Cookie Consent byPrivacyPolicies.compremier test vidéo - Eugenol

premier test vidéo

Photo pluton1b h9n4ea - Eugenol
pluton

05/08/2011 à 13h08

pxav écrivait:
--------------
> pinacle ne pourra rien au cadrage, il faut être 3 (un pour la vidéo) ou bien
> faire des plan plus large sinon ..

oui, au début de l'intervention le cadrage n'était pas bon...je l'ai modifié ensuite...simplement en abaissant un peu le fauteuil...;-)

entièrement d'accord sur le fait qu'il faut être 3...mais en ces périodes de vacances, je ne dispose que d'une assistante pour les interventions...donc faut faire avec...

n'oublies pas que ce sont mes "premiers jets"...c'est un test grandeur nature, je pense ne pas m'en être trop mal sorti pour une première...non?


Img 3657 cwjvqm - Eugenol
alapex

05/08/2011 à 13h09

C'est oublier la fonction zoom , et les caches sur les 4 côtés , plus le recadrage au centre par la suite...


Photo pluton1b h9n4ea - Eugenol
pluton

05/08/2011 à 13h15

alapex écrivait:
----------------
> C'est oublier la fonction zoom , et les caches sur les 4 côtés , plus le
> recadrage au centre par la suite...

je suis encore un "bleu" dans le montage vidéo...mais petit à petit, j'explore les possibilités logicielles...;-)


Img 3657 cwjvqm - Eugenol
alapex

05/08/2011 à 13h33

Tu as mis le doigt dans le très , très , très chronophage . Depuis que j'ai téléchargé Blender , même avec les tutoriels trouvés sur Youtub , et un lien que Béotien m'a gentiment filé...je n'ai plus eu le temps , ou exactement pas eu le temps de m'y mettre .


Casque beotien a3jo39 - Eugenol
beotien

08/08/2011 à 19h15

alapex écrivait:
----------------
> Tu as mis le doigt dans le très , très , très chronophage . Depuis que j'ai
> téléchargé Blender , même avec les tutoriels trouvés sur Youtub , et un lien que
> Béotien m'a gentiment filé...je n'ai plus eu le temps , ou exactement pas eu le
> temps de m'y mettre .


salut je reprends demain, 6 semaines de vacances çà passe vite.
chronophage!!!!!!!!!!!!!!!
La question est plutôt est ce utile pour mon exercice?
Pour moi la video,c'est non, car je ne fais pas de conférences, mais pour ceux que cela intéresse pourquoi pas

Pour mon "dream" ou fantasme (pxav), c'est certain , un peu de temps, mais bientôt je vais en gagner beaucoup à chaque étude de cas

l'implant en 16 a été déplacé,pour vous le rendre plus visible,je ferais une impression demain
Vous avez tous compris que le but est de l'envoyer au prothésiste pour avoir le provisoire avant la chir


Img 3657 cwjvqm - Eugenol
alapex

08/08/2011 à 19h59

"La question est plutôt est ce utile pour mon exercice? "

Il y a autre chose que la dentisterie...je ne comprends pas qu'ayant étudier dans la même fac , au même moment et dans la même année , nous soyons parvenus à des conclusions différentes ...)))
Je sors ....)))


S2y2o1v7q53ws4r5wy6ou8czrpom - Eugenol
pxav

08/08/2011 à 20h36

de + en + top beotien, continu l'idée est bonne

--
xbk
"Si tous ceux qui croient avoir raison n'avaient pas tort, la vérité ne serait pas loin" Dac Pierre


Casque beotien a3jo39 - Eugenol
beotien

10/08/2011 à 11h22

pxav écrivait:
--------------
> de + en + top beotien, continu l'idée est bonne
>
Un jeune confrère américain s'occupe de la suite, il pense que son add-on sera fini en septembre, il a tout automatisé mise en place des c, ajustement au collet des préparations etc....

juste une petite photo, sans son add-on

Alapex la dentisterie ne m'occupe que 120 jours par an,et toi!!
Tu es bien placé toi pour savoir que déjà à la fac on ne me voyais pas, et tu connais mes autres centres d'intérets

Je ne fais pas cela que pour le fun, AMHA le seul moyen de ne pas passer trop de temps au cab est d' optimiser les protocoles et de les automatiser au max


Img 3657 cwjvqm - Eugenol
alapex

10/08/2011 à 21h16

Scrogneugneu ...


