Cookie Consent byPrivacyPolicies.comProblème hybridation inlay/onlay - Eugenol

Problème hybridation inlay/onlay

003 penrd2 - Eugenol
Cingulum

02/08/2011 à 13h01

IDS ok pour améliorer les valeurs d'adhésions sur la dentine. Mais quid de la provisoire. Pour un onlay on s'en sort, mais une facette provisoire résine, sur une couche IDS on la fait tenir avec quoi ?
Je m'en vais poser la question à P.Magne.

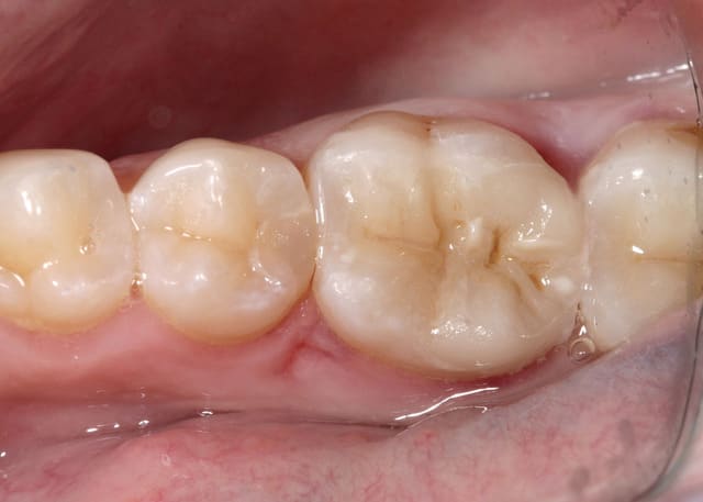
Un onlay emax de ce matin... ;)



--
Dr Cingulum
-----Ancien interné----
----Attaché à l'apex----
www.clinic-all.fr formation par passion

Img 9971 cf6q2o - Eugenol
Img 9975 xvsl2x - Eugenol
Img 9972 njkwkc - Eugenol
Img 9973 tfctmo - Eugenol
Img 9979 p5emct - Eugenol

Marque a3 orange fyvhyq - Eugenol
Marc Apap

02/08/2011 à 13h54

C'est vrai ça : Pascal, magne-toi de nous donner une réponse !


Dent masqu e petite f0pbaj - Eugenol
dudule

02/08/2011 à 14h08

.


RépondreCiter
Dent masqu e petite f0pbaj - Eugenol
dudule

02/08/2011 à 14h08

Je vais décrire ma technique et sa raison au risque de me faire taper dessus. ;+)

Pour éviter les sensibilités et l'agression de la pulpe pendant la temporisation, je mordance uniquement la dentine après avoir réalisé ma taille avec un SAM2 puis je mets un peu de compo flow puis je retaille légèrement l'émail pour être sur qu'il n'y ait pas de "souillure" et je prends l'empreinte qui ne pose aucun problème avec silicone.
Le jour de la pose je mordance l'intégralité de la cavité en total etch et je fais un collage Variolink II et technique dual.

Depuis que je fais ça, je me sens plus à l'aise en terme de risque de sensibilité et de contamination post op de la dentine et je me dis que de toute façon la majorité du collage va se faire sur l'émail périphérique et compo sur compo.

je fais cette technique justement parce que je trouve que le truc fou de sécher sans assécher a dû être inventé par un ingénieur pervers et que je ne trouve pas cela reproductible du tout en fonction de l'opérateur (et vu que je suis une quiche...)


king_zoulou

02/08/2011 à 15h20

TiGabi écrivait:
----------------
> Super. Merci beaucoup Marc pour toutes ces précisions.
>
> J'ai rappelé mon prothé : il m'a dit qu'il peut faire lui même le mordançage et
> la silanisation. 150 euros pour un onlay e-max. +20 euros si stratification
> esthétique par dessus.
> Je pense proposer l'onlay à 378 euros.

x2,5 me semble un peu maigre (surtout au vu des autres sujets que tu postes dans lesquels tu réalises des trucs admirables à perte)
Vise le x3, quitte à proposer deux types d'onlay sur tes devis (voir trois avec "l'onlay fabrication chinoise")


