Cookie Consent byPrivacyPolicies.comUn cadeau de Béotien - Eugenol

Un cadeau de Béotien

Casque beotien a3jo39 - Eugenol
beotien

21/08/2012 à 18h52

Un confrere me demande en MP pourquoi je ne mets plus de cas sur nonol

1) Cela prend du temps, pour beaucoup de critiques très souvent peu constructives
2) Comme certains le savent j'ai un problème beaucoup plus grave à gérer

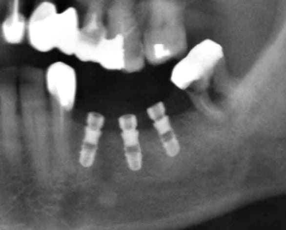
En voila un d'aujourd'hui
Patient 75ans traitement médical adhoc pour son age.
Implants posés le 31/05
juste une incision crestale au moment de la mise en place des implants, je n'arrive pas à faire tout transgingival comme le fait notre confrère Nedjat avec ses implants.

A kmpxjf - Eugenol
C24 qwjdl2 - Eugenol
Cpng bnjvao - Eugenol
Dsc 0060 a76xkj - Eugenol
C25 os898z - Eugenol
Dsc 0058 rkmjyl - Eugenol
C1a bzglzj - Eugenol
C23 oyzofa - Eugenol

Casque beotien a3jo39 - Eugenol
beotien

23/08/2012 à 12h10

le cas de ce matin

Patient 80ans ne veut plus de PAP
et son fils a un implant en bouche, alors!!!!!!!!!!!!!!

Première tentative en transgingival

Pous ceux qui m'ont demandé en MP ce n'est pas un problème professionnel

B1 thckom - Eugenol
B2 vntej1 - Eugenol
Dsc 0058 sqc9sm - Eugenol
Dsc 0063 axs316 - Eugenol

Fresh watermelon 640x562 udulqz - Eugenol
gulguch

23/08/2012 à 21h19

++Bien! Ca a l'air de bien se marier avec le transgingival, non?
Tiens nous au courant des suites opératoires, pour comparer.


Casque beotien a3jo39 - Eugenol
beotien

24/08/2012 à 18h37

gulguch écrivait:
-----------------
> ++Bien! Ca a l'air de bien se marier avec le transgingival, non?
> Tiens nous au courant des suites opératoires, pour comparer.


Je te mets la cicatrisation à 24h,çà me plait bien, ce sont des implants Léone
Essayer les implants champions me titille, si je peux les adapter à mes guides

Sur l'image 2:Si cela vous intéresse, je viens de terminer aujourd'hui ce cas d'une 11, traitement commencé en novembre 2011
Vous auriez fait quoi pour ce cas?

Cicat24h raegfp - Eugenol
Ra bjomnh - Eugenol

Fresh watermelon 640x562 udulqz - Eugenol
gulguch

25/08/2012 à 15h27

beotien écrivait:
-----------------
> Sur l'image 2:Si cela vous intéresse, je viens de terminer aujourd'hui ce cas
> d'une 11, traitement commencé en novembre 2011
> Vous auriez fait quoi pour ce cas?

Extrac, biocol+ membrane en cône, puis implant?


patmo141

29/08/2012 à 02h52

Beotien,

Good looking cases! I finally got a new computer with the "balls" to load some bigger cases :-) Perhaps I'll dust off the old keyboard and write some new software.

1. How many cases have you done with our guides?
2. What would you improve in the software?
3. How is life!? I will send you an email soon to catch up.

Cheers,
-Patrick


Casque beotien a3jo39 - Eugenol
beotien

31/08/2012 à 19h27

Bonjour Patrick,

Cela faisait longtemps, j’espère que tes études avancent bien, en quelle année es tu maintenant?

1) J’ai utilisé environ une centaine de guides.

Il est maintenant possible sur les scanners de visualiser facilement la muqueuse gingivale, donc je fais un maximum de guides avec appuis dentaires et muqueux.

2).On doit pouvoir améliorer la visibilité du bon positionnement du guide avec « calculate splint »
. Une idée pour le guidage des forets
.L’étape suivante : Pouvoir imprimer de manière fiable en 3D les cas avec les faux moignons afin que le prothésiste fasse à l’avance les provisoires et la préparation des faux moignons.(exemple en photo pour le cas précédent, mis sur le thread, c'est pas terrible!)

