Cookie Consent byPrivacyPolicies.comdéchirement membrane de Schneider dans les sinus lift - Eugenol

déchirement membrane de Schneider dans les sinus lift

Dent masqu e petite f0pbaj - Eugenol
dudule

04/07/2011 à 01h30

http://www.bizoo.ro/usermedia/downloads/sale_specs/50356_1265621054.pdf

Pour le principe que tout le monde connait.
Je pense que ce n'est pas nécessairement plus compliqué et beaucoup plus prédictible.


Smile beach jgh0a1 - Eugenol
Céramik

04/07/2011 à 02h56

dudule écrivait:
----------------
> http://www.bizoo.ro/usermedia/downloads/sale_specs/50356_1265621054.pdf
>
> Pour le principe que tout le monde connait.
> Je pense que ce n'est pas nécessairement plus compliqué et beaucoup plus
> prédictible.

Merci, jamais vu.
Combien le truc ?



--
Céramik


Avatar ow44t3 - Eugenol
Chicot

04/07/2011 à 10h36

Oui Dudule ça a l'air pas mal "ton" truc

Combien la plaquette ?

Il serait bon d'en avoir toujour une à porté de main au cas ou

--
;O)


Toriko ucqp9i - Eugenol
Giantcoco

04/07/2011 à 13h22

c'est joli sur le papier mais comment empecher les fuites en mesial et distal de la poudre de perlimpimpim?
sinon chez biotech ils font du cross bone avec du collagene ça donne un bloc de mousse facile a mettre en place et ça se tient bien.


Logocolornotext kiwlk1 - Eugenol
Clio

04/07/2011 à 15h30

dentiste57 écrivait:
--------------------
> Oups!... les photos.

salut Thomas,
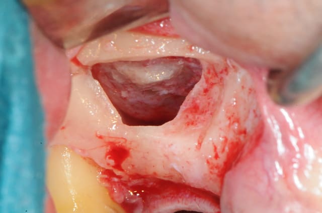
avant de donner les différentes solutions au problème d'une "grosse" déchirure il est peut être interressant de voir comment éviter, qd c'est possible, d'arriver à une déchirure importante.
1) au moment où survient la déchirure, appliquer une petite rondelle ( à peine plus grosse que la dite déchirure)de membrane (moi je prends du collatape) où du prf si t'es un fan. Cela fait une sorte de rustine qui contient cette déchirure.
2) augmenter le diamètre de la fenêtre osseuse en distal ( dans ton cas) de la déchirure et recommencer le décollement plus à distance de la perforation. Si tu persiste à vouloir décoller au niveau de la perforation, c'est je pense ce que tu as fait, tu ne fait qu'agraver le problème.
amitiés
sylvain


bob membrane

04/07/2011 à 17h29

Je suis du même avis que Giantcoco, si la mbrane a déchiré sévère, rien ne garantit d'éventuelles fuites du biomat en més. et dist. du faux plafond, sauf à mettre une poche de Loma en plus.


davemarss

05/07/2011 à 12h24

C'est pas au contact mais ça marche nickel.
PS : comment tu es sûr d'être au contact de la paroi la plus médiane et quelle membrane utilise-tu ?


davemarss

05/07/2011 à 12h26

D'autre part j'ai entendu que certaines personnes réalisaient leur sinus lift en 30mn tout compris en perforant systématiquement et délibérément et en utilisant la chaussette.
Votre avis ?


3f3boxni50k58rq7e9ce9ddqrxgk - Eugenol
dentiste57

05/07/2011 à 14h51

ici j'ai utilisé une membrane evolution 30*30 de chez de pred.

pour ceux qui perforent délibérément, c'est parce que ceux sont des grosses feignasses. ça ne me semnle pas très malin de vouloir faire la course. qu'on aille vite c'est bien, mais c'est pas l'objectif.


