Cookie Consent byPrivacyPolicies.comDilemne conservation ou avulsion des 6 - Eugenol

Dilemne conservation ou avulsion des 6

Avatar hjdsnm - Eugenol
TiGabi

05/12/2011 à 12h49

Mon champion du mois, 6 ans, 1ère visite chez le dentiste : l'avantage est que le plan de traitement est rapide à établir.

Pann eni1kv - Eugenol

ameli

06/12/2011 à 12h26

Monaco écrivait:
----------------
c'est aux gens de se prendre un peu en charge.
> L'assistanat général dans lequel baigne la société, non merci au boulot.

Tu as raison, dans une société dans laquelle chacun est conscient, responsable, intelligent. Une telle société existe-t-elle ?
Ton affirmation est un souhait qui malheureusement ne se réalise pas toujours.
Que fais-tu devant un handicapé mental, tu lui expliques et il se débrouille ? Quand un gamin, responsable de rien, est sous la coupe de parents ignorants ou immatures, est-il normal de regarder la catastrophe se poursuivre quand on est un professionnel de la santé ?
Hélas, ce que tu dis tient du rêve, ou du cauchemar.
Or, même si c'est difficile à entendre, nous sommes des professionnels de l'assistanat : notre rôle est d'aider, nous sommes au service de l'individu (art R 4127-202). C'est le job. Parfois, on a tendance à l'oublier, et on se contente de boucher des trous. Mais notre travail va bien au-delà.


RépondreCiter
Björn

06/12/2011 à 12h59

ameli écrivait:
---------------

>
> Tu as raison, dans une société dans laquelle chacun est conscient, responsable,
> inte
> Or, même si c'est difficile à entendre, nous sommes des professionnels de
> l'assistanat : notre rôle est d'aider, nous sommes au service de l'individu (art
> R 4127-202). C'est le job. Parfois, on a tendance à l'oublier, et on se contente
> de boucher des trous. Mais notre travail va bien au-delà.

1.Tu n'es pas "nous", puisque tu as arrêté de travailler. Tu es toi-même un assisté.
En conséquence, n'utilise pas le nous, mais le vous, s'il te plaît.

2.Et bien sûr que si, notre boulot est de remplacer des dents et boucher des trous creusés par la négligence, la sénescence ou la malchance, comme celui d'un chirurgien vasculaire est de remplacer les artères pourries, comme celui d'un chirurgien orthopédiste est de remplacer les hanches foutues.

Je te rappelle que nous sommes payés pour boucher des trous et que nous n'avons aucune rémunération pour remplir les missions que tu évoques, contrairement aux MG et aux pédiatres qui voient les enfants beaucoup plus tôt que nous.
C'est qu'il doit bien y avoir une raison, non?

Le boulot de prévention, ce sont les praticiens qui sont payés pour le faire, avec leurs consultations cotables à l'infini et leurs NMR qui doivent le faire: les pédiatres et les généralistes.

Ou alors tu sous-entends que ces derniers font tellement mal leur boulot, qu'on doive faire le leur en sus du nôtre? (en effet, un gosse maltraité par ses parents ne le sera généralement pas spécifiquement dans le domaine dentaire, et lorsqu'on le verra à 4 ans, il sera déjà trop tard, alors que le MG ou le pédiatre l'auront vu bien avant....).


Grueavatar nptrc9 - Eugenol
Le Choixpeau magique

06/12/2011 à 14h03

Et on n'a jamais changé le comportement des gens avec de l'éducation.


Björn

06/12/2011 à 14h33

Tu veux accélérer la survenue du point Godwin Choixp? ;-)


ameli

06/12/2011 à 18h05

Björn écrivait:
---------------
> 1.Tu n'es pas "nous", puisque tu as arrêté de travailler. Tu es toi-même un
> assisté.
> En conséquence, n'utilise pas le nous, mais le vous, s'il te plaît.

Je n'ai jamais arrêté de travailler, et je suis un professionnel de santé inscrit à l'Ordre. Le code de la santé publique s'adresse à moi aussi.
Dans mon travail, ma priorité est le patient. Ce n'est pas mon patient, mais c'est un patient.
... et nous sommes tous des assistés, car nous sommes tous dépendants. Y compris toi quand tu vas à la messe, chez le toubib, chez le coiffeur, quand tu regardes des infos traficotées à la télé pour t'éviter de penser, quand tu consultes ton comptable ou quand tu achètes du gazoil arabe.
Etre assisté n'est pas une tare. C'est un état qui concerne tout le monde.



