Cookie Consent byPrivacyPolicies.comUn cas comme je les aime ! - Eugenol
Images 1 qtgoxf - Eugenol
ciwil

06/07/2011 à 23h41

ingression (faudrait désactiver le correcteur automatique, il n'y connait rien en dentisterie)
;)


1 eugenol dmj5np - Eugenol
Dancha

07/07/2011 à 00h06

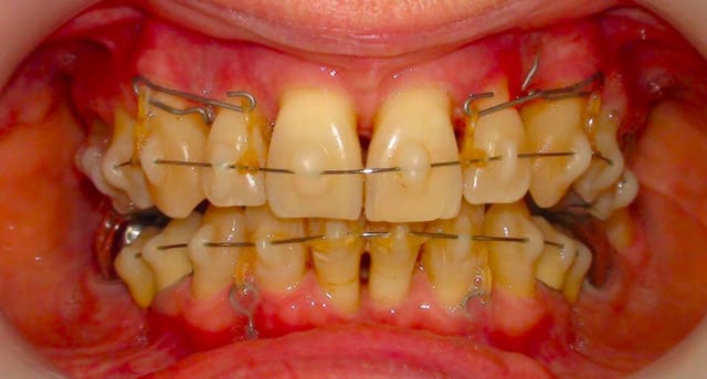
Deux images du dispositif.

Daniel

11808 ct0 avant apr s defazn - Eugenol
11808 image cto govbtx - Eugenol

Fresh watermelon 640x562 udulqz - Eugenol
gulguch

07/07/2011 à 00h08

trop fort!


belette

07/07/2011 à 00h48

Quel ressort !
^ ... ^
Ô"""Ô
= o =


1 eugenol dmj5np - Eugenol
Dancha

07/07/2011 à 00h59

Les vis font 2mm de diamètre sur 5mm de long et sont autoforeuses.

La connectique s'appelle "CTO" dans notre classification. Ici, c'est une "libellule" modifiée.

"Cortical" : application directe sur la corticale.
"TMA" : Titane-Molybdène-Alloy (nature du fil)
"O" : terminaison en forme de "O", à différencier du "8" ou du "8" tunnel.

Plus de détails un peu plus tard, sans doute vendredi.

Daniel


Images 1 qtgoxf - Eugenol
ciwil

07/07/2011 à 01h12

avec quel fil as-tu réalisé tes cintres ?
édit: la réponse est arrivée avant la question ;)


Smile beach jgh0a1 - Eugenol
Céramik

07/07/2011 à 01h21

Dancha écrivait:
----------------
> Deux images du dispositif.
>
> Daniel

Bravo
tu as quoi comme recul clinique sur ce cas ?
--
Céramik


Img 0812 mvp6i0 - Eugenol
jeamba

07/07/2011 à 14h12

Chapeau l'artiste.


takamatika

07/07/2011 à 23h03

Mr Dancha
Ce qui est impressionnant dans ce cas c'est la cohérence ortho-paro
Mais tu as utilisé quand même une mécanique lourde
Tu n'as pas fait d'ingression mais juste une vestibuloversion
J’aurai aimé que tu face une vraie ingression sans vestibuler les dents, car cette vestibuloversion est très récidivante
Tu peux très bien arriver à cette résultat (vestibulo version) en utilisant 4 bagues ,4 mini visses en postérieure comme ancrage indirecte (sans chirurgie) et reverse courbe niti TA 0.12
Très bon travail
Je vois que tu maitrise bien la biomecnique des sectionnels
Merci pour la présentation du cas


RépondreCiter
Fresh watermelon 640x562 udulqz - Eugenol
gulguch

08/07/2011 à 00h40

takamatika écrivait:
--------------------
> Mr Dancha
> Ce qui est impressionnant dans ce cas c'est la cohérence ortho-paro
> Mais tu as utilisé quand même une mécanique lourde
> Tu n'as pas fait d'ingression mais juste une vestibuloversion

??!!?? Mais si c'est ingressé, et mème un max!


