Cookie Consent byPrivacyPolicies.comImplant proche d'une lésion péri-apicale - Eugenol

Implant proche d'une lésion péri-apicale

Olieve

04/09/2011 à 20h35

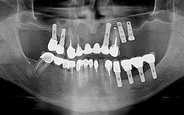
Cas vu en urgence aujourd'hui.

Voir la Rx ci-joint.

Abcès péri apical sur la 42, vraisemblablement suite à une nécrose. Forte usure de la face occlusale par bruxisme.

L'implant a été placé en 2006, surface TiUnite.

Quels sont vos avis sur les pronostics de guérison? La surface implantaire sera-t-elle décontaminée ? Est-elle protégée par la membrane du kyste péri-apical ? Curetage chirurgical obligatoire ou contrôle après traitement endo uniquement ?


Merci.

Endoimplant dhxqdg - Eugenol

Cuisinier2 vnbbxx - Eugenol
jeff2

04/09/2011 à 21h18

Cela m'est arrivé deux fois d'avoir une proximité d'infection apicale avec un implant.
Je ne pose pas d'implant mais je travaille avec quelqu'un qui le fait trés bien, et pour elle, c'est une urgence
les deux cas ont fini chez l'endodontiste pour s'assurer 99% de réussite


flodec

04/09/2011 à 22h18

C'est déja arrivé à un ami, bonne guérison de la lésion, le RTE a été effectué par un endodontiste.


Kon nx3ojp - Eugenol
Kon

05/09/2011 à 14h43

Dans ce cas, que fera l'endodontiste de plus par rapport à un traitement d'omni?


Icon poker h4nm2d - Eugenol
jeff

06/09/2011 à 12h58

un cas un peu similaire. pilier naturel du bridge foutus. Implant IDI 15 14 22 posé en 2006 a boulogne, zimmer 24 25 en 2010 a la pitié-salpétrière. 14 mobile, foutu.
23 : grosse lésion avec fistule, visiblement au contact des implants 22 et 24.

Devenir de ces implants après l'extraction de 23 ?

Kyste implant sy8hia - Eugenol

Avatar ow44t3 - Eugenol
Chicot

06/09/2011 à 19h28

Jeff:

Et secteur inf gauche, implants datant de quand ?

--
;O)


Icon poker h4nm2d - Eugenol
jeff

07/09/2011 à 13h24

Implant IDI, 35 36 37 en 2006, 34 en 2007, toujours a boulogne ( avec un chouette carnet implantaire, qui me donne toutes ces infos )


Icon poker h4nm2d - Eugenol
jeff

09/09/2011 à 17h59

Toujours a propos du cas ci-dessus. Si la lesion guérit correctement et que les implants semblent ok : pour la suite : j'hésite entre 4 boules + complet sur o-ring ou dalbo, ( je pensais aussi a une barre, mais la distance entre l'implant 15 et 22 me semble trop grande) et faire des céram classique et stellite disjoint.

je voulais initialement rajouter des implants et refaire du fixe, mais le patient ne suit plus..


Icon poker h4nm2d - Eugenol
jeff

09/09/2011 à 18h03

un petit up, pour essayer d'avoir un avis sur la suite de l'évolution de la lésion par rapport aux implants ( mais en fait, j'extrais, curette et on verra bien a trois mois ).

Pas d'avis non plus sur la suite prothétique ?


Icon poker h4nm2d - Eugenol
jeff

16/09/2011 à 13h56

up


flicflac

16/09/2011 à 15h05

au niveau de la 23 il y a eu chirurgie périapical, celle-ci laisse souvent une zone de lyse osseuse en guise de cicatrice.
Dans le plan de traitement global, pour le haut il ne te reste que 4 implants si j'ai dien compris et le patient ne veut pas en rajouté, donc 3 à gauche 1 à droite,,, solution de compromis 4 locator sur prothèse complète amovible donc exo de la 23 nécessaire.

Hygiène et suivit faible pour ce patient... en 5 ans fonte osseuse importante au niveau des implants inférieur gauche.

Au point de vue mécanique la distribution des implants dans ce secteur était parfaite.


Icon poker h4nm2d - Eugenol
jeff

16/09/2011 à 15h09

merci de ton avis.

Jamais utilisé les locator, pas de souci par rapport a la divergence des implants ?


flicflac

16/09/2011 à 15h35

Le pilier locator est le même, seul l'attache femelle dans la prothèse change avec différente rétention et acceptation de 2 divergences possible pouvant aller jusqu'a 25 degré je crois. De plus les locator nécessite moins de hauteur qu'un système d'attache boulle.
.


Icon poker h4nm2d - Eugenol
jeff

16/09/2011 à 15h48

Petit problème, je viens d'aller sur le site IDI : pas de pilier Locator..


Smile beach jgh0a1 - Eugenol
Céramik

16/09/2011 à 17h23

---
Céramik