Cookie Consent byPrivacyPolicies.comUn cadeau de Béotien - Eugenol

Un cadeau de Béotien

Casque beotien a3jo39 - Eugenol
beotien

06/03/2014 à 18h28

jumpingjackflash écrivait:
--------------------------
> comment explique tu que l'implant 24 soit plus près de la 23 que dans la
> planification?

Le vortex de la pano,c'est mécaniquement impossible d’être plus proche

Capture4 xw8jqg - Eugenol
Dsc 0084 new1 peeona - Eugenol
Dsc 0085 new1 bhhezr - Eugenol

Bazaruto 2007 ircsez - Eugenol
jumpingjackflash

06/03/2014 à 18h58


je pensais "plus loin de la canine"


inset

07/03/2014 à 01h21

en réponse au pb sur le fichier depinho.blend
j’obtiens un splint correcte juste en changeant l'orientation du modèle.

Capture d  cran 2014 03 07   00.17 - Eugenol
Capture d  cran 2014 03 07   00.17 - Eugenol

Icon poker h4nm2d - Eugenol
jeff

08/03/2014 à 14h06

A merde , j'ai pas fait gaffe, je voulais les copier sur mon disque :(


ceel

09/03/2014 à 22h37

bonjour à tous,
après ma première impression d'un guide, j'ai remarqué une différence entre le guide en stl, et sa version imprimée. dans cette dernière, je n'ai pas le départ du fut qui donne l'axe du forêt. avez vous déjà rencontré ce problème. comment l'avez vous résolu ?
désolé la photo du guide n'est pas terrible.

merci

Stl  du guide epc0sk - Eugenol
Guide imprim  wodkjr - Eugenol

l adan

10/03/2014 à 11h20

Je pense que tu n'as pas lié ensemble la base et le guide cylinder cf le bug et la solution donnée par beotien precedement . Verifie avec meshlab ton guide avant de l'imprimer.

ceel écrivait:
--------------
> bonjour à tous,
> après ma première impression d'un guide, j'ai remarqué une différence entre le
> guide en stl, et sa version imprimée. dans cette dernière, je n'ai pas le départ
> du fut qui donne l'axe du forêt. avez vous déjà rencontré ce problème. comment
> l'avez vous résolu ?
> désolé la photo du guide n'est pas terrible.
>
> merci


ceel

12/03/2014 à 10h20

bonjour,
est ce que quelqu'un pourrait me dire comment augmenter l' épaisseur du splint ?quel paramètre modifier? le gz, je n'y arrive pas, je ne sais pas quand le faire .
merci


Casque beotien a3jo39 - Eugenol
beotien

12/03/2014 à 12h08

ceel écrivait:
--------------
> bonjour,
> est ce que quelqu'un pourrait me dire comment augmenter l' épaisseur du splint
> ?quel paramètre modifier? le gz, je n'y arrive pas, je ne sais pas quand le
> faire .
> merci

Comme ceci!

C4 kse3op - Eugenol
C1 auomdk - Eugenol
C2 ogvkju - Eugenol

oxibus

12/03/2014 à 17h41

merci beotien
effectivement c'etait juste un pb d'orientation du modele lors du calcul
tellement de choses à verifier !
Est ce que une traduction des add on
ne permettrai pas de simplifier le processus ?


Casque beotien a3jo39 - Eugenol
beotien

13/03/2014 à 16h44

jumpingjackflash écrivait:
--------------------------
>
> je pensais "plus loin de la canine"

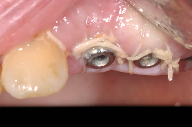
Contrôle à une semaine
est ce que cela répond à ta question?

Oxibus tu as raison mais ce n'est pas simple et il faut du temps
Mais si vous posez des questions sur le protocole, je peux tenter d'y répondre

Dsc 0086 mz7v7v - Eugenol
Dsc 0084 biq0na - Eugenol

patmo141

13/03/2014 à 21h53

Beo,

1. Great case! Can you post the stl files for that case in Dropbox. I want to train my co-residents

2. I have made a few bug fixes getting ready for Blender 2.7. Testing this weekend. Fixes the problem with the cylinders and the Bone modifier :-)


3. News from me:
Surgery -> thyroid nodule -> Benign
Patient Board Exam -> Passed :-)

4. Glad to see everyone is doing well! I have just finished the cheese that I brought home from Cedric. I can't wait to return to France!

-P


Icon poker h4nm2d - Eugenol
jeff

20/03/2014 à 19h26

Après un petit break au retour de paris, j'ai voulu me remettre a la tache.

Mais j'ai un problème a l'installation d'ITK snap.

Une fenêtre s'ouvre avec se message :

Veuillez résoudre les problèmes suivants :
Une version plus récente de Microsoft Visual C++ 2010 Redistributable a été détectée sur cet ordinateur.