RépondreCiter
Björn

06/12/2011 à 18h29

ameli écrivait:
---------------

> Etre assisté n'est pas une tare. C'est un état qui concerne tout le monde.
>
>

Assistance ou interdépendance.
La première n'implique pas forcément une réciprocité.

Par exemple, si TU ne fous rien ou que ton boulot est inutile, JE te paie , quoi qu'il arrive, par mon travail, car tu es protégé par un système artificiel. Et tu pourras acheter ton pain avec mon travail.
Assistance.

Si JE ne fais mon travail ou que mon travail est inutile. JE ne gagnerai pas d'argent et le boulanger ne me donnera pas de pain car je serai inutile, donc je mourrai.
Interdépendance.

Tu saisis la nuance?

Réponds plutôt aux autres points, celui-là est HS.


Avatar hjdsnm - Eugenol
TiGabi

06/12/2011 à 18h57

Ameli est bien assez grand pour se défendre tout seul mais je ne vois pas pourquoi on lui tire dessus à boulets rouges à chaque message qu'il écrit.

Si vous avez un problème avec le système de santé en général, je ne suis pas sûr que vous défouler sur lui fasse avancer les choses.

Il apporte un point de vue original au forum et contribue à sa diversité. On peut très bien ne pas être d'accord avec ses opinions sans forcément tomber dans un conflit stérile ou dans des messages à la limite de l'injurieux.


RépondreCiter
Björn

06/12/2011 à 19h10

Son "point de vue" n'est pas plus "original" qu'un autre.
Ce qui est "original" en revanche, c'est qu'il soit payé pour le donner, c'est certainement ce que tu voulais dire...

Ameli est payé pour venir vous vider le cerveau et le remplir avec des idées qui font le jeu de la sécu (pas d'AT pour les Cd, prévention gratuite, etc...) . On ne peut imaginer qu'il vienne s'amuser sur le forum au lieu de bosser, il a une trop haute estime de sa fonction pour agir ainsi. :-))) . Cette mission de propagande fait donc partie de son travail...


1 p3qrc4 - Eugenol
Bjc.

07/12/2011 à 00h38

"""Si JE ne fais mon travail ou que mon travail est inutile. JE ne gagnerai pas d'argent et le boulanger ne me donnera pas de pain car je serai inutile, donc je mourrai.
Interdépendance."""

TU ne mourras pas, tu as un diplôme protégé. Améli et les autres sont là pour que tu n’abuses pas de tes privilèges et du système.
Par contre, si tu te déconventionnes, et que tu ne fais pas ton travail, je te rejoins

Tu saisis la nuance?

@+ Bjc.


RépondreCiter
Grueavatar nptrc9 - Eugenol
Le Choixpeau magique

07/12/2011 à 01h01

Bjc. écrivait:
--------------
> TU ne mourras pas, tu as un diplôme protégé. Améli et les autres sont là pour
> que tu n’abuses pas de tes privilèges et du système.
> Par contre, si tu te déconventionnes, et que tu ne fais pas ton travail, je te
> rejoins

Ah bon, tu veux dire que quand on est dentiste conventionné, on a tout qui nous tombe tout cuit dans le bec ? Je suis conventionné et je n'ai pas cette impression, peux tu m'indiquer les démarches à faire ou les formulaires à remplir pour recevoir la béquée ?


1 p3qrc4 - Eugenol
Bjc.

07/12/2011 à 01h13

"""peux tu m'indiquer les démarches à faire ou les formulaires à remplir pour recevoir la béquée ?"""

si c'est le rêve de la nouvelle génération, je ne suis plus dans le coup

;-)

@+ Bjc.


Björn

07/12/2011 à 01h59

Bjc. écrivait:
--------------
> """Si JE ne fais mon travail ou que mon travail est inutile. JE ne gagnerai pas
> d'argent et le boulanger ne me donnera pas de pain car je serai inutile, donc je
> mourrai.
> Interdépendance."""
>
> TU ne mourras pas, tu as un diplôme protégé. Améli et les autres sont là pour
> que tu n’abuses pas de tes privilèges et du système.
> Par contre, si tu te déconventionnes, et que tu ne fais pas ton travail, je te
> rejoins
>
> Tu saisis la nuance?
>


Je crois que c'est toi qui n'as pas saisi.

