Cookie Consent byPrivacyPolicies.comchirurgie à venir - Eugenol

chirurgie à venir

Photo pluton1b h9n4ea - Eugenol
pluton

04/09/2011 à 12h05

beotien écrivait:
-----------------

> ce qui est certain c'est qu'un implant conique avec des "microspires" sur le col
> ce serait sans moi

c'est bien là toute notre différence, un implant non conique sans microspires ou filetage qui va jusqu'au col, c'est sans moi...;-)


Logo m4n3gc - Eugenol
drmarcus

04/09/2011 à 12h27

Je n'ai rien à dire sur la nouveauté. Toute société travaille sur de futur projet et décide ou non de leur lancement.

Bien évidemment Leone a une avance qu'elle entend conserver! Les axes n'en parlont même pas! Je me suis quasiment fait insulter en conférence comme sur ce forum. Aussi j'ai bien rit quand j'ai lu Carole en 2004. Aujourd'hui tout le monde utilise et veut s'approprier le cône inventé par Morse en 1864. Je devrai dire parodie ce cône!

Mais une grande marque, comme vous dites, a plublié sur le décalage vestibulo palatin et prouvé de l'éfficacité.
Maintenant il est marrant de voir les concurrents se servir des publications Leone pour justifier leur système; là je me régale.

Une précision sur la différence d'enfoncement pour le cône Morse (VRAI) Leone:
Elle est de 15µm entre essayage et verrouillage. Savez vous de combien est la votre en serrant la vis à son couple optimal? Connaissez vous les déformations provoqués aux divers éléments? Demandez les à vos fournisseurs, demandez si ils ont réalisé ces études, sont ils allé jusqu'au bout du savoir mécanique de leur fabrications? AUCUN NE M'A FOURNIT CES ELEMENTS!
Maintenant savez vous régler une occlusion à 15µm? Etes vous capable de réaliser à main levé un tel ajustage?
Savez vous de combien et "l'espaceur" mis sur vos dies pour la prothèse conjointe?

Voilà pour la technique!

Maintenant pour rigoler regrader la rx jointe voilà où j'en suis avec Leone! Pour les détails prochaine conf le 13/10, si ça intéresse!



"La vis est à l'implant ce que la carie est à la dent!" (Pozzi)

Rx couronne en place be5lkf - Eugenol

Logo m4n3gc - Eugenol
drmarcus

04/09/2011 à 12h35

pluton écrivait:
----------------
> beotien écrivait:
> -----------------
>
> > ce qui est certain c'est qu'un implant conique avec des "microspires" sur le
> col
> > ce serait sans moi
>
> c'est bien là toute notre différence, un implant non conique sans microspires ou
> filetage qui va jusqu'au col, c'est sans moi...;-)

Pourquoi c'est ça qui vous fais peur? Les micro spires, ils vont bien tous finir par abandonner! Regardez les vidéos de Zipprich.


--
"La vis est à l'implant ce que la carie est à la dent!" (Pozzi)


Blason dql7mj - Eugenol
growler

04/09/2011 à 13h10

drmarcus écrivait:
------------------

> Pourquoi c'est ça qui vous fais peur? Les micro spires, ils vont bien tous finir
> par abandonner! Regardez les vidéos de Zipprich.

micro spires ou pas, je pense effectivement que l'utilisation d'une connectique étanche et stable parallèlement à un parfait contrôle de plaque par le patient sont des facteurs prépondérants quant à la conservation de l'os péri-implantaire.

je trouve un avantage au micro spires, celui d'avoir pour conséquence la présence d'une épaisseur de métal plus importante autour du siège de la connexion conique assurant ainsi une résistance mécanique accrue du col implantaire par rapport à des spires profondes qui montent jusqu'aù col.

