Cookie Consent byPrivacyPolicies.comOu vont les jeunes dentistes? - Eugenol

Ou vont les jeunes dentistes?

Marque a3 orange fyvhyq - Eugenol
Marc Apap

25/08/2011 à 17h30

king_zoulou écrivait:
---------------------
> Marc Apap écrivait:
> -------------------
> > Bon, moi qui reprenais allègrement aujourd'hui, j'ai le moral plombé pour tout
> > le week-end. Et pourtant, j'ai regardé mes comptes, ce n'est pas si mal que ça
> > finalement. Mais bon Dieu, qui croire ???
>
> Décontracte !
> En France, avec 1500 euros net par mois tu peux vivre bien !
> Moi qui ait des besoins inexistants, je peux même vivre largement bien avec 800
> euros net par moi.
> Mais de lire que certains pensent encore qu'en se tournant les pouces et en se
> touchant la nouille, tu vas gagner 10 000 euros par mois, ça me fait rire.

D'accord pour la deuxième partie, mais franchement, si je ne gagnais que 1500 €, je ne ferais pas dentiste .


Grueavatar nptrc9 - Eugenol
Le Choixpeau magique

25/08/2011 à 17h30

dds écrivait:
-------------
> En regardant les chiffres de Cingulum (plutôt très très bons).

Cingulum c'est pas vraiment non plus le praticien lambda.

Je me suis (beaucoup) inspiré de ce qu'il a fait pour ma création, mais le résultat n'est pas vraiment au même niveau...


marco17

25/08/2011 à 17h34

flodec écrivait:
> ----------------


T'as déjà exercé dans ces départements toi ?
parce que sinon c'est trop facile de jouer au donneur de leçons quand certains viennent parler de vrais problèmes sur ce forum.

oui sinon je ne le dirais pas;
dans le 85 et le 16
mais croire que si on fait 400keuros on fait de la merde c'est n'importe quoi.
perso je fais 300 ça te va je travaille bien !!!


Marque a3 orange fyvhyq - Eugenol
Marc Apap

25/08/2011 à 17h35

dds écrivait:
-------------
> Marc Apap écrivait:
> -------------------
>
> > je préfère proposer des couronnes sur dents vivantes. J'en fait vraiment
> > beaucoup.
>
> Questions:
> quelles sont tes indications de couronnes sur dents vivantes? Pourquoi en faire
> plus que des inlays ou onlays?
> Quels sont tes taux d'échecs (nécrose)? 20%?

Tout délabrement important qui ne peut être traité par une obturation directe en composite. Pas d'échec noté, ou alors c'est extrêmement marginal (sur une dizaine d'années).
Je fais de temps en temps des onlays métalliques.
Les onlays en céramique, de toutes façons, au bout de qq années, se voient au niveau de la limite avec le reste de la dent car les teintes deviennent très différentes. Les limites d'une couronnes ne sont pas nécessairement sous gingivales, donc pas iatrogènes.


Logo qw3xdt - Eugenol
dds

25/08/2011 à 17h36

marco17 écrivait:
-----------------
> flodec écrivait:
> > ----------------
>
>
> T'as déjà exercé dans ces départements toi ?
> parce que sinon c'est trop facile de jouer au donneur de leçons quand certains
> viennent parler de vrais problèmes sur ce forum.
>
> oui sinon je ne le dirais pas;
> dans le 85 et le 16
> mais croire que si on fait 400keuros on fait de la merde c'est n'importe quoi.
> perso je fais 300 ça te va je travaille bien !!!

Tu fais de l'implanto ou de la paro?


steg

25/08/2011 à 17h43

dds écrivait:
-------------
> marco17 écrivait:
> -----------------
> > flodec écrivait:
> > > ----------------
> >
> >
> > T'as déjà exercé dans ces départements toi ?
> > parce que sinon c'est trop facile de jouer au donneur de leçons quand certains
> > viennent parler de vrais problèmes sur ce forum.
> >
> > oui sinon je ne le dirais pas;
> > dans le 85 et le 16
> > mais croire que si on fait 400keuros on fait de la merde c'est n'importe quoi.
> > perso je fais 300 ça te va je travaille bien !!!
>
> Tu fais de l'implanto ou de la paro?

