Cookie Consent byPrivacyPolicies.comA votre avis - Eugenol

A votre avis

33.2 - Eugenol
scuba06

28/07/2011 à 13h56

Bonjour à tous,
Je voudrai vous soumettre ce cas, et savoir ce que vous feriez à ma place:

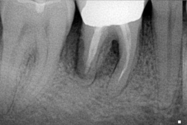
Patient (et ami) de 40 ans en bonne santé.
En mars 2011 abcès paro sur 46: antibiotique puis assainissement des poches, irrigation et mise en place de Paroclean.

Mais la semaine dernière : à nouveau abcès (voir radio)

Je me propose de faire un lambeau pour placer de l'endogain. Mais la poche se situe en lingual :
il y a 3mm de rétraction gingivale, 4mm de poche en mésial, 6mm à la furcation et 4mm en distal (désolé pas de photo !)

Merci pour vos avis

46 helnzv - Eugenol

flodec

28/07/2011 à 14h40

scuba06 écrivait:
-----------------

> En mars 2011 abcès paro sur 46: antibiotique puis assainissement des poches,
> irrigation et mise en place de Paroclean.
>
> Mais la semaine dernière : à nouveau abcès (voir radio)
>

T'as vu la gueule de l'obturation endo?
T'as fait un sondage?
Peut etre que ton abcés paro est tout simplement une lésion endo-paro.
Moi je reprendrais le traitement endo en premiere intension ensuite on passe à la paro.


Zoe   son arriv e whwqpj - Eugenol
emma

28/07/2011 à 14h41

salut scuba, je vais sans doute me faire renvoyer dans les cordes, mais quelque part ça m'amuse;);)

ça ressemble étrangement à un problème endo- paro, même si le traitement radiculaire semble correct (petit bémol l'instrument fracturé en mésial)

Soit:

-tu extrais, puisque ton traitement paro a échoué.

soit:

-tu as un laser lokki et après dépose de la couronne tu reprends l'endo en essayant soit d'extraire l'instrument fracturé soit de le contourner (sans doute plus facile).

-tu obtures au laser, tu fais dans la séance la reconstitution fibrée, tu mets une couronne temporaire (ça c'est pour l'endo)

-dans le même temps tu traites le problème paro au laser diode avec le protocole que j'ai décrit dans un autre post, et puis tu laisses faire dame Nature en enseignant très rigoureusement l'hygiène bucco dentaire à ton patient.

soit:

tu adresses à un confrère (soeur) qui a ces deux lasers.



--
"je préfère vivre en optimiste et me tromper, que vivre en pessimiste et avoir toujours raison"

emma


Marque a3 orange fyvhyq - Eugenol
Marc Apap

28/07/2011 à 15h16

Avant de sortir la grosse artillerie et après avoir déposé la couronne, tu regardes surtout si la racine distale n'est pas fêlée.


Grueavatar nptrc9 - Eugenol
Le Choixpeau magique

28/07/2011 à 15h34

Déjà tu vires la dent et ensuite on réfléchi.

(le paroclean ne correspond pas aux recommandations sur les antibiotiques, cf Affsaps).


Zoe   son arriv e whwqpj - Eugenol
emma

28/07/2011 à 16h33

Marc Apap écrivait:
-------------------
> Avant de sortir la grosse artillerie et après avoir déposé la couronne, tu
> regardes surtout si la racine distale n'est pas fêlée.

C'est quoi la grosse artillerie, la reprise endo? Parce que franchement l'endo n'est pas top, non?

admettons que ce soit une félure, avec les techniques de reconstitutions adhésives actuelles on peut très bien reparer la dent.
--
"je préfère vivre en optimiste et me tromper, que vivre en pessimiste et avoir toujours raison"

emma


Image h0nqdy - Eugenol
yannou17

28/07/2011 à 17h32

salut a tous
à ta place j'extrait , je laisse cicatriser et j'implante.
si tu persistes tu risques non seulement de perdre encore + d'os mais en + de perdre un ami.
pour ce qui est du laser j'aimerais connaitre le taux de réussite de ce genre de traitement à moyen terme et pour quel coût pour le patient?

--


Fouilla h6plsy - Eugenol
fouilla

28/07/2011 à 18h12

en aviation un premier problème danger
un deuxième problème fatal

qu'est ce que tu as en antagoniste ?

ici
atteinte paro en distal en doigt de gant il me semble
atteinte de la furcation
instrument pété intracanalaire
endo douteuse

on fait quoi capitaine ?

edit : dans pareil cas (je vais être déasagréable ) mettre du perilinpinpin ou mitrailler avec la guerre des étoile apportera quoi ? si je sais : un peu de sous ... ou ça c'est méchant mais ce sera ma pensée du jour plus tu vas attendre plus tu vas perdre du bon nonos pour t'éviter de greffer en préimplantaire c'est un ami tu m'as dit non ?

--
.


200106 10150128247663588 709988587 6466236 5598391 n d7mksb - Eugenol
hallboy

28/07/2011 à 18h51

pareil.