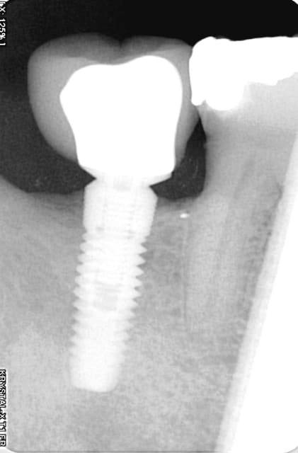
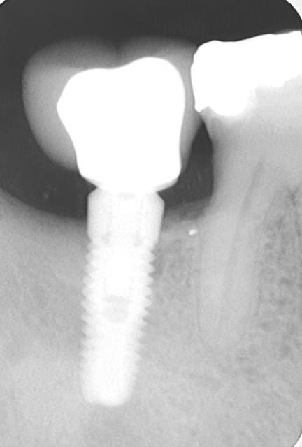
Voici 2 clichés radiologiques qui peuvent paraître surprenants (ici c'est un implant easyimplant à connexion type astra), le premier en juillet 2009 le jour de la pose de la couronne et le deuxième ce mois d'août 2011 (certes vous êtes obligé de me croire, mais ce n'est pas la première fois que j'observe ce phénomène). Ici, le patient procède à un contrôle de plaque parfait.


sinon, marcus, as-tu déjà observé (tout comme on craint les dévissages) des désengagements de moignons sur implant leone ?





Juillet 2009 ay8i4q - Eugenol
25aout2011 r0lwgx - Eugenol

Photo pluton1b h9n4ea - Eugenol
pluton

04/09/2011 à 13h17

drmarcus écrivait:
------------------

> Pourquoi c'est ça qui vous fais peur? Les micro spires, ils vont bien tous finir
> par abandonner! Regardez les vidéos de Zipprich.

ah là, je dirais l'inverse...ils y viennent tous, regardes zimmer avec ses derniers implants, regarde l'axiom qui est un implant récent, tout comme le bioxellent drive,... etc...

me faire peur, non...c'est juste que je veux un implant utilisable dans toutes les situations, sous sinusien inclu...


Logo m4n3gc - Eugenol
drmarcus

04/09/2011 à 13h31

J' ai aussi utilisé Easy implant depuis 1991 je crois, trsè content de bon résultat mais......j'ai arrété surtout qu'en 2004 il critiquait le cone Morse; en 2007 ça devenait le top.....C'est une très très bonne société mais elle ne me correspond pas.
Soyons honnete! Si Leone en est là aujourd'hui c'est grâce à tout ce qui a été fait auparavant; et je ne dis pas que ça ne marche pas. Je dis que c'est plus facile plus cool on revient avec les implants à ce que l'on fait sur dent naturelle, sans se prendre le choux! et ça simplifie énormément la chir en plus.
>
> sinon, marcus, as-tu déjà observé (tout comme on craint les dévissages) des
> désengagements de moignons sur implant leone ?

Oui bien sur à chaque fois que j'ai oublié d'impacter! des descellements aussi comme sur dent naturelle, 3 ans plus tard mais je n'avais pas mis de ciment de scellement Nada rien juste pour savoir si ça pouvait tenir avec seulement une bonne occlusion mais diable de nougatine!

Et oui ça se démonte! j'ai eu à le faire même s'il est vrai que je me posais aussi la question pour savoir si c'était possible. Eh bien c'est mille fois plus cool qu'avec du vissé surtout que je ne fais pas et ne ferai jamais ( encore plus aujourd'hui) du transvissé.

Tiens pour Beotien et ses sinuslifts en imagerie. L'évasement du collet seul crée la stabilité; bon en 2 temps faut pas exagérer qd ^m.