Si les jeunes ils allaient un peu bosser au lieu de passer leur temps sur eugenol,ils gagneraient mieux leur vie.
ps :je suis pas vieux mais je fais de la paro et de l'implanto alors j'ai le temps d'aller sur eugenol


Grueavatar nptrc9 - Eugenol
Le Choixpeau magique

25/08/2011 à 17h43

Cingulum écrivait:
------------------
> Mais il faut arrêter de déconner si vous avez n'avez pas de traitement avec des
> facettes, des onlay, de la paro, des implants... c'est peut être un peu de votre
> faute, car les patients ils en ont besoin eux....

Hier, un couple qui se pointe avec son fils adolescent de 17 ans, disent qu'il a eu des scellements de sillon quand il était plus jeune, mais que ça n'a été fait que sur 4 molaires, et ils aimeraient qu'on le fasse sur toutes les molaires.

- Comment se fait-il Docteur, qu'on ne lui ai pas proposé d'en faire sur toutes les dents ?

- Je ne sais pas, peut être que c'est parce qu'en France la prévention n'est pas très répandue et que certains dentistes n'osent pas proposer des soins non remboursés.

- Ah oui, on a lu que ce n'était pas remboursé après 14 ans, mais c'est pas grave on veut les faire quand même !

Super idée, je regarde en bouche, sillons bien anfractueux infiltrés dégueulasses, sur certaines dents je devrais peut être mettre du flow mais c'est pas grave.

Puis la conversation reprenant, le père commence à me faire "hum, est-ce que ça ne serait pas possible de s'arranger pour que ça soit remboursé quand même par la sécu ?". Moi qui fait mine de ne pas comprendre "qu'est-ce que vous voulez dire par là, la sécu ils vont bien savoir qu'il a plus de 14 ans ?". Le père "ah oui, mais vous pourriez par exemple passer ça en détartrages". "Ah non, désolé, ce n'est pas possible".

Au bureau, je fais comme si de rien n'était et j'attends qu'ils me réclament le devis, ce qui finit quand même par arriver.
Malheureusement devant la somme gargantuesque demandée (150 euros, le même tarif que la nomenclature, je suis trop con !), j'ai droit à un "ah, c'est cher, bon bah tant pis puisque ce n'est pas possible de s'arranger avec le dentiste".

Et tout le reste est à l'avenant...


Grueavatar nptrc9 - Eugenol
Le Choixpeau magique

25/08/2011 à 17h46

Marc Apap écrivait:
-------------------
> Les onlays en céramique, de toutes façons, au bout de qq années

Faudra m'expliquer comment on peut rendre rentable des onlays céram à moins de les faire au même tarif que ses couronnes, et là dans mon cabinet je vois à quelle fréquence ils sont acceptés (on tend vers moins l'infini).

SPR50, ça passe tout de suite beaucoup mieux, c'est bizarre.


Logo qw3xdt - Eugenol
dds

25/08/2011 à 17h54

Marc Apap écrivait:
-------------------
> dds écrivait:
> -------------
> > Marc Apap écrivait:
> > -------------------
> >
> > > je préfère proposer des couronnes sur dents vivantes. J'en fait vraiment
> > > beaucoup.
> >
> > Questions:
> > quelles sont tes indications de couronnes sur dents vivantes? Pourquoi en
> faire
> > plus que des inlays ou onlays?
> > Quels sont tes taux d'échecs (nécrose)? 20%?
>
> Tout délabrement important qui ne peut être traité par une obturation directe en
> composite. Pas d'échec noté, ou alors c'est extrêmement marginal (sur une
> dizaine d'années).

Tant mieux, car les études montrent que 18% des dents vivantes qui reçoivent un couronne sont mortes au bout de 5 ans.