33.2 - Eugenol
scuba06

28/07/2011 à 18h59

Tout d'abord merci pour vos réponses divers et varies..

Je crois que je me suis laissé perturbé par le fait que c'est un ami... : "puisque c'est toi, je vais essayer..."

Même si l'endo n'est pas terrible, l'historique de la lésion montre que c'est purement paro (désolé je ne peux exporter les anciennes radios...)

Pour le patient (encore plus si c'est un ami : il compte encore plus sur nous !)la solution extraction/implant est radicale ("il est avec sa jolie couronne, certes il a un abcès ...mais de là à extraire..")

Le Laser ? pourquoi pas, mais ce n'est jamais qu'un outil. En endo, il est prouvé, dans les revues internationales qu'il n'offre pas de résultats supérieurs aux méthodes usuelles. En paro ?? je ne pense pas que les taux de succès sont augmentés en utilisant un laser..


Rorschachwhite tx6rqr - Eugenol
Candide Candida

28/07/2011 à 19h08

hallboy écrivait:
-----------------
> pareil.

+1

Encore plus si c'est un ami je ne lui ferait perdre du temps, de l'argent et de l'os.

Encore plus si c'est un ami je blinderai mon plan de tt : quitte même à en faire trop.

Par contre si c'est moi qui suis à l'origine de tout ça : endo, prothèse, etc ... je ne dis pas que je tenterai pas le Laser, mais sans conviction.

CC.


Fouilla h6plsy - Eugenol
fouilla

28/07/2011 à 19h14

Candide Candida écrivait:
-------------------------

>
> Par contre si c'est moi qui suis à l'origine de tout ça : endo, prothèse, etc
> ... je ne dis pas que je tenterai pas le Laser, mais sans conviction.
>
> CC.

même pas que je te crois !!!
--
.


200106 10150128247663588 709988587 6466236 5598391 n d7mksb - Eugenol
hallboy

28/07/2011 à 20h40

;))
On doit etre 3 buses tombés du mm nid , parce qu'on partage souvent les mm avis ;)


Marque a3 orange fyvhyq - Eugenol
Marc Apap

28/07/2011 à 21h14

emma écrivait:
--------------

> admettons que ce soit une félure, avec les techniques de reconstitutions
> adhésives actuelles on peut très bien reparer la dent.


Nous avions Saint Thomas qui ne croyait que ce qu'il voyait, maintenant, nous avons Sainte Emma qui croit au Père Noël.
Scuba, si ta lésion est comme tu le penses d'origine parodontale, comment l'expliques-tu ?


200106 10150128247663588 709988587 6466236 5598391 n d7mksb - Eugenol
hallboy

28/07/2011 à 21h32

emma écrivait:

> admettons que ce soit une félure, avec les techniques de reconstitutions
> adhésives actuelles on peut très bien reparer la dent.

Tous les 3 ou 4 ans je tente le coup au superbond. ça n'a marché que la première fois en 1991 je crois. Bon, j'ai pas vu le patient depuis 10 ans...

Echec entre 3 mois et un ans dans les autres cas. Et je le ferai plus: trop de risque d'os a perdre sur les parois V avec necessité de greffe derriere..


Rorschachwhite tx6rqr - Eugenol
Candide Candida

28/07/2011 à 21h53

J'avais lue une étude Japonaise qui sur des racines fracturées, extrayaient la dent puis hors bouche recollaient les morceaux au Superbond, puis réimplantaient la dent.

...

Bon l'idée c'était surtout d'attendre en vue d'un implant :-))

J'ai depuis personnellement modifié leur protocole : j'extrais la dent, je la recolle hors bouche au Superbond puis ... je la jette à la poubelle et je met un implant de suite.

J'ai de biens meilleurs résultats ;-)

CC.


Marque a3 orange fyvhyq - Eugenol
Marc Apap

28/07/2011 à 21h57

Certes, mais c'est parce que tu n'avais pas désinfecté, que dis-je stérilisé, que dis-je vitrifié, que dis-je bio-stimulé préalablement la lésion au laser.
La lumière pénètre là où la main de l'homme n'a jamais mis le pied et délivre sa puissance jusqu'aux tréfonds des canalicules dentinaires et de leurs ramifications collatérales.
Associée à la force vitale de l'eau de Javel, potentialisée par l'oxygène actif du peroxyde d'hydrogène à 10%, l'énergie lumineuse volatilise en un éclair bactéries et virus dans les moindres recoins, jusques et y compris les failles, fissures, fêlures, défauts, cracks et craquelures les plus infimes, les plus microscopiques, les plus insoupçonnées, délivrant les heureux bénéficiaires des miasmes nauséabonds qui putréfient insidieusement leur denture, et les menant bien vite, ô joie suprême, à une guérison ferme et définitive, telle le contrat de confiance Darty. Alléluia !


Fouilla h6plsy - Eugenol
fouilla

29/07/2011 à 10h56


j'étais un peu trop fatigué hier soir mais
marc merci
c'est la première fois ou tu me fais exploser de rire de la sorte
la mise en bouche de CC était bien aussi

un bon moment de détente après une journée d'enfer ...

