Cookie Consent byPrivacyPolicies.comDilemne conservation ou avulsion des 6 - Eugenol

Dilemne conservation ou avulsion des 6

Avatar hjdsnm - Eugenol
TiGabi

09/09/2011 à 00h37

Amibien écrivait:
-----------------
> Sur ta photo, difficile de mettre la digue ???

Non : le cas en photo était pour illustrer le texte du 1er post qui est plus "généraliste".


Kinox

09/09/2011 à 00h47

Pa rapport au 1er cas exposé, pourquoi ne pas faire une endo classique avec apexification si nécessaire puis temporisation ??

Tu auras fait tout le nécessaire, et si il n'y a pas de retour, l'avulsion se fera dans les 3 ou 4 ans qui suive de toute façon...


Avatar hjdsnm - Eugenol
TiGabi

12/09/2011 à 11h55

Je fais mon 1er cas d'onlay en cabinet sur cette patiente de 12 ans qui portait depuis plusieurs années un composite avec coiffage pulpaire. Dent asymptomatique.

Lors de la dépose du composite sous digue, après éviction du coiffage, il y a une exposition pulpaire de la corne mésiale de 1-2 mm.
J'ai mis une boulette de chlorhexidine, rincé, mordancé et appliqué deux couches d'adhésif directement au contact de la pulpe (protocole lu sur ce forum).

Pensez-vous qu'il soit sage de coller l'onlay dans une semaine ? Ou bien devrai-je temporiser pour voir l'évolution ?

Empreinte médiocre...

Onl zwhnm4 - Eugenol
P1020088 xayek0 - Eugenol

Smile beach jgh0a1 - Eugenol
Céramik

12/09/2011 à 16h53


Questions
1-Il y avait du saignement lors de l'expo pulpaire ?
2-Présence de carie ?
3-Quel type de mordançage et d'adhésif ?

Sinon, en général, ça fonctionne bien, j'ai de multiple cas sans soucis.
Bravo pour le choix de l'onlay, chez un patient de 12 ans, la majorité des CD n'aurait pas osé.
Au pire si besoin endo, ne fait pas de couronne, place un onlay aussi.

Poir la photo de l'empreinte, bravo, pas facile le macro !
Mais pourquoi merdique ? Tu n'avais qu'a refaire tu n'aimes pas...

--
Céramik


Avatar hjdsnm - Eugenol
TiGabi

12/09/2011 à 17h15

Céramik écrivait:
-----------------
> Questions
> 1-Il y avait du saignement lors de l'expo pulpaire ?
Il y avait une petite goutte de sang initialement.

> 2-Présence de carie ?
Non, c'était propre, juste des fractures amélaires en distal et vestibulaire (MIH).

> 3-Quel type de mordançage et d'adhésif ?
Adhésif total etch (3M Scotchbond 1XT après acide orthophosphorique).

> Sinon, en général, ça fonctionne bien, j'ai de multiple cas sans soucis.
J'espère... Merci pour ton expérience.

> Poir la photo de l'empreinte, bravo, pas facile le macro !
> Mais pourquoi merdique ? Tu n'avais qu'a refaire tu n'aimes pas...
"médiocre" :D Je trouve que ce n'est pas très net. Je n'ai pas repris car la séance avait été relativement difficile pour la patiente(dysphasique : elle arrive très peu à communiquer ce qu'elle ressent, très tendue).

Je posterai des photos le jour du collage.


Grueavatar nptrc9 - Eugenol
Le Choixpeau magique

12/09/2011 à 17h25

TiGabi écrivait:
----------------
> J'ai mis une boulette de chlorhexidine, rincé, mordancé et appliqué deux couches
> d'adhésif directement au contact de la pulpe (protocole lu sur ce forum).

Salut TiGabi, le protocole de John Kanca c'est une boulette d'HYOPOCHLORITE pendant deux minutes et pas de la chlorhexidine.


Avatar hjdsnm - Eugenol
TiGabi

12/09/2011 à 19h23

Le Choixpeau magique écrivait:
------------------------------
> Salut TiGabi, le protocole de John Kanca c'est une boulette d'HYOPOCHLORITE
> pendant deux minutes et pas de la chlorhexidine.

J'ai donc fait une boulette :)

Merci pour cette correction Choixpeau.


