Cookie Consent byPrivacyPolicies.comUn cadeau de Béotien - Eugenol

Un cadeau de Béotien

1 pdnfdy - Eugenol
m4rco

05/10/2011 à 03h15

Le désœuvrement, c'est terrible: une petite vidéo faite avec Blender mais qui sert à rien.




T'as fini par résoudre tes problèmes Céramik ?

--
Si tu ne sais pas, demande.
Si tu sais, partage !


Photo pluton1b h9n4ea - Eugenol
pluton

05/10/2011 à 09h46

m4rco écrivait:
---------------
> Le désœuvrement, c'est terrible: une petite vidéo faite avec Blender mais qui
> sert à rien.

pfff, j'ai du travail pour en arriver là!!!


1 pdnfdy - Eugenol
m4rco

05/10/2011 à 11h07

Mince, pluton, t'as dû corriger ton post avant que je ne le lise mais t'as été dénoncé par mac !

--
Si tu ne sais pas, demande.
Si tu sais, partage !


1 pdnfdy - Eugenol
m4rco

05/10/2011 à 11h08

Et c'est m4rco, pas m4cro ;-)

--
Si tu ne sais pas, demande.
Si tu sais, partage !


Photo pluton1b h9n4ea - Eugenol
pluton

05/10/2011 à 11h23

je sais, pas bien réveillé ce matin...et nuit difficile, ma plus jeune m'a réveillé toutes les heures...;-)

désolé...;-)


1 pdnfdy - Eugenol
m4rco

05/10/2011 à 11h47

Boarf, c'est pas grave du tout, ça m'a plutôt fait rire !

--
Si tu ne sais pas, demande.
Si tu sais, partage !


patmo141

05/10/2011 à 22h29

Once we plan implants...how do we get to the guide? I will show you. Programming until 2:30am I had to get this idea from my head into a working program. The steps are

1. Process the models for "fixed"
2. Define the guide insertion direction
3. Draw on model 3 marks
4. Calculate Occlusal Plane
5. Move plane to limit borders of the guide/splint
6. Draw marks to get a rough guide
7. Add surface
-Cross: 4
-Follows: 2 x Number of Lines
8. Calculate Splint

A few bugs to work out. I will make the new Add-On available by tomorrow. Enjoy!

-Patrick



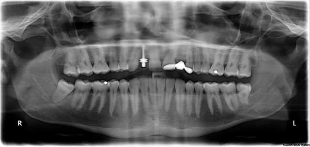
Casque beotien a3jo39 - Eugenol
beotien

06/10/2011 à 11h13

trop tard pour le guide je viens de poser l'implant
mais ton idée est très bonne Patrick, on va réussir à faire un guide fiable et pas cher pour poser ce genre de cas

bien sur à main levé c'est faisable!

utilisation de la clé de clio pour le centrage M-D
pano 1 oups!
pano 2 leger déplacement en mésial de la partie apicale de l'implant
c'est un 3.3x12



ps: jeamba dès qu'il s'agit de payer à boire tu te défiles!!?

R2 by1cll - Eugenol
R3 lmkaeq - Eugenol

Smile beach jgh0a1 - Eugenol
Céramik

06/10/2011 à 14h24

Tu prends des pano avec le champs stérile, mince, t'es trop fort !!!
:-)))))))))))))



Tu aurais pu enlever les 4 dds en même temps...


Pour les implants Leone, je trouve tjs que le col est très mince à la jonction prothétique, surtout pour le 3.3 mm, personne ne rapporte des cas de fractures ?


--
Céramik


Casque beotien a3jo39 - Eugenol
beotien

07/10/2011 à 09h41

Céramik écrivait:
-----------------
> Tu prends des pano avec le champs stérile, mince, t'es trop fort !!!
> :-)))))))))))))

je suis surtout trop nul pour voire la position de la jauge sur des Z6, mais dis moi chez toi les capotes pour les rvg sont stériles bien sûr!


> Tu aurais pu enlever les 4 dds en même temps...