--
"La vis est à l'implant ce que la carie est à la dent!" (Pozzi)

Dsc04822 ajzvxw - Eugenol

Photo pluton1b h9n4ea - Eugenol
pluton

04/09/2011 à 16h22

Dr marcus, je suis totalement d'accord avec toi sur la simplicité prothétique du léone...tu le sais, on en avait longuement parlé ensemble au dernier ADF...;-)
je pense aussi que le "sans vis" est l'avenir de l'implanto...(y a qu'a voir anthogyr avec leur axiom 2,8...)

un truc me chiffonne quand même...comment tu gères pour les MCI sur les dents antérieures?
t'es quasi obligé d'impacter un moignon définitif pour faire ta provisoire...alors, pour la définitive...tu démontes?
comment? ou alors tu impactes très peu? ou encore tu fais une empreinte classique du moignon (bof pour la précision des limites/ au montage total au labo...)?

merci pour ces précisions...;-)


Fresh watermelon 640x562 udulqz - Eugenol
gulguch

04/09/2011 à 16h46

growler écrivait:
-----------------
> Voici 2 clichés radiologiques qui peuvent paraître surprenants (ici c'est un
> implant easyimplant à connexion type astra), le premier en juillet 2009 le jour
> de la pose de la couronne et le deuxième ce mois d'août 2011 (certes vous êtes
> obligé de me croire, mais ce n'est pas la première fois que j'observe ce
> phénomène). Ici, le patient procède à un contrôle de plaque parfait.
>

Et bien moi je te crois tout à fait: l'os a tendance à croitre du fait de la stimulation et cela nous est caché (presque toujours) par l'agression bactérienne chronique, c'est ce que je crois.


Fresh watermelon 640x562 udulqz - Eugenol
gulguch

04/09/2011 à 16h55

drmarcus écrivait:
------------------
> > sinon, marcus, as-tu déjà observé (tout comme on craint les dévissages) des
> > désengagements de moignons sur implant leone ?
>
> Oui bien sur à chaque fois que j'ai oublié d'impacter! des descellements aussi
> comme sur dent naturelle, 3 ans plus tard mais je n'avais pas mis de ciment de
> scellement Nada rien juste pour savoir si ça pouvait tenir avec seulement une
> bonne occlusion mais diable de nougatine!

Faut-il comprendre: pas de ciment entre la couronne et le pilier?

>
> Et oui ça se démonte! j'ai eu à le faire même s'il est vrai que je me posais
> aussi la question pour savoir si c'était possible. Eh bien c'est mille fois plus
> cool qu'avec du vissé surtout que>

Ok mais comment fait on pour démonter. Arrache couronne?


"La vis est à l'implant ce que la carie est à la dent!" (Pozzi)
La vis ou la vertu, il faut choisir, alors.

Encore une chose, sur la radio un "pilier morse" est ++radioopaque. Calcinable/or?


Smile beach jgh0a1 - Eugenol
Céramik

04/09/2011 à 18h50

drmarcus écrivait:
------------------
> Je n'ai rien à dire sur la nouveauté. Toute société travaille sur de futur
> projet et décide ou non de leur lancement.
>
> Bien évidemment Leone a une avance qu'elle entend conserver! Les axes n'en
> parlont même pas! Je me suis quasiment fait insulter en conférence comme sur ce
> forum. Aussi j'ai bien rit quand j'ai lu Carole en 2004. Aujourd'hui tout le
> monde utilise et veut s'approprier le cône inventé par Morse en 1864. Je devrai
> dire parodie ce cône!
>
> Mais une grande marque, comme vous dites, a plublié sur le décalage vestibulo
> palatin et prouvé de l'éfficacité.
> Maintenant il est marrant de voir les concurrents se servir des publications
> Leone pour justifier leur système; là je me régale.
>
> Une précision sur la différence d'enfoncement pour le cône Morse (VRAI) Leone:
> Elle est de 15µm entre essayage et verrouillage. Savez vous de combien est la
> votre en serrant la vis à son couple optimal? Connaissez vous les déformations
> provoqués aux divers éléments? Demandez les à vos fournisseurs, demandez si ils
> ont réalisé ces études, sont ils allé jusqu'au bout du savoir mécanique de leur
> fabrications? AUCUN NE M'A FOURNIT CES ELEMENTS!
> Maintenant savez vous régler une occlusion à 15µm? Etes vous capable de réaliser
> à main levé un tel ajustage?
> Savez vous de combien et "l'espaceur" mis sur vos dies pour la prothèse
> conjointe?
>
> Voilà pour la technique!
>
> Maintenant pour rigoler regrader la rx jointe voilà où j'en suis avec Leone!
> Pour les détails prochaine conf le 13/10, si ça intéresse!
>
>
>
> "La vis est à l'implant ce que la carie est à la dent!" (Pozzi)