Avatar hjdsnm - Eugenol
TiGabi

17/10/2011 à 12h33

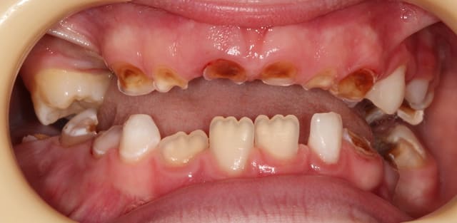
A 7 ans, cette demoiselle a eu une AG avec extractions de 14 dents temporaires.
A 10 ans, coca et chips à volonté, voici ses 11/21. Les 6 sont dans un état similaire.

Img 0282 ccgwi7 - Eugenol
Img 0287 vbnr2d - Eugenol
Rad znore5 - Eugenol

Photo pluton1b h9n4ea - Eugenol
pluton

17/10/2011 à 13h17

pfff, c'est pas la gamine qui est à blâmer...c'est les parents à baffer...
pauvre petite...


41467 100000418256397 4215 n ypxyho - Eugenol
starsky55

17/10/2011 à 14h44

Pffff, a ce rythme elle aura son premier partiel résine dans 2 ans....


Avatar hjdsnm - Eugenol
TiGabi

02/11/2011 à 18h25

Bonhomme de 7 ans.
Je garde 53-52-62-63 en haut, de 83 à 74 en bas.

Img 0549 niiie9 - Eugenol
Waydeur pkmgmu - Eugenol

Picture1111 zburnd - Eugenol
saidkholoki

02/11/2011 à 22h21

TiGabi écrivait:
----------------
> Bonhomme de 7 ans.
> Je garde 53-52-62-63 en haut, de 83 à 74 en bas.

C'est vraiment incroyable de voir une dentition pareille! C'est quoi le vrai probleme? milieu defavorisé? Parents divorcés? niveau socio-culturel bas?......C'est dommage de voir cela en France et en 21e siecle!

--
A suivre...
Said


F e01w igu3rl - Eugenol
roumette

03/11/2011 à 09h59

TiGabi, comment fais-tu pour ne pas pleurer...?


Index vakr2r - Eugenol
pgc

03/11/2011 à 20h45

saidkholoki écrivait:
---------------------
> TiGabi écrivait:
> ----------------
> > Bonhomme de 7 ans.
> > Je garde 53-52-62-63 en haut, de 83 à 74 en bas.
>
> C'est vraiment incroyable de voir une dentition pareille! C'est quoi le vrai
> probleme? milieu defavorisé? Parents divorcés? niveau socio-culturel
> bas?......C'est dommage de voir cela en France et en 21e siecle!
>
> --
> A suivre...
> Said

milieu défavorisé: ça joue. L'alimentation anarchique, les conflits autour de l'hygiène avec des développements surprenants (rester sale pour embêter maman, rester un bébé et régresser pour garder l'attention des parents), les phobies (pas mâcher, pas toucher la gencive), le déni, l'arriération et l'ignorancene sont pas l'apanage des pauvres. Mais les très pauvres (les "gens du voyage", les familles Groseille ) concentrent sur leur pauvres têtes tous les emmerdements, et les polycaries en font partie, immanquablement.

parents divorcés: souvent l'enfant devient un enjeu de pouvoir dans une guerre à mort entre les parents, et lui permettre de se bourrer de bonbons et de coca quand il est chez un des parents pour enquiquiner l'autre, fait partie des stratégies les plus courantes. On voit ça tous les jours. C'est extrêmement difficile à changer, car le parent qui amène le gosse chez le dentiste n'est en général pas celui qui lui pourrit les dents par tous les moyens.

niveau socio-culturel: voir plus haut...

Vouloir soigner à tout prix conduit souvent à des situations de véritable souffrance pour l'enfant. le choix de faire des extractions est un très bon choix dans certaines situations. Ce qui est perçu par nous comme une mutilation: extraire ce que l'on pourrait soigner, si seulement les parents respectaient les RV, si les anesthésies des dents mandibulaires voulaient prendre à 100% des cas, s'il n'y avait jamais d'échecs ni de douleur post-op, et si et si... ceci est souvent un soulagement pour le gamin. Quelques années plus tard, l'enfant a grandi et mûri, les parents vont parfois mieux, celui qui picolait est parti ou celui qui était dépressif a réglé son problème, et les soins peuvent reprendre dans de meilleures conditions.

