Cookie Consent byPrivacyPolicies.comUn cas comme je les aime (2).. - Eugenol

Un cas comme je les aime (2)..

1 eugenol dmj5np - Eugenol
Dancha

24/09/2011 à 14h27

Cas classique :
Jeune homme de 15 ans, canine incluse, denture ne nécessitant pas par ailleurs de traitement orthodontique. Il n'a évidemment pas envie de porter un appareil pour ça !

Je vous propose de voir en détail comment faire pour la mettre à sa place normale d'une manière discrète et sans appareiller les autres dents.

Tout d'abord, où est-elle exactement ? En vestibulaire ou en palatin ?

Daniel

13 incluse 1 c0bqvu - Eugenol
13 incluse  z6cn5e - Eugenol

Canin

24/09/2011 à 14h33

Vestibulaire

--
Canin


X ray 03 medium zvq18j - Eugenol
cyber_quenottes

24/09/2011 à 16h00

pareil vue l'inclinaison

--
--------------------------
merci à tous ceux qui m'ont soutenu


doctyoni

24/09/2011 à 16h02

La canine , sur la pano , est plus nette que les autres dents. Donc plus proche du film radio , elle est donc vestibulaire.


Avatarfac v6b7jd - Eugenol
DCDV

24/09/2011 à 18h24

+1 vestibulaire !

Ce cas m'intéresse vraiment ! j'ai exactement le meme cas , une patiente de 15ans 2mois tout est NICKEL sauf sa 23 ...

MODIF : OK c bon elle est en palatin c sur : 1/ clinique 2/ comme canin idée 2 OK
--
dcdv !


Minouch

24/09/2011 à 19h26

Vestibulaire.


Minouch

24/09/2011 à 19h29

Quelles sont les extractions que vous prévoyez de faire?


Bebe 038 nf8eum - Eugenol
danteyeah

24/09/2011 à 20h47

Je ne suis pas ortho. ni radiologue, alors j'ai une question pour la téléradiographie: celle ci se fait t-elle toujours profil droit, où peut-on prendre un profil gauche, car dans ce cas si la radio de Dancha est faite à gauche (puis retournée sur sa pièce jointe; on ne sait jamais, les ortho. et occluso. sur eugénol sont de sacré numéro) alors la canine est en palatin!
Merci pour les réponses.


1 eugenol dmj5np - Eugenol
Dancha

25/09/2011 à 00h29

Je développerai tout cela lundi, mais en attendant, pouvez-vous expliquer pourquoi vous affirmez qu'elle est vestibulaire et non palatine ?
Je rappelle que la pano est une tomo, donc la notion de netteté liée à la proximité du film n'a pas lieu d'être.
Si on y va et qu'on ouvre, il faut être sûr de la trouver là..

Notez bien que ces 2 radios sont suffisantes pour déterminer la position de la canine. A vous de trouver "le truc" (que personne ici n'a encore évoqué).

Daniel


Canin

25/09/2011 à 15h57

après reconsidération je dirais finalement palatin.

en même temps j'avais un collage à faire la dernière fois sur une image similaire et l'image était quasi identique avec une dent vestibulaire. après c'est grâce à l'examen clinique que j'avais déduis le bon côté.

pourquoi ??

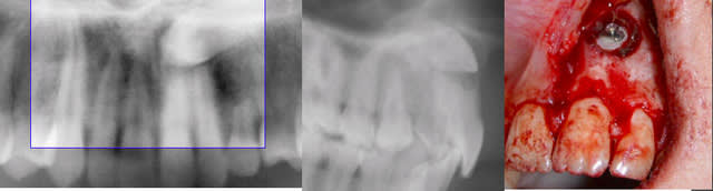
1. sur l'OPT, quand on regarde la dent, elle a l'air un agrandie, plus large que la 23 et bien souvent c'est lié à une position palatine avec une histoire distance-film-foyer.

2. la cuspide de 13 est superposée à la centrale sur l'OTP elle devrait ainsi apparaître en avant de la 11 sur la radio de profil si elle était vestibulaire. Et comme ce n'est pas le cas, la dent doit être palatine.

3. on voit bien distinctement la racine de 12 qui se voit par transparence supperposée à la couronne de 13. l'apex est bien visible, la dent semble bien verticale et donc l'apex vestibulaire. En gros y'a pas de place en vestibulaire pour caser une canine incluse. Car parfois on a des latérales très vestibulo-versée et on distingue mal les apex sur les OTP.