Picture1111 zburnd - Eugenol
saidkholoki

08/07/2011 à 00h51

takamatika écrivait:
--------------------
> Mr Dancha
> Ce qui est impressionnant dans ce cas c'est la cohérence ortho-paro Mais tu as utilisé quand même une mécanique lourde

Je ne vois vraiement de mécanique lourde mais plutot un systeme d'ancrage osseux avec des sectionnels en TMA super longs pour des forces hyper legeres.

>Tu n'as pas fait d'ingression mais juste une vestibuloversion J’aurai aimé que tu face une vraie ingression sans vestibuler les dents, car cette vestibuloversion est très récidivante

Un mouvement de version coronovestibulaire, avec la couronne qui monte, doit s'accompagner par un mouvement de racine qui part en arriere et vers le bas. De plus le changement d'axe dentaire doit donner sur le pano un raccourcicement de la dent et un eloignement de l'apex du plancher des fosses nasales. Les radios panoramiques montrent exactement le contraire!! On voit bien que l'image d'apex des incisives et des canines se rapprochent du plancher des fosses nasales malgré le changement d'axe, ce qui prouvent qu'une super ingression s'est produite reelement en plus d'une version corono-vestibulaire.

> Merci pour la présentation du cas

Je dirai autant, merci Daniel.


--
A suivre...
Said


takamatika

08/07/2011 à 13h12

Mr Said
Merci bien pour tes explications.
Très scientifique.


RépondreCiter
rerou1313

08/07/2011 à 15h46

là je vois bien des petits signes de parodontite, alors ça serait risqué d entamer un traitement ODF!!!! ===== mobilité dentaire augmentée ==== chute massive des dents!!!!


RépondreCiter
Images 1 qtgoxf - Eugenol
ciwil

08/07/2011 à 15h59

'tain ya le virus lol ka décidé de contaminer la rubrique
yo!


takamatika

08/07/2011 à 19h22

Mr Said
Tu es d'accord avec moi pour l'augmentation du recouvrement antérieure qui est camouflé par la vestibuloversion des incisives inférieure??
Est ce qu’il ne fallait pas modifier quelque chose pour avoir le centre de rotation des incisives supérieures autour du bord libre??
La même chose sur les incisives inférieures,avoir une pure ingression??
Parce que l'utilisation des minis vis va avec le perfectionnement du mouvement souhaité!!!
Pour moi tu représente le Cisco sur eugénol, vos réponses sont très scientifiques


1 eugenol dmj5np - Eugenol
Dancha

08/07/2011 à 21h29

Céramik écrivait:
-----------------
> tu as quoi comme recul clinique sur ce cas ?

C’est un cas récent, mais je suis confiant pour la suite. J’ai déjà traité pas mal de cas extrêmes et commence à avoir pas mal d’expérience en la matière. L’avenir de celui-ci ne m’inquiète pas outre mesure.

Sachez qu'un article de fond très documenté sur l’utilisation des vis corticales courtes en orthodontie va paraître en septembre dans « l’Orthodontie Française » (publication de la Société Française d’Orthopédie Dento-Faciale indexée à Medline et référencée à l’Index Medicus), écrit par mes deux excellents associés (le premier est orthodontiste, la seconde est chirurgien oral, elle vient de nous rejoindre cet hiver).

Et si vous voulez en savoir plus et pouvoir mettre ça en pratique, sachez aussi que nous faisons, mon associé orthodontiste et moi, le jeudi 24 Novembre prochain à Paris un cours d’une journée complète (conférences le matin, TP l’après-midi) à la demande de la SFODF pour son programme de formation continue de 2011. Renseignements à la Société Française d’ODF.


takamatika écrivait:
--------------------
> ,4 mini visses en postérieure comme ancrage indirecte (sans chirurgie)
Comment fais-tu pour placer 4 minivis dans chirurgie ?

Pour placer des vis corticales courtes en fond de vestibule, la technique est très simple, sans risque, sans points de suture et quasiment sans suites opératoires.