Je soignais une petite fille dont la mère était extrêmement perturbée (dépression grave, traitement psychotrope de cheval, insomnie sévère, divorce et remariage, double journée de travail sans dormir jamais plus de 2 ou 3 heures par nuit). La petite patiente avait une polycarie, des tentatives de soins précédentes lui avait ancré une solide phobie dentaire, la situation au niveau de l'hygiène était épouvantable. Je n'ai jamais vu autant de plaque dentaire, à part sur des patients déments ou à demi comateux. Mes propres tentatives de soin ont rassuré la gamine mais je n'ai presque rien pu faire de solide.
Aujourd'hui elle a 11 ans, sa mère va beaucoup mieux, elle se brosse les dents et mange moins de sucreries. Je vais demander l'extraction des "6" sous AG et l'orthodontiste pourra aligner les arcades, je pense, même si c'est un peu tard. Mais si je m'étais obstiné à faire les soins, elle aurait été effrayée et c'était fichu pour le reste.
Il faut voir plus loin que les caries dans ce genre de situation.


Picture1111 zburnd - Eugenol
saidkholoki

03/11/2011 à 21h23

pgc écrivait:
-------------
> Il faut voir plus loin que les caries dans ce genre de situation.

Tout à fait d'accord, c'est la raison pour laquelle j'ai voulu mettre l'accent sur l'origine reelle du probleme...
--
A suivre...
Said


Avatar hjdsnm - Eugenol
TiGabi

03/11/2011 à 23h24

pgc écrivait:
-------------
> milieu défavorisé:...
> parents divorcés:...

J'aime beaucoup ton message Pgc, je le trouve très pertinent.

Un milieu socio-culturel défavorisé est de façon évidente le facteur principal des cas de polycaries.

Pour autant, je ne pense pas que ce soit via un manque d'informations ou de connaissances mais plutôt à cause d'un laisser-aller certain des parents.

Dans l'éducation tout d'abord : ce sont des parents qui n'ont pas envie de s'embêter à aller brosser les dents de leur enfant si celui-ci ne le fait pas (et souvent qui ne le font déjà pas pour eux-mêmes). Idem pour le contrôle de l'alimentation : ils laissent les enfants se servir dans les placards ou le frigo et se plaignent en disant "que voulez-vous que j'y fasse ?", comme si cela était une fatalité.

Laisser-aller dans la santé en général ensuite : on ne consulte que pour le symptomatique. On ne prévoit pas le futur, on se contente de vivre le moment présent et donc on ne pense pas à la prévention ou au suivi.

Tout cela fait peut être parti d'un "laisser-aller social" plus général et je pense que le milieu d'origine doit entretenir ce fait de génération en génération mais qu'il ne faut pas pour autant tout excuser sans quoi la situation stagnerait.

Enfin, je pense que l’État a une part de responsabilité du fait d'une absence totale de vraie prévention bucco-dentaire. Nous, chirurgiens-dentistes, sommes également partiellement responsables en ne proposant pas toujours une prise en charge correcte des enfants.


Avatar hjdsnm - Eugenol
TiGabi

03/11/2011 à 23h25

Je suis franc dans mes explications aux parents, je ne cherche pas à les culpabiliser outre mesure, j'expose juste la réalité.

Si ça intéresse quelqu'un, voilà les grandes lignes de mon dialogue actuel :

"Votre enfant a eu ses premières dents d'adulte à 6 ans. En seulement un an, ses dents sont déjà tellement abimées qu'il faut déjà enlever ses premières molaires, ses dents les plus grosses, les plus importantes sont perdues. Si vous ne changez pas profondément vos habitudes, le brossage, l'alimentation, votre enfant passera sa vie d'adulte avec en permanence des douleurs aux dents, des abcès, des dents cassées et il aura ses premiers dentiers à 20 ans : est-ce ce dont vous avez envie pour votre enfant ? Il a besoin de ses dents pour manger, pour sourire aux autres, pour grandir normalement.
Si vous faites des efforts pour changer ces habitudes, j'en ferai pour offrir les meilleurs soins possibles à votre enfant et tenter de sauver un maximum de dents. Si vous n'êtes pas motivée, nous n'allons pas perdre notre temps, vous comme moi.

