Cookie Consent byPrivacyPolicies.comDilemne conservation ou avulsion des 6 - Eugenol

Dilemne conservation ou avulsion des 6

Avatar hjdsnm - Eugenol
TiGabi

30/07/2011 à 23h14

Cingulum écrivait:
------------------
> Oui....

Il faut que je me mette rapidement à en faire... Je ne suis pas satisfait de ces coiffes préformées qui ne permettent pas de faire des points de contacts corrects ou de régler une occlusion.

Je n'ai fait qu'un seul onlay en formation initiale : je ne connais que la théorie.
Dans le cas ci-dessus, sur la 2ème photo, comment mettre la cavité de dépouille ? En délabrant plus à la fraise ? En comblant avec ?
Quel système de collage simple me conseillez-vous d'acheter ?

Merci.


guimauve

18/08/2011 à 01h58

Bonjour,

Merci Tigabi pour la présentation de tes cas intéressants et bien documentés.

Concernant la conservation des 6 fortement délabrées, mon point de vue a évolué avec mon expérience de quelques 15 années de pratique.

Au début, je pensais que je devais sauver ces dents..., si je ne restaurais pas chez un enfant, oui les 6, l'occlusion ..., je pensais mal agir.

Puis après quelques temps, je me suis apperçue que cela ressemblait plus à de l'acharnement thérapeutique :(
et que ceci aboutissait plus à dégouter les enfants des soins dentaires qu'autre chose.

Par ailleurs une 6 est rarement la seule cariée dans une bouche.
Suite à plusieurs séances longues, pas toujours satisfaisantes, pour moi même, l'enfant et ses parents, l'enfant ne revenait plus pour un bon moment, la maladie carieuse continuait à évoluer, etc etc et vous connaissez tous la suite.

En discutant de la mésialisation des 7 avec plusieurs ortho, j'ai eu des avis très divergeants:
oui c'est possible et long,
oui, on peut le faire à moitié et mettre un implant de prémolaire,
non ce n'est pas possible, on maintient l'espace et on fera un implant,
non ce n'est pas possible, il faut conserver les 6.


Sauf que la conservation des 6, ce n'est pas l'ortho qui la fait, c'est moi :).

Et c'est le patient/ ses parents qui décident du traitement.

Alors, j'explique tout tout et tout, et si je ne pense pas pouvoir faire correctement un traitement d'apexification sur une 6 je le dis aussi.

En d'autres termes, un traitement d'apexification sur une 6 est exceptionnel,
il faut réunir:
-coopération excellente de l'enfant au fauteuil pour plusieurs séances longues
-hygiène buccodentaire parfaite
-coopération des parents pour les rendez-vous (travail des parents/temps scolaire)
-coopération financière des parents
-acceptation de l'échec possible du traitement.

Alors je propose plus facilement et sans aucune culpabilité ou autre sentiment négatif, l'extraction de la, ou des, 6 sous anesthésie générale ou locale, et je fais les soins plus simple au fauteuil.

Et j'ai l'impression de faire "pomme z".

L'enfant à certes une 6 ou 2 ou 3 en moins, mais tout est en ordre dans sa bouche, et son rapport à notre monde est apaisé.

Ce qui est satisfaisant pour moi même, l'enfant et ses parents.

Bonne soirée.



Avatar hjdsnm - Eugenol
TiGabi

18/08/2011 à 02h35

Merci Guimauve pour ton avis intéressant à lire.


jazz

18/08/2011 à 21h03

Bonsoir,

Je suis assez de l'avis de Guimauve avec encore qq années de pratique en plus (en pédo exclusive).
Mais cela tu le sais Tigabi pour en avoir déjà discuté ensemble


Lily

28/08/2011 à 23h18

Très simplement, quand je me pose la question de la conservation, j'adresse l'enfant à un ODF avec une lettre, et c'est lui ou elle qui m'indique la marche à suivre. Souvent c'est extraction.


RépondreCiter
marco17

02/09/2011 à 14h22

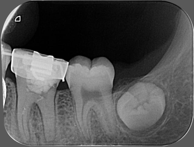
patiente 14 ans 36 cariée pendant le traitement ODF,

Donc dans ce cas là vous me conseillez plutot l'exo ?