Voici, pour illustrer, le petit film que j’avais présenté lors d’une communication sur le sujet au congrès mondial en 2005 et qui est maintenant sur l'excellent site de notre ami Flaggada (eorthodontie.fr). Tout y est, ou presque. J’avais utilisé là un « CLO » (Cortical Ligature, terminaison en forme de O).
http://www.orthodontie-fr.com/modules/x_movie/x_movie_view.php?cid=3&lid=5

Daniel


takamatika

08/07/2011 à 21h42

Mr Dancha
> > ,4 mini visses en postérieure comme ancrage indirecte (sans chirurgie)
> Comment fais-tu pour placer 4 minivis dans chirurgie ?
>
Je parlais des minis vis classiques, entre les prémolaires, solidarisés avec les dents (ligaturées en 8) comme ancrage indirecte, et une mécanique d'ingression comme faisait Burston


Picture1111 zburnd - Eugenol
saidkholoki

08/07/2011 à 23h34

takamatika écrivait:
--------------------
> Mr Said
> Tu es d'accord avec moi pour l'augmentation du recouvrement antérieure qui est camouflé par la vestibuloversion des incisives inférieure??

Tu veux dire la diminution du recouvrement, dans ce cas et par principe biomecanique: toute version coronovestibulaire incisive s'accompagne par une ingression relative. Donc ici nous avons la correlation de plusieurs facteurs: ingression relative due à la version, une vraie ingression incisive et peut-etre une egression des secteurs lateraux comme mouvement parasite à l'usage de l'arc continu dans un cas de supra incisive. Il est tres difficile de determiner la part de chaque element. Mais je suis certain que l'ingression incisive vraie est le facteur le plus important dans ce mouvement.

> Est ce qu’il ne fallait pas modifier quelque chose pour avoir le centre de rotation des incisives supérieures autour du bord libre??

Si le mouvement se fait autour d'un centre de rotation qui se trouve au niveau du bord libre on empeche la mandibule de profiter d'un repositionnement anterieur ce qui prive les ATM de se liberer d'une compression posterieure intracapsulaire. La compression sagittale distale intra articulaire est tres frequente dans les cas de classe II2. La version vestibulaire libere la mandibule et permet aux ATM de profiter d'un deverrouillage mecanique extremement favorable.

> La même chose sur les incisives inférieures,avoir une pure ingression??

L'ingression pure au niveau des incisives inf est peut etre moins visible que sur les incisives sup, mais il ne faut oublier que la supra incisive inf etait moins importante aussi, il suffit de regarder le pano pour voir que le fil utilisé à l'arcade inferieure est mois deformé dans le plan vertical qu'à l'arcade maxillaire.

> Parce que l'utilisation des minis vis va avec le perfectionnement du mouvement souhaité!!!

Quand c'est utilisé par un expert comme Dancha, la reponse est oui.

> Pour moi tu représente le Cisco sur eugénol, vos réponses sont très scientifiques

Je ne presente que moi-meme, et si je dis des betises il ne faut penaliser le cisco à cause de cela. Le cisco est une equipe et moi je fais partie de cette equipe mais mon raisonnement scientifique et rigoureux est toujours omnipresent la-bas comme sur le forum. Merci pour tes compliments.


--
A suivre...
Said


takamatika

09/07/2011 à 12h29

Mr Said
Oui, tu représente toi même mais les réponses scientifiques que tu nous donnes font surement partie des trucs et des cours qu'enseigne le Cisco
Si j'aurai l'occasion je ferais les cours de Cisco
Merci de ta collaboration


RépondreCiter
takamatika

09/07/2011 à 12h33

Mr Daniel
J’aimerai bien que tu nous précise la quantité de force qui délivré au groupe incisivo-canin pour arriver à cette bonne résultat ainsi que les difficulés au cours de traitement
Merci d'avance


RépondreCiter
Fresh watermelon 640x562 udulqz - Eugenol
gulguch

09/07/2011 à 15h47

Pour en revenir au sujet, Dancha, si j'ai bien compris (suis pas ortho) la traction des papillons du haut provoque une ingression et une vestibuloversion simultanée.
Ma question est, comment tu peux obtenir la bonne proportion entre les deux à coup sur comme dans ce cas?