Aujourd'hui, je lui offre une brosse à dents, je lui montre le brossage. Pendant plusieurs mois, il a besoin que vous soyez derrière lui. S'il ne va pas se brosser les dents de lui même, vous allez dans la salle de bains et vous le faites à sa place, c'est votre responsabilité. Vous verrez qu'il en aura rapidement assez et qu'il commencera à s'y mettre. Dans plusieurs mois, quand le brossage sera devenu une habitude, vous pourrez vous permettre de simplement surveiller qu'il aille dans la salle de bains 3 min matin et soir. Pour l'instant, vous êtes derrière lui, il a besoin de vous.
Kevin, désormais, tu va brosser tes dents matin et soir, je vais te montrer comment. A chaque fois que tu viendra me voir, je contrôlerai tes dents : si tu viens me voir avec des dents sales comme aujourd'hui, je ne te soignerai pas, tu rentrera à la maison. Si tu fais un effort, que tu viens me voir avec les dents bien propres, je te ferai de jolies dents toutes blanches.

Pour les boissons, l'eau est la seule boisson dont votre enfant a besoin. Que ce soit du coca, du sirop ou des jus de fruits, ce sont des boissons acides et sucrées. Au delà de détruire ses dents, des boissons sucrées causent diabète et obésité.
Votre enfant vous imite : si vous ou Papa buvaient des boissons toute la journée, Kevin fera la même chose. Ces boissons doivent rester occasionnelles, pour le plaisir. Il faut en discuter avec le Papa et ce serait d'ailleurs bien qu'il soit présent au prochain RDV.
Tout part du supermarché : je vois que Kevin a un frère et une petite sœur, vous êtes donc 5 à la maison. Si au supermarché, vous achetez une bouteille pour la semaine pour la famille, chacun aura droit à un ou deux verres par semaine.
Donc, Kevin, tu écoutes bien : quand tu as soif, tu bois de l'eau. De temps en temps, pour le plaisir Papa ou maman te donneront un verre de ce que tu aimes boire, quelques fois dans la semaine. Le reste du temps, c'est uniquement de l'eau, tu dois prendre l'habitude. Si tu continues à boire des boissons sucrées, tu donnes à manger à tous les microbes dans ta bouche, ils vont continuer à te grignoter les dents.

Kevin a 4 repas par jour : matin, midi, gouter, soir. Est-ce qu'il lui arrive d'avoir de la nourriture en bouche quand ce n'est pas l'heure du repas ? Oui ? Alors, Kevin, tu as 4 moments de la journée pour manger : le matin, au petit déjeuner, le midi, au gouter et le soir. En dehors de ces 4 moments, tu ne dois jamais avoir de nourriture dans la bouche : pas de pain, de bonbons, de chips ou de gâteaux. Si tu as envie d'en manger, c'est pendant les repas. Pendant les 4 repas, tu peux manger tout ce que tu as envie : mais une fois le repas terminé, tu ne dois rien avoir dans ta bouche jusqu'au repas suivant.
Madame, vous devez contrôler ce que mange votre enfant. Il ne doit pas avoir le droit d'aller se servir dans les placards sans votre accord. Vous devez être extrêmement ferme et en parler avec le Papa. Là encore, c'est un changement qui doit se faire pour toute la famille. Si Kevin est dans cet état, je pense que ça doit être à peu prêt pareil pour son frère et sa sœur. Soit vous changez les habitudes de toute la famille, soit rien ne change et on laisse ses dents continuer de s'abimer.
Les habitudes que vous donnez aujourd'hui à votre enfant, il les gardera toute sa vie. Si vous lui en donnez de bonnes, il vous en remerciera, il aura de belles dents toutes sa vie.".


Index vakr2r - Eugenol
pgc

06/11/2011 à 01h22

TiGabi écrivait:
----------------
> pgc écrivait:
> -------------
> > milieu défavorisé:...
> > parents divorcés:...


>
> Un milieu socio-culturel défavorisé est de façon évidente le facteur principal
> des cas de polycaries.

C'est parfaitement vrai et cela se vérifie tous les jours. C'est purement alimentaire et économique: les pauvres mangent gras, sucré et mou. Ce sont des calories pas chères. Ca remplit et rassasie à peu de frais. Les riches font le marché, achètent bio, mangent de la vraie viande et du poisson. Ils y en a même qui font cuire des légumes et achètent des fruits. Mais s'il vous arrive de faire vos courses, vous connaissez le prix des fruits? Allez voir par comparaison le prix du sachet de brioches industrielles: c'est édifiant. Les enfants de pauvres ne mangent pas souvent des fraises. En revanche, ils mangent beaucoup de brioches en sacs plastique et de ces ignobles croquettes pour enfants qu'on appelle des "céréales".
Il y a beaucoup d'exceptions aussi: je soigne pleins de bobos qui sont en adoration devant leurs enfants, et qui ont un peu peur d'eux aussi. Les enfants-tyrans sont des enfants en mauvaise santé souvent au niveau dentaire, aussi surtout au niveau psychologique. L'immaturité des parents et leur refus d'endosser leurs responsabilités éducatives les mettent en situation d'insécurité.