Sympa la radio
Tu as combien de recul sur ce cas ?

Tu impactes les 2 pilliers ?? L'axe étant différen, tu fais comment ?
J'aime bien le concept du vrai cone morse et pas de vis, mais j'aime pas la forme de l'impant (pas de vis) et la paroie du col me semble très mince....enfin, cé'est juste une impression sur les radio...











--
Céramik


Logo m4n3gc - Eugenol
drmarcus

04/09/2011 à 19h01

Sorti de ma sieste réponse en ordre inverse:

Céramik écrivait:
-----------------
> drmarcus écrivait:
> > Maintenant pour rigoler regrader la rx jointe voilà où j'en suis avec Leone!
> > Pour les détails prochaine conf le 13/10, si ça intéresse!
> >
> >
> >
> > "La vis est à l'implant ce que la carie est à la dent!" (Pozzi)
>
>
> Sympa la radio
> Tu as combien de recul sur ce cas ?

Trop peu! Il s"agit d'une tentative en accord avec le sujet. Juste un jeu pour le moment mais impossible avec tout autre système et si ça marche......

>
> Tu impactes les 2 pilliers ?? L'axe étant différen, tu fais comment ?
Simple chacun son tour; mais n'ayant pas de vis j'ai pu choisir et je n'ai fais qu'appliquer la mécanique.

> J'aime bien le concept du vrai cone morse et pas de vis, mais j'aime pas la
> forme de l'impant (pas de vis) et la paroie du col me semble très
> mince....enfin, cé'est juste une impression sur les radio...
Vrai et Faux. Avec son fm en place l'implant techniquement devient MONO-CORP.
C'est une question de repartition des forces (de la méca.)

Et oui bien sur pour en arriver là il a été utiliser un Fm pour surcouler étant donné que le fm devait etre monobloc démontable etc il a fallu le concevoir.

Je retourne sur le post car j'ai oublié les autres questions.

A suivre

--
"La vis est à l'implant ce que la carie est à la dent!" (Pozzi)


Logo m4n3gc - Eugenol
drmarcus

04/09/2011 à 19h14

pluton écrivait:
----------------
> Dr marcus, je suis totalement d'accord avec toi sur la simplicité prothétique du
> léone...tu le sais, on en avait longuement parlé ensemble au dernier ADF...;-)
> je pense aussi que le "sans vis" est l'avenir de l'implanto...(y a qu'a voir
> anthogyr avec leur axiom 2,8...)
>
> un truc me chiffonne quand même...comment tu gères pour les MCI sur les dents
> antérieures?
> t'es quasi obligé d'impacter un moignon définitif pour faire ta
> provisoire...alors, pour la définitive...tu démontes?
> comment? ou alors tu impactes très peu? ou encore tu fais une empreinte
> classique du moignon (bof pour la précision des limites/ au montage total au
> labo...)?
>
> merci pour ces précisions...;-)

De rien! et c'est normal!

Pour les MCI c'est très simple:
On a le choix d'utiliser ou non une indexation.
Pour les provisoires je choisit un Fm anatomique avec une indexation 360° soit avec un systeme Cone Morse.
Ainsi je retire la provisoire résine comme sur une dent naturelle et ensuite "j'extraie" le fm:
Avec un davier je tourne le fm qui alors se retire tout seul; comme je retirerai une coiffe de cicat.

