Cookie Consent byPrivacyPolicies.com12 ans déjà - Eugenol

12 ans déjà

Amibien

28/07/2011 à 14h45

Pourquoi est elle venue en consultation en urgence ? quelque chose d'excessivement vicieux, qui l'a mise "out of order" socialement parlant depuis quinze jours...


--
Petit Prince

12 ans d j  sqmpdx - Eugenol

flodec

28/07/2011 à 15h29

Pour un détartrage des taches de goudron ?


Amibien

28/07/2011 à 16h12

Je sens qu'on va s'amuser sur ce post...

Clin d'oeil à Isaïe.

--
Petit Prince


Zoe   son arriv e whwqpj - Eugenol
emma

28/07/2011 à 16h43

Amibien écrivait:
-----------------
> devinez pourquoi elle est venue me voir ?
>
> --
> Petit Prince

pour tes beaux yeux petit prince, bon je sors;)

--
"je préfère vivre en optimiste et me tromper, que vivre en pessimiste et avoir toujours raison"

emma


flodec

28/07/2011 à 17h04

Pour changer le bridge 32 à 42 et poser deux implants en 31 et 41 parceque tres trop bon en implanto ?


flodec

28/07/2011 à 17h07

oups! les couronnes sans armatures métal sont des provisoires ou plutot des ceramo-ceram?


Amibien

28/07/2011 à 18h09

flodec écrivait:
----------------
> oups! les couronnes sans armatures métal sont des provisoires ou plutot des
> ceramo-ceram?





Procera, mon chou...

--
Petit Prince


Amibien

28/07/2011 à 18h10

emma écrivait:
--------------
> pour tes beaux yeux petit prince, bon je sors;)




Emma,

tu ne m'as donc pas oublié !!!

--
Petit Prince


Amibien

28/07/2011 à 18h16

flodec écrivait:
----------------
> Pour changer le bridge 32 à 42 et poser deux implants en 31 et 41 parceque tres
> trop bon en implanto ?




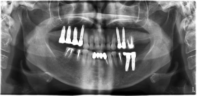
En ce qui concerne ta première proposition, ce n'est pas à l'ordre du jour, en revanche en ce qui concerne une raison possible de faire cela je te donne entièrement raison (:=))

Maintenant, je vous donne une piste,

les symptômes pour lesquells elle consulte:
Bourdonnements d'oreilles, céphalées conduisant aux nausées puis vomissements, vertiges invalidants, est restée au lit plusieurs jours de suite, ne supporte plus la lumière et porte des lunettes fumées, fatigue intense. En revanche au niveau des dents aucune douleur n'est évoquée.

Une seconde piste, après la consultation qui a duré 40 minutes elle est repartie totalment soulagée de tous ses maux.

Voyez-vous quelque chose sur cette pano qui pourrait expliquer ceci et puis cela ?

--
Petit Prince


Logocolornotext kiwlk1 - Eugenol
Clio

28/07/2011 à 19h40

Tous les signes énnoncés sont ceux décrits chez les migraineux, ou pire d'une commotion cérébrale, mais je ne vois pas bien ce qu'un dentiste peut y faire et encore moins ce que l'on paeut voir sur une pano.
je donne ma langue au chat Dr House???


003 penrd2 - Eugenol
Cingulum

28/07/2011 à 19h44

elle était coincée dans le bleu ?


--
Dr Cingulum
-----Ancien interné----
----Attaché à l'apex----
www.clinic-all.fr formation par passion


Rorschachwhite tx6rqr - Eugenol
Candide Candida

28/07/2011 à 19h46

Comment Dieu possible peut-on avoir autant d'os en postérieur (au maxillaire) quand 90% de mes patients ont 4-5 mm grand maximum !!

CCalimero.


Amibien

28/07/2011 à 20h04

Candide Candida écrivait:
-------------------------
> Comment Dieu possible peut-on avoir autant d'os en postérieur (au maxillaire)
> quand 90% de mes patients ont 4-5 mm grand maximum !!
>
> CCalimero.






réjouis-toi, tu peux leur coller une greffe sinusale en plus des implants !

--
Petit Prince


Amibien

28/07/2011 à 20h07

Vous ne voyez pas ce qu'un dentiste pourrait y faire ? C'est là que se trouve justement le coeur du problème. Au contraire, un dentiste est le mieux placé parmi les professionnels de la santé pour diagnostiquer et aider.

Sur la pano, il est possible de déceler, du moins le suspecter fortement, ce qui d'un point de vue mécanique est partie prenante et déterminante dans ce qui arrive de fâcheux à la patiente.


Ratmusque

28/07/2011 à 20h31

Usure des Céram, diminution de la DV?


41467 100000418256397 4215 n ypxyho - Eugenol
starsky55

28/07/2011 à 20h48

Taille des implants impressionnante ! Elle risque pas de les perdre...Généralement, migraines,etc =bruxisme . . . Gouttière , problème de dv . . .


belette

28/07/2011 à 20h58

la 13 parait bien longue par rapport aux autres ? y'a béance antérieure? égression et prématurité? déséquilibre occlusal? compression articulaire?

^ ... ^
Ô"""Ô
= o =... Et 12 ans en arriére il s'est passé quoi ?


Dos02 qpcfgi - Eugenol
Rick

28/07/2011 à 21h15

De deu bon sang la 12


Photo pluton1b h9n4ea - Eugenol
pluton

28/07/2011 à 21h15

Amibien écrivait:
-----------------

> Sur la pano, il est possible de déceler, du moins le suspecter fortement, ce qui
> d'un point de vue mécanique est partie prenante et déterminante dans ce qui
> arrive de fâcheux à la patiente.

usure des 2 centrales sup, non?


Canin

28/07/2011 à 22h28

Syndrome d'Eagle / ou du processsus styloïde long.

Mais bon si on commence à commenter tous les détails de la pano on a pas fini.

--
Canin


Img 1744 z0evts - Eugenol
dumaille

28/07/2011 à 23h13

c'est pas vraiment les symptômes du s d'eagle.
tu trouve vraiment que les processus styloïdes sont très calcifié?


--
La vie est une fête!


S2y2o1v7q53ws4r5wy6ou8czrpom - Eugenol
pxav

28/07/2011 à 23h24

tout ça par ce qu'elle ne suporte pas l'extension au niveau de 35/36 elle veut que tu repositionne l'implant correctement et que tu fasse une vraie prothèse!
Petite pince.
mdr

--
xbk
"Si tous ceux qui croient avoir raison n'avaient pas tort, la vérité ne serait pas loin" Dac Pierre


Canin

28/07/2011 à 23h24

non pas convaincu mais bon je participe au jeu de la devinette

--
Canin


Image001 e0kg9q - Eugenol
clemsdent

29/07/2011 à 00h06

égression 17 ?

:-)



Image001 e0kg9q - Eugenol
clemsdent

29/07/2011 à 00h14

peut être une interférence 17 lors des latéralités?
par contre je vois pas pourquoi ça lui fait un problème après 12 ans par contre
(perte 47 récente?)


12...