Cookie Consent byPrivacyPolicies.comFacettes Emax & Co - Eugenol
Avatar ow44t3 - Eugenol
Chicot

21/09/2011 à 15h09


Un zoli cas que j'ai fini trop tard pour le présenter au DU d'Esthétique du sourire, alors à la demande de choixpeau magique et rien que pour vous:

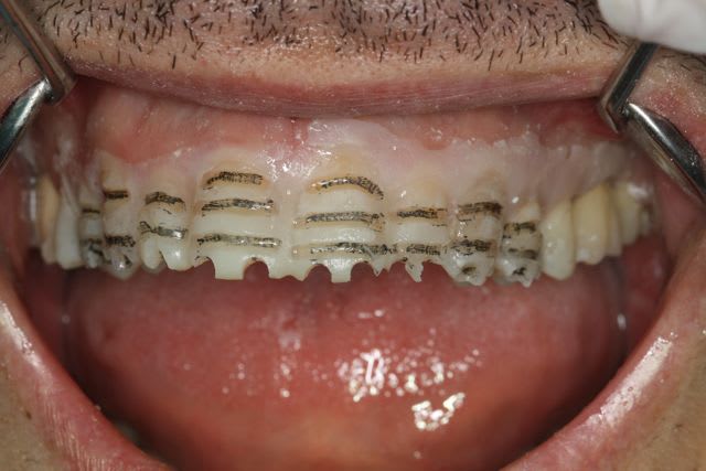
6 facettes Emax de 13 à 23
2 CCC Emac 14 24
2 Inlay 15 25

le tout sur dents vitales

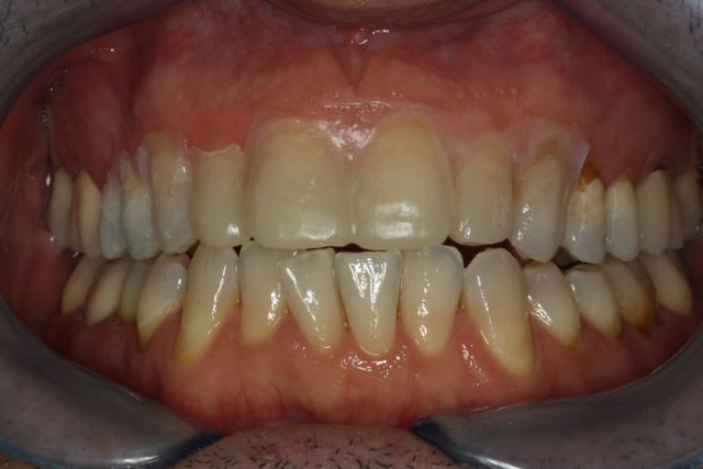
les photos avant :

--
;O)

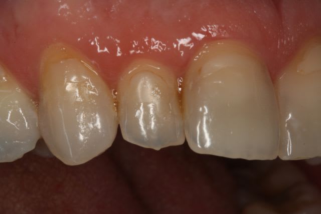
 tat initial 13 12 11 x8599v - Eugenol
 tat initial 21 22 23 afjvbi - Eugenol
 tat initial 22 23 24 n04fmj - Eugenol
 tat initial dents gefyvi - Eugenol
 tat initial occlusion cpryzi - Eugenol
 tat initial sourire xvebip - Eugenol

Avatar ow44t3 - Eugenol
Chicot

21/09/2011 à 15h14


moke up et tailles calibrés dans la résine

--
;O)

Moke up xu8lk4 - Eugenol
Pr paration moke up slxdx2 - Eugenol
Pr paration moke up suite c188mr - Eugenol
Fraisage   faire auwmdu - Eugenol

Avatar ow44t3 - Eugenol
Chicot

21/09/2011 à 15h15

coronoplastie des inf, tailles finis après hybridation et avant nettoyage (on voit encore le fil de soie noir) et tempo


--
;O)

D tail pr p 13 12 11 h6xbci - Eugenol
D tail pr p 21 22 23 yv2nfq - Eugenol
D tail pr p vccqzm - Eugenol
Tempo jzz3ll - Eugenol

Avatar ow44t3 - Eugenol
Chicot

21/09/2011 à 15h17

modèles labo

--
;O)

Labo pr p 11 21 vl72ay - Eugenol
Labo pr p 13 ihggzx - Eugenol
Labo pr p 15 ohgesu - Eugenol
Labo pr p 23 y2qck9 - Eugenol
Labo pr p 25 gisc2w - Eugenol