Après je reprend la chronologie habituel pour la suite des opérations.
Béotien l'a bien compris. Et pour les frileux il existe des analogues comportant une vis. Ce que je fais pour des bridges complets MCI urgent (CAD sans avoir le tps de faire une planif de ouf!)
Tiens un autre essai..... transformé et réussi mais casus unus casus nullus.
Pour info j'ai tout à fait normalement perdu les 2 implants supports plus un des supports antérieurs. Pas mal pour un All on four versus "Fada" et sans armature métalllique.
Je vous l'ai dit je suis dingue!

:-))))

--
"La vis est à l'implant ce que la carie est à la dent!" (Pozzi)

Pour du wjpi1g - Eugenol

Logo m4n3gc - Eugenol
drmarcus

04/09/2011 à 19h23

gulguch écrivait:
-----------------
> >
> Faut-il comprendre: pas de ciment entre la couronne et le pilier?

Tout à fait! Je ne suis pas le seul à avoir eu cette idée. Elle a été publié avant moi, sur fil dentaire ou dentoscope, je sais plus. C'était très bien expliqué, très bien fait j'en remercie les auteurs. Visiblement ils ne sont pas suffisamment lu ou écouté.


> > Et oui ça se démonte! j'ai eu à le faire même s'il est vrai que je me posais
> > aussi la question pour savoir si c'était possible. Eh bien c'est mille fois
> plus
> > cool qu'avec du vissé surtout que>
>
> Ok mais comment fait on pour démonter. Arrache couronne?

C'est ça. Soit on fait faire une encoche pour le placer (A ne pas oublier chez le proto) sinon on la réalise soi même mais je suis un fainéant contrarié.
Pour la plurale on utilise le fil dentaire parachute ou tout autre système comme pour les dents naturelles.
>

> "La vis est à l'implant ce que la carie est à la dent!" (Pozzi)
> La vis ou la vertu, il faut choisir, alors.
Chacun son opinion et je la respecte.
>
> Encore une chose, sur la radio un "pilier morse" est ++radioopaque.
> Calcinable/or? Calcinable Pardon j'ai répondu sur le post de Céramik je crois.

J'espère ne rien avoir oublié.

--
"La vis est à l'implant ce que la carie est à la dent!" (Pozzi)


Casque beotien a3jo39 - Eugenol
beotien

04/09/2011 à 22h06

drmarcus écrivait:
------------------
> Une précision sur la différence d'enfoncement pour le cône Morse (VRAI) Leone:> Elle est de 15µm entre essayage et verrouillage.

Et moi qui pensait 18µm , çà change tout!


> Maintenant pour rigoler regrader la rx jointe voilà où j'en suis avec Leone! Pour les détails prochaine conf le 13/10, si ça intéresse!

hophophop je t'ai accordé 15minutes tu ne vas pas me faire une conférence!
En plus pour les nonoliens, çà vous intéressera pas, c'est chez moi.

growly vraiment super tes 2 radios

en voila 1 sinus lift avec des leones mais il était facile sur le dernier j'ai utilisé un cap de 1,5 enfoui, on verra la réponse osseuse


Utilisateur banni

19/09/2011 à 20h26


Logo m4n3gc - Eugenol
drmarcus

19/09/2011 à 21h04

posit écrivait:
---------------
>



Bravo ça me plait énormément.

Il me tarde d'avoir un cas!

--
"La vis est à l'implant ce que la carie est à la dent!" (Pozzi)


Img 8465 fqhxid - Eugenol
noahaxeltiger-olivier

19/09/2011 à 21h48

posit écrivait:
---------------
>



le positionnement vertical de UR3 ne vous semble pas poser un probleme pour le futur quand on voit la difference de niveau avec les implants adjacents ?!?!


ladendur

21/09/2011 à 12h08

noahaxeltiger-olivier écrivait:
-------------------------------
> posit écrivait:
> ---------------
> >


>
> le positionnement vertical de UR3 ne vous semble pas poser un probleme pour le
> futur quand on voit la difference de niveau avec les implants adjacents ?!?!