1 p3qrc4 - Eugenol
Bjc.

09/07/2011 à 17h11

Tes potences sont rentrées dans la gencive
Comme il y a très peu d’os, ce n’est pas grave!

Mais comment fais-tu quand il y a un peu plus d’os ?

@+ Bjc.


RépondreCiter
Ylfwcw979cz1jnx9gfqeaxndiuzk - Eugenol
Algi

12/07/2011 à 17h51


Ce mec est vraiment extraordinaire, ses patients et ses correspondants ont beaucoup de chance, il est sans doute trés occupé et n'a rien à prouver mais il prend quand même le temps de s'abaiser à nous montrer des choses, à nous minuscules scarabées, sur eugenol et certains se permettent de râler et de mettre en doute! Prosternez vous vermisseaux!

Pour attenuer ce sévère jugement sur ces confrères de peu de foi j'avoue qu'il est néanmoins bel et bon de rester critiques et de ne pas croire n'importe quoi de n'importe qui mais là c'est "Le" Dancha, merde!

Merci Daniel et bravo.
--
"On a toujours le choix! Mais entre quoi et quoi?
Vas-y boulégue et l'avenir te le dira!"


1 eugenol dmj5np - Eugenol
Dancha

13/07/2011 à 19h58

takamatika écrivait:
--------------------
> J’aimerai bien que tu nous précise la quantité de force qui délivré au groupe
> incisivo-canin

Mesuré au NNS on arrive à environ 25 g (mon NNS à moi n’est pas assez précis pour mesurer au gramme près).

gulguch écrivait:
-----------------
> traction des papillons du haut provoque une ingression et une vestibuloversion
> simultanée.
> Ma question est, comment tu peux obtenir la bonne proportion entre les deux à
> coup sur comme dans ce cas?

C’est une excellente question !
En fait, quand on regarde les radios de profil avant et après, on constate que l’ingression des incisives s’est accompagné également d’un recul des apex en palatin. Ceci peut paraître étonnant car le fil était rond et quand on veut faire du torque on utilise un fil de section carrée ou rectangulaire.
Comment expliquer ce résultat ?
Personnellement, je pense que c’est dû à la conjonction de deux éléments :
1 - l’utilisation des attaches minimalistes « danchimon » ( cf l'article de l’Orthodontie Française de septembre 2009 ), les seules qui permettent aux dents de se mouvoir en toute liberté dans la direction souhaitée grâce à un glissement incomparable du fil dans leur lumière et une étroitesse qui ne génère pas de mouvements parasites latéraux aux apex comme toutes les autres attaches actuellement sur le marché, autoligaturants style « Damon » compris (voir l’effet d’un fil avec les deux types d’attaches sur le schéma du bas de la première des photos ci-jointes. Il n’aurait pas été possible de rentrer cette 22 sortie de l’os autrement qu’avec des danchimons car il était nécessaire que l’incisive retrouve elle-même son alvéole - Notez que « danchimon » est désormais le nom officiel de ces attaches, on ne parle plus de « danchamon » en dehors d'eugenol..).
2 - La pression musculaire de l’orbiculaire des lèvres au niveau sous-nasal, avec ses imbrications avec le transverse du nez qui forment un couloir musculaire efficace que va suivre les apex.

Bjc. écrivait:
--------------
> Tes potences sont rentrées dans la gencive
> Comme il y a très peu d’os, ce n’est pas grave!
>

Non seulement « ce n’est pas grave », mais c’est voulu, quelque soit l’épaisseur osseuse. C’est même ce qui permet aux ailes des « libellules » de ne pas, elles, s’enfouir.

Daniel

Danchimons1 xgwvfb - Eugenol
Danchimons2 vs4fwy - Eugenol
Danchimons3 cutndt - Eugenol

takamatika

14/07/2011 à 22h25

Mr Daniel
Pour ton cas, tes objectifs était l'ingression du secteur incisivo-canin supérieure et des incisives inférieures ainsi que la stabilité des secteurs latéraux, n’est ce pas?


RépondreCiter