01028 x 2011 09 02 11 48 03 4 ae6uau - Eugenol

sisterofmercy

02/09/2011 à 15h33

euh, au début de l'ODF, tu sais comment la dent était?
le traitement est toujours en cours?

--
je plie et ne romps pas.


marco17

02/09/2011 à 17h20

Radio prise ce matin, traitement toujours en cours,
Première fois que je vois la patiente


sisterofmercy

02/09/2011 à 23h25

à ta place, j'aurais une folle envie de demander à l'ortho de déposer le traitement multiattache pour faire le retraitement si la dent n'est pas extrêmement délabrée. Après la seule fois où j'ai fait ça, l'ortho a refusé, le jeune patient a préféré changer de dentiste et a eu depuis pas mal de rdv loupés tant chez l'otho que chez la dentiste. en arriver là à 14 ans ce n'est pas anodin, je suis désolée, je n'ai rien de très satisfaisant à écrire...
--
je plie et ne romps pas.


prémol

02/09/2011 à 23h48

J'en ai pârlé à mon ortho justement hier, et pour lui, c'est du gâteau de ramener les 7-8 à la place de 6-7, mais à condition de le faire assez tôt : avant 13 ans si possible. Donc e gros, si on pense ne pas pouvoir conserver les 6 dans des bonnes conditions, selon lui, il vaut mieux extraire...

En même temps, j'ai des couronnes sur mes 6 depuis mes 15 ans (eh oui, c'était ma période bonbec/bonne haleine!), j'ai dû avoir mes ttt endo vers 12-13 ans, puis je me suis mise à brosser....mes dents sont toujours là 20 ans plus tard, et je remercie les dentistes qui y ont cru!


Dilemme!


Lily

03/09/2011 à 11h04

Mais as-tu toujours tes 8?
On extrait souvent au cours d'un traitement ODF. Alors plutôt que d'enlever quatre prémo saines, ou quatre sagesses (nombre d'ortho me le demandent encore de manière préventive...), je préfère enlever quatre dents délabrées.


1 p3qrc4 - Eugenol
Bjc.

04/09/2011 à 15h51

Voici les Rx. des ATM. d’une patiente de 16 ans, qui a eu un traitement de 3 semestres avec extraction des 4 P.M. à l’âge de 13 ans.

Je ne fais plus de TTT. avec extraction de P.M. depuis 12 ans

Et si je dois extraire des 6, c’est entre 6 et 8 ans
Pour les plus âgés, je traite (en ODF.) en gardant les 6 comme mainteneur d’espace, dans la perspective d’implants à l’âge adulte

@+ Bjc.

Mou  k 02092011 165516 izalri - Eugenol

sisterofmercy

04/09/2011 à 18h05

ça veut dire garder les 6 avec un traitement de racine et un CVI?

--
je plie et ne romps pas.


1 p3qrc4 - Eugenol
Bjc.

05/09/2011 à 02h46

"""ça veut dire garder les 6 avec un traitement de racine et un CVI?"""

OUI,

et dans le pire des cas, traiter en ODF avec un mainteneur d'espace pour un futur implant

@+ Bjc.


1 p3qrc4 - Eugenol
Bjc.

05/09/2011 à 02h46

"""ça veut dire garder les 6 avec un traitement de racine et un CVI?"""

OUI,

et dans le pire des cas, traiter en ODF avec un mainteneur d'espace pour un futur implant

@+ Bjc.


1 eugenol dmj5np - Eugenol
Dancha

06/09/2011 à 21h29

Bjc. écrivait:
--------------
>..
> Et si je dois extraire des 6, c’est entre 6 et 8 ans
> Pour les plus âgés, je traite (en ODF.) en gardant les 6 comme mainteneur
> d’espace, dans la perspective d’implants à l’âge adulte
>

Je ne suis pas d'accord. Lorsqu'on voit arriver pour un traitement ODF un jeune de 12 ou 14 ans avec une première molaire condamnée à moyen terme, je pense qu'il vaut mieux (sauf rare exception) l'extraire et mésialer la seconde molaire à sa place. On a aujourd'hui suffisamment de moyens techniques pour le faire et éviter au patient une prothèse.