Avatar ow44t3 - Eugenol
Chicot

21/09/2011 à 15h18

éléments labo


--
;O)

Labo 14 13 12 ylkwmk - Eugenol
Labo 21 22 23 pm5wrj - Eugenol
Labo ant rieurs nt2h2s - Eugenol
Labo occl 15 gqloae - Eugenol
Labo occlusal 25 jvxwdg - Eugenol
Labo occlusal plyhqv - Eugenol

Avatar ow44t3 - Eugenol
Chicot

21/09/2011 à 15h20

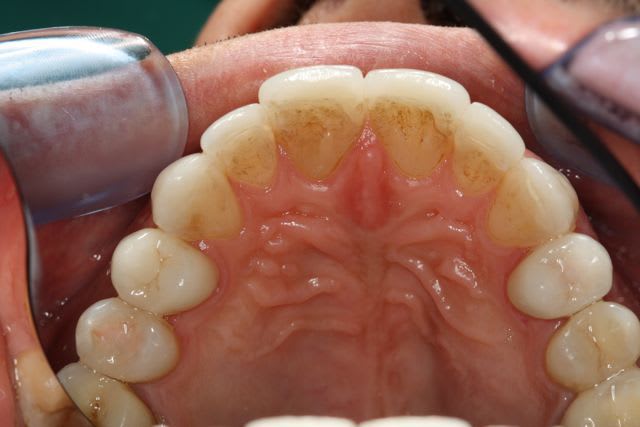
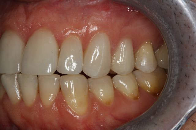
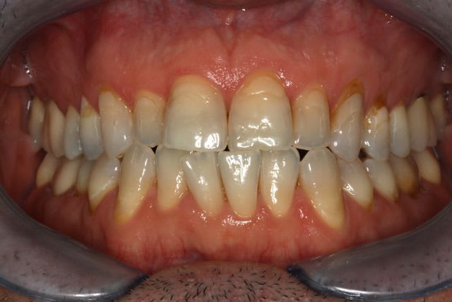
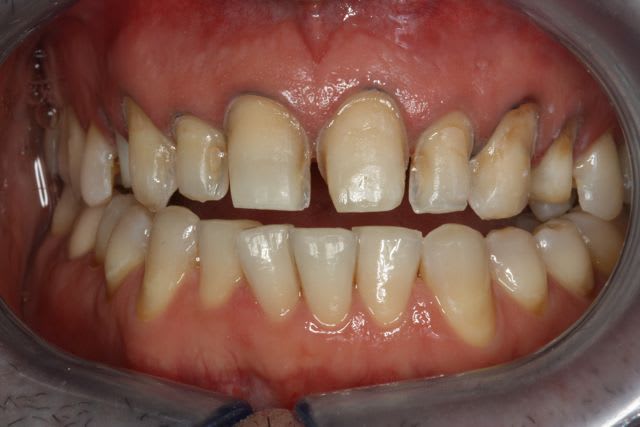
en bouche, eh oui, il voulait du blanc........


--
;O)

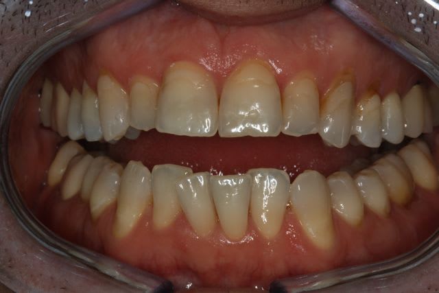
Facettes 11 21 liruwa - Eugenol
Facettes 13 wdxggt - Eugenol
Facettes 23 dnjbyw - Eugenol
Facettes bout   bout modifi  ldi2mw - Eugenol
Facettes occl uuuxiw - Eugenol
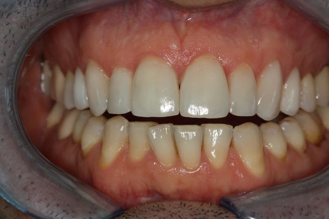
Sourire fini pdmb7j - Eugenol

Cuisinier2 vnbbxx - Eugenol
jeff2

21/09/2011 à 15h34

Trés beau travail
plusieurs questions // facettes
pourquoi ne pas avoir fait directement des CCC sur toutes les dents vu l'hygiène du patient
J'aimerais bien voir des photos + 10 ans, car pour en voir fait quelques années j'ai bandonné, j'ai des doutes sur la durée de vie des facettes et ce n'est que mon avis perso.
Quant à la couleur, j'ai des doutes aussi, perso je refuse ce genre de choix du patient. 9a doit ressembler à des dents, faire lavabo, je lui explique que cva l'aider à vomir, est ce vraiment son choix, si il comprend pas, il va voir ailleurs