>
> Pour autant, je ne pense pas que ce soit via un manque d'informations ou de
> connaissances mais plutôt à cause d'un laisser-aller certain des parents.

Ne sous-estime pas l'ignorance de tes patients. Elle est insondable. Quand une chose te parait évidente, vérifie par une question qu'elle est connue du patient. Tu seras surpris.
Une de mes patientes dont la denture avait été sévèrement dégradée par une polycarie quand elle était enfant, m'a expliqué que chez elle, quand elle était petite, on ne mangeait pas de bonbons. Ce n'étaient donc pas les bonbons qui lui avaient abîmé les dents. Pas de bonbons? pas de mars pas de bounty? non. Pas de boissons sucrées? oh ben non. j'ai laissé tomber, et à la fin de la consultation elle m'a dit que si, elle mangeait du sucre en morceaux. Souvent, et beaucoup. Carrément le plein sucrier. Elle n'avait jamais fait le rapport entre le sucre en morceaux et les caries. Elle a été très surprise. Moi aussi.


>
> Dans l'éducation tout d'abord : ce sont des parents qui n'ont pas envie de
> s'embêter à aller brosser les dents de leur enfant si celui-ci ne le fait pas
> (et souvent qui ne le font déjà pas pour eux-mêmes). Idem pour le contrôle de
> l'alimentation : ils laissent les enfants se servir dans les placards ou le
> frigo et se plaignent en disant "que voulez-vous que j'y fasse ?", comme si cela
> était une fatalité.

Va trainer dans les rayons d'un supermarché dans un quartier pauvre et regarde un peu ce qu'il y a dans les chariots, et comment les enfants se comportent, surtout s'ils sont avec un parent seul (souvent leur mère) qui a visiblement baissé les bras. Le fardeau de la vie est lourd à porter pour beaucoup de parents. L'éducation est un poids qui s'ajoute au reste, il y en a beaucoup qui n'ont pas la force.


>
> Enfin, je pense que l’État a une part de responsabilité du fait d'une absence
> totale de vraie prévention bucco-dentaire. Nous, chirurgiens-dentistes, sommes
> également partiellement responsables en ne proposant pas toujours une prise en
> charge correcte des enfants.

L'organisme chargé de la prévention bucco-dentaire dans notre beau pays c'est l'UFSBD...on a tout dit. "brosser du rose vers le blanc" "trois minutes" et "lorsque tu n'as pas le temps de te brosser les dents, prends donc un chewing gum sans sucre"! et ce sont des dentistes... c'est à pleurer. Boubou l'Hippopotame me donne la nausée (sérieux). Le brossage des dents n'a pas à être rigolo ou ludique, il fait partie de la toilette, si l'enfant aime se brosser les dents c'est tant mieux, s'il n'aime pas ça c'est bien dommage, mais c'est quelque chose à faire tout simplement. Et s'il prenait l'envie à un petit de ne pas se laver les cheveux pendant 6 mois parce que le shampoing lui pique les yeux ou qu'il n'aime pas avoir de l'eau dans le cou, est-ce que les parents le tolèreraient?
Suis-je le seul à me frotter les yeux lorsque le journal de l'UFSBD arrive dans le cabinet?
Il y a quelques numéros (je cite de mémoire) ils en étaient à dire que le sucre "donne plein d'énergie" et qu'il avait pleinement sa place "dans un repas équilibré". Je suppose qu'ils avaient été approchés (et payés!) par Nestlé ou d'autres empoisonneurs patentés.
Ces infâmes vendeurs de chewing-gum et de modèles de motivation de trois mètres de haut sont la honte de notre profession si elle pense encore être une profession médicale.
Je passe mes mercredis après-midi à faire des sourires à des loupiots dont les dents sont recouvertes de plaque dentaire du collet jusqu'au bord libre, quatre millimètres d'épaisseur, et qui ont soi-disant appris à se brosser les dents à l'école. L'école a pour mission d'apprendre à lire et à écrire aux mômes. Elle a déjà du mal à remplir cette mission, l'école n'a pas à leur apprendre en plus à se laver. C'est le boulot des parents.
La démission et l'infantilisation des parents est stupéfiante.