Björn

02/08/2011 à 15h38

dudule écrivait:
----------------
> Je vais décrire ma technique et sa raison au risque de me faire taper dessus.
> ;+)
>
> Pour éviter les sensibilités et l'agression de la pulpe pendant la
> temporisation, je mordance uniquement la dentine après avoir réalisé ma taille
> avec un SAM2 puis je mets un peu de compo flow puis je retaille légèrement
> l'émail pour être sur qu'il n'y ait pas de "souillure" et je prends l'empreinte
> qui ne pose aucun problème avec silicone.
> Le jour de la pose je mordance l'intégralité de la cavité en total etch et je
> fais un collage Variolink II et technique dual.
>
> Depuis que je fais ça, je me sens plus à l'aise en terme de risque de
> sensibilité et de contamination post op de la dentine et je me dis que de toute
> façon la majorité du collage va se faire sur l'émail périphérique et compo sur
> compo.
>
> je fais cette technique justement parce que je trouve que le truc fou de sécher
> sans assécher a dû être inventé par un ingénieur pervers et que je ne trouve pas
> cela reproductible du tout en fonction de l'opérateur (et vu que je suis une
> quiche...)


T'aurais pas oublié les droits d'auteur, là? :-)


Dent masqu e petite f0pbaj - Eugenol
dudule

02/08/2011 à 16h04

Björn écrivait:
---------------

> T'aurais pas oublié les droits d'auteur, là? :-)

Si mais j'attendais que t'interviennes pour dire que tu étais mon gourou du collage. ;+)


Dent masqu e petite f0pbaj - Eugenol
dudule

02/08/2011 à 16h17

Cingulum écrivait:
------------------
> IDS ok pour améliorer les valeurs d'adhésions sur la dentine. Mais quid de la
> provisoire. Pour un onlay on s'en sort, mais une facette provisoire résine, sur
> une couche IDS on la fait tenir avec quoi ?
> Je m'en vais poser la question à P.Magne.

Il me semble que l'IDS est inutile pour les facettes, vu qu'aujourd'hui les tailles pour facettes se font principalement dans l'émail.
Pas de dentine, pas d'IDS par définition, non ?

D'ailleurs perso pour les ant., je fais pas de SAM2, je fais du total etch


Gbazylo1 fvg1vg - Eugenol
Aron

02/08/2011 à 16h18

king_zoulou écrivait:
---------------------

> x2,5 me semble un peu maigre (surtout au vu des autres sujets que tu postes dans
> lesquels tu réalises des trucs admirables à perte)
> Vise le x3, quitte à proposer deux types d'onlay sur tes devis (voir trois avec
> "l'onlay fabrication chinoise")

Je ne comprendrai décidément jamais cette manière de calculer...

Pour moi, je fixe un taux horaire (150E de l'heure pour de la prothèse) et je dois obtenir ceci après prothèse, donc peu importe les * 1 ou *10, ça fait commerçant.

Ici je mets 45 mn pour la prep /empreinte (à peu près le même protocole que Dudule pardon bjorn pardon keyzer pardon ...) et 45 mn pour la pose, donc 1h30 *150 =225 + 120 E pour un inlay ceram = 345.

Voilà


Dent masqu e petite f0pbaj - Eugenol
dudule

02/08/2011 à 16h22

Aron écrivait:
> Je ne comprendrai décidément jamais cette manière de calculer...
>
> Pour moi, je fixe un taux horaire (150E de l'heure pour de la prothèse) et je
> dois obtenir ceci après prothèse, donc peu importe les * 1 ou *10, ça fait
> commerçant.
>
> Ici je mets 45 mn pour la prep /empreinte (à peu près le même protocole que
> Dudule pardon bjorn pardon keyzer pardon ...) et 45 mn pour la pose, donc 1h30
> *150 =225 + 120 E pour un inlay ceram = 345.
>
> Voilà


C'est tellement vrai +1.
Mais il m'arrive de sortir ma grosse calculatrice et de proposer au patient un petit 15% si il me signe le devis immédiatement, vu que j'ai une livraison pour bientot et qu'on va économiser les frais de livraison.
Ah non pardon, ça c'est quand je vends un canapé en cuir


clementbtz

02/08/2011 à 20h50

Si t'as fait de l'IDS , pour les facettes provisoires , met de la glycérine sur tes préparations , puis automoulage.

Tu enleve le tout , glaçage , etc.. , etc... , puis tu scelles au Temp Bond Clear .

Pour les onlays , je badigeonne la prération avec une microbrusch enduite de glycérine puis Fermit .

PS : Je conseille à tous le bouquin de Magne et Belser : Restaurations adhésives en céramique chez Quintessence International .
Toutes les réponses à vos questions sont là !! A lire sur la plage pendant les vacances !!!