Marque a3 orange fyvhyq - Eugenol
Marc Apap

21/09/2011 à 15h45

C'est propre, du même niveau que ce que fait mon prothésiste, mais pas aussi bluffant que ce que réussit celui de Cingulum.
Maintenant, c'est une question de choix, il faudrait que je sois très très complexé si j'avais été le patient, pour me faire mutiler et réparer à ce point.


frenchlabo

21/09/2011 à 15h51

les facettes sont en retrait sur le modele par rapport aux limites cervicales pour quelle raison?


003 penrd2 - Eugenol
Cingulum

21/09/2011 à 15h52

Marc Apap écrivait:
-------------------
> C'est propre, du même niveau que ce que fait mon prothésiste, mais pas aussi
> bluffant que ce que réussit celui de Cingulum.
> Maintenant, c'est une question de choix, il faudrait que je sois très très
> complexé si j'avais été le patient, pour me faire mutiler et réparer à ce point.

Marc ce genre de lésion cervicale évolue toujours mal... ça se creuse, ça se creuse...
Je pense que c'est un bon choix de faire des ceram
Je pense que dans des cas comme ça on pourrait faire des sortes d'onlay cervicaux... faudra que j'essaye..

Très joli travail en tout cas, mené dans les règles de l'art....
bien réalisé du début jusqu'a la fin...
pourquoi pas de blanchiment ?



O.


--
Dr Cingulum
-----Ancien interné----
----Attaché à l'apex----
http://www.clinic-all.fr/ formation par passion


Marque a3 orange fyvhyq - Eugenol
Marc Apap

21/09/2011 à 15h58

Cingulum écrivait:
------------------

>
> Marc ce genre de lésion cervicale évolue toujours mal... ça se creuse, ça se
> creuse...

C'est bien ce que j'ai toujours dit : quand on est convaincu d'un truc, ça devient comme une religion, on perd ses capacités de discernement.
La vie aussi est quelque chose qui évolue très mal : avec le temps, on finit par en mourir.


frenchlabo

21/09/2011 à 16h17

si je puis me permettre chicot ce cas a ete tres bien realise cependant esthetiquement parlant je trouve que la forme des dent est devenue trop arrondie comme lavee et que la bouche a perdu son caractere carre et un peu agressif d autre part ce serait sympa de citer les prothesistes merci


olivier

21/09/2011 à 16h18


Tres beau travail .... Je vais poser des questions de gros débutant
mais qu'est que le mock up et à quoi sert il ??? Et quel type de collage as tu utilisé (sous digue ou pas??)



Avatar ow44t3 - Eugenol
Chicot

21/09/2011 à 16h48

bon je vais tenter de répondre:

Jeff:

>pourquoi ne pas avoir fait directement des CCC sur toutes les dents vu l'hygiène du patient

hygiène top, ancien addicte aux sodas.
Le gradient thérapeutique c'est économiser aux max les tissus dentaires, car sinon, on peut aussi faire de belles endo, des Inlays core ou même encore des exo puis des implants......

> j'ai des doutes sur la durée de vie des facettes et ce n'est que mon avis perso.

je le respecte mais la littérature ne le partage pas

>Quant à la couleur, j'ai des doutes aussi, perso je refuse ce genre de choix du patient.

c'est le patient qui vit avec, pas son praticien. Lui il est super heureux depuis

Marc Apa

> il faudrait que je sois très très complexé si j'avais été le patient, pour me faire mutiler et réparer à ce point.

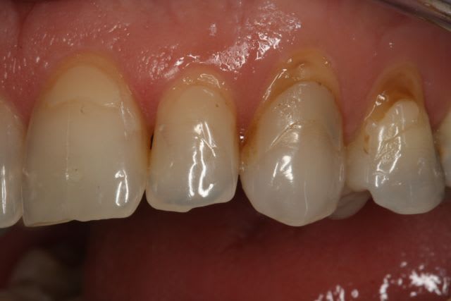
lui n'osait plus sourire et souffrait d'hypersensibilité au sucre et au froid. Le chois des facettes a été dicté par un soucis de moindre mutilation. Les compo était très profond par endroit, quelques classe 2 et une ligne du sourire dyharmonieuse: barre noir entre les canines par abrasion des bord libres de 12 11 21 22

frenchlabo:

>les facettes sont en retrait sur le modele par rapport aux limites cervicales pour quelle raison?

sur le modèle, ça tiens pas !!!! tout simplement

> la bouche a perdu son caractere carre et un peu agressif

ça a été validé par le patient a l'aide du moke up. Il voulait quelque chose de plus doux

>ce serait sympa de citer les prothesistes

oraldesign.fr

Cingulum

>pourquoi pas de blanchiment ?

