Cookie Consent byPrivacyPolicies.comCa vous parait correcte ? - Eugenol

Ca vous parait correcte ?

YalonPowa

08/06/2011 à 02h02

Bonjour, je souhaite savoir si le fait de faire réaliser vos inlay core en fibre de verre par le prothésiste avec du compo indirecte du genre ceramage ou adoro vous parait bon ?

J'en profite pour coter un peu de HN a coté du SC33 vu que le compo est indirecte.

Je prend une empreinte comme si j'allais faire un coulé sauf que je demande au prothésiste de faire un inlay core en fibre de verre et compo autour avant de monter l'emax.

En passant, est-ce que vous avez des etudes concernant la solidité des tenons en fibre de verre ?

j'hesite entre les différentes marques.

Cordialement


arnak

08/06/2011 à 12h33

Pourquoi tu ne prends pas spr57??


YalonPowa

08/06/2011 à 13h32

parceque spr57 c'est pour la coulé seulement.

Donc c'est strictement interdit en ce qui concerne un FM composite et fibre de verre


Avatar 46 aoi1yc - Eugenol
HononLulu

08/06/2011 à 15h38

YalonPowa écrivait:
-------------------

>
> J'en profite pour coter un peu de HN a coté du SC33 vu que le compo est
> indirecte.


C'est ça surtout qui est interdit quand on est conventionné.
Alors , quitte à sortir des clous, facture plutôt un SPR 57, non ??


YalonPowa

08/06/2011 à 15h44

Mon post était plutot sur le côté clinique, pas tellement sur les cotations.

En ce qui concerne cette dernière, le HN est bien justifié. Car je fais plus que du SC33. c'est un composite indirecte, le prothésiste le monte mieux que moi en bouche et je peux facturer du HN comme je veux tant que c'est justifié et qu'il y a un devis avant.

en ce qui concerne le spr 57, elle n'est pas du tout justifié car c'est marqué que ca doit etre coulé dans la NGAP.

Je suis dans les clous.


Bebe 038 nf8eum - Eugenol
danteyeah

08/06/2011 à 16h20

YalonPowa écrivait:
-------------------
> Mon post était plutot sur le côté clinique, pas tellement sur les cotations.
>
> En ce qui concerne cette dernière, le HN est bien justifié. Car je fais plus que
> du SC33. c'est un composite indirecte, le prothésiste le monte mieux que moi en
> bouche et je peux facturer du HN comme je veux tant que c'est justifié et qu'il
> y a un devis avant.
>
> en ce qui concerne le spr 57, elle n'est pas du tout justifié car c'est marqué
> que ca doit etre coulé dans la NGAP.
>
> Je suis dans les clous.

Pour la cotation tu fais ce que tu veux( le HN peut correspondre à une provisoire par ex.) par contre garde en tête que le principal avantage de la technique foulée avec tenon fibré est de pouvoir réaliser une préparation respectant le plus possible l'anatomie canalaire (déjà modifié par les préparations endo, alors faut pas trop en rajouter), le risque en passant par le proth. est de surtravailler le canal afin d'obtenir une préparation de dépouille facilitant le travail du proth, et là tu perds tout l'intérêt du foulé et te retrouve quasiment dans les indications de l'IC.


YalonPowa

08/06/2011 à 20h22

Moui, tu as raison.

Mais alors, en directe... Qu'est ce que tu fais de différent ? moi j'utilise quand meme le foret de l'inlay core, celui qui vient avec la boite des fibres de verre et qui donc met forcement le canal en contre depouille.


