Cookie Consent byPrivacyPolicies.comPerte de la 21 solution? - Eugenol

Perte de la 21 solution?

DocteurM

29/08/2011 à 23h49

Bonjour,
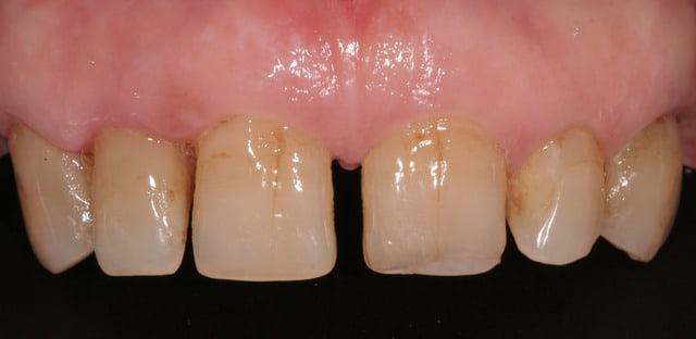
suite a un trauma sur la 21, la patiente se presente avec une mobilite, et une poche de 9mm en Vestibulaire. Des couronnes Zirconia lui ont été realisées il y a de cela 2 ans. initialement pas de mobilité dentaire. tout est normal.
Maintenant je suis confrontée au plan de traitement a suivre? extraire et bridge 13-23 (ceramo-metallique). mais et l'esthétique????
ou bien greffe et eventuellement pose d'un implant mais traitement long et le resultat non garanti (surtout que la 11 a un pronostic douteux)

la patiente est tres réticente quand a extraire la 21 et préfere la garder par tous les moyens.
que me proposez-vous?

Qww ktsrsm - Eugenol

Smile beach jgh0a1 - Eugenol
Céramik

30/08/2011 à 00h19

DocteurM écrivait:
------------------
> Bonjour,
> suite a un trauma sur la 21, la patiente se presente avec une mobilite, et une
> poche de 9mm en Vestibulaire. Des couronnes Zirconia lui ont été realisées il y
> a de cela 2 ans. initialement pas de mobilité dentaire. tout est normal.


Étrange la perte osseuse en 2 ans. C'est seulement du au traumas ?
La qualité de la radio n'est pas très top...


> Maintenant je suis confrontée au plan de traitement a suivre? extraire et bridge
> 13-23 (ceramo-metallique). mais et l'esthétique????

Bridge zirconia ?



> ou bien greffe et eventuellement pose d'un implant mais traitement long et le resultat non garanti (surtout que la 11 a un pronostic douteux)

Si 11 pronostic douteux, exo ?

Sinon, exo 21, greffe bio-oss, pour maintenir volume
et bridge zirconia


>
> la patiente est tres réticente quand a extraire la 21 et préfere la garder par tous les moyens. que me proposez-vous?


Tu penses sauver la 21 ?
Si elle ne veux pas l'exo, demande lui de trouver un autre CD...si possible un qui fait des miracles...



--
Céramik


Photo pluton1b h9n4ea - Eugenol
pluton

30/08/2011 à 00h23

+1 Céramik


Bebe 038 nf8eum - Eugenol
danteyeah

30/08/2011 à 01h37

En voilà un cas qui pourrait être intéressant, alors on a besoin de clichés radio interprétable (minimum OTP), de photos: dents et gencives en macro, et sourire face et profil tant qu'à faire, ainsi que des modèles d'études et montage arti. (histoire de voir un peu l'occluso.).
Et enfin de nous exprimer clairement la demande de la patiente...ses doléances, une fois qu'elle aura compris (ou plutôt que tu lui auras fait comprendre) que la 21 est a dégager, et que la 11 est limite. Après cela les avis vont pleuvoir sur le forum......Promis!