Daniel


1 p3qrc4 - Eugenol
Bjc.

07/09/2011 à 01h42

Bien sur on sait faire,

on sait mettre une 7 à la place d’une 6,
on sait mettre une 3 à la place d’une 2,
on sait transplanter une 8 à la place d’une 6

C’est de l’orthodontie

Le Pb. n’est pas d’éviter au patient une prothèse, mais de lui éviter des Pb. d’occlusion

C’est de l’orthopédie dento-faciale

@+ Bjc.


RépondreCiter
1 p3qrc4 - Eugenol
Bjc.

07/09/2011 à 01h42

...


Picture1111 zburnd - Eugenol
saidkholoki

07/09/2011 à 13h09

Bjc. écrivait:
--------------
> Bien sur on sait faire,
>
> on sait mettre une 7 à la place d’une 6,
> on sait mettre une 3 à la place d’une 2,
> on sait transplanter une 8 à la place d’une 6
>
> C’est de l’orthodontie
>
> Le Pb. n’est pas d’éviter au patient une prothèse, mais de lui éviter des Pb.
> d’occlusion

Oui mais dans ce cas il faut que la couronne ou l'implant soit fait dans les regles d'art avec une precision maximale, est-ce toujours respectée???
Une mauvaise couronne peut entrainer de tas de problemes d'occlusion. Une 7 à la place d'une 6 avec un bon ajustement occlusal est certainement moin nocive qu'une mauvaise couronne.


--
A suivre...
Said


king_zoulou

07/09/2011 à 14h39

Oui, m'enfin si tu décides de mal soigner un patient parce que tu supposes qu'il sera encore plus mal traité dans dix ans, ça devient vite compliqué ;)


1 eugenol dmj5np - Eugenol
Dancha

07/09/2011 à 16h13

king_zoulou écrivait:
---------------------
> Oui, m'enfin si tu décides de mal soigner un patient parce que tu supposes qu'il
> sera encore plus mal traité dans dix ans, ça devient vite compliqué ;)

Réfléchis un peu au lieu de répéter bêtement les âneries de Bjc !
On est sur un forum public et tout le monde n'a pas le discernement d'un professionnel pour remettre à leur juste place ses élucubration.
Et qu'est-ce qui t'autorise à dire que je "décide de mal soigner" mon patient quand, par exemple, je décide de mésialer des secondes molaires à la place des premières qui sont condamnées ?
Il faut arrêter ce délire !

Daniel


1 p3qrc4 - Eugenol
Bjc.

07/09/2011 à 21h21

MDR -))


Amibien

08/09/2011 à 14h14

TiGabi écrivait:
----------------
> Bonjour,
>
> Je suis fatigué des séances de restauration de 6 très délabrées pour des 7-12
> ans : limites infra-gingivales, nécrose partielle, apexification pas forcément
> évidente, champ difficile à mettre, restauration "acrobatique", devoir
> convaincre d'un devis de MTA et/ou de coiffe pédo...
************************************************************



Sur ta photo, difficile de mettre la digue ??? Tu recoupes cette gencive au bistouri, tu poses ton clamp que tu cimentes au kétac cem sur la dent et tu enfiles la digue puis tu retailles à la fraise boule le kétac cem jusqu'aux limites saines de ta dent. Pour la pulpe, si tu rentres dedans tu coupes à ras de canaux la pulpe camérale, tu laves à l'eau oxygénée et tu coiffes les entrées avec un N2 de Sargenti sans formaldéhyde spatulé "cassant" (il se foule comme un amalgame), tu recouvres de kétac pour rendre étanche et tu termines au composite collé. Tes racines resteront vivantes et ça te prend une heure maximum.


Fresh watermelon 640x562 udulqz - Eugenol
gulguch

08/09/2011 à 19h32

... pareil, avec de la pàte endo + IRM. Je vois pas trop ce qu'on risque avec une bonne pulpotomie et une pulpe prète à cicatriser.


Grueavatar nptrc9 - Eugenol
Le Choixpeau magique

09/09/2011 à 00h21

Je crois chers confrères que notre consoeur a parlé de "nécrose partielle", votre proposition de pulpotomie n'est donc probablement pas pertinente.


123...