Img 0812 mvp6i0 - Eugenol
jeamba

05/07/2011 à 16h17

Je remarque que tu changes régulièrement de membranes, qu'est ce qui explique ces changements.


3f3boxni50k58rq7e9ce9ddqrxgk - Eugenol
dentiste57

05/07/2011 à 17h31

ici, il me fallait une grande membrane et les collagen AT me semblaient trop petites pour ce type d'intervention.
il faut quand même que ça dépasse de la fenêtre...


Cinquo ht16g4 - Eugenol
dentistevip

05/07/2011 à 17h32

Pour ce qui est de la chaussette, si l'épaisseur de la paroi médiale du sinus le permet, il est possible de punaiser la membrane contre cette paroi et de ne pas être alors obligé de l'étendre dans le bas fond. Mais tout dépend bien entendu de l'étendue mésio-distale de la dite perforation.

bien à vous tous
et un petit bonjour de Victoria (Seychelles)


3f3boxni50k58rq7e9ce9ddqrxgk - Eugenol
dentiste57

05/07/2011 à 17h33

dentistevip écrivait:
---------------------

> et un petit bonjour de Victoria (Seychelles)
>
faux frère...


41467 100000418256397 4215 n ypxyho - Eugenol
starsky55

08/07/2011 à 15h19

oh zut, j'aurais bien aimé voir ça tom....biz de rach.


3f3boxni50k58rq7e9ce9ddqrxgk - Eugenol
dentiste57

13/07/2011 à 01h39

ça fait du bien de se réconcilier avec des sinus sans problèmes!
demain c'est ma dernière intervention avant les vacances. je stop la chir 8 à 10 jours avant mon départ...histoire de partir tranquille...

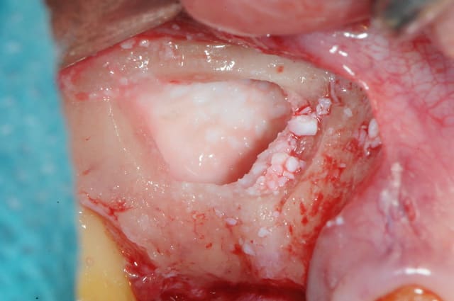
en attendant voici un des deux sinus de ce matin.
MP3 ( chez Pred) en comblement et ROG avec membrane et pins pour palier la forte concavité vestibulaire.

ps: je mets ces photos surtout parce que c'est rigolo de demander au patient de faire bouger sa membrane sinusienne...

au fait si vous savez où se procurer une caméra type fibroscope ...

Dsc 2943 sienlr - Eugenol
Dsc 2947 ddp14p - Eugenol
Dsc 2949 ixmwgu - Eugenol
Dsc 2951 oqslkp - Eugenol
Dsc 2952 pxudl5 - Eugenol
Dsc 2953 fxzikd - Eugenol
Dsc 2955 nc8mk9 - Eugenol
Dsc 2956 etyslr - Eugenol
Dsc 2959 qm9i5j - Eugenol
Dsc 2963 wuglbq - Eugenol
Dsc 2965 b33gvs - Eugenol

Avatar ow44t3 - Eugenol
Chicot

13/07/2011 à 10h22

Encore de bien belles images !

Tes traits d'incisions muqueux sont très proches de ta cavité d'accès, n'as tu pas peur de perdre en étanchéité ?

Surtout avec le biomat et la membrane. J'aime faire des lambeaux plus large pour assurer une couverture plus large de la fenêtre. Mais j'ai p'être tord


ps: pour le coup de fil de l'autre jour, sorry fausse manip ( un copain confrère homonyme )

--
;O)


3f3boxni50k58rq7e9ce9ddqrxgk - Eugenol
dentiste57

14/07/2011 à 01h54

si mais la ROG n'était pas initialement prévue.
je l'ai décidé en cours d'intervention car la dépression osseuse méritait bien une petite augmentation de volume histoire de poser un implant avec un peu plus de nonos autour.


12