Smile beach jgh0a1 - Eugenol
Céramik

30/08/2011 à 04h12

danteyeah écrivait:
-------------------
> En voilà un cas qui pourrait être intéressant, alors on a besoin de clichés
> radio interprétable (minimum OTP), de photos: dents et gencives en macro, et
> sourire face et profil tant qu'à faire, ainsi que des modèles d'études et
> montage arti. (histoire de voir un peu l'occluso.).
> Et enfin de nous exprimer clairement la demande de la patiente...ses doléances,
> une fois qu'elle aura compris (ou plutôt que tu lui auras fait comprendre) que
> la 21 est a dégager, et que la 11 est limite. Après cela les avis vont pleuvoir
> sur le forum......Promis!

+1, on manque d'info et la radio est un peu moche...
Il semble ne pas y avoir de 23, le niveau osseux est faible sur 21-22-24...



--
Céramik


DocteurM

30/08/2011 à 09h49

Cher denteyah les photos Sourire face et profil vous aiderait-il a donner un meilleur avis? alors promis je vous les enverrais.
quand a la 23, et ben la patiente l'a toujours en bouche, au fait les PM et les M a droite et a gauche sont des implants.
Le niveau osseux, effectivement est faible au niveau 12 a 22. c pour cela que j'évite un peu de realiser un bridge.
EN fait bien que le niveau osseux est négatif cliniquement c'ets pas visible.
je poste les photos avant apres et DESOLEE pour la qualité

Img 4521a r51zfx - Eugenol
Aa xnriw2 - Eugenol
Qww xroyh1 - Eugenol
Q hefa5v - Eugenol

003 penrd2 - Eugenol
Cingulum

30/08/2011 à 10h28

La qualité des photos est superbe....
Le résultat de la zircone bof.
Il faut stopper le problème paro, sinon dans quelques années quelque soit le choix thérapeutique tu auras a nouveau des soucis. On avait un souci déjà au départ entre 11 12 et en plus on a fermé le diastème....
Une fois stabilisé, bridge zicone, avec conjonctif pour compenser la perte de volume liée à l'extraction de 21.
Ou greffe et implant....
a plus


--
Dr Cingulum
-----Ancien interné----
----Attaché à l'apex----
www.clinic-all.fr formation par passion


laurent 02

30/08/2011 à 13h59

Beau cas bien documenté donc je pense qu'il y a des radios avant le traitement. Ce cas n'a t-il pas deja été corrigé?


DocteurM

30/08/2011 à 15h24

Par laurent 02:
Beau cas bien documenté donc je pense qu'il y a des radios avant le traitement. Ce cas n'a t-il pas deja été corrigé?

au fait la radio c maintenant. apres probleme.

Cingulum: merci pour votre commentaire,
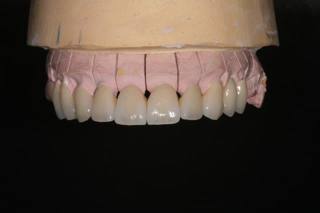
c vrai qu'il faut stopper le probleme paro mais meme maintenant a part la 21 pas de mobilité, cela fait persque 10 ans que la perte osseuse exiate et en plu sla patiente est une grosse fumeuse. au fait je compte réaliser un bridge de 13 a 23 mais E-Max est-ce suicidaire pour les connecteurs on a assez d'épaisseur je ne sais pas mais vu les résultats que j'ai avec la zircone ben bof comme vous l'avez dit. on n'a pas assez d'epaisseur pour cacher son opacité. ou bien ceramo-métal


Img 2951 flo3gr - Eugenol
molinarius

30/08/2011 à 15h49

En effet les zircones ne sont pas top ...la teinte semble très clair a2 a1
Alors qu a la base la teinte naturelle est plus foncée. Quid de la forme cubique
Des morphos ...
A mon avis ce n est pas un probleme emax , zircone, ou ccm
Mais plus un Prob de céramique (choix du ceramiste) .