Bebe 038 nf8eum - Eugenol
danteyeah

09/06/2011 à 02h44

YalonPowa écrivait:
-------------------
> Moui, tu as raison.
>
> Mais alors, en directe... Qu'est ce que tu fais de différent ? moi j'utilise
> quand meme le foret de l'inlay core, celui qui vient avec la boite des fibres de
> verre et qui donc met forcement le canal en contre depouille.
>
On est d'accord pour dire qu'un canal est rarement cylindrique sur ses 2 premiers tiers!
On est d'accord pour dire que le collage a la dentine canalaire nécessite au minimum d'avoir élimine le matériau d'obturation endo!
Dans ce cas si tu veux faire un alésage anatomique tu utilises un forés dont le diamètre correspond a la plus petite largeur de ton canal qui va te donner ton axe et la diection principale de ta préparation, puis tu amènes ton forés sur toutes les parois pour retirer le matériau d'obturation, et de la dentine de façon homothétique , tu choisis le tenon correspondant plus ou moins au forés sélectionne, il sera alors flottant dans une préparation pas forcement de dépouille et c'est le matériau d'assemblage (colle et composite) qui comblera les vides . Tu peux faire une empreinte dans ces conditions en demandant au proth de laisser le tenon nu dans sa partie intacanalaire.
Donc les forés de ta boite doivent fonctionner , il suffit simplement d'éviter d'utiliser des diamètres trop large qui transformeraient ton canal (oval, aplatie, en U etc...) en canal cylindrique.


Rorschachwhite tx6rqr - Eugenol
Candide Candida

09/06/2011 à 11h39

YalonPowa écrivait:
-------------------
> Mon post était plutot sur le côté clinique, pas tellement sur les cotations.
>
> En ce qui concerne cette dernière, le HN est bien justifié. Car je fais plus que
> du SC33. c'est un composite indirecte, le prothésiste le monte mieux que moi en=
> bouche et je peux facturer du HN comme je veux tant que c'est justifié et qu'il
> y a un devis avant.
>
> en ce qui concerne le spr 57, elle n'est pas du tout justifié car c'est marqué
> que ca doit etre coulé dans la NGAP.
>
> Je suis dans les clous.

Non non, tu es sanctionnable si tu maintiens ces affirmations devant un CDC.

Un SC33 c'est un SC33 pas un truc que tu cuisines à ta sauce "parce que c'est justifié" ou "qu'il y a un devis", le SC33 + Hn ou le SC33 avec ED n'existe pas, c'est un acte opposable point.

Soit tu fais du SC17 avec ED (comme l'on faisait avant la cotation de l'IC ??) soit du SC33 sans ED et sans HN, soit du SPR57 en technique coulée (et donc pas en compo), soit du SC 33 + HN sur la provisoire si tu veux.

Voilà tes choix "légaux", en inventer d'autres est interdit et dangereux.

Le soupoudrage de Hn sur des actes opposables est un motif classique de contrôle, il est tellement facile de l'éviter, un devis ne te couvre jamais ^^

PS : je suis même convaincu que le scellement ou le collage d'une pièce indirecte (même si elle est réalisée en composite) ne satisfait pas à la description du texte du SC33 : ".. matériau inséré en phase plastique .." le matériau n'est plus en inseré phase plastique (puisqu'il a déjà été polymérisé ou cuit).

Mais bon je dis ça..

CC.


YalonPowa

09/06/2011 à 22h57

Tu as peut etre raison sur les actes opposables. Je vais transferer la cotation HN en couronne provisoire.

concernant l'insertion en phase plastique, elle est plastique ma colle en resine quand je met mon tenon. non ?

avez vous des comparaisons sur la fiabilité des tenons en fibre de verre ?


200106 10150128247663588 709988587 6466236 5598391 n d7mksb - Eugenol
hallboy

09/06/2011 à 23h03

C'est un inlay compo, donc SC17 plus ED.
le fait qu'il y ait un ancrage radic ou que la dent soit devitalisséee est sans importance.
ou alors SC33, pas de depassement et on regarde ailleurs parceque la seule chose fouléee c'est le compo de collage.

tant qu'on y est j'ai passeé une journéee avc Sabek: les couronnes sur implants c'est HN. arret de lacour de cassation de je sais plus où.

je fais un post là dessus des que j'ai la ref exacte.


murduck

09/06/2011 à 23h09

Juste une précision s'il vous plait, quand on colle un screwpost peut-on côter cela comme sc33?? Ou alors il faut que ce matériau d'ancrage doit forcément en fibre de verre etc??


YalonPowa

09/06/2011 à 23h12

Bon et concernant la procédure, de passer par le prothésiste, c'est bon ? C'est pas trop recherché comme méthode ?

