Cookie Consent byPrivacyPolicies.comUn cadeau de Béotien - Eugenol

Un cadeau de Béotien

inset

06/11/2013 à 21h03

;)



Casque beotien a3jo39 - Eugenol
beotien

07/11/2013 à 11h00

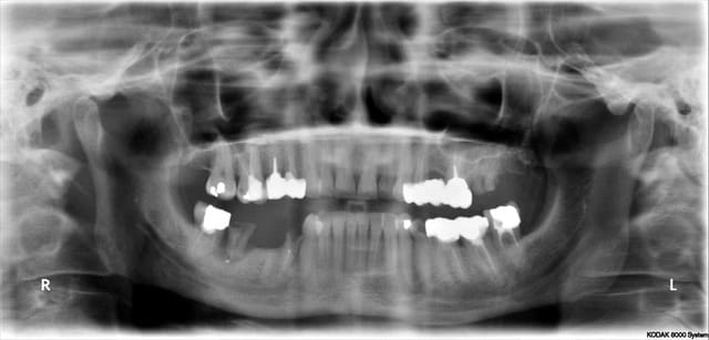
Le cas de ce matin, cela montre que même avec une planif et un guide c'est le temps opératoire qui décide
j'ai bêtement cassé la table vesti de la 45 lors de l'exo
par sécurité je suis allé chercher un meilleur ancrage en distal,
Donc le guide ne fait pas tout!!!

Cas1 bk1zql - Eugenol
Cas kfb8t9 - Eugenol
T1 wknuqv - Eugenol
Dsc 0080 new1 wn0xmo - Eugenol
Cas2 onecil - Eugenol
T2 tgr3sj - Eugenol

Casque beotien a3jo39 - Eugenol
beotien

08/11/2013 à 14h22

Le projet de journée avance bien

La salle c’est ok et Patrick est ok pour venir.
Pour la traduction c'est ok aussi.

Le top serait que vous veniez tous avec votre ordi portable pour repartir avec une installation optimale de l’addon sur Blender. Mais ce n’est probablement pas possible sur des dinosaures !
Patrick fera une présentation de son travail puis ensuite il nous aidera pour réaliser des exercices et encore des exercices.

Je veux que tous les confrères repartent en sachant planifier et imprimer un guide.
Je rappelle que les logiciels sont open source donc gratuits, mais vous êtes les seuls responsables de ce que vous en faites.

J’ai mis dans la dropbox le fichier.stl du guide fait pour le cas de l’exercice, pouvez vous l’imprimer pour comparer.
Avec mon imprimante, temps= 22 minutes, poids d’abs= 3Gr, coût=0 ,2€.

Si vous avez des questions.

Capturea shsb61 - Eugenol

inset

08/11/2013 à 21h40

j'ai quelques questions qui me taraudent l'esprit:

1/est il possible de faire des guides osseux (métalliques) avec blender?
si oui,forcement cela na va pas avoir la même forme que le splint actuel, et donc faut il rajouter une modification dans l'add on du splint??


2/ avez vous déjà fait une planification + guide dans un cas d’édenté total?
était il en flapless / ou a appui osseux?

3/ dans le guide actuel, est il possible d’intégrer des cylindres en titane ou zircone, si je veux ne pas avoir des fragments d'ABS dans mon site? si oui ou se les procurer, et surtout comment les intégrer au guide ( je sais qu'il faut dans l’étape inner cylindre choisir un diamètre adapté,) mais va t on juste les insérer dans le puis ???

désolée ça fait beaucoup de questions,
merci

Question2 c9tgzf - Eugenol

patmo141

08/11/2013 à 21h55

inset écrivait:
---------------
> j'ai quelques questions qui me taraudent l'esprit:
>
> 1/est il possible de faire des guides osseux (métalliques) avec blender?
> si oui,forcement cela na va pas avoir la même forme que le splint actuel, et
> donc faut il rajouter une modification dans l'add on du splint??


It is possible to do a bone supported guide, however the addon is not set up for it unless you build the guide entirely on the CT bone model which can be difficult because of the model quality.

Mixing bone and tooth support would be possible but would need special consideration.