003 penrd2 - Eugenol
Cingulum

30/08/2011 à 15h52


Même si c'est vrai que la chape est toujours très "présente" en zircone, je pense qu'on peut faire mieux en restant en zircone...
quelques photos de résultat sur zircone


--
Dr Cingulum
-----Ancien interné----
----Attaché à l'apex----
www.clinic-all.fr formation par passion

Couronne et bridge zsvzd3 - Eugenol
Couronne et bridge2 qttr6o - Eugenol
Img 9868 h3rdr4 - Eugenol
Img 9980 n2gdyl - Eugenol
Img 9983 lv5csf - Eugenol

DocteurM

30/08/2011 à 17h08

Pour la Zircone effectivement c une teinte B1, on a tenté de masquer l'opacité de la zircone en utilisant une chape A1 et email B1 c pas top. mais acceptable la base de teinte est totalement cachée. Personellement depuis je ne fais plus des teintes claires pour la Zircone.
quand a la forme cubique ou pas faut faire selon l'espace et la hauteur et l'occlusion et avant.
Mais j'ai confiance en mon céramiste au fait ce fut le premier cas de Zircone qu'il ait fait et vous pouvez le constater par les photos qui suivent .

002 o1cjri - Eugenol
005 ezukec - Eugenol
Close up smile lateral left 2 p2lft3 - Eugenol

003 penrd2 - Eugenol
Cingulum

30/08/2011 à 17h15

c'est très joli


--
Dr Cingulum
-----Ancien interné----
----Attaché à l'apex----
www.clinic-all.fr formation par passion


003 penrd2 - Eugenol
Cingulum

30/08/2011 à 18h09

on voit quand même que pour fermer le diasteme on a réalisé un profil d’émergence proximal qui accentue le problème parodontale sous jacent...



--
Dr Cingulum
-----Ancien interné----
----Attaché à l'apex----
http://www.clinic-all.fr/index.php formation par passion


DocteurM

30/08/2011 à 20h19

c pas la fermeture du diasteme qui a causée la perte de la 21. mais c suite a un trauma. le probleme paro a été stabilisé bien avant la pose des couronnes. et d'ailleurs le niveau osseux de la 11 n'a pas évolué


003 penrd2 - Eugenol
Cingulum

30/08/2011 à 20h33

Et bien si il n'y a pas de problème, ou est le problème.
Si ton seul souci c'est une mobilité non évolutive et que la patiente ne veut pas y toucher... n'y touche pas...


--
Dr Cingulum
-----Ancien interné----
----Attaché à l'apex----
http://www.clinic-all.fr/index.php formation par passion


Little shop of horrors brzqjx - Eugenol
chatondecarte

30/08/2011 à 21h13

Mais comment vous faites pour avoir ce fond noir sur vos photo??
Moi on voit la langue et le fond de la bouche.
Y a une manière spéciale de prendre la photo où vous retouchez sur toshop?


DocteurM

30/08/2011 à 21h22

eh bien aucune retouche n'est faite j'utilise un contrasteur special
voila le lien:
http://www.photomed.net/contrasters.htm


Bebe 038 nf8eum - Eugenol
danteyeah

31/08/2011 à 02h27

DocteurM écrivait:
------------------
> Cher denteyah les photos Sourire face et profil vous aiderait-il a donner un
> meilleur avis? alors promis je vous les enverrais.
> quand a la 23, et ben la patiente l'a toujours en bouche, au fait les PM et les
> M a droite et a gauche sont des implants.
> Le niveau osseux, effectivement est faible au niveau 12 a 22. c pour cela que
> j'évite un peu de realiser un bridge.
> EN fait bien que le niveau osseux est négatif cliniquement c'ets pas visible.
> je poste les photos avant apres et DESOLEE pour la qualité

Pour l'instant toujours aucune image du cas actuellement, dirait-on?
Question: qu'est ce qui t'a motivé à proposer des CCC de 13 à 23 chez la patiente il y a 2 ans, et pas des facettes après blanchiment?
Pour la qualité des photos, je pense que tu fais des envieux.....donc pas d'excuses!
Pour le protho. : il se bonifie avec le temps!
Pour la qualité et l'intégration des CCC initiales: sans photos du sourire, on ne peut rien dire.
Donc on attend les images, et n'oublie pas de nous parler de l'occluso. ( surtout guidage antérieur ), et des doléances de la patiente ( elle t'a fait confiance pour un travail lourd il y a 2 ans, donc je présume que la doléance esthétique est très forte ).