çà j'aurais pu, mais je ne fais que ce que l'on me demande, j'aurais aussi pu mettre un implant en 22 et soigner la 43
mais c'est assez mal vu par les correspondants:-))


> Pour les implants Leone, je trouve tjs que le col est très mince à la jonction
> prothétique, surtout pour le 3.3 mm, personne ne rapporte des cas de fractures ?

je ne suis pas compétent pour te répondre, même si je considère qu'un fois le fx moigon impacté cela devient un implant monobloc
sans micro-mouvements je ne vois pas comment cela pourrait casser,
tordre peut être?


Casque beotien a3jo39 - Eugenol
beotien

07/10/2011 à 14h17

pour ceux qui sont au stade3 :

je viens a l'instant de tester la video de patrick
cela fonctionne et c'est facile mais
pour mark plane il faut maintenir enfoncé la touche D
et ensuite il faut ajouter l'add-on mesh: bsurface

bientôt la suite




Smile beach jgh0a1 - Eugenol
Céramik

07/10/2011 à 14h39

Ben tu places ton capteur numérique au micro-ondes 3 minutes, et voilà...

Sérieusement, il existe des sacs plastiques stériles
sinon, tu fais vite !


--
Céramik


Casque beotien a3jo39 - Eugenol
beotien

07/10/2011 à 16h46

Céramik écrivait:
-----------------
> Ben tu places ton capteur numérique au micro-ondes 3 minutes, et voilà...

ou la tête du patient dans l'autoclave mais pas simple de fermer la porte

et sérieusement je n'ai jamais perdu un implant pour les quelques mètres qui sépare le fauteuil de l'appareil

mais il est vrai que maintenant avec les guides je ne fais pas de pano de contrôle:-)))

pour l'instant le guide à appui dentaire pour une seule dent je n'y arrive pas bien

qui aurait la gentillesse de me prêter des images scan "bouche ouverte" de patient







rdeville

08/10/2011 à 01h08

Bonsoir Béotien,
je tombe sur ta conversation parce que je cherchais qq un pour m'aider à comprendre Osirix. Est ce que tu l'as essayé? Je voudrais accéder ta drop box pour voir les tutoriels sur Inversalius, please!


Casque beotien a3jo39 - Eugenol
beotien

08/10/2011 à 12h52

rdeville écrivait:
------------------
> Bonsoir Béotien,
> je tombe sur ta conversation parce que je cherchais qq un pour m'aider à
> comprendre Osirix. Est ce que tu l'as essayé? Je voudrais accéder ta drop box
> pour voir les tutoriels sur Inversalius, please!

bonjour
non je n'utilise pas un mac, certains ici utilisent osirix et en sont contents
INVESALIUS fonctionne sous windows et comme le dit M4RCO c'est simple d'utilisation. Les brésiliens qui le développent en open source cherchent, à ma demande un moyen d’insérer facilement un objet de repérage

pour l’accès à la dropbox désolé mais si tu as lu le topic tu dois comprendre
je ne te connais pas, alors demande à un habitué ou à un modo de me confirmer qui tu es, et sincèrement beaucoup ont regardé mais très peu ont essayé

pour les stades3: dès que j'ai un peu de temps j'imprime le fichier pour le tester sur un modèle


Photo pluton1b h9n4ea - Eugenol
pluton

09/10/2011 à 11h00

voilà béo, c'est en ligne...;-)


Logo m4n3gc - Eugenol
drmarcus

09/10/2011 à 11h59

Céramik écrivait:
-----------------

> Pour les implants Leone, je trouve tjs que le col est très mince à la jonction
> prothétique, surtout pour le 3.3 mm, personne ne rapporte des cas de fractures ?
>
>
> --
> Céramik

Bonjour,
Non strictement aucun cas de casse de quoi que ce soit en 11 ans et dans le monde entier.
Comme le dit Beotien celà est du au principe mécanique. Les tests avec une force de 800N à 30° n'ont jamais pu mettre en évidence un risque de fracture. Les essais ont été stoppé à plus de 11 jours (travail en continu) alors que sur un système à connectique vissée la fracture est survenu au bout de 2 Heures (implant de même diametre et même matériau). Si un jour tu viens de par chez nous je serai ravi de te montrer tout ça.

Anthogyr a d'ailleurs repris le principe pour son implant sans vis; mais Bicon l'applique depuis plus longtemps encore.