> 2/ avez vous déjà fait une planification + guide dans un cas d’édenté total?
> était il en flapless / ou a appui osseux?


To my knowledge, a total soft tissue supported guide has not been done. There is nothing preventing us from fabricating such a guide technically, but I would be hesitant to approach that. Personal skill, clinical judgement and ethics will be the guide. My recommendation is to start small!

> 3/ dans le guide actuel, est il possible d’intégrer des cylindres en titane ou
> zircone, si je veux ne pas avoir des fragments d'ABS dans mon site? si oui ou se
> les procurer, et surtout comment les intégrer au guide ( je sais qu'il faut dans
> l’étape inner cylindre choisir un diamètre adapté,) mais va t on juste les
> insérer dans le puis ???


If you have pre-fabricated inserts made of titanium or zirconia, then the guide could be fabricated to accept them of course. That would be preferable if you anticipate needing "RIGID" guidance.


> désolée ça fait beaucoup de questions,
> merci

Questions generate thought, and occasionally answers. Thanks for your questions!


damdam

08/11/2013 à 22h41


>
> 3/ dans le guide actuel, est il possible d’intégrer des cylindres en titane ou
> zircone, si je veux ne pas avoir des fragments d'ABS dans mon site? si oui ou se
> les procurer, et surtout comment les intégrer au guide ( je sais qu'il faut dans
> l’étape inner cylindre choisir un diamètre adapté,) mais va t on juste les
> insérer dans le puis ???


oui tout dépend de ton sys implantaire
dans le mien il y a des "clefs" de diamètre ext 4.2 ou 5.2 et de daim interne 2 2.8 3.2 4.5 ETC....
en fonction de l'implant posé

regardes par exemple les clefs MIS


Casque beotien a3jo39 - Eugenol
beotien

09/11/2013 à 00h34

Pour répondre à tes "taraudages" inset

1)oui Blender permet tout, mais il ne faut pas oublier les notions de temps et de coûts. Imprimer le stl en cire et le couler en métal à un coût non négligeable et oblige à passer par un intermédiaire.

2)C'est faisable, je pense que Dentiste57 l'a fait. Personnellement pour ces cas je demande à Posit un guide métallique à appui osseux

3)Damdam a répondu

Patrick doit me proposer des dates.
Pour le coût de la journée mon idée est vous demander le prix payé par vos patients pour une de vos CCC.
Je sais quelles ne sont pas toutes aux même prix mais c'est ma conception de ce que cela vaut, et c'est dans l'esprit de ce sujet. Il n'y aura pas de vérification:-)

Pour l'instant nous sommes 14 dans la Dropbox,et une vingtaine me semble le maximum pour être efficace

Pour l'intendance Pluton va gérer les inscriptions


Photo pluton1b h9n4ea - Eugenol
pluton

09/11/2013 à 00h53

beotien écrivait:
-----------------

> Pour l'instant nous sommes 14 dans la Dropbox,et une vingtaine me semble le
> maximum pour être efficace
>
> Pour l'intendance Pluton va gérer les inscriptions

je me pencherai sur le bulletin d’inscription ce WE...après tout, le Study club ID est parfaitement indiqué pour gérer çà...;-)

par contre: si tu me dis 20 maxi, çà sera 20 maxi, pas envie d'avoir des remarques sur la qualité de l'enseignement parce que trop nombreux alors que c'était pour ne pas laisser des confrères sur le carreau...

tu dis 14 sur la dropbox....il me semble logique que ceux qui sont en lien sur cette plateforme soit "prioritaires" pour les inscriptions puisqu'ils se sont investit dans le projet et que rien que pour çà ils méritent de rencontrer Patrick, mais çà n'est que mon avis
si tu rejoints cette vision Béo, tu me joindras le listing des confrères avec qui tu partages les données


PurEco

09/11/2013 à 01h02

beotien écrivait:
-----------------
> 2)C'est faisable, je pense que Dentiste57 l'a fait.
oui c'est vrai. voila son cas

http://www.eugenol.com/sujets/400213-guide-chirurgicale-avec-une-imprimante-3d?page=1



inset

09/11/2013 à 20h21

bonsoir
en essayent de refaire l'exercice avec le Y3D dans OSX 10.6.8,et blender 2,69 (pour vérifier si le protocole est reproductible sur un autre système d'exploitation. je bloque sur cette étape. (screnn shot)
teeth to arch



Capture d  cran 2013 11 09   19.07 - Eugenol

inset

09/11/2013 à 20h32

on fouinant un peu, je me rends compte que blender ne retrouve pas le chemin de l'odc.