Oui, mais en examinant l’OTP une mise en charge immédiate me semblait impensable, Positdental a une avancé technologique sur Nobelguide ou Matérialise (Expertise, Simplant...)


Casque beotien a3jo39 - Eugenol
beotien

21/09/2011 à 18h12

ladendur écrivait:
------------------
> noahaxeltiger-olivier écrivait:
> -------------------------------
> > le positionnement vertical de UR3 ne vous semble pas poser un probleme pour le
> > futur quand on voit la difference de niveau avec les implants adjacents ?!?!
>
> Oui, mais en examinant l’OTP une mise en charge immédiate me semblait
> impensable, Positdental a une avancé technologique sur Nobelguide ou Matérialise
> (Expertise, Simplant...)

je confirme pour posit,rien à voire avec les systèmes cités

noahaxeltiger-olivier il se trouve que je connais bien le poseur

l'implant en 13 fait 14 mm et le fx moignon à un épaulement de 7mm
Il considère qu'avec l’absence de micros mouvements des implants Leone , il a posé un implant de 21mm et que les 14mm vissés dans l'os vont assurer un bonne stabilité primaire

Qu'en penses tu?


Img 8465 fqhxid - Eugenol
noahaxeltiger-olivier

21/09/2011 à 18h48

Mon point n'est pas sur la longueur des implants qui est bien plus que suffisante. Ma remarque concerne la difference de niveau vertical entre les implants. Les tissus mous n'ont en aucun cas la possibilité de suivre ce décalage, et ce quelquesoit le type de guide utilisé (posit, nobel, michelin ou autre). Cela signifie que le poseur, aussi talentueux soit-il, augmente volontairement le risque de création d'une poche periimplantaire avec ce que cela peut induire.

Vous êtes, certainement encore plus que moi, conscients que l'installation implantaire ne doit pas être guidée seulement d'après le niveau ou volume osseux.

Je me permets juste d'intervenir pour eviter aux cliniciens de futures amères découvertes.


Logo m4n3gc - Eugenol
drmarcus

21/09/2011 à 19h05

noahaxeltiger-olivier écrivait:
-------------------------------
> Mon point n'est pas sur la longueur des implants qui est bien plus que
> suffisante. Ma remarque concerne la difference de niveau vertical entre les
> implants. Les tissus mous n'ont en aucun cas la possibilité de suivre ce
> décalage, et ce quelquesoit le type de guide utilisé (posit, nobel, michelin ou
> autre). Cela signifie que le poseur, aussi talentueux soit-il, augmente
> volontairement le risque de création d'une poche periimplantaire avec ce que
> cela peut induire.
>
> Vous êtes, certainement encore plus que moi, conscients que l'installation
> implantaire ne doit pas être guidée seulement d'après le niveau ou volume
> osseux.
>
> Je me permets juste d'intervenir pour eviter aux cliniciens de futures amères
> découvertes.



Certes je me permet d'intervenir bien que non Professeur. Mais Noah a raison avec tous les autres systèmes. Leone lui le permet car il n'a aucun micro mouvt comme le montre l'ingénieur Zipprich dans ses recherches. Le fx mg qui se monte sur l'implant est lui aussi en titane grade 5 exactement du même matériau que l'implant. Le résultat est l'obtention d'un implant + reconstitution que l'organisme ne saura pas différencier (aucun gap ni galvanisme).
Le niveau gingival se réajuste sans aucune poche. Béotien constatera même à terme sur certains de ces cas une attache.
La seul chose que ce système n'aime pas trop alors que d'autre le refuse complètement (vous serez tous d'accord) c'est le manque de gencive attaché au niveau des 7.