Et concernant les tenons, vous avez des etudes qui les compares entre eux ?


200106 10150128247663588 709988587 6466236 5598391 n d7mksb - Eugenol
hallboy

09/06/2011 à 23h28

murduck écrivait:
-----------------
> Juste une précision s'il vous plait, quand on colle un screwpost peut-on côter
> cela comme sc33?? Ou alors il faut que ce matériau d'ancrage doit forcément en
> fibre de verre etc??

tu fais un scewpost tu visses et tu met un amalgamme c'est Sc33 aussi.:

reconstitution foulée a ancrage radiculaire.


200106 10150128247663588 709988587 6466236 5598391 n d7mksb - Eugenol
hallboy

09/06/2011 à 23h34

YalonPowa écrivait:
-------------------
> Bon et concernant la procédure, de passer par le prothésiste, c'est bon ? C'est
> pas trop recherché comme méthode ?
>
> Et concernant les tenons, vous avez des etudes qui les compares entre eux ?
>

personne ne peut vraiment te repondre car je ne pense pas qu'il y ait la moindre etude comparative.

pour le reste de memoire entre quartz, carbone et fibre de verre le moins bon c'est le carbone, mais les differences sont faibles.

En posterieur, je met du carbone et un compo de reconstitution bleu;) ( bisico ) ça me rend les limites tres visibles ( taille ) et le demontage plus simple si jamais un jour j'en ai besoin.

sur les ant et PM, c'est itena ou les tenons danois dont le nom m'echappe ( il se trouve que j'ai eu des stocks des 2 pour pas cher; et compo gradia avec leur adhseif.


Bebe 038 nf8eum - Eugenol
danteyeah

10/06/2011 à 03h22

murduck écrivait:
-----------------
> Juste une précision s'il vous plait, quand on colle un screwpost peut-on côter
> cela comme sc33?

Quand tu fais ça tu ne devrais rien coter, et proposer une somme d'argent a ton patient pour compenser le préjudice que tu viens de lui faire subir!!! Je plaisante........ou pas! ;-)


Bebe 038 nf8eum - Eugenol
danteyeah

10/06/2011 à 03h33

YalonPowa écrivait:
-------------------
> Bon et concernant la procédure, de passer par le prothésiste, c'est bon ? C'est
> pas trop recherché comme méthode ?

La liaison entre le moignon composite et le tenon fibre sera certainement de meilleure qualité si elle est faite en indirecte, donc avec cette vision là, ta démarche est satisfaisante. cependant si la réalisation de l'empreinte, et d'une certaine manière de la mise en dépouille de la racine résiduelle, est moins conservatrice en indirecte qu'en directe ( présence de parois et contre dépouille importante) alors ta technique devient défavorable ! Donc tu ne devrais pas généraliser l'indirecte dans ton activité, mais analyser au cas par cas.
>
> Et concernant les tenons, vous avez des etudes qui les compares entre eux ?

Non, pourquoi, tu as eu de la casse?
>


YalonPowa

10/06/2011 à 21h32

Merci pour ta reponse.

Oui, j'ai eu de la casse sur un Itena. Et sur le site de fiberpost de 3M ils ont un petit graphique de resistance a la flexion qui me fait peur car ils presentent les autres marques comme pas du tout fiable.

Si le graphique en soit est commercial, ca m'a fait reflechir a la difference entre les tenons.

Cordialement


Bebe 038 nf8eum - Eugenol
danteyeah

11/06/2011 à 01h56

YalonPowa écrivait:
-------------------
> Merci pour ta reponse.
>
> Oui, j'ai eu de la casse sur un Itena. Et sur le site de fiberpost de 3M ils ont
> un petit graphique de resistance a la flexion qui me fait peur car ils
> presentent les autres marques comme pas du tout fiable.
>
> Si le graphique en soit est commercial, ca m'a fait reflechir a la difference
> entre les tenons.
>
> Cordialement
>

Commercial c'est certains, mais fait du hasard ou convergence après tatonement et test: 3M c'est la marque de Tenon que j'utilise, et sans soucie depuis plusieur années, sont juste un peu cher (enfin pas plus que des Coltene ).