En bas, le patient ne le souhaitait pas "on voit pas mes dents du bas"
En haut ???? aucun intérêt compte tenu du contexte

olivier

>mais qu'est que le mock up et à quoi sert il ???


euh c'est complexe: tu fais un waxup, puis une gouttière silicone que tu remplis de résine, tu place en bouche et ça te permet de visualiser le projet esthétique. Ensuite tu fais ta préparation pelliculaire dans le moke up car pourquoi enlever de l'email là ou c'est pas nécessaire (par ex une dent en retrait)

> Et quel type de collage as tu utilisé (sous digue ou pas??)

on ne peut que coller sous digue sinon humidité=> perte des valeurs d'adhésion
sablage à l'alumine 50μ puis collage variolink venner


voilà pour les réponses

--
;O)


Gbazylo1 fvg1vg - Eugenol
Aron

21/09/2011 à 17h29

Super réalisation, tu as dû te faire plaisir, bravo!

1. C'est quel DU? Strasbourg?

2. La question que je me pose, c'est celle là: la ligne noire entre ses dents devait bien correspondre à quelque chose: interposition linguale ou bruxisme antérieur, ou autre.
Est-ce que tu remédies à ça par ailleurs?


baroud69

21/09/2011 à 18h00

Techniquement et esthétiquement parlant, rien à dire. Je me mettrai un jour aux facettes :p

Par contre je m'interroge non pas sur le fait que les facettes vont tenir mais si l'avenir des collets : le ou les facteurs qui ont causé les récessions ont-ils été identifié ? Stress ? Bruxisme ? Mylolyse cariées ou non ? Brossage compulsif ? On voit que le collet anatomique semble avoir évolué (limite des anciens compo).

Bref, quid de la réflexion quant au risque de récidive. Un si beau travail ne doit pas être gâché !

(NB : critique constructive de ma part)


Marque a3 orange fyvhyq - Eugenol
Marc Apap

21/09/2011 à 18h04

Merci Chicot pour tes explications. C'est toujours bien d'assortir ses présentations d'une petite anamnèse qui permet de mieux cerner les problèmes, attentes du patient et comprendre le bien fondé du traitement proposé.


Logo qw3xdt - Eugenol
dds

21/09/2011 à 18h55

Le problème ici sera surtout la longévité de l'adhésion dans la dentine qui va être bien moins bonne que s'il y avait eu de l'émail en cervical.
Après, si le patient est au courant, qu'il contrôle... A suivre...


Grueavatar nptrc9 - Eugenol
Le Choixpeau magique

21/09/2011 à 18h56

baroud69 écrivait:
------------------
> Par contre je m'interroge non pas sur le fait que les facettes vont tenir mais
> si l'avenir des collets : le ou les facteurs qui ont causé les récessions
> ont-ils été identifié ? Stress ? Bruxisme ? Mylolyse cariées ou non ? Brossage
> compulsif ? On voit que le collet anatomique semble avoir évolué (limite des
> anciens compo).

Il l'a dit, c'est un buveur de coca compulsif. Dans ces cas là, la céramique résiste bien, même avec la persistance de l'acidité.


Gbazylo1 fvg1vg - Eugenol
Aron

21/09/2011 à 19h13

Pardon, mais double non:

Non parce que c'est un ANCIEN addict aux sodas.

Et non parce que la céramique n'est pas uniquement le problème s'il brosse bien agressivement, ses mylolyses vont revenir... plus apicalement.


baroud69

21/09/2011 à 19h35

"hygiène top, ancien addicte aux sodas"

Oui je l'ai noté. Je précise que je ne pose pas de facette pour l'instant et mes questions peuvent paraître inadéquates, mais je me méfie beaucoup des personnes présentant des mylolyses, plus souvent liées à un bruxisme statique qu'on ne le pense. Les lésions ne semblent pas qu'anciennes sur les photos et c'est en cela que je voulais avoir des précisions.

