince gouge pour l'os "mort" cruantage de berges gingivales, irrigation, sutures bref, je fais le pompier de service.

photo 3: contrôle à 4 jours, le plus grave est passé!

n’empêche que les dégâts sont considérables...la tête de l'implant est exposée.

Dsc 2372 x7eeql - Eugenol
Dsc 2375 dwjsvk - Eugenol
Dsc 2393 u0dgqy - Eugenol

dentiste68

11/06/2011 à 01h23

Alleeeeeeeeeeeeeeez,
Trop de suspense!
Comment ça finit?
J'suis sûr que t'as géré!


3f3boxni50k58rq7e9ce9ddqrxgk - Eugenol
dentiste57

11/06/2011 à 01h31


oups!! j'ai merdouillé dans les photos, je corrige.

aujourd'hui donc...

je revois le patient, l'implant est bel est bien supra crestal et la prothèse va donc être impossible à gérer.
d'autant plus que les piliers sont des piliers platform switching ce qui va rendre ceux ci complètement visibles.

bref, je prends la décision de soit explanter soit implanter plus profond.

c'est la deuxième solution que je retiens car l'os du patient était extrêmement mou ( type 4).

j'ai même pas eu d'efforts à faire pour pousser(visser) l'implant un peu plus loin!!!

bon j'ai oublié de faire une photo post op, mais je suis sure que vous me pardonnerez, c'est le week end après tout non ?

R11 fdn3uv - Eugenol
R12 hsp84r - Eugenol
Dsc 2393 hab6rl - Eugenol
Dsc 2620 qrvviw - Eugenol
Dsc 2621 osafde - Eugenol
Dsc 2623 ftw7i4 - Eugenol