Je le redis Leone permet plus et plus facilement pas de limite d'enfouissement et une prothèse plus facile de fait.

Une autre marque a créé un implant avec cette connectique spécialisé au niveau antérieur justement pour bénéficier de ce principe. N'est ce pas?

--
"La vis est à l'implant ce que la carie est à la dent!" (Pozzi)


Img 8465 fqhxid - Eugenol
noahaxeltiger-olivier

21/09/2011 à 19h17

drmarcus écrivait:
------------------
> Certes je me permet d'intervenir bien que non Professeur.

On est au moins deux alors.

> Je le redis Leone permet plus et plus facilement pas de limite d'enfouissement

Mmmm .....Si tu le dis alors ....


Logo m4n3gc - Eugenol
drmarcus

21/09/2011 à 19h28

noahaxeltiger-olivier écrivait:
-------------------------------
> drmarcus écrivait:
> ------------------
> > Certes je me permet d'intervenir bien que non Professeur.
>
> On est au moins deux alors.
>
> > Je le redis Leone permet plus et plus facilement pas de limite d'enfouissement
>
> Mmmm .....Si tu le dis alors ....

D'accord d'accord

Lien à suivre :

http://www.leone.it/implantologia/exacone/exacone-news/ricerca/show.php?artE=7-3&img=4&id=53

Feuilletez tout le reste cela montre le Made in Italie avec "une autre vision" plus omnipratique pour ne pas dire moins pompeuse.


--
"La vis est à l'implant ce que la carie est à la dent!" (Pozzi)


Casque beotien a3jo39 - Eugenol
beotien

22/09/2011 à 01h15

noahaxeltiger-olivier écrivait:
-------------------------------
> Mon point n'est pas sur la longueur des implants qui est bien plus que
> suffisante. Ma remarque concerne la difference de niveau vertical entre les
> implants. Les tissus mous n'ont en aucun cas la possibilité de suivre ce
> décalage, et ce quelquesoit le type de guide utilisé (posit, nobel, michelin ou
> autre). Cela signifie que le poseur, aussi talentueux soit-il, augmente
> volontairement le risque de création d'une poche periimplantaire avec ce que
> cela peut induire.
>
> Vous êtes, certainement encore plus que moi, conscients que l'installation
> implantaire ne doit pas être guidée seulement d'après le niveau ou volume
> osseux.
>
> Je me permets juste d'intervenir pour eviter aux cliniciens de futures amères
> découvertes.


Regardes mieux la video, l'os va se reformer et il n'y aura pas de poche
Personne n'a dit que c’était sans risque, ni à la portée de tous. C'est une technique pour laquelle les léones sont un plus, point barre.

dis nous donc ce que tu aurais fait pour ce cas, sur quelle durée et en combien d'interventions

pour etre en accord avec toi j'interviens pour signaler aux cliniciens que ce tu montres n'est pas a la portée de tous les bistouris.







Blason dql7mj - Eugenol
growler

22/09/2011 à 09h05

drmarcus écrivait:
------------------
> noahaxeltiger-olivier écrivait:
> -------------------------------
> > drmarcus écrivait:
> > ------------------
> > > Certes je me permet d'intervenir bien que non Professeur.
> >
> > On est au moins deux alors.
> >
> > > Je le redis Leone permet plus et plus facilement pas de limite
> d'enfouissement
> >
> > Mmmm .....Si tu le dis alors ....
>
> D'accord d'accord
>
> Lien à suivre :
>
> http://www.leone.it/implantologia/exacone/exacone-news/ricerca/show.php?artE=7-3&img=4&id=53
>
> Feuilletez tout le reste cela montre le Made in Italie avec "une autre vision"
> plus omnipratique pour ne pas dire moins pompeuse.
>
>
> --
> "La vis est à l'implant ce que la carie est à la dent!" (Pozzi)



à la figure 15, la technique d'aménagement des tissus mous péri-implantaires est inexistante.