C'est juste ??

--
Canin


Humator t9r5wy - Eugenol
humator

25/09/2011 à 16h33

palatin:
sur la pano, la canine se superpose à la centrale, alors que sur l'autre cliché: elle est en en arriere.

--
N.Hum


Ico v for vendetta08 jzhpep - Eugenol
Arnaud Go

26/09/2011 à 12h28

Canin porte bien son nom...

C'est un exercice intellectuel mais un doigt et un cliché occlusal avec incidence crânienne, ça complète et blinde le dossier clinique.

J'attends la suite : plaque ou pour être moderne et discret (et coller aux précédents cas de l'auteur) : implant d'ancrage et finition par gouttière ?


1 eugenol dmj5np - Eugenol
Dancha

26/09/2011 à 13h09

Canin écrivait:
---------------
> ..
> 2. la cuspide de 13 est superposée à la centrale sur l'OTP elle devrait ainsi
> apparaître en avant de la 11 sur la radio de profil si elle était vestibulaire.
> Et comme ce n'est pas le cas, la dent doit être palatine.
>
> 3. on voit bien distinctement la racine de 12 qui se voit par transparence
> supperposée à la couronne de 13. l'apex est bien visible, la dent semble bien
> verticale et donc l'apex vestibulaire. En gros y'a pas de place en vestibulaire
> pour caser une canine incluse. Car parfois on a des latérales très
> vestibulo-versée et on distingue mal les apex sur les OTP.
>
> C'est juste ??
>

humator écrivait:
-----------------
> palatin:
> sur la pano, la canine se superpose à la centrale, alors que sur l'autre cliché:
> elle est en en arriere.

Oui, c'est juste, vous avez raison.

C'est très simple quand on a une radio de profil en plus de l'OTP (les 2 clichés basiques d'un bilan orthodontique) : une canine palatine y apparait verticale et une canine vestibulaire horizontale, couronne vers l'avant, comme sur l'exemple que je vous joins avec les confirmation chir.

Il n'y a que pour les cas relativement peu fréquents où elle est entre les 2 qu'il est souhaitable d'avoir un examen complémentaire.

Daniel

13 incluse 2 riuglg - Eugenol
Canine incluse vestibulaire torsul - Eugenol

1 eugenol dmj5np - Eugenol
Dancha

26/09/2011 à 13h36

Arnaud Go écrivait:
-------------------
> ..
> J'attends la suite : plaque ou pour être moderne et discret (et coller aux
> précédents cas de l'auteur) : implant d'ancrage et finition par gouttière ?

Tout sera fait jusqu'au bout par le même système, il ne sera nécessaire de placer une gouttière de finition.

La suite : on a dégagé et collé un bouton sur sa couronne en même temps qu'on a viré la 53..

Et maintenant, qu'est-ce qu'on fait ?
Il nous faut des points d'appui pour la tracter en vestibulaire !
Arnaud Go propose une "plaque osseuse" ou un "implant d'ancrage"..

Pourquoi pas, mais à quoi ça ressemble ?
Où est-ce qu'on le (les) met ?

Qu'est-ce qui est le plus simple et à ma portée, sachant que je suis orthodontiste et non chirurgien maxillo-facial, et que c'est moi qui réalise ce traitement de "A" jusqu'à "Z", y compris sa partie chirurgicale ?

Daniel

13 incluse 2 isc8dm - Eugenol

EloD

26/09/2011 à 16h17

Tu va nous faire le coup du CT8-1 ? :-)


Fouilla h6plsy - Eugenol
fouilla

26/09/2011 à 17h21

daniel pour la position vestibularie ou palatine
j'utilise la retroalveolaire : règle de clark(je crois)
une première retro orthocentrique
une deuxième retro distocentrique
si le recouvrement se réduit alors la position est palatine
si le recouvrement augmente alors position vestibulaire



edit après recherche

le tout en image
http://www.lecourrierdudentiste.com/dossiers-du-mois/localisation-radiologique-des-inclusions-du-secteur-anterieur-maxillaire.html

sauf que la ils font l'inverse mais on retombe sur nos pattes pareil


--
.


1 eugenol dmj5np - Eugenol
Dancha

26/09/2011 à 18h45

fouilla écrivait:
-----------------
> daniel pour la position vestibularie ou palatine
> j'utilise la retroalveolaire : règle de clark(je crois)
> une première retro orthocentrique
> une deuxième retro distocentrique
>..