> Je fais de temps en temps des onlays métalliques.
> Les onlays en céramique, de toutes façons, au bout de qq années, se voient au
> niveau de la limite avec le reste de la dent car les teintes deviennent très
> différentes.

Ok, mais si tu fais ta couronne céramique supra gingivale, tu as le même problème.

>Les limites d'une couronnes ne sont pas nécessairement sous
> gingivales, donc pas iatrogènes.

Il y a un peu de iatrogénicité à partir du moment où tu tailles des zones saines non?


Logo qw3xdt - Eugenol
dds

25/08/2011 à 17h55

Le Choixpeau magique écrivait:
------------------------------
> Marc Apap écrivait:
> -------------------
> > Les onlays en céramique, de toutes façons, au bout de qq années
>
> Faudra m'expliquer comment on peut rendre rentable des onlays céram à moins de
> les faire au même tarif que ses couronnes, et là dans mon cabinet je vois à
> quelle fréquence ils sont acceptés (on tend vers moins l'infini).
>
> SPR50, ça passe tout de suite beaucoup mieux, c'est bizarre.
>

C'est clair que dès que le patient n'a rien ou peu à débourser, ça passe beaucoup mieux...


Logo qw3xdt - Eugenol
dds

25/08/2011 à 17h55

Le Choixpeau magique écrivait:
------------------------------
> Marc Apap écrivait:
> -------------------
> > Les onlays en céramique, de toutes façons, au bout de qq années
>
> Faudra m'expliquer comment on peut rendre rentable des onlays céram à moins de
> les faire au même tarif que ses couronnes, et là dans mon cabinet je vois à
> quelle fréquence ils sont acceptés (on tend vers moins l'infini).
>
> SPR50, ça passe tout de suite beaucoup mieux, c'est bizarre.
>

C'est clair que dès que le patient n'a rien ou peu à débourser, ça passe beaucoup mieux...


marco17

25/08/2011 à 17h56

-----------------
> > flodec écrivait:
> > > ----------------

>
> Tu fais de l'implanto ou de la paro?

paro non chir Charon

implanto Straumann


Grueavatar nptrc9 - Eugenol
Le Choixpeau magique

25/08/2011 à 17h56

dds écrivait:
-------------
> Tant mieux, car les études montrent que 18% des dents vivantes qui reçoivent un
> couronne sont mortes au bout de 5 ans.


Tu aurais les références de ton étude, stp ?


king_zoulou

25/08/2011 à 17h58

gille écrivait:
---------------
> king zoulou écrvait:
> 40 ans d'expérience et faire en une minute ce que les débutants font en 20.
>
> euh tu pourrais me donner un exemple d'actes que je pourrais faire en 1 minutes
> à 40 ans d'expérience et que je ne peux pas faire maintenant?

C'était métaphorique, pour illustrer le fait qu'avec 40 ans d'expérience, d'automatisme et d'optimisation du rendement, tu fais forcément beaucoup plus vite qu'au démarrage.


marco17

25/08/2011 à 18h00


> ps :je suis pas vieux mais je fais de la paro et de l'implanto alors j'ai le temps d'aller sur eugenol

j'ai même le temps de jouer à age of empire online
ça me rappelle ma "jeunesse"


003 penrd2 - Eugenol
Cingulum

25/08/2011 à 18h01

aie, mince je dois etre dans une region extra ordinaire alors
parce que je fais des compos stratifiés et je fais des endos sous digue avec tout ce qu'il faut comme matos et comme temps...
et pourtant oui je suis a 285€ de l'heure de CA
Les restaurations partielles collées (onlay et facette) représentent environ 9% du CA
Dans un exercice il ne doit rien avoir de systematique... pas plus un facette que l' indication d'un compo stratifié...
Et si on propose ce qui est bon pour les patients (un gros compo posterieur c'est moins bon qu'un onlay...) au final notre activité fonctionne...