Je pourrais écrire le protocole de ton logiciel en français, mais l’informatique et la 3D n’intéressent pas vraiment les confrères. Il faudrait simplifier et automatiser !
Nous n’atteindrons pas la précision du travail de POSIT, mais pour les cas simples d'un petit implanto de campagne comme moi, cela est suffisant.

Pour le point 3 je te réponds par mail.


P1 nu5bjs - Eugenol
P2 pi748i - Eugenol
P3 c97fyz - Eugenol

Smile beach jgh0a1 - Eugenol
Céramik

31/08/2012 à 23h15

Sympa l'idée des pillies via le 3D pour les provisoires

100 guides ! quand même ! vive la campagne !

--
Céramik


Casque beotien a3jo39 - Eugenol
beotien

04/09/2012 à 16h47

Céramik écrivait:
-----------------
> Sympa l'idée des pillies via le 3D pour les provisoires
>
> 100 guides ! quand même ! vive la campagne !
>
> --
> Céramik

Et je ne te parle pas des guides loupés ou tests divers!
100 guides à 1€ çà va financièrement!

Tu sais même en campagne ils lisent sur la toile.
Je pose maintenant presque tous mes implants avec un guide.
En clair si un scan est nécessaire, je fais un guide.


Smile beach jgh0a1 - Eugenol
Céramik

04/09/2012 à 17h57

beotien écrivait:
-----------------
> Céramik écrivait:
> -----------------
> > Sympa l'idée des pillies via le 3D pour les provisoires
> >
> > 100 guides ! quand même ! vive la campagne !
> >
> > --
> > Céramik
>
> Et je ne te parle pas des guides loupés ou tests divers!
> 100 guides à 1€ çà va financièrement!
>
> Tu sais même en campagne ils lisent sur la toile.
> Je pose maintenant presque tous mes implants avec un guide.
> En clair si un scan est nécessaire, je fais un guide.

Bravo

--
Céramik


l adan

12/10/2012 à 22h36

Un an après la bataille , je me lance dans l'utilisation de blender et dans la planification !! encore un grand merci à beotien pour ses conseils ...

Capture jfb8xn - Eugenol

200106 10150128247663588 709988587 6466236 5598391 n d7mksb - Eugenol
hallboy

13/10/2012 à 02h57

une nouvelle version de blender vient de sortir. j'espere qu'elle ameiore et facilite votre boulot les gars;)


Uncmury6m4drs8ssni8vwnyrlbqu - Eugenol
curdents

13/10/2012 à 10h30

l adan écrivait:
----------------
> Un an après la bataille , je me lance dans l'utilisation de blender et dans la
> planification !! encore un grand merci à beotien pour ses conseils ...

Combien de temps cela t’as pris pour obtenir cette planification ?


l adan

13/10/2012 à 10h48


>
> Combien de temps cela t’as pris pour obtenir cette planification ?


Environ 15 jours mais je ne suis vraiment pas un tenor ! je pense que c'est beaucoup plus rapide avec quelques connaissances en informatique .


l adan

13/10/2012 à 10h48


>
> Combien de temps cela t’as pris pour obtenir cette planification ?


Environ 15 jours mais je ne suis vraiment pas un tenor ! je pense que c'est beaucoup plus rapide avec quelques connaissances en informatique .


Casque beotien a3jo39 - Eugenol
beotien

24/10/2012 à 12h18

Puisque l'adan a réussi une joli planif avec le "be open plan", et me l'a envoyé dans la dropbox

je mets sur son cas,une video du principe de réalisation d'un guide
Bien sûr ce guide serait inutilisable pour beaucoup de raisons mais c'est ainsi que je fais mes guides en quelques minutes

Cela me fait plaisir de savoir qu'un confrère de plus utilise ce travail effectué par un groupe de bénévoles



amicalement
Béotien


l adan

09/11/2012 à 16h53

Et voila première pose après planification et impression d'un petit guide chirurgical . Pour un debutant qui pose de facon occasionnel c'est très sécurisant ! j'ai pu mettre un implant plus long sans etre stressé par la presence du sinus et un axe qui ma satisfait pleinement . A renouveler !! et encore merci à beotien pour tous ses conseils et aux autres qui ont participé à cette aventure

Planif o5x7n5 - Eugenol
Pose in3hfu - Eugenol

patmo141

09/11/2012 à 16h58

Congratulations and thank you for sharing. That looks like a great case.