Peux-tu me montrer en quoi la détention d'un diplôme, hors fonction publique protégerait un citoyen qui a une fonction inutile pour la société, ou qui ne fait pas son travail?

Si demain tu décides de boire des cafés et de discuter avec ton assistante pendant les trois quarts de ton temps de travail, tu vas pouvoir bouffer?
Si demain, tu décides de vendre des Tour Eiffel en allumettes, tu vas les vendre et t'acheter à bouffer?
Ben, un fonctionnaire, quoi qu'il arrive, tu seras obligé de le payer avec le fruit de ton travail (utile), même si le sien n'est pas fait ou est inutile.
Alors les leçons de morale, merci...

C'est bon, là?


1 p3qrc4 - Eugenol
Bjc.

07/12/2011 à 02h37

"""la détention d'un diplôme, hors fonction publique protégerait …"""

la détention d’un diplôme est une preuve de savoir faire, (à l’époque ou on l’a obtenu), c’est pas une protection, que ce soit en fonction publique ou en fonction privée

@>+ Bjc.


ameli

07/12/2011 à 13h20

Björn écrivait:
---------------
> Son "point de vue" n'est pas plus "original" qu'un autre.
> Ce qui est "original" en revanche, c'est qu'il soit payé pour le donner, c'est
> certainement ce que tu voulais dire...
Cette mission de
> propagande fait donc partie de son travail...

Tu es impayable !
Tu es sur le forum à titre privé, et moi aussi. Tu mets dans ma bouche des propos que je ne dis pas, je ne défends ni la sécu ni l'état, je défends mes idées comme tu défends les tiennes, je ne suis pas en mission.
Sur Eugénol, je ne donne que mon avis, et il n'engage que moi. J'essaie, parfois, de donner des renseignements utiles, susceptibles d'intéresser l'un ou l'autre, quand le système m'alimente en données.
Et c'est tout.
En fait, je crois que tu es jaloux. Oui, je suis cadre-sup, plus ou moins agent d'état, donc je ne pointe pas plus que toi (je suis le seul du bâtiment à avoir ce privilège!), et je suis quasiment libre de mon emploi du temps... si je respecte mes impératifs de travail et les délais imposés. Quand je suis en retard, je bosse le WE ou j'annule les congés. Oui, j'ai de la chance, je ne suis pas malheureux.
Mais j'ai fait des choix de vie que tu n'as pas fait, et j'ai su faire valoir certaines compétences. J'ai par exemple renoncé à beaucoup d'argent mais paradoxalement j'ai gagné en liberté. C'est ma liberté d'avoir fait ces choix, d'avoir osé prendre ces virages que d'autres, comme toi, n'ont pas voulu prendre ; ils préfèrent se morfondre, pleurer et critiquer. Si tu penses que tu m'entretiens, tu as tort, je suis très productif pour la collectivité, et c'est parce que je suis très productif que la collectivité accepte de me donner un statut particulier.
J'ai effectivement une opinion raisonnablement élevée de ma personne, et ce que je fais à mon travail, tu ne saurais pas le faire. Tandis que moi, je saurais encore faire un complet, y compris en Gerber, ou virer une dent.


ameli

07/12/2011 à 13h42

Björn écrivait:
---------------
> Ben, un fonctionnaire, quoi qu'il arrive, tu seras obligé de le payer avec le
> fruit de ton travail (utile), même si le sien n'est pas fait ou est inutile.
> Alors les leçons de morale, merci...

La généralisation outrancière et populiste, merci. Les fonctionnaires sont des fainéants inutiles, les gitans des voleurs, les allemands des buveurs de bière, et les dentistes des nantis. On sait.
"Même si" : avec des "si" et autres conditionnels et suppositions, on construit de belles prisons dans lesquelles on met n'importe qui..., et on construit des miradors.
C'est bon de taper sur les autres, je sais. La théorie du bouc émissaire, on la connait, merci.


Arès

07/12/2011 à 14h01

Björn écrivait:
---------------
> La pédo je trouve cela atroce à tous les niveaux, je tire mon chapeau à Tigabi
> qui est, comme d'autres l'ont écrit, un saint.
> En revanche, qu'un planqué vienne nous donner des leçons de morale, attablé
> devant son PC et son café, entre deux réunions de brassage d'air, est toujours
> aussi insupportable.
***************************************************



en plein dans le mille !