DocteurM

01/09/2011 à 21h07

>
> Pour l'instant toujours aucune image du cas actuellement, dirait-on?

mon 2eme message comporte les photos avant et apres pose desCCC

> Question: qu'est ce qui t'a motivé à proposer des CCC de 13 à 23 chez la
> patiente il y a 2 ans, et pas des facettes après blanchiment?

caries radiculaires récidiventes, en proximal.


> Pour la qualité des photos, je pense que tu fais des envieux.....donc pas
> d'excuses!
> Pour le protho. : il se bonifie avec le temps!
> Pour la qualité et l'intégration des CCC initiales: sans photos du sourire, on
> ne peut rien dire.

l'image est jointe

> Donc on attend les images, et n'oublie pas de nous parler de l'occluso. (surtout guidage antérieur ), et des doléances de la patiente ( elle t'a fait
> confiance pour un travail lourd il y a 2 ans, donc je présume que la doléance
> esthétique est très forte ).

qu'entendez-vous par doleance?


Bebe 038 nf8eum - Eugenol
danteyeah

02/09/2011 à 04h49

DocteurM écrivait:
------------------
> >
> > Pour l'instant toujours aucune image du cas actuellement, dirait-on?
>
> mon 2eme message comporte les photos avant et apres pose desCCC

Le post est un peu fouillis: ce sont des images du cas actuellement, ou bien il y a 2 ans lors de la pose des CCC?
>
> > Question: qu'est ce qui t'a motivé à proposer des CCC de 13 à 23 chez la
> > patiente il y a 2 ans, et pas des facettes après blanchiment?
>
> caries radiculaires récidiventes, en proximal.
>
>
> > Pour la qualité des photos, je pense que tu fais des envieux.....donc pas
> > d'excuses!
> > Pour le protho. : il se bonifie avec le temps!
> > Pour la qualité et l'intégration des CCC initiales: sans photos du sourire, on
> > ne peut rien dire.
>
> l'image est jointe

Toujours trop avare en image. Pour un cas d'esthétique le minimum syndical c'est: photo sourire naturel face et profil, photo écarteur face et profil, photo OIM et bout à bout incisif face, latéralité gauche et droite et occlusal haut et bas. On ajoute une pano ou un status long cône et c'est tout bon, et tout ça pour le cas dans la situation actuelle STP.
>
> > Donc on attend les images, et n'oublie pas de nous parler de l'occluso.
> (surtout guidage antérieur ), et des doléances de la patiente ( elle t'a fait
> > confiance pour un travail lourd il y a 2 ans, donc je présume que la doléance
> > esthétique est très forte ).
>
> qu'entendez-vous par doléance?

Je suppose qu'après une réhabilitation esthétique de qualité et récente, la patiente aura du mal a accepter des compromis (surtout au niveau gingival) après extraction au assainissement paro, donc il est important de connaitre les exigences (esthétique) de la patiente avant de rejeter les implants et donc de ne pas compenser le risque esthétique suite à la fonte de l'os vestibulaire qui découlera des extractions.>


flicflac

02/09/2011 à 05h38

pour en revenir au début, problème de vitalité des piles dents 12 et 22. et pour la 11 exo. solutiomn greffe implant et endo...
c'est mutilant la taille de couronne, plusieurs dents vivantes taillées finissent en nécroses..