Toujours étonné des praticiens qui ne font pas de restaurations partielles a leur patient, ne savent meme pas combien ça coute, mais quand ils ouvrent la bouche c'est marrant ils ont des onlays en or....

Et croire qu'on peut choisir ses patients c'est une illusion !!!
c'est plutôt le contraire




dds écrivait:
-------------
> Cingulum écrivait:
>
> > Bien sur on fait tous a nos patients ce que l'on sait faire et ce qu'on aime
> > faire, puisqu'on est alors plus persuasif.
> > Mais il est anormal aujourd'hui de ne jamais faire d'onlay (metal ou ceram),
> de
> > facette, de prothèse sur implant... etc...
> > Aprés il y a tellement de parametre qui rentre en jeux, comme par exemple que
> > les patients viennent pour ce que l'on sait faire...
> > Au départ ce qui est important c 'est le diagnostic et le traitement
> > adéquate.... le reste n'est qu'organisation
>
> Je suis d'accord qu'il n'est pas normal de ne jamais en faire ou en proposer.
> Cependant une facette céramique ne se fait pas systématiquement, et la plupart
> des cas nécessitent uniquement une restauration composite.
> Dans ce cas, que fais-tu pour 40,97€? Uniquement du compo dentine?
> Tu ne dois pas pouvoir faire 285€/h en faisant des restaurations antérieures
> composite stratifiées.


--
Dr Cingulum
-----Ancien interné----
----Attaché à l'apex----
www.clinic-all.fr formation par passion


Logo qw3xdt - Eugenol
dds

25/08/2011 à 18h03

Le Choixpeau magique écrivait:
------------------------------
> dds écrivait:
> -------------
> > Tant mieux, car les études montrent que 18% des dents vivantes qui reçoivent
> un
> > couronne sont mortes au bout de 5 ans.
>
>
> Tu aurais les références de ton étude, stp ?

Saunders WP, Saunders EM. Prevalance of periradicular periodontitis associated with crowned teeth in an adult Scottish subpopulation. Br Dent J. 1998

Felton D, Madison S, Kanoy E et al. Long term effects of crown preparations on pulp vitality. J Dent Res 1989

Entre autre, mais il doit y en avoir d'autres


Marque a3 orange fyvhyq - Eugenol
Marc Apap

25/08/2011 à 18h07

dds écrivait:
-------------

> Tant mieux, car les études montrent que 18% des dents vivantes qui reçoivent un
> couronne sont mortes au bout de 5 ans.

???

>
> Ok, mais si tu fais ta couronne céramique supra gingivale, tu as le même
> problème.

Non, le problème est différent.

> Il y a un peu de iatrogénicité à partir du moment où tu tailles des zones saines
> non?

Bon, alors qu'est ce qu'on fait ? On ne fait rien pour ne pas être iatrogène, ou on soigne quand même en prenant des risques mesurés ? Faut être réaliste : la dentisterie, ça exige de se mouiller un peu. Chacun choisi si c'est juste les orteils, la taille ou bien se met la tête sous l'eau. Avec ton logo, n'hésite pas : dans ton île, la mer est la plus chaude de France !


003 penrd2 - Eugenol
Cingulum

25/08/2011 à 18h09

on commence a lire n'importe quoi ici... :(
La teinte d'une dent qui change sous un onlay...pouarffff vous avez pas du en faire beaucoup pour dire des trucs comme ça....

Pour Choipeau:
onlay ceram:
RDV1 Anesthésie, prep, provisoire 30 mn
RDV2 Anesthesie, collage 30mn
cout labo 61€
Facturation patient 330€
temps passé 1h, 330€ de l'heure
cout pour le patient 290 € quand il reste 290€ a charge sur la couronne vous la proposez pas à votre patient...
et le patient il a pas le droit de savoir qu'un onlay c'est mieux qu'une prep peripherique...

Alors c'est sur il faut en faire régulièrement pour arriver dans c'est chiffres là....