YalonPowa

11/06/2011 à 13h36

danteyeah écrivait:
-------------------
> YalonPowa écrivait:
> -------------------
> > Merci pour ta reponse.
> >
> > Oui, j'ai eu de la casse sur un Itena. Et sur le site de fiberpost de 3M ils
> ont
> > un petit graphique de resistance a la flexion qui me fait peur car ils
> > presentent les autres marques comme pas du tout fiable.
> >
> > Si le graphique en soit est commercial, ca m'a fait reflechir a la difference
> > entre les tenons.
> >
> > Cordialement
> >
>
> Commercial c'est certains, mais fait du hasard ou convergence après tatonement
> et test: 3M c'est la marque de Tenon que j'utilise, et sans soucie depuis
> plusieur années, sont juste un peu cher (enfin pas plus que des Coltene ).

Je m'en fou du prix, pour 8 ou 9 euros de plus. Tu as moins de casse. C'est bien.

Le problème ici c'est que 3M n'a pas des tenons de prise d'empreinte adapté à leur tenons en fibre de verre pour du indirecte. Du coup, je prend l'empreinte avec du itena et je fais utiliser par le prothésiste un tenon 3M qui s'y rapproche le plus.

ca te chante comme système ?


Bebe 038 nf8eum - Eugenol
danteyeah

17/06/2011 à 02h31

YalonPowa

> Le problème ici c'est que 3M n'a pas des tenons de prise d'empreinte adapté à
> leur tenons en fibre de verre pour du indirecte. Du coup, je prend l'empreinte
> avec du itena et je fais utiliser par le prothésiste un tenon 3M qui s'y
> rapproche le plus.
>
> ca te chante comme système ?

Et bien si le tenon reste flottant, et donc bien enrobé par le composite de collage, ça semble tout bon. Petit détail est-ce que dans la communication de 3M, il parlait de la solidité des tenons seuls et les comparait a la concurrence, ou bien comparait-il la solidité de tout l'assemblage (tenon/composite/colle).


YalonPowa

18/06/2011 à 04h00

danteyeah écrivait:
-------------------
> YalonPowa
>
> > Le problème ici c'est que 3M n'a pas des tenons de prise d'empreinte adapté à
> > leur tenons en fibre de verre pour du indirecte. Du coup, je prend l'empreinte
> > avec du itena et je fais utiliser par le prothésiste un tenon 3M qui s'y
> > rapproche le plus.
> >
> > ca te chante comme système ?
>
> Et bien si le tenon reste flottant, et donc bien enrobé par le composite de
> collage, ça semble tout bon. Petit détail est-ce que dans la communication de
> 3M, il parlait de la solidité des tenons seuls et les comparait a la
> concurrence, ou bien comparait-il la solidité de tout l'assemblage
> (tenon/composite/colle).

c'etait tres commercial alors je sais pas vraiment. Ce qu'il faut, c'est une etude qui compare les solidités des tenons entre eux


maz

18/06/2011 à 10h12

l'an dernier à l'académie du sourire, JC Paris expliquait comment il faisait souvent des reconstitutions compo avec fibre de verre en indirect, qu'il colle après

perso j'ai pas trop retenu car comme je fais mes endo moi même, je préfère garder la digue en place et faire le sc33 dans la même scéance

mais la technique est fiable, je crois que les prothé peuvent se former chez ivoclar pour ça