Si je passe outre, l'installation se poursuit, mais le logiciel plante dès que j'ouvre la fenêtre browes pour choisir mon fichier.

Des idées ?


marcandre

20/03/2014 à 20h43

perso j'ai pas eu le problème, as tu essayé avec une version moins récente d'itk?( 2.4 au lieu de la dernière? 3)
marc


marcandre

20/03/2014 à 20h43

perso j'ai pas eu le problème, as tu essayé avec une version moins récente d'itk?( 2.4 au lieu de la dernière? 3)
marc


Icon poker h4nm2d - Eugenol
jeff

20/03/2014 à 22h04

non, je vais essayer demain.


Icon poker h4nm2d - Eugenol
jeff

23/03/2014 à 17h17

En fait, j'avais charger la precédente. Avec la version 3.0 béta, cela fonctionne.

cela ne semble pas la meme que dans ta vidéo.

Par contre j'ai un probleme.

A mon premier essai, la segmentation des dents fonctionnait bien. j'ai voulu recommencé, et la : mystere, je suis en négatif. c'est a dire fond blanc et dents bleu. Donc, evidement, la 3D avec les bulles ne fonctionne pas.

impossible ne me remettre en fond bleu avec dent en blanc !

une idée ?


marcandre

23/03/2014 à 20h47

avec la nouvelle version, il y a un bug quand on fait une seconde segmentation automatique,
( le réglage des seuils-tresholds- n'apparait pas la seconde fois, mais ça marche quand même)
peut être un truc que j'ai pas compris.
La version 2.4 était plus simple mais moins rapide
Pour le paramétrage des différentes dents va dans la drop box je vais y mettre mon fichier que tu prendras comme espace de travail de démarrage.
@+ marcandré


marcandre

23/03/2014 à 21h28

donc 1/ ouvrir itk version 3
2/en bas à droiteopenworkspace
3/dans le browse: users/ton nom d'utilisateur/Dropbox/BE OPEN PLAN/tutos/demarage.itksnap.
et là tu auras mon parametrage des différentes dents
marcandre


Doudriol

30/03/2014 à 20h29

Bonjour,

Je suis actuellement étudiant en odonto à Reims en D1, et je m'intéresse vraiment aux nouvelles technologies de type conception par ordinateur que ce soit au niveau des prépas sur dents ou en implantologie!
Je suis tombé sur vôtre post en effectuant des recherches sur le sujet, et je suis très curieux de voir et de manipuler les logiciels que vous proposez !
Serait il possible d'avoir accès aux tutos ? si vous avez besoin d'infos, n'hésitez pas! mais je serai vraiment content de pouvoir manipuler les logiciels et vous en retourner mes impressions!


inset

02/04/2014 à 00h57

bonsoir les amis
je suis entrain de faire une bibliothèque d'implants,j'ai utilisé la fonction Make parent pour avoir la hiérarchie comme pour les implants léone mais en plaçant les implants je ne place que l'implant sans les piliers, même si je clique sur include hardwear. que dois je faire ? des idées
mercii

Capture d  cran 2014 04 01   21.53 - Eugenol

patmo141

02/04/2014 à 15h30

inset écrivait:
---------------
> bonsoir les amis
> je suis entrain de faire une bibliothèque d'implants,j'ai utilisé la fonction
> Make parent pour avoir la hiérarchie comme pour les implants léone mais en
> plaçant les implants je ne place que l'implant sans les piliers, même si je
> clique sur include hardwear. que dois je faire ? des idées
> mercii

I will show you tonight! It has to do with the naming of the parts I think. I remember that you cant detect parents and children in external libraries so I did it by name.

Patrick.


inset

02/04/2014 à 19h47

patmo141 écrivait:
------------------
> inset écrivait:
> ---------------
> > bonsoir les amis
> > je suis entrain de faire une bibliothèque d'implants,j'ai utilisé la fonction
> > Make parent pour avoir la hiérarchie comme pour les implants léone mais en
> > plaçant les implants je ne place que l'implant sans les piliers, même si je
> > clique sur include hardwear. que dois je faire ? des idées
> > mercii
>
> I will show you tonight! It has to do with the naming of the parts I think. I
> remember that you cant detect parents and children in external libraries so I
> did it by name.
>
> Patrick.

thank you patrick very much. i can't wait to see it, untill then , take care
freindly
inset


inset

04/04/2014 à 05h57

bonjour
j ai essayé d'avoir le meme nom entre le parent et l'enfant dans la bibliothèque d'implant, et pourtant je n'ai que l'implant sans le pilier.
je suis un peu perdu


Img 0812 mvp6i0 - Eugenol
jeamba

04/04/2014 à 12h53

Tu dors jamais inset


Img 0812 mvp6i0 - Eugenol
jeamba

04/04/2014 à 12h54

Tu ne dors jamais inset?


1...293031...