Capture d  cran 2013 11 09   19.30 - Eugenol

patmo141

09/11/2013 à 21h16

It doesn't know where the tooth library is! You must tell it. Read the pdf document in dropbox.


damdam

09/11/2013 à 23h00

inset écrivait:
---------------
> on fouinant un peu, je me rends compte que blender ne retrouve pas le chemin de
> l'odc.

dis moi ce qui ne va pas je peux peut etre t'aider.....
j'ai blender sur osx 10.8 et blender sous win7 avec parallel desktop et les deux fonctionnent .....même l'import cdt depuis quelques jours......
et le plus impressionnant c'est que c'est avec le même odc pointé...... plus de différence mac/pc????????


patmo141

09/11/2013 à 23h23

He needs to set the tooth library in add on preferences. There are instructions in dropbox. Windows vs osx doesn't matter.


PurEco

10/11/2013 à 03h30


Il faut spécifier manuellement l'adresse de l'emplacement des addons car si on se fie au clics voila ce que nous obtenons dans la case Matérial Library

//../../../../../Documents/SCRIPTS/Addons/odc/data/odc_materials.blend


/Users/PurEco/Documents/SCRIPTS/Addons/odc/data/odc_materials.blend

J'ai eu le meme problème que Inset mais après avoir saisis manuellement l’emplacement des addons ça marche.
Moi aussi Je suis sur MACOS 10.6.8
Je crois que c'est un problème de l'Os


marcandre

10/11/2013 à 12h30

bonjour à tous, je suis aussi utilisateur de mac os (10.6 up gradé 10.8.5 noyau 64 bits activé) (mac book pro cadeau GACD d' il y a 4 ans).
J' ai essuyé les mêmes déboires qu'iINSET avant de modifier directement à la main et en passant par l' onglet: "file "en haut à gauche( celui qui sert à importer les fichiers), il y a un accès direct à " user préférences". et maintenant ça marche.
J' ai par contre jeté aux orties mon parallels et installé directement W7 64bits sur boot camp (ça ralentit moins la bécane).
Tout fonctionne sauf l' import CDT sur mac OS ( il fonctionne par contre très bien sur W7 64 avec la partition bootcamp) probablement parce que sirona à développé une technologie utilisant mv titan sur windows.
Sinon je n' arrive à placer les implants qu' à partir des dents( et pas indirect) et je n' arrive à placer des dents qu' à partir de "bridge restauration"( et pas en direct).
Sans doute à cause d' un truc que j'ai pas encore compris.
Marcandré


Icon poker h4nm2d - Eugenol
jeff

10/11/2013 à 12h45

marcandre écrivait:
-------------------

> Sinon je n' arrive à placer les implants qu' à partir des dents( et pas
> indirect) et je n' arrive à placer des dents qu' à partir de "bridge
> restauration"( et pas en direct).


d'apres ce que m'a dit beotien vendredi, il semble que cela soit des étapes successives obligatoires depuis le nouvel addon.


inset

10/11/2013 à 15h33

bonjour les amis
alors hier soir, j ai pu régler le problème grâce a l'aide de pureco/ en rentrant le chemin d’accès manuellement. ainsi j ai pu continuer le travail.

je travaille sous mac os 10.6.8/ et sous windows xp par le biais de boot camp. (avec parallel desk top c'est trop lent)
tout marche a merveille sous windows/ sur mac je teste.

pour l'import CDT c'est un peu archaïque ce que j 'ai fait: .j ai essayé de trouver sur internet un fichier cdt pour essayer l'import, mais je n'y arrive pas .