Img 4593 pnrtmh - Eugenol
teethsurfer

20/06/2011 à 02h12

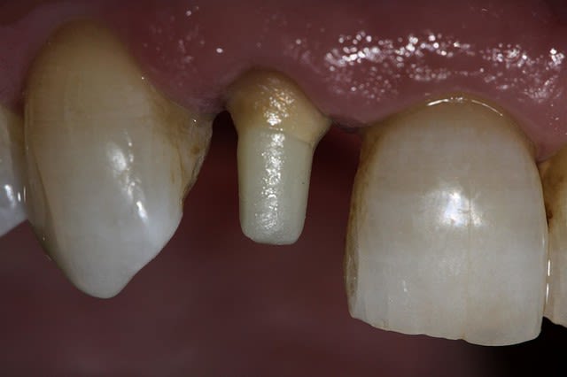
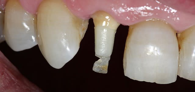
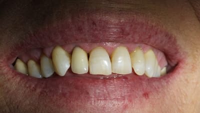
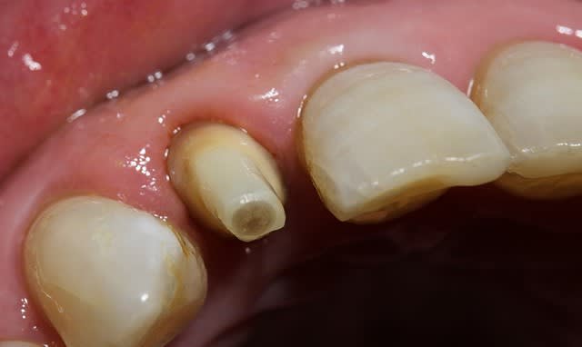
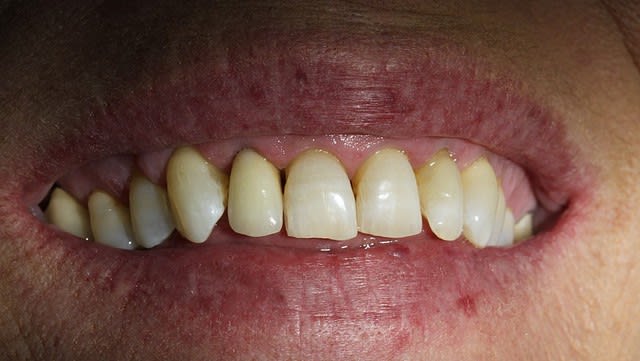
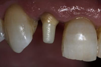
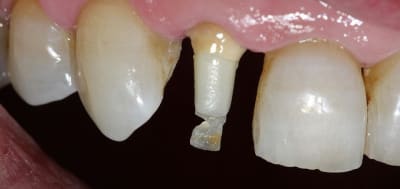
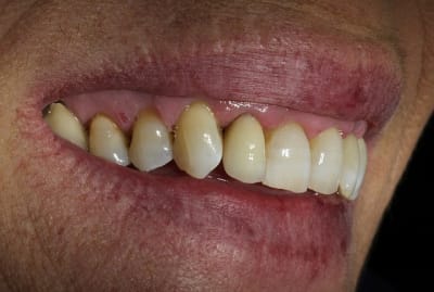
J'ai eu récemment une démarche semblable à la différence que j'ai demandé au labo de me réaliser un inlaycore en emax monté sur un pivot en quartz. S'agissant d'une 12, le procédé me paraissait plus fiable qu'une RAR en compo vu la finesse des parois résiduelles et la difficulté à obtenir un sertissage correcte pour compactage sans hiatus, sachant que je devais couronner en zircone céramique, l'occlusion et la longueur risquant d'être problématiques.

La difficulté fut surtout l'assemblage délicat en bouche du pivot à travers le cylindre en emax, je pense que si le cas se représente, je le ferai en céromère comme tu le prévois car l'assemblage sera réalisé alors au labo et le collage en bouche sera bien plus aisé.

Voici en un bref résumé les différentes étapes que j'ai réalisées:

Img 3098 k9vpfc - Eugenol
Img 3153 j67uhu - Eugenol
Img 3157 wxkytx - Eugenol
Img 3164 bh0kae - Eugenol
Img 3165 zugndi - Eugenol
Img 3170 o4lac0 - Eugenol
Img 3181 seecf0 - Eugenol
Img 3296 ylh9sm - Eugenol
Img 3292 y8femf - Eugenol
Img 3281 orvyk5 - Eugenol

Smile beach jgh0a1 - Eugenol
Céramik

20/06/2011 à 02h26

Question pourquoi un cylindre de e-max avec ton tenon ?

Aussi, pourquoi Zircone ?



--
Céramik


12