Index vakr2r - Eugenol
pgc

06/11/2011 à 01h49

Tigabi tu es un saint, ne devient pas un martyre en plus. D'après ce que tu nous dis de ton exercice (pédo exclusive avec un fort pourcentage de CMU!) j'espère que tu tiendras le coup. Si je peux me permettre de te donner un conseil, essaie d'utiliser un peu la méthode "je propose, vous disposez". Mets à disposition des patients les outils dont ils ont besoin pour améliorer leur état, et laisse-leur la responsabilité d'appliquer ou pas tes conseils. Laisse leur une part de responsabilité propre. Ils sont infantilisés partout. Les genrs sont abrutis à longueur de temps par des discours déresponsabilisants, laisse-leur entrevoir que pour une fois ils ont les cartes en main. Si tu vois que ça ne rentre pas, expose encore et toujours les mêmes arguments simples et applicables de suite. Pour beaucoup de patients, la même chose 100 fois gentiment répétée (brosser les dents deux fois par jour/pas d'anarchie alimentaire/moi je pense que la carie n'est pas héréditaire mais plutôt alimentaire/vos dents ne sont pas plus fragiles que celle de n'importe qui c'est l'excès de sucres qui abîme vos dents) finira par rentrer.
Ne te bloque pas sur l'hygiène, sauf bien sûr si c'est malpropre au point que vraiment tu n'as pas envie aujourd'hui d'y mettre les doigts. La maladresse des enfants et des adultes lorsqu'il s'agit de faire ce geste simple peut être surprenante.
En revanche ne lâche jamais l'affaire sur l'alimentation.
il faut faire la part du feu dans les polycaries. J'ai vu souvent des mômes à qui de nombreuse dents lactéales avaient été extraites sous AG entre 4 et 6 ans devenir de jeunes adultes avec des dents potables. Des enfants anxieux et insoignables dont les dents de lait se sont toutes détruites en bouche deviennent souvent des adolescents calmes et coopérants qui se laissent très bien soigner quelques années plus tard. En revanche les enfants sur qui on s'est acharné à soigner des dents à tout prix deviennent inmanquablement des phobiques à l'âge adulte.


Avatar hjdsnm - Eugenol
TiGabi

06/11/2011 à 11h20

Messages intéressants à lire : merci d'avoir pris le temps de les écrire.

Je ne me laisse pas martyriser, promis ;)


120 81 mdkvjo - Eugenol
Monaco

08/11/2011 à 01h17

+1.

Je suis jeune et sors de la fac. Je respecte ton approche du boulot Tigabi, mais à titre personnel je n'ai pas la même.

Mon but est de faire mon travail du mieux possible pour répondre au maximum aux attentes des gens.

Mais si les gens n'y mettent pas du leur, je ne vais pas jouer à leur faire l'éducation.

S'ils comprennent tant mieux, si non tant pis, ils auront des dents pourries et j'aurais un boulot différent à faire.

Cynique peut être mais assez réaliste je pense malgré ma maigre expérience.


Avatar hjdsnm - Eugenol
TiGabi

28/11/2011 à 07h51

Anecdote assez drôle : je viens de me réveiller d'un rêve/cauchemar dans lequel je m'engueulai intensément avec une consœur me reprochant d'avoir avulsé les 6 de son patient.

Pour que mon inconscient choisisse ce sujet, il faut croire que j'ai encore un peu de culpabilité...


ameli

30/11/2011 à 12h30

Monaco écrivait:
----------------
> Mais si les gens n'y mettent pas du leur, je ne vais pas jouer à leur faire
> l'éducation.

Et pourtant... l'éducation thérapeutique fait partie du métier. Faire autrement, comme tu l'envisages, c'est faire de ton métier un métier de technicien-opérateur qui s'occupe de dents, et non de santé.
Que cette éducation soit couronnée de succès est un autre problème, mais il faut la tenter.
Si nous, praticiens, nous déclarons inactifs ou incompétents dans les difficultés de santé publique, c'est le rôle de qui ? de parents incompétents ?, car la polycarie est un grave problème de santé publique qui ne peut pas nous laisser indifférent.