--
Dr Cingulum
-----Ancien interné----
----Attaché à l'apex----
www.clinic-all.fr formation par passion


Logo qw3xdt - Eugenol
dds

25/08/2011 à 18h12

Marc Apap écrivait:
-------------------
> dds écrivait:
> -------------
>
> > Tant mieux, car les études montrent que 18% des dents vivantes qui reçoivent
> un
> > couronne sont mortes au bout de 5 ans.
>
> ???
>
> >
> > Ok, mais si tu fais ta couronne céramique supra gingivale, tu as le même
> > problème.
>
> Non, le problème est différent.


Pourquoi?


>
> > Il y a un peu de iatrogénicité à partir du moment où tu tailles des zones
> saines
> > non?
>
> Bon, alors qu'est ce qu'on fait ? On ne fait rien pour ne pas être iatrogène, ou
> on soigne quand même en prenant des risques mesurés ? Faut être réaliste : la
> dentisterie, ça exige de se mouiller un peu. Chacun choisi si c'est juste les
> orteils, la taille ou bien se met la tête sous l'eau. Avec ton logo, n'hésite
> pas : dans ton île, la mer est la plus chaude de France !
+

Je ne dis pas qu'on n'est pas parfois obligé d'être destructeur. Je pense (c'est juste mon avis après tout) qu'il vaut mieux être au minimum invasif dans la plupart des cas, c'est tout.


Logo qw3xdt - Eugenol
dds

25/08/2011 à 18h16

Cingulum écrivait:
------------------
> on commence a lire n'importe quoi ici... :(
> La teinte d'une dent qui change sous un onlay...pouarffff vous avez pas du en
> faire beaucoup pour dire des trucs comme ça....
>
> Pour Choipeau:
> onlay ceram:
> RDV1 Anesthésie, prep, provisoire 30 mn
> RDV2 Anesthesie, collage 30mn
> cout labo 61€
> Facturation patient 330€
> temps passé 1h, 330€ de l'heure
> cout pour le patient 290 € quand il reste 290€ a charge sur la couronne vous la
> proposez pas à votre patient...
> et le patient il a pas le droit de savoir qu'un onlay c'est mieux qu'une prep
> peripherique...
>
> Alors c'est sur il faut en faire régulièrement pour arriver dans c'est chiffres
> là....
>
>

Tout ça en 1h, je dis chapeau l'artiste. Combien d'années d'expérience?


003 penrd2 - Eugenol
Cingulum

25/08/2011 à 18h19

environ 10 ans...
Mais c'est comme tout si tu fais 2 onlay dans l'année tu vas galéré et avoir plein de problème....
On ne fait bien que ce qu'on fait souvent...




--
Dr Cingulum
-----Ancien interné----
----Attaché à l'apex----
www.clinic-all.fr formation par passion


Logo qw3xdt - Eugenol
dds

25/08/2011 à 18h27

Cingulum écrivait:
------------------
> environ 10 ans...
> Mais c'est comme tout si tu fais 2 onlay dans l'année tu vas galéré et avoir
> plein de problème....
> On ne fait bien que ce qu'on fait souvent...

Tout à fait d'accord.
Sinon tu fais comment tes provisoires? Protemp/équivalent?


003 penrd2 - Eugenol
Cingulum

25/08/2011 à 18h28


oui protemp dans 90% des cas, onlay résine par automoulage dans 10% des cas....

--
Dr Cingulum
-----Ancien interné----
----Attaché à l'apex----
www.clinic-all.fr formation par passion


003 penrd2 - Eugenol
Cingulum

25/08/2011 à 18h32


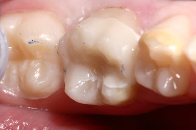
un exemple d'onlay par automoulage scellé temp bond... dans ces cas avec peu de calage , les protemps ont tendance à se barrer... On peut aussi sinon scellé l'onlay provisoire en protemp au temp bond...

--
Dr Cingulum
-----Ancien interné----
----Attaché à l'apex----
www.clinic-all.fr formation par passion

Img 9912 izs0t5 - Eugenol
Img 9914 ql493v - Eugenol

12345...