Arès

07/12/2011 à 14h06

Bjc. écrivait:
--------------
TU ne mourras pas, tu as un diplôme protégé. Améli et les autres sont là pour que tu n’abuses pas de tes privilèges et du système.

******************************************************



N'importe quoi, on parle bien du système qui nous tond la laine sur le dos ? Quant à la protection je me demande bien où elle se niche.


Arès

07/12/2011 à 14h11

ameli écrivait:
---------------
> J'ai effectivement une opinion raisonnablement élevée de ma personne, et ce que
> je fais à mon travail, tu ne saurais pas le faire. Tandis que moi, je saurais
> encore faire un complet, y compris en Gerber, ou virer une dent.
********************************************************


Il faut croire que ta situation est moins stressante ou épuisante que celle du dentiste indépendant puisque tu as choisi la voie du fonctionnaire "électron libre". Maintenant entre dire et faire il y a la mer.


Index vakr2r - Eugenol
pgc

07/12/2011 à 14h16

ameli écrivait:
---------------

> --
> "Même si" : avec des "si" et autres conditionnels et suppositions, on construit
> de belles prisons dans lesquelles on met n'importe qui..., et on construit des
> miradors.

Point Godwin touché par ameli à 12h42.


Björn

07/12/2011 à 15h46

ameli écrivait:
---------------

> Tu es impayable !
> Tu es sur le forum à titre privé, et moi aussi.

A titre privé, mais sur ton temps de travail (public)...



> En fait, je crois que tu es jaloux. ...
> Mais j'ai fait des choix de vie que tu n'as pas fait, et j'ai su faire valoir
> certaines compétences.


A plusieurs reprises, tu as évoqué tes "compétences" sans jamais les expliciter.
Quelles compétences as-tu de plus que les autres dentistes: un Bac D avec un 6 en maths et une P1 au moment où il la donnait à tout le monde?

C'est ma liberté d'avoir fait ces choix,
> d'avoir osé prendre ces virages que d'autres, comme toi, n'ont pas voulu prendre
> ; ils préfèrent se morfondre, pleurer et critiquer.

C'est tout à fait moi.
Comme toi, je ne suis pas capable d'être dentiste, alors je vais faire autre chose, mais je ne viendrai pas ici, contrairement à toi, donner des leçons de morale à ceux qui ont eu le courage de le rester.

Si tu penses que tu
> m'entretiens, tu as tort, je suis très productif pour la collectivité, et c'est
> parce que je suis très productif que la collectivité accepte de me donner un
> statut particulier.

Oui, je t'entretiens.
Je connais très bien le public et en particulier l'ARS (très très bien...), et je sais ce qui s'y passe, ça n'est pas toujours productif, loin de là, même si ceux qui y bossent finissent par en être convaincus...

> J'ai effectivement une opinion raisonnablement élevée de ma personne, et ce que
> je fais à mon travail, tu ne saurais pas le faire.

Ah ouais?
Et quelle est cette "compétence" si recherchée qui t'octroie ton statut "particulier": savoir se placer au bon moment, complimenter les bonnes personnes, ou faire croire qu'on travaille?
C'est un secret d'Etat la nature de ta "compétence"?

Oh ameli, quel suspense, dis-nous tout!!!
Quel est ce super pouvoir qui t'autorise à ne plus bosser et à donner des leçons de morale à ceux qui bossent?!!!

.Tandis que moi, je saurais
> encore faire un complet, y compris en Gerber, ou virer une dent.

On a bien compris: c'est parce que tu nous domines en tout point (avec ton bac D et ton 6 en maths) que tu as obtenu ton "statut particulier".

Finalement, t'es en train de nous expliquer que t'es meilleur que nous tous ,sans nous connaître, mais quel melon tu as! :-)))
Tu veux nos tests de QI, nos bulletins scolaires?