-Patrick


l adan

10/11/2012 à 11h13

Hi Patrick,
Sorry , like a lot of french my english is very bad .Thanks for the very important work you've done in this project . If you'll come in france for holliday , a lot of french dentist like me 'll be very happy to receive you.


Bing surfboards tm mark pcsd1h - Eugenol
jayetche

12/11/2012 à 21h37

Suite au post de l adan J ai décidé moi aussi de franchir le pas et de m attaquer à la planification via
Blender

Je viens de m y mettre et j avoue que c est super prenant cela nécessite une petite adaptation mais dire que l on peut faire gratuitement et librement la même chose que des logiciels à 7000€ ....


Je remercie Béotien de son extrême patience et de sa disponibilite à mon égard ce week end.
Je suis épaté par son boulot ainsi que par celui de patrick C est génial de penser qu il existe des gars capables de se presser le citron de la sorte en dehors du boulot! Capables aussi d avoir la générosité de partager ainsi le fruit de leur travail et enfin d avoir la patience de supporter les questions debiles des bleues-bites Chapeau les gars et merci!
J essai d avancer sur mes planifications et je vous montre ce que cela donne.


Un nouveau "Blenderboy"



Casque beotien a3jo39 - Eugenol
beotien

17/11/2012 à 13h00

cela me fait vraiment plaisir de savoir que des confrères utilisent ces logiciels

je voudrais pour ceux qui débutent mettre quelques conseils, qui peuvent éventuellement servir

voici quelques images que j'ai reçu, de 3 confrères donc de 3 radiologues différents.
pouvez vous me dire ce qui ne va pas!

vous demandez des scans aux radiologues mais si vous voulez les utiliser il faut leur donner des indications précises

N'oubliez jamais qu'ils ne sont pas dentistes!

3 auafxz - Eugenol
1 dkkyyx - Eugenol
2 oy1lrv - Eugenol

Smile beach jgh0a1 - Eugenol
Céramik

18/11/2012 à 01h37

beotien écrivait:
-----------------
> cela me fait vraiment plaisir de savoir que des confrères utilisent ces
> logiciels
>
> je voudrais pour ceux qui débutent mettre quelques conseils, qui peuvent
> éventuellement servir
>
> voici quelques images que j'ai reçu, de 3 confrères donc de 3 radiologues
> différents.
> pouvez vous me dire ce qui ne va pas!
>
> vous demandez des scans aux radiologues mais si vous voulez les utiliser il faut
> leur donner des indications précises
>
> N'oubliez jamais qu'ils ne sont pas dentistes!
>

Le 1er scan : patient en oclusion , superposition des dents


--
Céramik


Grumpy cat ifik8s - Eugenol
radich_a_tord

18/11/2012 à 12h21

Je pense aussi qu'il s'agit de la position en occlusion, conjuguée aux artefacts métalliques.

Du coup pas moyen de voir la face occlusale des dents et pas possible de faire un guide chirurgical.

Je le saurai :)


Casque beotien a3jo39 - Eugenol
beotien

19/11/2012 à 15h32

Céramik écrivait:
-----------------

> Le 1er scan : patient en oclusion , superposition des dents

> Céramik

tu as raison et c'est vrai pour les 3
pourtant l'un des radiologues a fait un effort:-)


le 1 la positon des trous mentonniers est bizarre, et la tête aussi mais je n'ai pas vu le patient
le 2 est orthogonal sans être centré
le 3 sans commentaire!

Cela relativise la précision des planifs!, mais encore une fois c'est à vous d’être précis dans votre demande

S3 jrptfj - Eugenol
S1 oexwck - Eugenol
S2 g5cdpb - Eugenol

Bing surfboards tm mark pcsd1h - Eugenol
jayetche

19/11/2012 à 15h51

au risque de poser une question bete
que doit on faire figurer sur l'ordonnance pour avoir un scan correct? position en inocclusion maintenant cela va de soit mais y a t il d'autres details importants?


1...91011...