--
.


Grueavatar nptrc9 - Eugenol
Le Choixpeau magique

29/07/2011 à 12h12

Marc, tu es mûr pour lancer ta propre formation !


Zoe   son arriv e whwqpj - Eugenol
emma

29/07/2011 à 12h26

fouilla écrivait:
-----------------
>
> edit : dans pareil cas (je vais être déasagréable ) mettre du perilinpinpin ou
> mitrailler avec la guerre des étoile apportera quoi ? si je sais : un peu de
> sous ...

c'est vrai que les clous c'est sans incidence pécuniaire pour les patients alors que le laser, mazette quelle dépense inconsidérée!!! et surtout pour rien.
> --
> .


--
"je préfère vivre en optimiste et me tromper, que vivre en pessimiste et avoir toujours raison"

emma


Fouilla h6plsy - Eugenol
fouilla

29/07/2011 à 12h40

emma écrivait:
-
> c'est vrai que les clous c'est sans incidence pécuniaire pour les patients alors
> que le laser, mazette quelle dépense inconsidérée!!! et surtout pour rien.
> > --
> > .
>
>
> --
> "je préfère vivre en optimiste et me tromper, que vivre en pessimiste et avoir
> toujours raison"
>
> emma

puisque tu parles de dépense : effectivement dans un pareil cas "tenter" de résoudre le problème avec laser et collage me semble effectivement une dépense inutile et je pèse mes mots..

pour soigner les maux du patients effectivement "l'investissement" implantaire me semble raisonnable et raisonné dans pareil cas car même si le montant est plus important (j'en conviens) il aura au moins un "retour" sur investissement.

emma ne confonds pas : je n'attaque pas le l... (que je ne maîtrise pas) mais ce que j'attaque ici c'est l'indication .
et quand je te dis que je ne connais pas je mens un peu car à une certaine époque je me suis amusé avec "les" l... car souviens toi c'était quelqu'un de Lyon qui était un pionnier dans le domaine et qui avait à sa disposition toutes les nouvelles machines dans son service pour tests .

tu me sembles "irritable" sur le sujet de "la guerre des étoiles " mais c'est bien d'être passionnée et de nous transmettre cette passion .
--
.


ptitjeune

29/07/2011 à 12h42

emma écrivait:
--------------

>
> -tu obtures au laser,


je ne connais pas cette technique, peux tu développer stp?


Marque a3 orange fyvhyq - Eugenol
Marc Apap

29/07/2011 à 13h57

ptitjeune écrivait:
-------------------
> emma écrivait:
> --------------
>
> >
> > -tu obtures au laser,
>
>
> je ne connais pas cette technique, peux tu développer stp?

Tiens, cadeau : c'est le Yap Yap Carrefour du jour
http://dr-rey-gerard.chirurgiens-dentistes.fr/content/laser-canaux-dentaires-parodontologiste-montpellier


Zoe   son arriv e whwqpj - Eugenol
emma

29/07/2011 à 17h24

ptitjeune écrivait:
-------------------
> emma écrivait:
> --------------
>
> >
> > -tu obtures au laser,
>
oui gamin, (terme amical à cause de ton pseudo et parce que j'ai bientôt 60 berges...)

>
> je ne connais pas cette technique, peux tu développer stp?

la technique que j'applique a été mise au point par quelqu'un qui me manque terriblement, qui était lui même un pionnier des traitements laser assisté et de nonol le bien nommé al, disparu à la fleur de l'âge.

--
"je préfère vivre en optimiste et me tromper, que vivre en pessimiste et avoir toujours raison"

emma


Marque a3 orange fyvhyq - Eugenol
Marc Apap

30/07/2011 à 18h50

Marc Apap écrivait:
-------------------
> Certes, mais c'est parce que tu n'avais pas désinfecté, que dis-je stérilisé,
> que dis-je vitrifié, que dis-je bio-stimulé préalablement la lésion au laser.
> La lumière pénètre là où la main de l'homme n'a jamais mis le pied et délivre sa
> puissance jusqu'aux tréfonds des canalicules dentinaires et de leurs
> ramifications collatérales.
> Associée à la force vitale de l'eau de Javel, potentialisée par l'oxygène actif
> du peroxyde d'hydrogène à 10%, l'énergie lumineuse volatilise en un éclair
> bactéries et virus dans les moindres recoins, jusques et y compris les failles,
> fissures, fêlures, défauts, cracks et craquelures les plus infimes, les plus
> microscopiques, les plus insoupçonnées, délivrant les heureux bénéficiaires des
> miasmes nauséabonds qui putréfient insidieusement leur denture, et les menant
> bien vite, ô joie suprême, à une guérison ferme et définitive, telle le contrat
> de confiance Darty. Alléluia !

Damned ! Aurais-je été trop optimiste ?
http://www.ncbi.nlm.nih.gov/pubmed/21689561


12