>


damdam

10/11/2013 à 19h01

marcandre écrivait:
-------------------
> bonjour à tous, je suis aussi utilisateur de mac os (10.6 up gradé 10.8.5 noyau
> 64 bits activé) (mac book pro cadeau GACD d' il y a 4 ans).
> J' ai essuyé les mêmes déboires qu'iINSET avant de modifier directement à la
> main et en passant par l' onglet: "file "en haut à gauche( celui qui sert à
> importer les fichiers), il y a un accès direct à " user préférences". et
> maintenant ça marche.
> J' ai par contre jeté aux orties mon parallels et installé directement W7
> 64bits sur boot camp (ça ralentit moins la bécane).
> Tout fonctionne sauf l' import CDT sur mac OS ( il fonctionne par contre très
> bien sur W7 64 avec la partition bootcamp) probablement parce que sirona à
> développé une technologie utilisant mv titan sur windows.
> Sinon je n' arrive à placer les implants qu' à partir des dents( et pas
> indirect) et je n' arrive à placer des dents qu' à partir de "bridge
> restauration"( et pas en direct).
> Sans doute à cause d' un truc que j'ai pas encore compris.
> Marcandré
>

non pour import cdt il te faut construire ton pycrypto en fonction du python et osx que tu utilises après patrick a fait le nécessaire pour que çà roule

que du bonheur


damdam

10/11/2013 à 19h02

inset écrivait:
---------------
> bonjour les amis
> alors hier soir, j ai pu régler le problème grâce a l'aide de pureco/ en
> rentrant le chemin d’accès manuellement. ainsi j ai pu continuer le travail.
>
> je travaille sous mac os 10.6.8/ et sous windows xp par le biais de boot camp.
> (avec parallel desk top c'est trop lent)
> tout marche a merveille sous windows/ sur mac je teste.
>
> pour l'import CDT c'est un peu archaïque ce que j 'ai fait: .j ai essayé de
> trouver sur internet un fichier cdt pour essayer l'import, mais je n'y arrive
> pas .
>
>
> >


qu'as-tu fais?
as tu construit ton pycrypto?

je te met un fichier cdt dans la box
pour essayer

Capture d  cran 2013 11 10   18.21 - Eugenol
Capture d  cran 2013 11 10   18.21 - Eugenol
Capture d  cran 2013 11 10   18.22 - Eugenol

damdam

10/11/2013 à 19h03

au fait pourquoi tout le monde veut l'import cdt ????

si vous n'avez pas de cerec çà ne vous sert à rien
acheter un scanner libre...... et vous aurez du stl


inset

10/11/2013 à 19h22

damdam écrivait:
----------------
> au fait pourquoi tout le monde veut l'import cdt ????
>
> si vous n'avez pas de cerec çà ne vous sert à rien
> acheter un scanner libre...... et vous aurez du stl



+1


inset

10/11/2013 à 20h18

damdam écrivait:
----------------

>
> qu'as-tu fais?

j'ai essayé de faire un import CDT mais ce na marche pas
> as tu construit ton pycrypto?

non, comment le faire?


marcandre

10/11/2013 à 20h47

bonjour les blender fellows
Damdam as tu une idée pour le scanner libre, j' aimerais en effet scanner des empreintes ou des modèles et en restant si possible sur mac( plus rapide ) et en restant cheap si possible.
( david laserscan avec lumière structurée, VI 3 dim sur windows) mais il y a peut étre plus simple.
merci


inset

10/11/2013 à 22h43

marcandre écrivait:
-------------------
> bonjour les blender fellows
> Damdam as tu une idée pour le scanner libre, j' aimerais en effet scanner des
> empreintes ou des modèles et en restant si possible sur mac( plus rapide ) et en
> restant cheap si possible.
> ( david laserscan avec lumière structurée, VI 3 dim sur windows) mais il y a
> peut étre plus simple.
> merci

bonsoir,
en parlant de scanner cheap, il ya des logiciels, qui reconstruisent en 3D un objet à partir d'une séquence de photos/ je ne sais pas si quelqu’un a déjà essayé?
le degrés de précision du processus?
je crois que je vais essayé je vous tiendrais au courant.

http://homes.esat.kuleuven.be/~visit3d/webservice/v2/index.php


1...161718...