Björn

07/12/2011 à 15h48

Et si tu répondais à ça, pour rester dans le sujet:

Björn écrivait:
--------------- :

> 2.Et bien sûr que si, notre boulot est de remplacer des dents et boucher des
> trous creusés par la négligence, la sénescence ou la malchance, comme celui d'un
> chirurgien vasculaire est de remplacer les artères pourries, comme celui d'un
> chirurgien orthopédiste est de remplacer les hanches foutues.
>
> Je te rappelle que nous sommes payés pour boucher des trous et que nous n'avons
> aucune rémunération pour remplir les missions que tu évoques, contrairement aux
> MG et aux pédiatres qui voient les enfants beaucoup plus tôt que nous.
> C'est qu'il doit bien y avoir une raison, non?
>
> Le boulot de prévention, ce sont les praticiens qui sont payés pour le faire,
> avec leurs consultations cotables à l'infini et leurs NMR qui doivent le faire:
> les pédiatres et les généralistes.
>
> Ou alors tu sous-entends que ces derniers font tellement mal leur boulot, qu'on
> doive faire le leur en sus du nôtre? (en effet, un gosse maltraité par ses
> parents ne le sera généralement pas spécifiquement dans le domaine dentaire, et
> lorsqu'on le verra à 4 ans, il sera déjà trop tard, alors que le MG ou le
> pédiatre l'auront vu bien avant....).


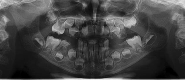
Avatar hjdsnm - Eugenol
TiGabi

07/12/2011 à 17h00

Quelques photos pour illustrer le sujet initial. Dommage que ces dents n'aient jamais eu de sealants.

Pour l'effraction pulpaire sur dent asymptomatique, je fais le protocole que Choixpeau avait mis sur le forum : hypochlorite puis adhésif directement au contact. Aucun problème à court terme pour le moment.
Si effraction plus importante : MTA.

Img 0981 wido3o - Eugenol
Img 0985 v6vgks - Eugenol
Img 0996 extg8b - Eugenol
Img 0933 sscn9e - Eugenol
Img 0952 hpdef8 - Eugenol
Img 0961 hw2kdy - Eugenol
Img 0995 jx3bus - Eugenol
Img 0999 ly9ywr - Eugenol
Img 0937 ffe5ix - Eugenol
Img 0943 bgmwje - Eugenol

ameli

07/12/2011 à 17h19

Björn écrivait:
---------------
> A titre privé, mais sur ton temps de travail (public)...

Tu n'as pas compris : je n'ai pas de temps de travail, ni même de temps de présence obligatoire, comme tout cadre sup je ne suis pas aux "35 heures". J'ai un travail à faire et je dois le faire, mais je m'organise comme je veux. J'ai des semaines à 30h et d'autres à 50, mais je ne tiens pas de décompte.
Je te signale aussi, dans la foulée, que je n'ai jamais eu un seul jour d'arrêt-maladie dans ma carrière, ni en tant que libéral, ni en tant que salarié au fauteuil, ni en tant que DC, ni dans ma fonction actuelle.

> Finalement, t'es en train de nous expliquer que t'es meilleur que nous tous
> ,sans nous connaître, mais quel melon tu as! :-)))

Je n'aime pas beaucoup me faire traiter d'incompétent, de fainéant, d'assisté, ou qu'on affirme que je suis déconnecté de la réalité dentaire. J'ai au minimum autant de compétences professionnelles que toi, puisque j'ai fait ton métier pendant 22 ans avec succès, que j'ai visité des centaines de cabinets, que j'ai organisé des dizaines de formations,... et on m'en attribue de supplémentaires, puisqu'on m'a proposé d'autres tâches.
Ton melon est de mettre les "fonctionnaires" dans le camp des méchants assistés tortionnaires, et de te mettre au-dessus de la mélée, dans le camp des gentils travailleurs éreintés par l'esclavage imposé par les fonctionnaires. Le noir et le blanc, ce n'est pas mon truc ; si c'était aussi simple, ça se saurait.
Mais quel melon tu as ! au point d'adorer le masochisme.
Si ta situation te déplait et si tu envies la mienne, tu n'as qu'à faire autre chose. Moi, je l'ai bien fait, et pourtant je suis pas si malin. Je n'ai eu que 6 en maths mais je sais prendre une initiative et prendre des risques. Donc, si tu es malheureux, au lieu de me critiquer personnellement, tu n'as qu'à faire comme moi : prépare un CV, présente ta candidature à un travail plus intéressant, et négocie un salaire. Faut savoir faire autre chose que de regarder toute sa vie dans la bouche des gens.


RépondreCiter
marco17

07/12/2011 à 17h22

ameli écrivait:
Faut savoir faire autre chose que de regarder toute sa vie dans la bouche des gens.

-1
à bon et pourquoi, tu peux développer stp