Photo pluton1b h9n4ea - Eugenol
pluton

12/08/2011 à 02h15

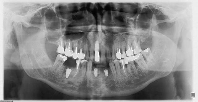
un autre petit test...;-)

ici, 2 implants dentium




P.S: comme vous le voyez au départ j'ai bien essayé avec l'optragate...mais le patient me le "recrachait" toutes les 30 secondes!!!
j'ai fini par jeter l'éponge...
a moins que je m'y soit mal pris pour le positionner...??? des "tours de mains" particuliers à avoir avec?


Img 0812 mvp6i0 - Eugenol
jeamba

12/08/2011 à 12h03

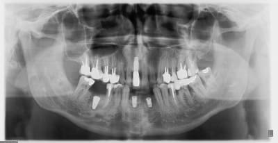
Et la radio post op pluton ?


Photo pluton1b h9n4ea - Eugenol
pluton

12/08/2011 à 12h24

la voilà jeamba...;-)

en fait 3 superline posés, mais comme j'ai qu'une assistante (période de vacances), on a pas pu modifier les réglages de prise de vue de la caméra pour la 46...;-)

je sais, il y avais de la place en antérieur pour mettre plus long...mais une sal...rie de canal incisif m'a fait renoncer à poser plus long...

Post op adk0n6 - Eugenol

Img 0812 mvp6i0 - Eugenol
jeamba

12/08/2011 à 16h21

Merci Pluton.


Amibien

12/08/2011 à 17h41

Pluton, fais-moi plaisir, mets lui un champ de bouche (:-))

--
Petit Prince


S2y2o1v7q53ws4r5wy6ou8czrpom - Eugenol
pxav

12/08/2011 à 18h46

Amibien écrivait:
-----------------
> Pluton, fais-moi plaisir, mets lui un champ de bouche (:-))
>
> --
> Petit Prince

+1
--
xbk
"Si tous ceux qui croient avoir raison n'avaient pas tort, la vérité ne serait pas loin" Dac Pierre


Casque beotien a3jo39 - Eugenol
beotien

12/08/2011 à 19h06

bien la video
comment prends tu la décision dentium vs implant direct?
En regardant la video je suis très étonné par ta manière de tenir ton CA surtout sans foret à butée. Ce n'est pas une critique car je suppose que c'est ainsi que tu es a l'aise

pour ce qui est de l'optragate si je rencontre l'inventeur!!


Photo pluton1b h9n4ea - Eugenol
pluton

12/08/2011 à 19h53

dentium vs ID...çà dépend de ce que je veux faire...

je trouve le dentium plus performant au niveau résultats esthétiques, mais par contre plus "pointu", délicat à poser...et il est à la fois cylindrique et conique, c'est un peu spécial...
mais quand on doit enfouir, il simplifie énormément le 2ème temps chir...une simple petite incision, et hop, on retire la vis ce couv et on remet une vis de cicat, voir même un pilier...

l'ID...c'est mon implant "fétiche" quand même, incomparable (pour moi) si je dois faire de l'expansion et ultra-polyvalent au niveau prothétique...mon choix principal pour cas similaires au "all on six" de la première vidéo...

l'optragate, il faut que je persévère...là j'ai pas trop compris pourquoi il tenais pas...je pense que c'est le patient qui me l'éjectait en permanence...


Amibien

13/08/2011 à 14h21

pluton écrivait:
----------------
> l'optragate, il faut que je persévère...là j'ai pas trop compris pourquoi il
> tenais pas...je pense que c'est le patient qui me l'éjectait en permanence...


**********************************************************


et pourquoi à ton avis ? (:-))


--
Petit Prince


12