Très bien. Chacun peut utiliser le système qu'il a à sa disposition. En tant qu'orthodontiste je n'ai pas de rétroalvéolaire mais prends des téléprofils, toi c'est l'inverse, peu importe c'est le résultat qui compte.

EloD écrivait:
--------------
> Tu va nous faire le coup du CT8-1 ? :-)

Tu as bien vu. Pourquoi appelles-tu ça "le coup" du CT8-1 ?
Je pense vraiment que c'est le meilleur système actuel pour tracter les canines incluses, qu'il devrait être généralisé et diffusé un maximum.
Et comme beaucoup ne connaissent pas, il est bon de temps en temps de relancer la machine..
Et puis il y a aussi, pour ce cas-ci, des astuces de correction que je ne crois pas avoir déjà présentées ici.

Daniel


EloD

26/09/2011 à 23h22

on attend tes explications de mise en place pour cette canine palatine.... pour compléter celles de la revue sfodf...(au passage...beau travail!).


justdentist

27/09/2011 à 14h14

le cliché occlusale ne donne pas l'angulation vestibulaire ou palatine d'une dent incluse ! ca m'a valu une bonne correction au CSCT :)


Ylfwcw979cz1jnx9gfqeaxndiuzk - Eugenol
Algi

27/09/2011 à 17h26

Désolé j'arrive en retard, perso au vu de la radio j'avais pas d'avis mais sur les photos y'avait pas l'ombre d'une voussure ou d'une bosse qui aurait pu indiquer une position vestibulaire (bien que la zone interressée soit en grande partie masquée par la lèvre, c'était exprés ou alors t'as pas d'ecarteurs?).

Sinon rétroalveoliare à plat tenue "avé le doigt" sur le palais et radio à travers la tête ça donne une bonne idée.

Pour ce qui est du tractage je pense que dancha va nous presenter une variante de canne à pêche dont il a le secret (mais qu'il est manifestement prêt à partager)qui amènera le poisson direct à sa place.
--
"On a toujours le choix! Mais entre quoi et quoi?
Vas-y boulégue et l'avenir te le dira!"


1 eugenol dmj5np - Eugenol
Dancha

27/09/2011 à 19h48

Suite à des imprévus au cabinet aujourd'hui, j'ai un petit souci de temps disponible pour eugénol..

Je répondrai aux questions mais ne peux pas m'étendre sur la description générale du système (localisation anatomique, nature du fil, type de vis etc).

Arnaud, EloD, Algi.., je sollicite votre aide : auriez-vous la gentillesse de le faire à ma place ? Je vous mets quelques clichés. Ce serait vraiment sympa de votre part. Merci infiniment.

Daniel

13 incluse 3 uwhkxc - Eugenol
13 incluse 4  qfmaf1 - Eugenol

1 eugenol dmj5np - Eugenol
Dancha

27/09/2011 à 21h10

Encore 2 images démonstratives.

Daniel

405ter h377q0 - Eugenol
Ct8 1 ry72jg - Eugenol

Fresh watermelon 640x562 udulqz - Eugenol
gulguch

28/09/2011 à 01h50

....magnifique, Dancha, comme d'habitude.
Alors les danchistes répondez à nos questions svp
-nature du fil?
-dans cette zone malaire la corticale est trés dure: préforage?
-"ma" question stupide: à l'heure actuelle en milieu trés humide on colle avec quoi? Fuji Ortho?


takamatika

28/09/2011 à 02h53

gulguch écrivait:
-----------------
> ....magnifique, Dancha, comme d'habitude.
> Alors les danchistes répondez à nos questions svp
> -nature du fil?
TMA 0.16
> -dans cette zone malaire la corticale est trés dure: préforage?
Sans préforage
> -"ma" question stupide: à l'heure actuelle en milieu trés humide on colle avec
> quoi? Fuji Ortho?.
Oui avec un adhésif autocollant automordançant


Ico v for vendetta08 jzhpep - Eugenol
Arnaud Go

28/09/2011 à 07h42

Dancha écrivait:
----------------
> Arnaud, EloD, Algi.., je sollicite votre aide : auriez-vous la gentillesse de le faire à ma place ? Je vous mets quelques clichés. Ce serait vraiment sympa de votre part.

Hé quoi ? Tu veux qu'on prenne la place du Dancha ? Je préfère rester sur le banc que monter sur l'estrade.


12...