Les analyses et les pratiques montrées sont remarquables. Ce n'est pas un sacerdoce, ni de la sainteté, c'est le boulot, et c'est du très bon boulot, bravo.
J'ajouterais, quant à moi, un coup de fil au médecin traitant, pour l'informer, et pour qu'il participe quand il en a l'occasion, à l'éducation, et aux "rappels à la règle" : tous les acteurs doivent participer, l'enfant, les parents, les frères et soeurs, le praticien, le médecin... et la liste n'est pas exhaustive.


Björn

30/11/2011 à 14h32

ameli écrivait:
---------------
> Monaco écrivait:
> ----------------
> > Mais si les gens n'y mettent pas du leur, je ne vais pas jouer à leur faire
> > l'éducation.
>
> Et pourtant... l'éducation thérapeutique fait partie du métier.

Elle fait surtout partie du métier des pédiatres et des généralistes car ils voient les enfants beaucoup plus tôt et beaucoup plus souvent que nous.

En allant un peu plus loin, s'ils ne le font pas à quoi servent-ils?


Faire autrement,
> comme tu l'envisages, c'est faire de ton métier un métier de
> technicien-opérateur qui s'occupe de dents, et non de santé.

Oui, notre boulot est celui d'un technicien, il n'y a pas de honte à cela.

A l'instar de n'importe quelle profession médico-chirurgicale, on répare les conséquences de la malchance, de la sénescence, mais aussi de la prévention mal faite par les professionnels dont c'est presque la seule mission: les pédiatres et les généralistes; ce ne sont pas des techniciens mais des parleurs.
Qu'ils parlent.
Chacun son métier.



> Que cette éducation soit couronnée de succès est un autre problème, mais il faut
> la tenter.
> Si nous, praticiens, nous déclarons inactifs ou incompétents dans les
> difficultés de santé publique, c'est le rôle de qui ?

Non, c'est le rôle des pédiatres et des généralistes, qui suivent les enfants depuis leur naissance, je te rappelle que la bouche fait partie du corps humain...
Quand les enfants viennent chez nous la bouche pourrie, il est déjà trop tard.


Accuses-tu les chirurgiens vasculaires de ne pas faire de prévention du tabagisme?


>
> J'ajouterais, quant à moi, un coup de fil au médecin traitant, pour l'informer,
> et pour qu'il participe quand il en a l'occasion, à l'éducation, et aux "rappels
> à la règle"

L'informer de quoi? Il n'est pas au courant, il n'a jamais fait un examen complet de son petit patient?
La bouche c'est caca? Il n'a pas le droit de la regarder?

La pédo je trouve cela atroce à tous les niveaux, je tire mon chapeau à Tigabi qui est, comme d'autres l'ont écrit, un saint.
En revanche, qu'un planqué vienne nous donner des leçons de morale, attablé devant son PC et son café, entre deux réunions de brassage d'air, est toujours aussi insupportable.


120 81 mdkvjo - Eugenol
Monaco

30/11/2011 à 17h46

ameli écrivait:
---------------
> Monaco écrivait:
> ----------------
> > Mais si les gens n'y mettent pas du leur, je ne vais pas jouer à leur faire
> > l'éducation.
>
> Et pourtant... l'éducation thérapeutique fait partie du métier. Faire autrement,
> comme tu l'envisages, c'est faire de ton métier un métier de
> technicien-opérateur qui s'occupe de dents, et non de santé.
> Que cette éducation soit couronnée de succès est un autre problème, mais il faut
> la tenter.
> Si nous, praticiens, nous déclarons inactifs ou incompétents dans les
> difficultés de santé publique, c'est le rôle de qui ? de parents incompétents ?,
> car la polycarie est un grave problème de santé publique qui ne peut pas nous
> laisser indifférent.
>
> Les analyses et les pratiques montrées sont remarquables. Ce n'est pas un
> sacerdoce, ni de la sainteté, c'est le boulot, et c'est du très bon boulot,
> bravo.
> J'ajouterais, quant à moi, un coup de fil au médecin traitant, pour l'informer,
> et pour qu'il participe quand il en a l'occasion, à l'éducation, et aux "rappels
> à la règle" : tous les acteurs doivent participer, l'enfant, les parents, les
> frères et soeurs, le praticien, le médecin... et la liste n'est pas exhaustive.




Heu .. tu bosses en cabinet ?

Pour le reste j'ai jamais dit que je ne tentais rien, juste qu'une fois les choses expliquées, c'est aux gens de se prendre un peu en charge.
L'assistanat général dans lequel baigne la société, non merci au boulot.