Instinctivement des reconstitutions céramiques sur un bruxomane me font peur et je souhaite avoir connaissance des démarches qui ont amené Chicot à exclure ce risque.

En ce qui concerne la technique, je prends des notes pour l'avenir ^^


Grueavatar nptrc9 - Eugenol
Le Choixpeau magique

21/09/2011 à 19h41

Aron écrivait:
--------------
> Pardon, mais double non:
>
> Non parce que c'est un ANCIEN addict aux sodas.

La question c'était quelle est l'étiologie de ces lésions, la réponse c'est le coca.

>
> Et non parce que la céramique n'est pas uniquement le problème s'il brosse bien
> agressivement, ses mylolyses vont revenir... plus apicalement.

Qu'est-ce qui te dit qu'il brosse agressivement, regarde la forme des lésions en forme de lune, ça te paraît compatible avec un brossage traumatique ?


Bagheera tudzjy - Eugenol
bagheerra

21/09/2011 à 19h41

Félicitation pour ce travail fait dans les règles, et qui aboutit donc à la pleine satisfaction du patient qui valide les étapes au fur et à mesure.

Je trouve la réduction périphérique des 14 et 24 un peu légère, mon prothésiste me demande de lui laisser plus d'épaisseur, qu'en pensez-vous ?

question 1 : sont-ce facettes monobloc ou stratifiées ?

question 2 : le patient est-il tout de suite tombé d'accord avec le plan de traitement (et le devis qui allait avec), ou a-t'il fallu argumenter, laisser réfléchir, re-argumenter... Dans des cas similaires beaucoup de mes patients optent pour des composites (même s'ils savent que c'est vraiment bcp moins bien et moins durable), ou alors le strict minimum.


Avatar ow44t3 - Eugenol
Chicot

21/09/2011 à 20h30

bagheerra
>
> Je trouve la réduction périphérique des 14 et 24 un peu légère, mon prothésiste
> me demande de lui laisser plus d'épaisseur, qu'en pensez-vous ?
>

C'est des Emax donc tout céramique donc attaque à l'acide fluorhydrique (contrairement aux zircone)
donc on peut colle
donc une taille pour travailler la ceramique sur une epaisseur de 0,6 mm suffit car la résistance avant collage est de 350 MPa et après collage de 650 à 1000MPa selon que l'on est sur de la dentine ou de l'email
Pour mémoire un scellement d'une couronne classique au CVImar sans conditionner est d'une quinzaine de MPa et de 35 MPa si conditionner ( un carreau de carrelage est de l'ordre de 3 MPa)

> question 1 : sont-ce facettes monobloc ou stratifiées ?

Technique cut back pour stratification du 1/3 occlusal pour avoir les transparents et,opalescents et maquillage en surface des zones cervicales
>
> question 2 : le patient est-il tout de suite tombé d'accord avec le plan de
> traitement (et le devis qui allait avec), ou a-t'il fallu argumenter, laisser
> réfléchir, re-argumenter... Dans des cas similaires beaucoup de mes patients
> optent pour des composites (même s'ils savent que c'est vraiment bcp moins bien
> et moins durable), ou alors le strict minimum.

Quand je lui ai mis le moke up en bouche il s'est regardé dans le miroir et à dit: ok c'est ça que je veut, il a signé le devis et versé un acompte puis on a fixé les Rdv ( une grosse matinée de 5h pour les tailles empreintes provisoires) et un rdv de 3h30 pour les collages
Les compos quand il faut rallonger les bords libres sur 4 dents..... je sais pas faire dans le cadre de la nomenclature......
--
;O)


Avatar ow44t3 - Eugenol
Chicot

21/09/2011 à 20h38

Aron écrivait:
--------------
> Super réalisation, tu as dû te faire plaisir, bravo!
>
> 1. C'est quel DU? Strasbourg?

DU d'Esthetique du sourire

>
> 2. La question que je me pose, c'est celle là: la ligne noire entre ses dents
> devait bien correspondre à quelque chose: interposition linguale ou bruxisme
> antérieur, ou autre.
> Est-ce que tu remédies à ça par ailleurs?

Bout a bout incisif avec usure des sup . J'ai réalisé une grosse coronoplastie des inf pour pouvoir rallonger les sup et avec les facettes j'ai redonné un peu de soutiens de la lèvres et un leger recouvrement et déplaçant un peu les bords libres en vestibulaire

Comme il n'y a pas de bruxisme (pas de facettes d'abrasions ni de problèmes aux ATM ou musculaire ) on a abandonné l'idée d'une gouttière

--
;O)