--
"La vis est à l'implant ce que la carie est à la dent!" (Pozzi)


Smile beach jgh0a1 - Eugenol
Céramik

10/10/2011 à 05h34

drmarcus écrivait:
------------------
> Bonjour,
> Non strictement aucun cas de casse de quoi que ce soit en 11 ans et dans le monde entier.

Leone existe depuis 11 ans ?
Dans le monde...mais pas disponible chez moi....




> Comme le dit Beotien celà est du au principe mécanique. Les tests avec une force
> de 800N à 30° n'ont jamais pu mettre en évidence un risque de fracture. Les essais ont été stoppé à plus de 11 jours (travail en continu) alors que sur un
> système à connectique vissée la fracture est survenu au bout de 2 Heures (implant de même diametre et même matériau).


Si un jour tu viens de par chez
> nous je serai ravi de te montrer tout ça.
>
et c'est où ça ?


> Anthogyr a d'ailleurs repris le principe pour son implant sans vis;

Je connais, pour le 2.8mm (indication limité), mais aussi pas disponible chez moi

mais Bicon
> l'applique depuis plus longtemps encore.

Bicon est moins mince, selon mes souvenir.


--
Céramik


Scan10030 ukikhq - Eugenol
vava

10/10/2011 à 12h11

Céramik écrivait:
-----------------
>...mais pas disponible chez moi....
>
> mais aussi pas disponible chez moi...


comment tu explique ????



Casque beotien a3jo39 - Eugenol
beotien

11/10/2011 à 15h48

la planif. définitive du cas de la vidéo
et le premier guide à appui dentaire avec la technique de patrick

On devrait pouvoir se dispenser du guide radiologique, ce qui diminuerait les couts!!!!!!!!!!!!!!!

Dsc 0020 kon17y - Eugenol
V1 zms276 - Eugenol
Dsc 0021 md9kdw - Eugenol
Dsc 0023 qywxxq - Eugenol
V2 hdju0v - Eugenol
Dsc 0025 akrzgh - Eugenol

Photo pluton1b h9n4ea - Eugenol
pluton

11/10/2011 à 16h23

sympa!!!
çà commence à prendre forme, dis donc...


patmo141

11/10/2011 à 18h48

Wow, this is really exciting!

1. How is the fit? Did our compensation for "shrinkage" work correctly

2. How is the stability?

3. Suggestions? Improvements? I will be adding in a few more options in the "Calculate Splint" function to give users more control on the results.


4. We need to do tests to assess accuracy. Example: embed several markers in a stone model and scan it. Then attempt to "place implants" at the marker. Then rescan to assess accuracy.


Pure msn be1nue - Eugenol
drilleur

11/10/2011 à 19h33

beotien écrivait:
-----------------
>
> pour l’accès à la dropbox désolé mais si tu as lu le topic tu dois comprendre
> je ne te connais pas, alors demande à un habitué ou à un modo de me confirmer
> qui tu es, et sincèrement beaucoup ont regardé mais très peu ont essayé
>
> pour les stades3: dès que j'ai un peu de temps j'imprime le fichier pour le
> tester sur un modèle


Et pour moi beotien, me laisserais tu accéder à ta dropbox ? j'en serais très happy.


Smile beach jgh0a1 - Eugenol
Céramik

12/10/2011 à 01h22

vava écrivait:
--------------
> Céramik écrivait:
> -----------------
> >...mais pas disponible chez moi....
> >
> > mais aussi pas disponible chez moi...
>
>
> comment tu explique ????
>
>

Chai pas, mais au Canada, on a pas encore...

--
Céramik


Smile beach jgh0a1 - Eugenol
Céramik

12/10/2011 à 01h30


beotien écrivait:
-----------------
> la planif. définitive du cas de la vidéo
> et le premier guide à appui dentaire avec la technique de patrick
>
> On devrait pouvoir se dispenser du guide radiologique, ce qui diminuerait les
> couts!!!!!!!!!!!!!!!
>


pas trop sexy ton guide !

Tu as de la résine translucide ou même transparente ?

tu as aussi besoin de puits pour l'eau de refroidissement...
sinon nonos v a cuire...

;-)



--
Céramik


12345...